Seoul Jeseng Dental Korea - English
[임플란트] 좁은 공간에도 정밀하게, 1mm의 정교함을 잡은 임플란트 치료
안녕하세요. 신촌의 치아지킴희 전준희 원장입니다. 아마 이 글을 보고 계신 분은 다니시던 치과에서 임플란트를 심을 공간이 부족하다, 이웃 치아들을 깎아서 브릿지를 해야 한다 라는 설명을 들으셨을 것 같습니다. 우리나라의 임플란트 치료 수준은 세계적인 수준에 오른지 오래되었습니다. 전세계 곳곳에...
아카이브 요약
이 페이지의 역할
Seoul Jeseng Dental Korea - English, French Speaking Dentist | 서울재생치과 - 임플란트 투명교정 신경치료의 네이버 블로그 원문을 보존한 아카이브 페이지입니다. 준원장의 치과이야기 카테고리의 [임플란트] 좁은 공간에도 정밀하게, 1mm의 정교함을 잡은 임플란트 치료 글을 통해 병원의 한국어 정보 제공 방식과 진료 관련 안내 톤을 확인할 수 있습니다.
![[임플란트] 좁은 공간에도 정밀하게, 1mm의 정교함을 잡은 임플란트 치료 관련 이미지 1](https://pub-9f2bb3498faf4d1d8714b41df24753e3.r2.dev/content/clinics/archive/nqmm0udu86/naver_blog/honeybeevuvu/assets/by_hash/7d6acdcb02ecf6aeea86425fe06d47690a8f5842a5851df0c39ff266785aca9a.jpg)
![[임플란트] 좁은 공간에도 정밀하게, 1mm의 정교함을 잡은 임플란트 치료 관련 이미지 2](https://pub-9f2bb3498faf4d1d8714b41df24753e3.r2.dev/content/clinics/archive/nqmm0udu86/naver_blog/honeybeevuvu/assets/by_hash/a4a0bdf7aee9e558136c84e0972c2086ee23646ffbaeffd97b693648d791af76.jpg)
안녕하세요.
신촌의 치아지킴희 전준희 원장입니다.
아마 이 글을 보고 계신 분은
다니시던 치과에서
임플란트를 심을 공간이 부족하다,
이웃 치아들을 깎아서 브릿지를 해야 한다
라는 설명을 들으셨을 것 같습니다.
우리나라의 임플란트 치료 수준은
세계적인 수준에 오른지 오래되었습니다.
전세계 곳곳에서 임플란트 치료를 위해
제 치과를 방문해주시는 분들도 많지요.
재료와 기술의 발달로
좁은 공간에도 충분히 임플란트를
식립할 수 있는 진료 환경이 구축되었습니다.
하지만 무엇보다 중요한 것은
시술하는 의사의 세심함과
술기의 정확성이겠지요.
![[임플란트] 좁은 공간에도 정밀하게, 1mm의 정교함을 잡은 임플란트 치료 관련 이미지 3](https://pub-9f2bb3498faf4d1d8714b41df24753e3.r2.dev/content/clinics/archive/nqmm0udu86/naver_blog/honeybeevuvu/assets/by_hash/8ca836918a4ee33354b57ac7407b1018b683fbf3556f0cbfa345a6063aa75805.jpg)
20241014
우리 치과에서 충치 치료를 받고 계시던
아름다운 미모의 50대 환자분이십니다.
![[임플란트] 좁은 공간에도 정밀하게, 1mm의 정교함을 잡은 임플란트 치료 관련 이미지 4](https://pub-9f2bb3498faf4d1d8714b41df24753e3.r2.dev/content/clinics/archive/nqmm0udu86/naver_blog/honeybeevuvu/assets/by_hash/289a1020d96cd76e54b08750b891e4761504d49cdc61b188e111f6cf924f6082.jpg)
20241230
오른쪽 위 작은 어금니에 탈이 났습니다.
더 이상 치료를 할 수 없는 상황이라
부득이하게 발치를 권해드렸습니다.
