아카이브 요약
이 페이지의 역할
서울재생치과의원 신촌본원의 네이버 블로그 원문을 보존한 아카이브 페이지입니다. 준원장의 치과이야기 카테고리의 [재신경치료] 신경치료 받은 치아가 아프고 흔들려요 (ft. Zeiss미세현미경) 글을 통해 병원의 한국어 정보 제공 방식과 진료 관련 안내 톤을 확인할 수 있습니다.
원문 검증
필요하면 원문 블로그와 병원 프로필로 바로 이동해 문맥을 다시 확인할 수 있습니다.
출처 아카이브 열기아카이브된 블로그 글
서울재생치과의원 신촌본원 · 신촌 치아지킴희 전준희
안녕하세요. 신촌 서울재생치과 대표원장 전준희입니다. 저는 치과보존과 전문의로서 수없이 많은 신경치료와 재신경치료를 해왔습니다. 제게 오시는 분들 중 대다수가 치아의 급작스러운 통증, 잇몸의 염증, 치아의 흔들림을 안고 오십니다. 이번에 소개해드릴 케이스도 그러합니다. 왼쪽 위, 예전에 신경치료 받은 부...
게시일
2025년 3월 5일
원문 기준으로 확인된 발행일입니다.
카테고리
준원장의 치과이야기
원문 블로그 카테고리를 정리해 함께 표시합니다.
이미지 수
6
현재 아카이브에 연결된 이미지 수입니다.
아카이브 요약
서울재생치과의원 신촌본원의 네이버 블로그 원문을 보존한 아카이브 페이지입니다. 준원장의 치과이야기 카테고리의 [재신경치료] 신경치료 받은 치아가 아프고 흔들려요 (ft. Zeiss미세현미경) 글을 통해 병원의 한국어 정보 제공 방식과 진료 관련 안내 톤을 확인할 수 있습니다.
원문 검증
필요하면 원문 블로그와 병원 프로필로 바로 이동해 문맥을 다시 확인할 수 있습니다.
출처 아카이브 열기![[재신경치료] 신경치료 받은 치아가 아프고 흔들려요 (ft. Zeiss미세현미경) 관련 이미지 1](https://pub-9f2bb3498faf4d1d8714b41df24753e3.r2.dev/content/clinics/archive/nqmm0udu86/naver_blog/honeybeevuvu/assets/by_hash/a400804a0c818d5ec65f9736958ea33599e5aff10130851199a40faf23440165.jpg)
안녕하세요.
신촌 서울재생치과 대표원장 전준희입니다.
저는 치과보존과 전문의로서
수없이 많은 신경치료와 재신경치료를 해왔습니다.
제게 오시는 분들 중 대다수가
치아의 급작스러운 통증, 잇몸의 염증, 치아의 흔들림을 안고 오십니다.
이번에 소개해드릴 케이스도 그러합니다.
왼쪽 위, 예전에 신경치료 받은 부위에서
갑작스러운 통증, 그리고 갑작스러운 흔들림이 두 치아에 각 각 발생한 경우입니다.
30대 여자환자분이었고
발치를 피하기 위해 미세현미경을 이용한 재신경치료를 시도하였습니다.
환자분의 협조와 긍정적인 마음 덕에
치료가 원활히 진행되어 두 치아 모두를 지켜낼 수 있었습니다.
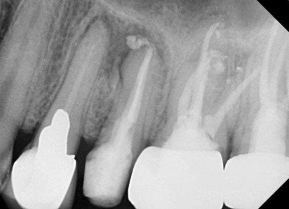
![[재신경치료] 신경치료 받은 치아가 아프고 흔들려요 (ft. Zeiss미세현미경) 관련 이미지 2](https://pub-9f2bb3498faf4d1d8714b41df24753e3.r2.dev/content/clinics/archive/nqmm0udu86/naver_blog/honeybeevuvu/assets/by_hash/ba6b2c07692ade1189471057dc1b4a19eae766b9ec14e55200a8d51006278f6e.jpg)
20240411
다수의 치아에 신경치료를 받으셨습니다.
신경치료 받은 치아 중 대부분은
뿌리 끝에 염증이 재발되어 있었습니다.
엑스레이 상에 염증이 보인다고 해서
모두 치료를 해야 하는 것은 아닙니다.
(물론 사이즈가 지나치게 크거나, 인접 해부학적 구조물을 위협하는 경우엔 치료를 권합니다)
가장 중요한 것은 환자분의 불편감입니다.
불편감, 더 나아가 통증이 있을 경우 주치의는 치료를 고려하게 됩니다.
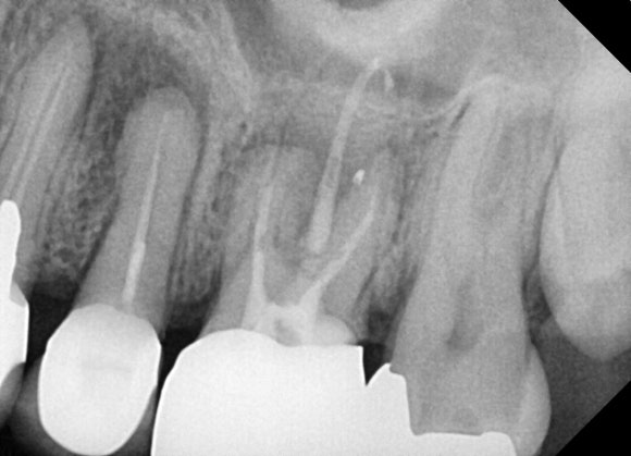
![[재신경치료] 신경치료 받은 치아가 아프고 흔들려요 (ft. Zeiss미세현미경) 관련 이미지 3](https://pub-9f2bb3498faf4d1d8714b41df24753e3.r2.dev/content/clinics/archive/nqmm0udu86/naver_blog/honeybeevuvu/assets/by_hash/f5078d3868fd6d794318c3b721a47d3e1699b4397238965b8f536f41f5b9c07c.jpg)
20240411
치료 전 사진입니다.
