Seoul Jeseng Dental Korea - English
[재신경치료] 아래 어금니를 영국에서 신경치료 했는데, 아파져서 다시 치료 받고 싶어요.
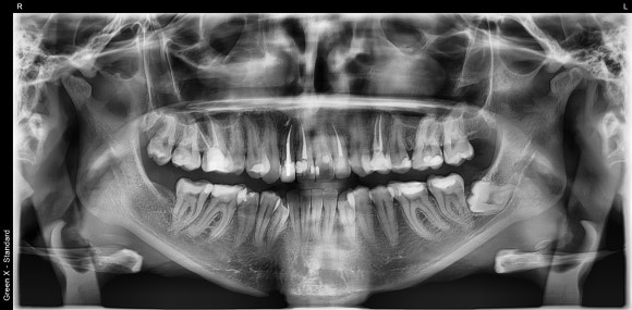
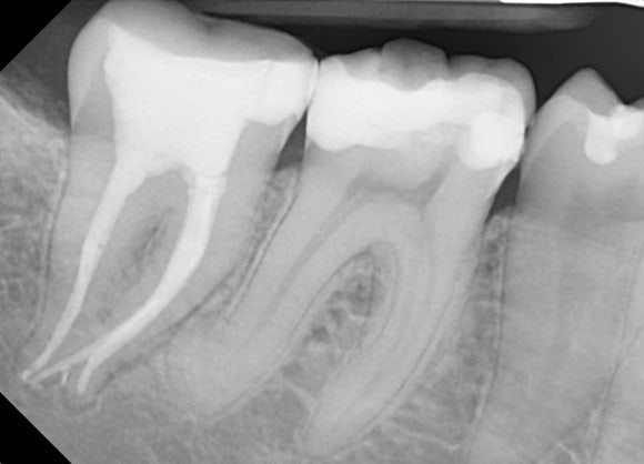
안녕하세요. 신촌치아지킴희 치과보존과 전문의 전준희 원장입니다. 오늘은 20대의 외국인 환자분의 케이스를 소개하려고 합니다. 영국에서 거주중이신 이 환자분은, 오른쪽 아래 어금니를 치료 받으신 후 통증이 재발하셨다고 합니다. 주치의 선생님이 내부를 보시고 기존에 치료했던 것을 모두 제거해주셨다고...
아카이브 요약
이 페이지의 역할
Seoul Jeseng Dental Korea - English, French Speaking Dentist | 서울재생치과 - 임플란트 투명교정 신경치료의 네이버 블로그 원문을 보존한 아카이브 페이지입니다. 준원장의 치과이야기 카테고리의 [재신경치료] 아래 어금니를 영국에서 신경치료 했는데, 아파져서 다시 치료 받고 싶어요. 글을 통해 병원의 한국어 정보 제공 방식과 진료 관련 안내 톤을 확인할 수 있습니다.
![[재신경치료] 아래 어금니를 영국에서 신경치료 했는데, 아파져서 다시 치료 받고 싶어요. 관련 이미지 1](https://pub-9f2bb3498faf4d1d8714b41df24753e3.r2.dev/content/clinics/archive/nqmm0udu86/naver_blog/honeybeevuvu/assets/by_hash/558241521f3f8fe77918c076ca63f1491a0adb1902215c7f3ff890c293e2fe6e.jpg)
![[재신경치료] 아래 어금니를 영국에서 신경치료 했는데, 아파져서 다시 치료 받고 싶어요. 관련 이미지 2](https://pub-9f2bb3498faf4d1d8714b41df24753e3.r2.dev/content/clinics/archive/nqmm0udu86/naver_blog/honeybeevuvu/assets/by_hash/240ef874c67960b73323b70f6d10e443f3bb6b464e8d1c4e7d9fa9a3cc95df26.jpg)
안녕하세요.
신촌치아지킴희
치과보존과 전문의 전준희 원장입니다.
오늘은 20대의 외국인 환자분의 케이스를
소개하려고 합니다.
![[재신경치료] 아래 어금니를 영국에서 신경치료 했는데, 아파져서 다시 치료 받고 싶어요. 관련 이미지 3](https://pub-9f2bb3498faf4d1d8714b41df24753e3.r2.dev/content/clinics/archive/nqmm0udu86/naver_blog/honeybeevuvu/assets/by_hash/d93c53abe2c579f8e5961b6dd1addf491cb18fc00d2eb27080c9db41e32516e0.jpg)
영국에서 거주중이신 이 환자분은,
오른쪽 아래 어금니를 치료 받으신 후
통증이 재발하셨다고 합니다.
![[재신경치료] 아래 어금니를 영국에서 신경치료 했는데, 아파져서 다시 치료 받고 싶어요. 관련 이미지 4](https://pub-9f2bb3498faf4d1d8714b41df24753e3.r2.dev/content/clinics/archive/nqmm0udu86/naver_blog/honeybeevuvu/assets/by_hash/1525a1e6bbf4558e3480f520c10f35245df949443cb39251d37a03bda07baa80.jpg)
주치의 선생님이
내부를 보시고
기존에 치료했던 것을 모두 제거해주셨다고 합니다.
이제 다시금
재신경치료를 받으실 때가 되셨는데요,
마침 한국 여행을 계획하시다가
제 치과를 알게되시어 내원하셨습니다.
![[재신경치료] 아래 어금니를 영국에서 신경치료 했는데, 아파져서 다시 치료 받고 싶어요. 관련 이미지 5](https://pub-9f2bb3498faf4d1d8714b41df24753e3.r2.dev/content/clinics/archive/nqmm0udu86/naver_blog/honeybeevuvu/assets/by_hash/e8a696fb9a11eb812a07dd9b0cf5e80b9ddedb828d6e3d2cec7fb1639ff3ce4e.jpg)
한국에 거주하시는 분이 아니었기 때문에
출국 일정에 맞추느라고 조금 서둘러야했지요.
환자분도 이 점을 이해하시고
치료에 적극 협조해주셔서
세 번째 내원만에 깨끗하고 완전한 치료를
할 수 있게 되었습니다.
치아 신경 협착이 심한 케이스였지만
환자분의 적극적인 참여와 협조 덕에
순탄하게 마무리되었습니다.
세 번만에 불편감이 모두 사라지셔서
매우 기뻐하셨던 모습이 생각나네요^^
시간이 부족해서
크라운은 본국에 돌아가서 하시기로 했습니다.
20대 여성 환자분의 어금니를
건강하게 회복시킨,
아주 보람있는 증례였습니다.
더 보기
이 병원의 공개 콘텐츠를 계속 살펴보세요
출처 아카이브로 돌아가 더 많은 글을 보거나, 병원 프로필로 이동해 다른 공개 채널도 함께 비교해보세요.