Seoul Jeseng Dental Korea - English
[신경치료] 아래 어금니를 신경치료 할 때 치료할 때 알아야 할 것 (C형근관,고난이도치료)
안녕하세요. 치과보존과 전문의이자 신촌의 치아지킴희 전준희 원장입니다. 오늘은 아래 맨 끝 어금니를 치료할 때 종종 만나는 불청객을 소개하겠습니다. 바로 C형근관입니다. 치아 내부에는 신경이 자리잡고 있는데요, 대부분의 어금니는 신경이 머리부터 뿌리까지 일직선으로 쭉쭉 뻗어있습니다. 하지만 C...
아카이브 요약
이 페이지의 역할
Seoul Jeseng Dental Korea - English, French Speaking Dentist | 서울재생치과 - 임플란트 투명교정 신경치료의 네이버 블로그 원문을 보존한 아카이브 페이지입니다. 준원장의 치과이야기 카테고리의 [신경치료] 아래 어금니를 신경치료 할 때 치료할 때 알아야 할 것 (C형근관,고난이도치료) 글을 통해 병원의 한국어 정보 제공 방식과 진료 관련 안내 톤을 확인할 수 있습니다.
![[신경치료] 아래 어금니를 신경치료 할 때 치료할 때 알아야 할 것 (C형근관,고난이도치료) 관련 이미지 1](https://pub-9f2bb3498faf4d1d8714b41df24753e3.r2.dev/content/clinics/archive/nqmm0udu86/naver_blog/honeybeevuvu/assets/by_hash/62a50e9445ae544006b77b1057974b0a3019fd04cfc0e22f508bf69298b56bd1.jpg)
![[신경치료] 아래 어금니를 신경치료 할 때 치료할 때 알아야 할 것 (C형근관,고난이도치료) 관련 이미지 2](https://pub-9f2bb3498faf4d1d8714b41df24753e3.r2.dev/content/clinics/archive/nqmm0udu86/naver_blog/honeybeevuvu/assets/by_hash/240ef874c67960b73323b70f6d10e443f3bb6b464e8d1c4e7d9fa9a3cc95df26.jpg)
안녕하세요.
치과보존과 전문의이자
신촌의 치아지킴희
전준희 원장입니다.
오늘은 아래 맨 끝 어금니를 치료할 때
종종 만나는 불청객을 소개하겠습니다.
바로 C형근관입니다.
치아 내부에는 신경이 자리잡고 있는데요,
대부분의 어금니는 신경이 머리부터 뿌리까지 일직선으로 쭉쭉 뻗어있습니다.
하지만 C형근관의 경우,
신경들이 커튼처럼 한데 붙어있어
접근이 어려울 뿐 아니라,
접근한다고 해도 완전한 제거가 어렵습니다.
C형 근관의 해부학적인 구조에 대한
가장 대표적인 논문을 함께 살펴보면서
설명을 드리고자 합니다.
![[신경치료] 아래 어금니를 신경치료 할 때 치료할 때 알아야 할 것 (C형근관,고난이도치료) 관련 이미지 3](https://pub-9f2bb3498faf4d1d8714b41df24753e3.r2.dev/content/clinics/archive/nqmm0udu86/naver_blog/honeybeevuvu/assets/by_hash/1db0064c711f1796cfbc7e208cc0cc5778bcc8dbd1116ca7775547f398476543.png)
International Endodontic Journal이라는
신경치료계의 공신력있는 저널에서 발췌하였습니다.
유럽을 베이스로 하고 있고,
미국으로 베이스로 한 저널에는 Journal of Endodontics가 있습니다.
둘 다 훌륭한 저널이고, 저 또한 양쪽의 논문들을 읽으면서 공부해왔습니다.
![[신경치료] 아래 어금니를 신경치료 할 때 치료할 때 알아야 할 것 (C형근관,고난이도치료) 관련 이미지 4](https://pub-9f2bb3498faf4d1d8714b41df24753e3.r2.dev/content/clinics/archive/nqmm0udu86/naver_blog/honeybeevuvu/assets/by_hash/f91a75da5fc6a4e42ce45589d6ec9d3a0e0a91ee4adb8eb5a8561e2cc71c37ed.png)
https://doi.org/10.1111/iej.12256
C형 근관의 가장 두드러지는 특징은,
뿌리가 콘 모양으로 모여있다는 점입니다.
두 다리를 쭉쭉 뻗고 있는 것이 아니라,
두 다리를 공손히 모은, 혹은 다리를 꼬고 있는 모양이라고 보시면 되겠습니다.
