Seoul Jeseng Dental Korea - English
[재신경치료] 40대 남성, 윗 어금니 신경치료 후 상악동까지 염증이 전파된 사례 (서울재생치과 미세현미경치료)
서울재생치과 전준희 대표원장 약력 --- 서울대학교 치의학과 졸업서울대학교 치과병원 인턴 및 치과보존과 레지던트보건복지부 인증 치과보존과 전문의서울대학교 치과보존과 박사(현) 서울대학교 치과대학 외래교수(현) 서울재생치과 대표원장 서울재생치과에서 재신경치료로 상악동염을 극복하고 치아 건...
아카이브 요약
이 페이지의 역할
Seoul Jeseng Dental Korea - English, French Speaking Dentist | 서울재생치과 - 임플란트 투명교정 신경치료의 네이버 블로그 원문을 보존한 아카이브 페이지입니다. 준원장의 치과이야기 카테고리의 [재신경치료] 40대 남성, 윗 어금니 신경치료 후 상악동까지 염증이 전파된 사례 (서울재생치과 미세현미경치료) 글을 통해 병원의 한국어 정보 제공 방식과 진료 관련 안내 톤을 확인할 수 있습니다.
![[재신경치료] 40대 남성, 윗 어금니 신경치료 후 상악동까지 염증이 전파된 사례 (서울재생치과 미세현미경치료) 관련 이미지 1](https://pub-9f2bb3498faf4d1d8714b41df24753e3.r2.dev/content/clinics/archive/nqmm0udu86/naver_blog/honeybeevuvu/assets/by_hash/d40461031d474a99b0c122fa16bbe12c3a058b7823827f8d77ad0d7b3029773c.jpg)
![[재신경치료] 40대 남성, 윗 어금니 신경치료 후 상악동까지 염증이 전파된 사례 (서울재생치과 미세현미경치료) 관련 이미지 2](https://pub-9f2bb3498faf4d1d8714b41df24753e3.r2.dev/content/clinics/archive/nqmm0udu86/naver_blog/honeybeevuvu/assets/by_hash/240ef874c67960b73323b70f6d10e443f3bb6b464e8d1c4e7d9fa9a3cc95df26.jpg)
| 서울재생치과 전준희 대표원장 약력 |
|---|
| 서울대학교 치의학과 졸업서울대학교 치과병원 인턴 및 치과보존과 레지던트보건복지부 인증 치과보존과 전문의서울대학교 치과보존과 박사(현) 서울대학교 치과대학 외래교수(현) 서울재생치과 대표원장 |
서울재생치과에서
재신경치료로
상악동염을 극복하고
치아 건강을 회복한
40대 남성 환자분의
이야기입니다.
안녕하세요!
서울재생치과 대표원장 전준희입니다.
오늘은 40대 남성 환자분의 치료 사례를 통해 상악동염과 치아 염증을 재신경치료로 극복한 이야기를 나눠보려 합니다.
환자분께서는 만성적인 상악동염과 치통으로 고생하고 계셨습니다.
식사할 때 욱신거리던 치통이 이제는 가만히 있을 때도 환자분을 괴롭히는 수준이 되었습니다.
먼저 환자분의 통증 내력을 경청하고, 정확한 진단을 위해 육안검사 및 영상검사를 진행했습니다.
신경치료를 받은 치아에서 염증이 재발한 케이스.
상악동까지 감염이 전파되었습니다.
![[재신경치료] 40대 남성, 윗 어금니 신경치료 후 상악동까지 염증이 전파된 사례 (서울재생치과 미세현미경치료) 관련 이미지 3](https://pub-9f2bb3498faf4d1d8714b41df24753e3.r2.dev/content/clinics/archive/nqmm0udu86/naver_blog/honeybeevuvu/assets/by_hash/b9edd2a469cda719da5973540e412e852c8b46853d2f145201ef28264e97641d.jpg)
육안으로 환자분의 증상을 체크한 뒤,
영상검사를 시행했습니다.
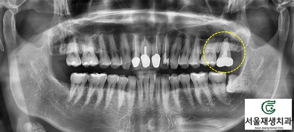
치아들의 단체사진인 파노라마를 먼저 촬영하여 문제 치아를 찾아냅니다.
보아하니 왼쪽 위 맨 끝에 있는 어금니군요.
![[재신경치료] 40대 남성, 윗 어금니 신경치료 후 상악동까지 염증이 전파된 사례 (서울재생치과 미세현미경치료) 관련 이미지 4](https://pub-9f2bb3498faf4d1d8714b41df24753e3.r2.dev/content/clinics/archive/nqmm0udu86/naver_blog/honeybeevuvu/assets/by_hash/e54db03b514dee54f713d7b0707eed503b8a89a2392ebcdc35e902399f4533b6.jpg)
치아의 독사진을 촬영해봅니다.