이전에 신경치료한 것이 약간 허술해보입니다.
옛날에는 영상 기술이나 기구, 재료가 지금만큼 우수하지 못했기 때문입니다.
그러나 구강 내에서 수년을 불편감없이 버텨냈습니다. 십년을 넘게 쓰시는 경우도 심심치않게 보입니다.
엑스레이상으로 어떻게 보이느냐보다는
실제로 환자분의 불편감과 이어지느냐가
재신경치료를 할지 말지를 결정한다고 보시면 되겠습니다.
![[재신경치료] 신경치료 받은 치아가 아프고 흔들려요 (ft. Zeiss미세현미경) 관련 이미지 4](https://pub-9f2bb3498faf4d1d8714b41df24753e3.r2.dev/content/clinics/archive/nqmm0udu86/naver_blog/honeybeevuvu/assets/by_hash/9f00ccc20f640165cff3e16fa7232bf8e0db281d4e5dfe4006ac4f2973eb398f.jpg)
20250120
다수의 내원으로 두 치아의 재신경치료를 완료하였습니다.
치료 전 사진은 4월, 치료 후 사진은 이듬해 1월입니다.
하나씩 하나씩 진행하느라 (가장 우측에 있는 어금니도 신경치료를 진행했습니다) 시간이 오래 걸렸습니다. 총 3개의 치아를 연달아 치료해드렸네요.
가장 왼쪽에 있는 치아도 추적관찰하여
증상이 발생하면 재신경치료를 하기로 했습니다.
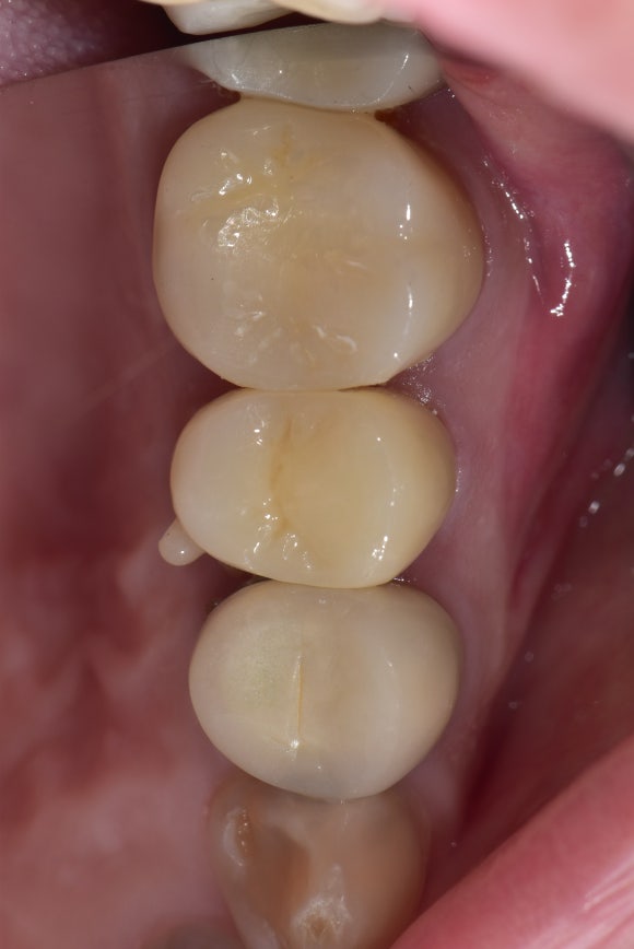
![[재신경치료] 신경치료 받은 치아가 아프고 흔들려요 (ft. Zeiss미세현미경) 관련 이미지 5](https://pub-9f2bb3498faf4d1d8714b41df24753e3.r2.dev/content/clinics/archive/nqmm0udu86/naver_blog/honeybeevuvu/assets/by_hash/5b2af31e673f5e342e2c2be092364acbd2b066421ae32499d9e20ee972f700f1.jpg)
20250225
치료의 마무리는 튼튼한 크라운입니다.
눈에 잘 띄는 부위는 지르코니아 크라운이 좋습니다.
튼튼하고 예뻐서요.
사진보다 실물이 더 예쁩니다.
![[재신경치료] 신경치료 받은 치아가 아프고 흔들려요 (ft. Zeiss미세현미경) 관련 이미지 6](https://pub-9f2bb3498faf4d1d8714b41df24753e3.r2.dev/content/clinics/archive/nqmm0udu86/naver_blog/honeybeevuvu/assets/by_hash/307000bf77c8361cd38ad3843717cbff2d3dd8e6d563c7ee720ce9de86ed215f.jpg)
20250225
치료 후 찍은 치아들의 단체사진입니다.
엑스레이 상 염증이 보여 지켜보고 있는 치아들이 여럿 있습니다. 모쪼록 문제를 일으키지 않았으면 합니다^^;
이번엔 치료 받은 치아들도 오래 오래 쓰시길 희망해봅니다.
#재신경치료
#미세현미경
#치과보존과전문의
#치아지킴희전준희원장