치아의 다리(=뿌리) 속에 신경이 존재하기 때문에,
다리를 모으고 있는 C형근관 내의 신경은 서로 서로 불규칙하게 융합이 되어 있습니다.
신경치료의 난이도가 많이 높아집니다.
![[신경치료] 아래 어금니를 신경치료 할 때 치료할 때 알아야 할 것 (C형근관,고난이도치료) 관련 이미지 5](https://pub-9f2bb3498faf4d1d8714b41df24753e3.r2.dev/content/clinics/archive/nqmm0udu86/naver_blog/honeybeevuvu/assets/by_hash/5d52c4f10e016e99b2d322d760e26c8eb288c66be3d6c2fd706d953f6566318c.png)
https://doi.org/10.1111/iej.12256
치아 뿌리를 단면으로 잘라보면, (a)처럼 C자 모양의 신경이 치아 내부에서 관찰됩니다.
![[신경치료] 아래 어금니를 신경치료 할 때 치료할 때 알아야 할 것 (C형근관,고난이도치료) 관련 이미지 6](https://pub-9f2bb3498faf4d1d8714b41df24753e3.r2.dev/content/clinics/archive/nqmm0udu86/naver_blog/honeybeevuvu/assets/by_hash/dc3c51c6bcc36524a5c5978c29b1b6e550a7ef293ad3c90e50b5d949eb7b9c30.png)
https://doi.org/10.1111/iej.12256
(a)는 보통의 어금니 신경계, (b)~(d)는 다양한 C형 근관의 해부학적 구조를 보여줍니다.
규칙이랄게 없습니다.
매우 예외가 많고 치료 시 아예 건드려지지 못하는 부분도 꽤 되리라 봅니다.
![[신경치료] 아래 어금니를 신경치료 할 때 치료할 때 알아야 할 것 (C형근관,고난이도치료) 관련 이미지 7](https://pub-9f2bb3498faf4d1d8714b41df24753e3.r2.dev/content/clinics/archive/nqmm0udu86/naver_blog/honeybeevuvu/assets/by_hash/a3e5e65920557dd3903eb26ac291193cea636cc33ad3a7b8da3076bcb037ba0d.png)
https://doi.org/10.1111/iej.12256
불행히도..
C형근관이 가장 많은 곳은 바로 동북아시아입니다.
특히 대한민국이죠.
30프로 이상이라고 하니 3명에 한 명 꼴로 발견됩니다.
우리나라 치과보존과 선생님들의 실력이 우수한데는 이유가 있는 것 같습니다^^;
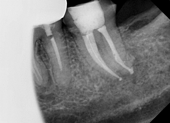
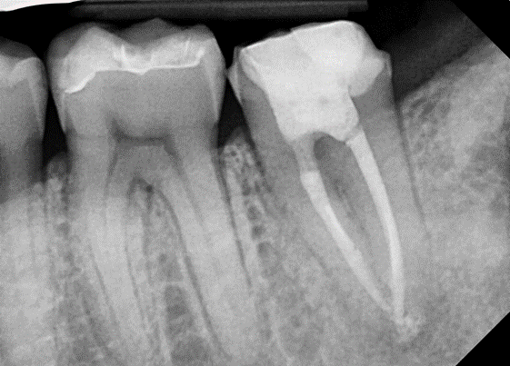
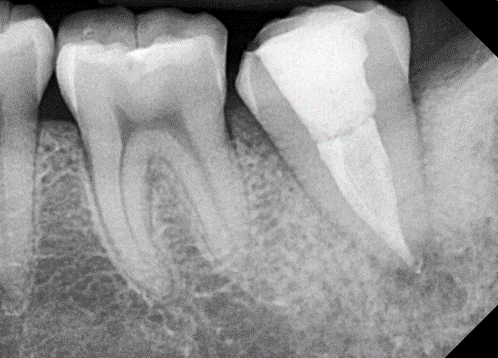
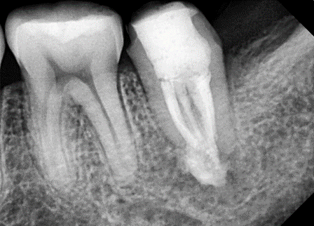
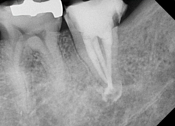
제가 근래에 만난 C형근관을 소개합니다.
