![[재신경치료] 대학병원에서도 포기한 어금니...(재)재신경치료로 살려낸 이야기. (미세현미경Zeiss사용) 관련 이미지 1](https://pub-9f2bb3498faf4d1d8714b41df24753e3.r2.dev/content/clinics/archive/nqmm0udu86/naver_blog/honeybeevuvu/assets/by_hash/e7ba8f5093fa434e1986178ad13bcac1b89df51a9c6d469dcde40955170f0343.jpg)
안녕하세요.
신촌의 치아지킴희 전준희 원장입니다.
이 글을 읽고 계신 분들은
동네 치과에서
신경치료가 제대로 되지 않았거나,
큰병원 (대학병원)에 갔는데도 신통하게
차도가 없어 고민하고 계신 것으로 생각됩니다.
대학병원은 고난이도 치료 경험이 많고
학업적, 임상적 권위가 있으신 교수님들께서
진단 및 진료를 하시기 때문에
(일반의의 진료는 제외하고)
대부분의 경우,
동네치과 (로컬클리닉)에서 손대기 어려운 경우엔 대학병원에서 해결을 보시는 경우가 많습니다.
이번 사례는
인근 대학병원에서 발치를 권유 받으신 후,
저에게로 오신 40대 여성환자분의 이야기입니다.
결론적으로
재신경치료는 성공적이었고,
환자분은 발치하지 않고 본인의 치아를 잘 쓰고 계십니다.
혹시라도 제목을 보시고 오해하진 않으셨으면 좋겠습니다.
제가 대학병원 교수님보다 뛰어난 실력을 갖췄다는 얘기가 아닙니다.
그저 환자분과 저의 운이 좋았던 케이스이기 때문입니다.
그럼 본론으로 들어가겠습니다.
![[재신경치료] 대학병원에서도 포기한 어금니...(재)재신경치료로 살려낸 이야기. (미세현미경Zeiss사용) 관련 이미지 2](https://pub-9f2bb3498faf4d1d8714b41df24753e3.r2.dev/content/clinics/archive/nqmm0udu86/naver_blog/honeybeevuvu/assets/by_hash/d24757a8de535465368925fe11613cedc5ac49f0333521b0ec07f1ca42cb76b2.jpg)
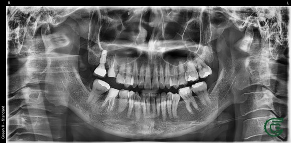
20240430
치아는 평생 함께하는 소중한 자산입니다.
특히,
무분별한 임플란트 시술이 늘어나는 요즘,
자연치를 오래 살리고 보존하는 것이
치과 전문의로서의 본분이라 생각합니다.
이 환자분은 인근 대학병원에서
오른쪽 위와 아래 어금니를 발치하라는
권유를 받았습니다.
그 이유는 치아 내부의 신경관이 극도로 막혀 있었기 때문이었습니다.
대학병원에서는 최신 현미경을 사용해 치료를 시도했지만,
신경관의 막힘으로 인해
더 이상의 치료 진행이 어렵다고 판단하여 발치를 권고한 상황이었죠.
그렇다면 신경관이 막힌다는 것은
무슨 뜻일까요?
신경관은 치아 내부에 미세한 관처럼 존재하는 통로로, 치아 속 신경과 혈관이 지나가는 길입니다.
시간이 지나면서 작은 침전물이나 석회화 현상 등으로 인해 이 통로가 점차 좁아지거나 막히게 됩니다.
이는 마치 좁은 골목길에 이물질이 쌓여 차량이 지나갈 수 없는 상황과도 같습니다.
이런 경우 재신경치료의 난이도가 급격히 상승하여, 일반적인 치료 방법으로는 한계에 부딪히게 됩니다.
![[재신경치료] 대학병원에서도 포기한 어금니...(재)재신경치료로 살려낸 이야기. (미세현미경Zeiss사용) 관련 이미지 3](https://pub-9f2bb3498faf4d1d8714b41df24753e3.r2.dev/content/clinics/archive/nqmm0udu86/naver_blog/honeybeevuvu/assets/by_hash/2905ec7c00736194b2dcfd1409ba245935698acebbeb803f5dc130e05fcecf80.jpg)
미세현미경을 이용하여 시술하는 모습입니다.
환자분께서는 치료 과정 동안 꾸준히 내원해 주시고,
각 치료 단계에 적극적으로 협조해 주셨습니다.
치료 직후에는 씹을 때 약간의 불편감이 있었지만, 이는 신경치료 후 흔히 나타나는 현상입니다.
일부 환자분은 비교적 빠르게 증상이 호전되지만, 경우에 따라서는 시간이 더 걸리기도 합니다.
이 환자분 역시 치료 후 초기에는 약간의 불편감을 호소하셨으나, 점차 호전되어 반 년 만에 다시 내원하셨습니다.
![[재신경치료] 대학병원에서도 포기한 어금니...(재)재신경치료로 살려낸 이야기. (미세현미경Zeiss사용) 관련 이미지 4](https://pub-9f2bb3498faf4d1d8714b41df24753e3.r2.dev/content/clinics/archive/nqmm0udu86/naver_blog/honeybeevuvu/assets/by_hash/bb4da40273c901bcd4e1f0a1c1e637c601287e90143db0c3bef1514461916fd9.jpg)
20240705
최종적으로 두 어금니 모두 건강한 상태로 확인된 후, 크라운을 이용한 최종 수복 작업을 진행했습니다.
다른 치과에서는 발치만을 권했다는 이야기를 들은 환자분은 “치아를 살릴 수 있다”는 믿음에 큰 기쁨을 감추지 못하셨습니다.
이 사례는 단순한 치료 성공을 넘어,
무분별한 임플란트 시술 대신 자연치를 보존하는 것이 얼마나 중요한지를 다시 한 번 일깨워줍니다.
치과 보존은 단순한 기술 이상의 의미를 가지며, 환자 한 분 한 분의 삶의 질과 자존감을 높여주는 중요한 치료 철학입니다.
앞으로도 최신 장비와 세심한 치료, 그리고 환자분과의 신뢰를 바탕으로 자연치를 지키기 위한 노력을 계속해 나갈 것입니다.
![[재신경치료] 대학병원에서도 포기한 어금니...(재)재신경치료로 살려낸 이야기. (미세현미경Zeiss사용) 관련 이미지 5](https://pub-9f2bb3498faf4d1d8714b41df24753e3.r2.dev/content/clinics/archive/nqmm0udu86/naver_blog/honeybeevuvu/assets/by_hash/c8e8d9b67e5e98be79bb99923f8b31d9ed8f5a0ed77e172038e0ac74750867c6.jpg)
20250122
#서울재생치과
#치과보존과전문의
#재신경치료
#현미경신경치료
#미세현미경신경치료