![[임플란트] 좁은 공간에도 정밀하게, 1mm의 정교함을 잡은 임플란트 치료 관련 이미지 5](https://pub-9f2bb3498faf4d1d8714b41df24753e3.r2.dev/content/clinics/archive/nqmm0udu86/naver_blog/honeybeevuvu/assets/by_hash/d5d7f6b7f1e9eaa9444a70e9bf4d020bb2155cf113a420cfe364143e6b2e4e21.jpg)
20240120
치아를 둘러싼 염증이 심하신 편이 아니어서
(=깨끗하고 감염이 없는 뼈조직)
치아를 발치하면서 동시에
임플란트를 식립하였습니다.
뼈가 얇고 좁은 환자분들은
시간이 지남에 따라 뼈가 흡수되어
주저앉는 경우가 많기 때문입니다.
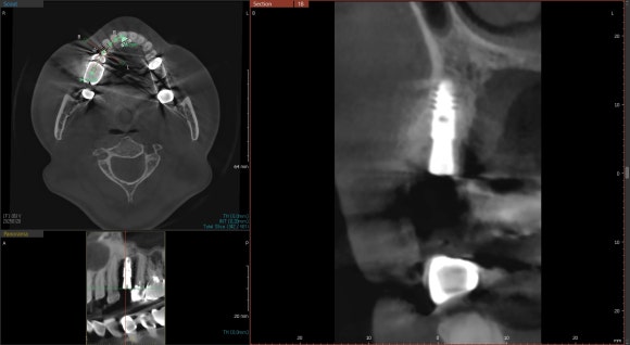
수술 후 반드시 CT를 촬영하여
원하는 위치에, 원하는 방향으로
임플란트가 제대로 식립되었는지
확인하는 것이 중요합니다.
눈으로 볼 수 없는 곳까지
꼼꼼하게 체크하는 과정입니다.
임플란트를 원하는 위치에 정확히 식립하는 것은
술자의 경험과 공간지각력에 의해
크게 좌우됩니다.
![[임플란트] 좁은 공간에도 정밀하게, 1mm의 정교함을 잡은 임플란트 치료 관련 이미지 6](https://pub-9f2bb3498faf4d1d8714b41df24753e3.r2.dev/content/clinics/archive/nqmm0udu86/naver_blog/honeybeevuvu/assets/by_hash/0529d82b257aba28f91eaa6bee0324b871066776c42ed1ef64c457532a131e46.jpg)
20250415
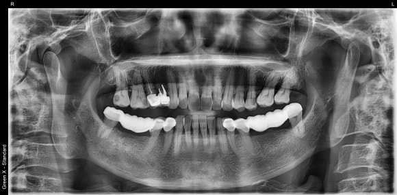
수술 두 달 후,
임플란트가 뼈에 단단하게 고정된 것을
확인하고, 머리를 만들어 올립니다.
![[임플란트] 좁은 공간에도 정밀하게, 1mm의 정교함을 잡은 임플란트 치료 관련 이미지 7](https://pub-9f2bb3498faf4d1d8714b41df24753e3.r2.dev/content/clinics/archive/nqmm0udu86/naver_blog/honeybeevuvu/assets/by_hash/20061b5d9b080b3e01e295e4c8fd73472c0ca58db633e0c2e2d9d03149dbe731.jpg)
20250415
아주 좁은 공간이었지만,
정교하게 임플란트(=인공뿌리)를 식립한 결과
꼭 맞는 머리를 만들어 올릴 수 있었습니다.
브릿지를 만들었어야 했다면
더 많은 비용과 시간이 필요했을 것입니다.
늘 밝은 모습으로
적극적으로 치료에 임해주셨던
환자분께
다시 한 번 감사의 인사를 올립니다.
더 보기
이 병원의 공개 콘텐츠를 계속 살펴보세요
출처 아카이브로 돌아가 더 많은 글을 보거나, 병원 프로필로 이동해 다른 공개 채널도 함께 비교해보세요.