Seoul Jeseng Dental Korea - English
[임플란트] 재신경치료를 시도할 수 없을 때. 뼈이식 없는 임플란트 시술로 간편하게.
안녕하세요. 신촌 지아지킴희 전준희 원장입니다. 20240809 60대 남자분께서 오셨습니다. 왼쪽 아래 어금니를 발치해야 한다고 다른 치과에서 들으셨다고 합니다. 엑스레이를 보니 신경치료를 하고 크라운을 씌운 치아였는데, 크라운 하방의 충치가 너무 심해서 남아있는 치아가 거의 없는 상...
아카이브 요약
이 페이지의 역할
Seoul Jeseng Dental Korea - English, French Speaking Dentist | 서울재생치과 - 임플란트 투명교정 신경치료의 네이버 블로그 원문을 보존한 아카이브 페이지입니다. 준원장의 치과이야기 카테고리의 [임플란트] 재신경치료를 시도할 수 없을 때. 뼈이식 없는 임플란트 시술로 간편하게. 글을 통해 병원의 한국어 정보 제공 방식과 진료 관련 안내 톤을 확인할 수 있습니다.
![[임플란트] 재신경치료를 시도할 수 없을 때. 뼈이식 없는 임플란트 시술로 간편하게. 관련 이미지 1](https://pub-9f2bb3498faf4d1d8714b41df24753e3.r2.dev/content/clinics/archive/nqmm0udu86/naver_blog/honeybeevuvu/assets/by_hash/5ee1a920f75ae9de517d705709222a9892503cc3896b9145f2a3148069e56c74.jpg)
안녕하세요.
신촌 지아지킴희 전준희 원장입니다.
![[임플란트] 재신경치료를 시도할 수 없을 때. 뼈이식 없는 임플란트 시술로 간편하게. 관련 이미지 2](https://pub-9f2bb3498faf4d1d8714b41df24753e3.r2.dev/content/clinics/archive/nqmm0udu86/naver_blog/honeybeevuvu/assets/by_hash/a4a0bdf7aee9e558136c84e0972c2086ee23646ffbaeffd97b693648d791af76.jpg)
![[임플란트] 재신경치료를 시도할 수 없을 때. 뼈이식 없는 임플란트 시술로 간편하게. 관련 이미지 3](https://pub-9f2bb3498faf4d1d8714b41df24753e3.r2.dev/content/clinics/archive/nqmm0udu86/naver_blog/honeybeevuvu/assets/by_hash/160fa91fb96445f3144a72a99a3f7be4541ff3bc5231500296d5dbdca224e7ae.jpg)
20240809
60대 남자분께서 오셨습니다.
왼쪽 아래 어금니를 발치해야 한다고 다른 치과에서 들으셨다고 합니다.
엑스레이를 보니
신경치료를 하고 크라운을 씌운 치아였는데,
크라운 하방의 충치가 너무 심해서
남아있는 치아가 거의 없는 상태였습니다.
"치아머리가 많이 상해있어서 재신경치료를 한다 한들, 나중에 머리를 다시 만들 수가 없겠습니다."
"발치하시는 것이 좋겠습니다"
안타까운 마음이었습니다.
조금이라도 남아있으면 레진파이버 기둥을 세워서 머리 부분을 보강할 수 있었을텐데 말입니다.
![[임플란트] 재신경치료를 시도할 수 없을 때. 뼈이식 없는 임플란트 시술로 간편하게. 관련 이미지 4](https://pub-9f2bb3498faf4d1d8714b41df24753e3.r2.dev/content/clinics/archive/nqmm0udu86/naver_blog/honeybeevuvu/assets/by_hash/6fd2a664b159f21560b29cb9ec04615511d887a0446f78f55b8ab37e82913da4.jpg)
20240809
겉으로 보기엔 멀쩡해보입니다.
![[임플란트] 재신경치료를 시도할 수 없을 때. 뼈이식 없는 임플란트 시술로 간편하게. 관련 이미지 5](https://pub-9f2bb3498faf4d1d8714b41df24753e3.r2.dev/content/clinics/archive/nqmm0udu86/naver_blog/honeybeevuvu/assets/by_hash/58d672990c57c22b51f95eff96263eb36908089ba8b7159c7ff43122926e3983.jpg)
20240809
크라운을 뜯으니 썩은 뿌리가 보입니다.
뿌리가 썩으면 치아는 더 이상 기능을 할 수가 없습니다.
![[임플란트] 재신경치료를 시도할 수 없을 때. 뼈이식 없는 임플란트 시술로 간편하게. 관련 이미지 6](https://pub-9f2bb3498faf4d1d8714b41df24753e3.r2.dev/content/clinics/archive/nqmm0udu86/naver_blog/honeybeevuvu/assets/by_hash/c74ccb33ca36b9d6253421ad6c89558634bb9e62ee48171f2602f6c713f42346.jpg)
20240810
깨끗하게 발치를 하고 다음 날 모습입니다.
감염 없이 잘 아물고 있습니다.
![[임플란트] 재신경치료를 시도할 수 없을 때. 뼈이식 없는 임플란트 시술로 간편하게. 관련 이미지 7](https://pub-9f2bb3498faf4d1d8714b41df24753e3.r2.dev/content/clinics/archive/nqmm0udu86/naver_blog/honeybeevuvu/assets/by_hash/42d40506f6ed7101d72d9c5b7af720bb11dfe27785bb382b13f0d1c199697bb1.jpg)
20240923
발치 후 한 달 정도가 지나면
잇몸이 새로 차오릅니다.
세상의 치과의사 수 만큼이나 다양한 접근 방법이 있겠지만,
저는 발치 후 최소 한 달은 기다렸다가 임플란트 수술을 하는 것을 선호합니다.