단체사진보다 더 풍부하고 디테일한 정보를 줍니다.
일견 잘 되어 있는 치료처럼 보이지만,
밀도가 깊이가 부족해보입니다.
치아 내의 신경조직 잔사가 남아서 염증을 일으킨 것으로 보입니다.
![[재신경치료] 40대 남성, 윗 어금니 신경치료 후 상악동까지 염증이 전파된 사례 (서울재생치과 미세현미경치료) 관련 이미지 5](https://pub-9f2bb3498faf4d1d8714b41df24753e3.r2.dev/content/clinics/archive/nqmm0udu86/naver_blog/honeybeevuvu/assets/by_hash/47c2f311f0c2d30333236e9f840310d41aba7550007bbc834d4d89dd0b264e04.jpg)
극심한 통증과 치아가 흔들리는 증상까지 호소하셨습니다. 염증의 크기가 제법 클 것 같습니다.
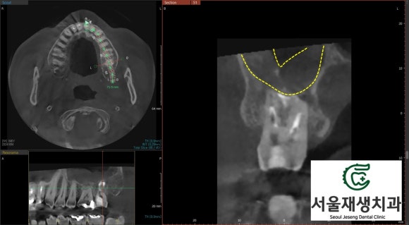
윗 어금니에 발생한 염증은 상악동(부비동의 하나, 광대뼈 하방에 존재하는 계란만한 크기의 빈 공간. 코와 연결되어 있음)으로 파급될 가능성이 있기에 CT를 촬영합니다.
상악동은 치아의 뿌리와 매우 가까운 위치에 있어 치아 염증이 상악동염으로 이어지는 경우가 종종 있기 때문입니다.
신경치료와 관련하여 촬영하는 CT는 건강보험이 적용되어 대략 2만원 초반의 비용이 발생합니다.
검사 결과, 상악동 내부에 염증이 가득 차 있는 것을 확인했습니다.
환자분께서는 과거에 신경치료를 받은 적이 있었지만, 치료가 완벽하게 이루어지지 않아 염증이 재발한 것이었습니다.
치아 문제로 인한 상악동염은 일반적인 상악동염 치료와 달리, 근본적인 원인인
치아 문제를 해결해야만 완치가 가능합니다.
그렇다면 치아에는 과연 어떤 문제가 있었던 걸까요?
(발치 대신 재신경치료를 선택할 수 있었던 이유)
그것은 다름아닌 숨어있던 신경조직이 있었기 때문이었습니다.
윗 어금니는 대개 2~4개의 신경 가닥이 치아 내부에 존재합니다.
이 환자분의 경우, 신경이 총 4개임에도 3개만 청소가 된 상태에서 치료가 마무리되었습니다.
신경을 모두 찾아내지 못하더라도 당장에는 뚜렷한 증상이 없는 경우가 있습니다.
문제는, 치료 후 몇 년이 지나면 발견됩니다.
청소되지 못한 신경관에 남아있던 신경 조직이 시간이 지남에 따라 부패하고, 치아를 감염시키는 것이죠.
그에 따라 뿌리 끝에 염증 주머니를 만들게 되고, 이것이 상악동과 연결된 경우 상악동염으로까지 발전할 수 있습니다.
저는 환자분께 재신경치료의 필요성을 설명드리고, 치료 과정과 예후에 대해 자세히 안내해 드렸습니다. 환자분께서도 자신의 상황을 이해하고 적극적으로 치료에 임하겠다는 의지를 보여주셨습니다.
Zeiss 미세현미경을 활용한
숨은 근관 찾기
![[재신경치료] 40대 남성, 윗 어금니 신경치료 후 상악동까지 염증이 전파된 사례 (서울재생치과 미세현미경치료) 관련 이미지 6](https://pub-9f2bb3498faf4d1d8714b41df24753e3.r2.dev/content/clinics/archive/nqmm0udu86/naver_blog/honeybeevuvu/assets/by_hash/2905ec7c00736194b2dcfd1409ba245935698acebbeb803f5dc130e05fcecf80.jpg)
재신경치료의 핵심은 이전 치료에서 미흡했던 부분을 개선하는 것입니다. 이번 케이스에는 이전에 치료하지 못한 숨은 신경관을 찾아내는 것이 치료 목표가 되겠습니다.
앞서 말씀드린대로, 치료되지 않고 남아있는 근관은 내부에 조직 잔사가 남아 추후 부패되어 염증을 일으키는 주요 원인이 되기 때문입니다.