![[신경치료] 아래 어금니를 신경치료 할 때 치료할 때 알아야 할 것 (C형근관,고난이도치료) 관련 이미지 8](https://pub-9f2bb3498faf4d1d8714b41df24753e3.r2.dev/content/clinics/archive/nqmm0udu86/naver_blog/honeybeevuvu/assets/by_hash/fcd3afb7ba669bd9ca78c8bc82ee37b3cad75895d59099a1bcd31c0deeb7b1a1.png)
본원의 C형 근관 치료 예시 -20대 여성
![[신경치료] 아래 어금니를 신경치료 할 때 치료할 때 알아야 할 것 (C형근관,고난이도치료) 관련 이미지 9](https://pub-9f2bb3498faf4d1d8714b41df24753e3.r2.dev/content/clinics/archive/nqmm0udu86/naver_blog/honeybeevuvu/assets/by_hash/fd9894626b80ca017415b65191ddb6fdf8dc092b65cd5990929c538cd1085212.png)
본원의 C형 근관 치료 예시 -30대 여성
![[신경치료] 아래 어금니를 신경치료 할 때 치료할 때 알아야 할 것 (C형근관,고난이도치료) 관련 이미지 10](https://pub-9f2bb3498faf4d1d8714b41df24753e3.r2.dev/content/clinics/archive/nqmm0udu86/naver_blog/honeybeevuvu/assets/by_hash/d394d56c30560fcc5ca8c52eb5a94846c71e2e04c9dac8d1a9beef9183d30831.png)
본원의 C형 근관 치료 예시 -20대 남성
![[신경치료] 아래 어금니를 신경치료 할 때 치료할 때 알아야 할 것 (C형근관,고난이도치료) 관련 이미지 11](https://pub-9f2bb3498faf4d1d8714b41df24753e3.r2.dev/content/clinics/archive/nqmm0udu86/naver_blog/honeybeevuvu/assets/by_hash/a66b77b7d634590bfd441fa7b8ee18892602266b984b692e532867bcd3b0d027.png)
본원의 C형 근관 치료 예시 -20대 여성
![[신경치료] 아래 어금니를 신경치료 할 때 치료할 때 알아야 할 것 (C형근관,고난이도치료) 관련 이미지 12](https://pub-9f2bb3498faf4d1d8714b41df24753e3.r2.dev/content/clinics/archive/nqmm0udu86/naver_blog/honeybeevuvu/assets/by_hash/051812012ea2b6814b620acc871bfdd0627fadd9ddf0a8f1ecafc7120a852c84.png)
본원의 C형 근관 치료 예시 -20대 남성
어느 것 하나 같은 모양이 없습니다.
물론 C형근관의 표준적인 카테고리는 존재합니다.
그러나 늘 방심하지 않고 꼼꼼하게 치료하고자 노력합니다.
내 눈을 밝혀주는 현미경,
내 손이 닿지 않는 곳을 찾아서 청소해주는 초음파기기등의 도움을 받아 최선의 진료를 하고자 노력합니다.
![[신경치료] 아래 어금니를 신경치료 할 때 치료할 때 알아야 할 것 (C형근관,고난이도치료) 관련 이미지 13](https://pub-9f2bb3498faf4d1d8714b41df24753e3.r2.dev/content/clinics/archive/nqmm0udu86/naver_blog/honeybeevuvu/assets/by_hash/2905ec7c00736194b2dcfd1409ba245935698acebbeb803f5dc130e05fcecf80.jpg)
현미경시술을 하는 제 모습입니다^^
![[신경치료] 아래 어금니를 신경치료 할 때 치료할 때 알아야 할 것 (C형근관,고난이도치료) 관련 이미지 14](https://pub-9f2bb3498faf4d1d8714b41df24753e3.r2.dev/content/clinics/archive/nqmm0udu86/naver_blog/honeybeevuvu/assets/by_hash/544f50ddc2d8c0a5f196f1382622766884ba5ec40fd03743b8a9fd437572dc5e.png)
초음파를 이용하여 직선인 기구가 닿지 않는
치아 구석구석을 샅샅이 청소해줄 수 있습니다.
치아 내부를 깨끗이 비워내는 것이 중요합니다.
모두 무탈한 신경치료를 받으시길 기원하며
이번 포스팅을 마칩니다^^
자연치아의 치료는 치과보존과전문의가 잘합니다.
대한치과보존학회 사이트를 방문하시면
인근의 치과보존과 전문의를 찾으실 수 있습니다.
#치과보존과전문의
#신촌치아지킴희전준희원장
더 보기
이 병원의 공개 콘텐츠를 계속 살펴보세요
출처 아카이브로 돌아가 더 많은 글을 보거나, 병원 프로필로 이동해 다른 공개 채널도 함께 비교해보세요.