가능하면 두 달, 세 달까지도요.
인체의 회복력으로 새로운 잇몸과 새로운 뼈가 재생되는 것을 기다리는 것이 ,
일견 오래 걸리고 답답해보여도 장기적으로는 안정적이더라구요.
현재의 저는 그렇게 생각합니다만,
새로운 연구 결과나 기술의 발전에 의해 앞으로 생각이 달라질 수도 있겠죠.
![[임플란트] 재신경치료를 시도할 수 없을 때. 뼈이식 없는 임플란트 시술로 간편하게. 관련 이미지 8](https://pub-9f2bb3498faf4d1d8714b41df24753e3.r2.dev/content/clinics/archive/nqmm0udu86/naver_blog/honeybeevuvu/assets/by_hash/d0b1dd1dc973c17333870a883b6075fe5ab26eb878bb9d03d2c7f11e56c5e818.jpg)
20241031
임플란트를 식립했습니다.
아직은 뿌리만 있습니다.
![[임플란트] 재신경치료를 시도할 수 없을 때. 뼈이식 없는 임플란트 시술로 간편하게. 관련 이미지 9](https://pub-9f2bb3498faf4d1d8714b41df24753e3.r2.dev/content/clinics/archive/nqmm0udu86/naver_blog/honeybeevuvu/assets/by_hash/5bb01a61ff604c1c591410186140973f67a29f345b66b98d8180fb4138a8f81b.jpg)
20241031
임플란트의 방향과 위치도 안정적입니다.
![[임플란트] 재신경치료를 시도할 수 없을 때. 뼈이식 없는 임플란트 시술로 간편하게. 관련 이미지 10](https://pub-9f2bb3498faf4d1d8714b41df24753e3.r2.dev/content/clinics/archive/nqmm0udu86/naver_blog/honeybeevuvu/assets/by_hash/c46e64e4b58a10c7b1c8c3673decffb647a57980aa159b63c260cc01d2241913.jpg)
20241108
수술 일주일 후, 실밥을 제거했습니다.
아직은 잇몸이 부어있죠.
수술할 때 내 잇몸을 잘라내는 것이 아니라
잇몸을 옆으로 이동시켜서
임플란트 주위를 건강하고 튼튼한 잇몸이 둘러쌀 수 있도록 배치했습니다.
![[임플란트] 재신경치료를 시도할 수 없을 때. 뼈이식 없는 임플란트 시술로 간편하게. 관련 이미지 11](https://pub-9f2bb3498faf4d1d8714b41df24753e3.r2.dev/content/clinics/archive/nqmm0udu86/naver_blog/honeybeevuvu/assets/by_hash/83c6209e0f6d6269697c6c6a431970ed5bfb64f3bfff0ad89979ddc8c40a4b91.jpg)
20241210
역시나 수술 후 한 달이 경과하자
아무 일도 없었다는 듯이 잇몸이 건강하게 회복되었습니다.
뼈 이식은 비교적 쉽지만
잇몸 이식은 환자나 술자에게 꽤나 번거로운 과정입니다. 회복 과정도 불편하고요.
가능하면 환자분의 잇몸이 재생되는 방향으로 수술을 계획합니다.
![[임플란트] 재신경치료를 시도할 수 없을 때. 뼈이식 없는 임플란트 시술로 간편하게. 관련 이미지 12](https://pub-9f2bb3498faf4d1d8714b41df24753e3.r2.dev/content/clinics/archive/nqmm0udu86/naver_blog/honeybeevuvu/assets/by_hash/54becd9f7e7f98acf3a669a8d31d52b93631907350df5a1627a96755534e2d2c.jpg)
20250210
임플란트 뿌리를 노출시켜
크라운(머리부분)을 만들 준비를 합니다.
![[임플란트] 재신경치료를 시도할 수 없을 때. 뼈이식 없는 임플란트 시술로 간편하게. 관련 이미지 13](https://pub-9f2bb3498faf4d1d8714b41df24753e3.r2.dev/content/clinics/archive/nqmm0udu86/naver_blog/honeybeevuvu/assets/by_hash/98d883fbd779d499c82c0ae889cf399191187722a325acef34f5cff60bcf8441.jpg)
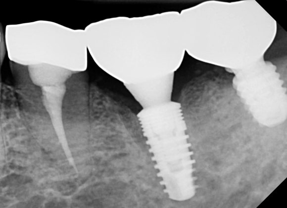
20250217
크라운이 완성되었습니다.
장기적인 안정성을 위해
임플란트 수술 후 3개월 정도가 지난 다음에
최종 크라운 만드는 것을 선호합니다.
![[임플란트] 재신경치료를 시도할 수 없을 때. 뼈이식 없는 임플란트 시술로 간편하게. 관련 이미지 14](https://pub-9f2bb3498faf4d1d8714b41df24753e3.r2.dev/content/clinics/archive/nqmm0udu86/naver_blog/honeybeevuvu/assets/by_hash/8984a3724d2a72b4acc3b5aef790dde592517cae62ebc3bc3cf4fb568522ca36.jpg)
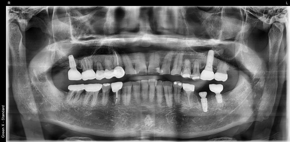
20250217
최종 파노라마 사진입니다.
- 워랜텍 임플란트를 사용했습니다. 출시 이후로 거의 변하지 않은 안정적인 디자인, 믿음직스러운 임상결과로 저는 워랜텍을 선호합니다.
더 보기
이 병원의 공개 콘텐츠를 계속 살펴보세요
출처 아카이브로 돌아가 더 많은 글을 보거나, 병원 프로필로 이동해 다른 공개 채널도 함께 비교해보세요.