저희 서울재생치과에서는 Zeiss 미세현미경을 사용하여 육안으로는 확인하기 어려운 미세한 근관까지 찾아내어 치료합니다.
이번 환자분의 경우에도 미세현미경 덕분에 숨어있던 근관을 발견하고 꼼꼼하게 치료할 수 있었습니다.
이전 치료에서 부족했던 부분을 개선하는 것이 재신경치료의 성공과 직결되기 때문에, 저는 항상 최선을 다해 이전 치료의 미흡한 점을 개선하고 보다 수준 깊이 있는 치료를 제공하기 위해 노력합니다.
CT와 일반 엑스레이를 통한 추적 관찰, 그리고 점차 나아지는 경과
재신경치료는 단기간에 끝나는 치료가 아니기에, 치료 과정을 꾸준히 모니터링하는 것이 중요합니다.
저희 서울재생치과에서는 신경치료용 CT와 구내 엑스레이를 주기적으로 촬영하여 염증의 축소 과정을 추적 관찰합니다.
![[재신경치료] 40대 남성, 윗 어금니 신경치료 후 상악동까지 염증이 전파된 사례 (서울재생치과 미세현미경치료) 관련 이미지 7](https://pub-9f2bb3498faf4d1d8714b41df24753e3.r2.dev/content/clinics/archive/nqmm0udu86/naver_blog/honeybeevuvu/assets/by_hash/81afd171fc6de9b6a907308f6100421fef798f244351cf4f0ce7b3fca3130656.jpg)
![[재신경치료] 40대 남성, 윗 어금니 신경치료 후 상악동까지 염증이 전파된 사례 (서울재생치과 미세현미경치료) 관련 이미지 8](https://pub-9f2bb3498faf4d1d8714b41df24753e3.r2.dev/content/clinics/archive/nqmm0udu86/naver_blog/honeybeevuvu/assets/by_hash/8f80dcfa9c11001aa6103be52d8adc34d7e148f9fd337212000192585251cdf6.jpg)
환자분의 경우에도 정기적인 검사를 통해 염증이 점차 줄어들고 상악동의 상태가 호전되는 것을 확인할 수 있었습니다.
처음 내원하셨을 때 얼굴에 가득했던 통증도 점차 사라지고, 환자분의 표정도 밝아지는 것을 보면서 저 역시 보람을 느꼈습니다.
환자분과 함께 치료 경과를 확인하고, 긍정적인 변화를 공유하는 과정은 의료진으로서 큰 기쁨이자 동기부여가 됩니다.
자연치를 오래 쓰게 하는 일,
서울재생치과가 잘합니다.
![[재신경치료] 40대 남성, 윗 어금니 신경치료 후 상악동까지 염증이 전파된 사례 (서울재생치과 미세현미경치료) 관련 이미지 9](https://pub-9f2bb3498faf4d1d8714b41df24753e3.r2.dev/content/clinics/archive/nqmm0udu86/naver_blog/honeybeevuvu/assets/by_hash/e54db03b514dee54f713d7b0707eed503b8a89a2392ebcdc35e902399f4533b6.jpg)
![[재신경치료] 40대 남성, 윗 어금니 신경치료 후 상악동까지 염증이 전파된 사례 (서울재생치과 미세현미경치료) 관련 이미지 10](https://pub-9f2bb3498faf4d1d8714b41df24753e3.r2.dev/content/clinics/archive/nqmm0udu86/naver_blog/honeybeevuvu/assets/by_hash/aacf3e8c21c712228b548e402d0eab13c64405245f9af07c4d4c544c028abb61.jpg)
치아의 흔들림이 사라지고, 식사 시 환자분의 불편감도 크게 감소했습니다.
엑스레이 상으로도 치아 주위의 염증이 감소한 것으로 보입니다.
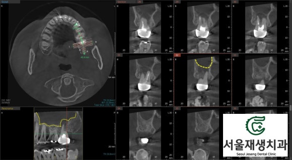
확실한 진단을 위해 CT를 촬영해보았습니다.
![[재신경치료] 40대 남성, 윗 어금니 신경치료 후 상악동까지 염증이 전파된 사례 (서울재생치과 미세현미경치료) 관련 이미지 11](https://pub-9f2bb3498faf4d1d8714b41df24753e3.r2.dev/content/clinics/archive/nqmm0udu86/naver_blog/honeybeevuvu/assets/by_hash/47c2f311f0c2d30333236e9f840310d41aba7550007bbc834d4d89dd0b264e04.jpg)
치료 전 촬영한 CT입니다.
상악동을 가득 메우고 있는 회색의 액체상이 관찰됩니다.
