Seoul Jeseng Dental Korea - English
[신경치료] 예전에 크라운을 씌운 치아인데 갑자기 시려졌어요.
안녕하세요. 신촌치아지킴희 전준희 원장입니다. 저는 치과보존과 전문의입니다. 자연치아의 상태를 진단하고 그에 맞는 치료를 하는 것이 제 업입니다. 20대 여성 환자분께서 오른쪽 어금니의 참지못할 시린 증상을 안고 오셨습니다. 검사결과 오른쪽 아래의 크라운을 씌운 치아에서 극심한 통증이 발생하는 것...
아카이브 요약
이 페이지의 역할
Seoul Jeseng Dental Korea - English, French Speaking Dentist | 서울재생치과 - 임플란트 투명교정 신경치료의 네이버 블로그 원문을 보존한 아카이브 페이지입니다. 준원장의 치과이야기 카테고리의 [신경치료] 예전에 크라운을 씌운 치아인데 갑자기 시려졌어요. 글을 통해 병원의 한국어 정보 제공 방식과 진료 관련 안내 톤을 확인할 수 있습니다.
![[신경치료] 예전에 크라운을 씌운 치아인데 갑자기 시려졌어요. 관련 이미지 1](https://pub-9f2bb3498faf4d1d8714b41df24753e3.r2.dev/content/clinics/archive/nqmm0udu86/naver_blog/honeybeevuvu/assets/by_hash/74714f305683ae345a8342177bf66fc243acc2a6a0186683fb0fd071bc48abcf.jpg)
![[신경치료] 예전에 크라운을 씌운 치아인데 갑자기 시려졌어요. 관련 이미지 2](https://pub-9f2bb3498faf4d1d8714b41df24753e3.r2.dev/content/clinics/archive/nqmm0udu86/naver_blog/honeybeevuvu/assets/by_hash/240ef874c67960b73323b70f6d10e443f3bb6b464e8d1c4e7d9fa9a3cc95df26.jpg)
안녕하세요.
신촌치아지킴희 전준희 원장입니다.
저는 치과보존과 전문의입니다.
자연치아의 상태를 진단하고
그에 맞는 치료를 하는 것이 제 업입니다.
![[신경치료] 예전에 크라운을 씌운 치아인데 갑자기 시려졌어요. 관련 이미지 3](https://pub-9f2bb3498faf4d1d8714b41df24753e3.r2.dev/content/clinics/archive/nqmm0udu86/naver_blog/honeybeevuvu/assets/by_hash/92e8a54d61987a58edbd5b3debe09fe3aed3575c8c9b92de83a003dde33cca5a.jpg)
20대 여성 환자분께서
오른쪽 어금니의 참지못할 시린 증상을 안고 오셨습니다.
![[신경치료] 예전에 크라운을 씌운 치아인데 갑자기 시려졌어요. 관련 이미지 4](https://pub-9f2bb3498faf4d1d8714b41df24753e3.r2.dev/content/clinics/archive/nqmm0udu86/naver_blog/honeybeevuvu/assets/by_hash/6085fa66a56edfdd284bb937464318b3f1d3d7c73b39050fea53d31872417836.jpg)
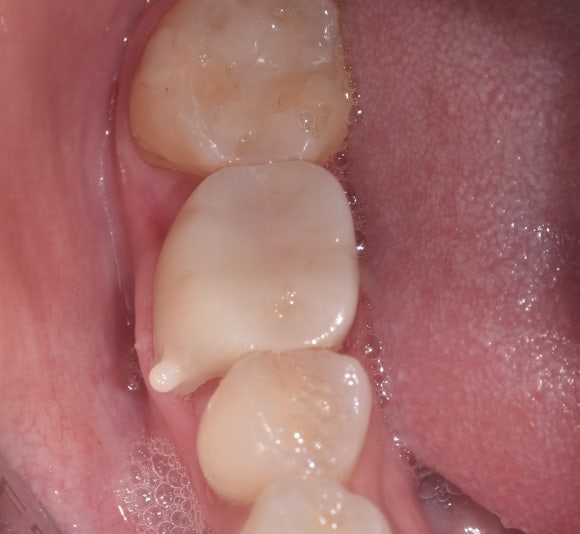
검사결과
오른쪽 아래의 크라운을 씌운 치아에서
극심한 통증이 발생하는 것을
알 수 있었습니다.
크라운의 상태는 나쁘지 않았습니다.
이전의 충치가 깊었다고 하셨습니다.
충치가 크거나 깊어도
직접적인 신경의 노출이 없는 경우,
환자분의 젊은 나이를 고려하여
신경치료 없이 크라운으로 치료를 마무리하는
경우도 많습니다.
신경과 가깝게 위치한 치과재료가
아주 약하게 지속적으로 신경을 자극하여,
혹은
시간이 지남에 따라 치아와 재료 사이의 미세누출이 생겨
추후에 시리거나 아픈 증상이 생길 수 있습니다.
그럼 처음부터 신경치료를 할 걸 그랬네요??
라고 생각하실 수 있지만,
신경치료의 시기를 수 년 늦췄다는 점에서
이미 이전의 치료는 그 역할을 제대로 수행했다고 볼 수 있습니다.
저 또한 이러한 진료 철학을 바탕으로
환자분들께 설명드립니다.
![[신경치료] 예전에 크라운을 씌운 치아인데 갑자기 시려졌어요. 관련 이미지 5](https://pub-9f2bb3498faf4d1d8714b41df24753e3.r2.dev/content/clinics/archive/nqmm0udu86/naver_blog/honeybeevuvu/assets/by_hash/b2a717a3f7f15561d619fa4dc1e926c187cddb84c6de8b27431236ab8096f92f.jpg)
신경치료 완료 후
머리 부분을 일차로 충전해놓은 상태입니다.
이 다음에
치아 머리를 더 정교하게 다듬어서
크라운을 씌워줍니다.
치아와 충전재 사이의 틈이 발생하지 않는 것이
장기적인 성공을 위해 중요합니다.
그토록 자신을 괴롭히던 시린 증상이
단번에 사라져서 기뻐하시면서
동시에 신기해하셨습니다.
![[신경치료] 예전에 크라운을 씌운 치아인데 갑자기 시려졌어요. 관련 이미지 6](https://pub-9f2bb3498faf4d1d8714b41df24753e3.r2.dev/content/clinics/archive/nqmm0udu86/naver_blog/honeybeevuvu/assets/by_hash/b03d37ed5894fe9ca7ea530bb444f142634ab9759bd629293ce9269b1085edaf.jpg)
어금니 신경치료의 마무리는 크라운치료입니다.
신경치료 후 머리부분을 레진으로 충전한 후,
다시 한 번 뚜껑을 씌움으로써
치아에 이중잠금장치를 한다고 보시면 되겠습니다.
어금니의 강한 씹는 힘, 박테리아의 침투로부터
어금니를 보호해주는 기능을 합니다.
오늘의 포스팅은 여기까지입니다.
읽어주셔서 감사합니다.
더 보기
이 병원의 공개 콘텐츠를 계속 살펴보세요
출처 아카이브로 돌아가 더 많은 글을 보거나, 병원 프로필로 이동해 다른 공개 채널도 함께 비교해보세요.