![[재신경치료] 40대 남성, 윗 어금니 신경치료 후 상악동까지 염증이 전파된 사례 (서울재생치과 미세현미경치료) 관련 이미지 12](https://pub-9f2bb3498faf4d1d8714b41df24753e3.r2.dev/content/clinics/archive/nqmm0udu86/naver_blog/honeybeevuvu/assets/by_hash/01999b586a57628d59b8df0e7e5d8687170b85ed551db6d1d2fdcb2c7cb2d9d4.jpg)
치료 4개월 차에 촬영한 사진입니다.
세면대에서 물이 빠지듯이, 상악동 내를 가득채우고 있는 염증물질이 축소된 것을 확인할 수 있습니다.
치료를 종료하기로 했습니다.
나머지는 시간에 맡기면 됩니다.
어금니의 신경치료는 반드시 크라운으로 마무리.
앞니는 특별히 우려되는 사안이 없다면 (큰 충치나 파절), 대개 신경치료 후 크라운을 씌우지 않습니다.
하지만 어금니는 가해지는 저작력 (=씹는 힘)과 함께 해야 하는 긴 세월을 고려했을 때, 반드시 튼튼한 크라운으로 보호를 해주어야 합니다.
40대 남성의 환자분께서는 깨질 우려가 없고 씹는 느낌이 편안한 금니를 선택하셨습니다.
![[재신경치료] 40대 남성, 윗 어금니 신경치료 후 상악동까지 염증이 전파된 사례 (서울재생치과 미세현미경치료) 관련 이미지 13](https://pub-9f2bb3498faf4d1d8714b41df24753e3.r2.dev/content/clinics/archive/nqmm0udu86/naver_blog/honeybeevuvu/assets/by_hash/b5d6d7678f3ea93ba685ad7562d4eba4fdf27fe3b2dadce4cbe5ab03d67e9205.jpg)
재신경치료 vs 임플란트
100세 시대를 내다보는 초고령사회에 진입한 지금, 자연치아를 오래 건강하게 사용하는 것은 매우 중요합니다.
치아를 빼고 임플란트를 하는 것은 수개월이 소요되는 장기간의 치료이며, 임플란트 역시 잇몸 염증이나 감염으로 조기에 탈락할 수 있습니다.
자연치아가 주는 편안함과 기능성을 완벽하게 대체할 수 있는 치과 재료는 아직 없습니다.
따라서 저는 환자분들께 가능한 한 자연치아를 보존하는 치료를 권해드립니다.
서울재생치과는 서울대학교 치과보존과 출신 전준희 원장이 상주하며 진료하는 고난이도 신경치료 및 재신경치료 전문 치과입니다.
이전에 치료받은 치아나 보철물에 불편감을 느끼시는 환자분들, 그리고 자연치아를 살리고 싶은 환자분들을 언제나 환영합니다.
재신경치료는 환자와 의료진 모두의 인내심이 필요한 섬세한 치료입니다.
저희 서울재생치과는 환자분들과 끊임없이 소통하고, 최선을 다해 치료에 임하며 자연치아를 지켜드리기 위해 노력하고 있습니다.
이번 40대 남성 환자분의 사례처럼, 재신경치료를 통해 상악동염과 치아 건강을 되찾을 수 있습니다. 포기하지 않고 꾸준히 치료에 임한다면 건강한 미소를 되찾을 수 있다는 희망을 잃지 않으시길 바랍니다.
신촌 서울재생치과는
재신경치료, 임플란트재수술,
실패한 보철물의 재제작 등
재치료 전문 치과입니다.
치과보존과 전문의 전준희 대표원장
신촌의 일등치과,
서울재생치과 찾아오시는 길
신촌역 1,2번 출구
올리브영 3층입니다.
![[재신경치료] 40대 남성, 윗 어금니 신경치료 후 상악동까지 염증이 전파된 사례 (서울재생치과 미세현미경치료) 관련 이미지 14](https://pub-9f2bb3498faf4d1d8714b41df24753e3.r2.dev/content/clinics/archive/nqmm0udu86/naver_blog/honeybeevuvu/assets/by_hash/2295e3e016fba4678a4a4bbd6c7ace50bb71832885d67a883d166fd322859fb2.jpg)
#재신경치료
#미세현미경신경치료
#자연치아살리기
#치과보존과전문의
#신촌치과
#신촌서울재생치과
더 보기
이 병원의 공개 콘텐츠를 계속 살펴보세요
출처 아카이브로 돌아가 더 많은 글을 보거나, 병원 프로필로 이동해 다른 공개 채널도 함께 비교해보세요.