Seoul Jeseng Dental Korea - English
[신경치료] 충치가 커서 뿌리만 남았대요. 비발치 신경치료로 자연치아 살리기!
안녕하세요. 신촌의 치아지킴희 전준희 원장입니다. 이 글을 읽고 계신 분은 충치가 너무 커서, 너무 깊어서 이를 빼야한다고 설명을 들으신 분들이실 수도 있겠습니다. 이를 빼기전 마지막으로 한 번 더 치료해볼 수 있는 기회가 있다는 것 알고 계셨나요? 이번 포스팅을 통해 많은 환자분들과 치과의료인들이 영감...
아카이브 요약
이 페이지의 역할
Seoul Jeseng Dental Korea - English, French Speaking Dentist | 서울재생치과 - 임플란트 투명교정 신경치료의 네이버 블로그 원문을 보존한 아카이브 페이지입니다. 준원장의 치과이야기 카테고리의 [신경치료] 충치가 커서 뿌리만 남았대요. 비발치 신경치료로 자연치아 살리기! 글을 통해 병원의 한국어 정보 제공 방식과 진료 관련 안내 톤을 확인할 수 있습니다.
![[신경치료] 충치가 커서 뿌리만 남았대요. 비발치 신경치료로 자연치아 살리기! 관련 이미지 1](https://pub-9f2bb3498faf4d1d8714b41df24753e3.r2.dev/content/clinics/archive/nqmm0udu86/naver_blog/honeybeevuvu/assets/by_hash/4be972b9966fa06846d2f92e9eea9a3bc304057e5abe474ab029230fca537413.jpg)
![[신경치료] 충치가 커서 뿌리만 남았대요. 비발치 신경치료로 자연치아 살리기! 관련 이미지 2](https://pub-9f2bb3498faf4d1d8714b41df24753e3.r2.dev/content/clinics/archive/nqmm0udu86/naver_blog/honeybeevuvu/assets/by_hash/240ef874c67960b73323b70f6d10e443f3bb6b464e8d1c4e7d9fa9a3cc95df26.jpg)
안녕하세요.
신촌의 치아지킴희 전준희 원장입니다.
이 글을 읽고 계신 분은
충치가 너무 커서, 너무 깊어서
이를 빼야한다고 설명을 들으신 분들이실 수도 있겠습니다.
이를 빼기전
마지막으로 한 번 더 치료해볼 수 있는 기회가 있다는 것 알고 계셨나요?
이번 포스팅을 통해
많은 환자분들과 치과의료인들이
영감을 얻었으면 합니다.
![[신경치료] 충치가 커서 뿌리만 남았대요. 비발치 신경치료로 자연치아 살리기! 관련 이미지 3](https://pub-9f2bb3498faf4d1d8714b41df24753e3.r2.dev/content/clinics/archive/nqmm0udu86/naver_blog/honeybeevuvu/assets/by_hash/23c1f904a01a93507d68b2a18218e6767d55fe80993f34e9e189ec3b9665f6e5.jpg)
20250329
오늘 소개드릴 환자분은 20대의 건장한 남자분이십니다.
충치가 심해서 이가 한 번 깨진 적이 있었으나
시간 상 치료를 오랫동안 미뤄오셨습니다.
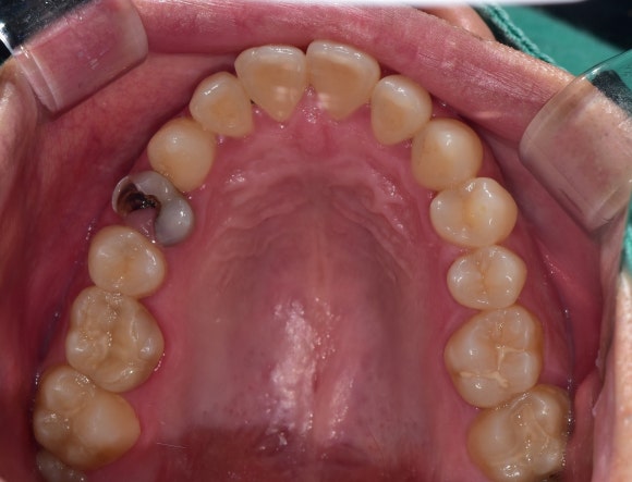
![[신경치료] 충치가 커서 뿌리만 남았대요. 비발치 신경치료로 자연치아 살리기! 관련 이미지 4](https://pub-9f2bb3498faf4d1d8714b41df24753e3.r2.dev/content/clinics/archive/nqmm0udu86/naver_blog/honeybeevuvu/assets/by_hash/c22546e67de35181321832ecff34adaf43cb3eb29d129a6c6dd65cec11084334.jpg)
20250329
혼자서만 색깔이 다른 치아가 보이시지요?
치아 깨진 공간으로 잇몸들이 자라들어올 정도이니
얼마나 오랫동안 방치되었는지 알 수 있습니다.
![[신경치료] 충치가 커서 뿌리만 남았대요. 비발치 신경치료로 자연치아 살리기! 관련 이미지 5](https://pub-9f2bb3498faf4d1d8714b41df24753e3.r2.dev/content/clinics/archive/nqmm0udu86/naver_blog/honeybeevuvu/assets/by_hash/bf8795b4d72dedb2bb7fc3ca5a38b936678962112bd7e1dd559e92949ca8d06c.jpg)
20250402
충치를 제거하니 보이는 신경조직.
치아는 이제 껍데기만 남았군요.
놀랍게도 단단한 치아 내부에는 말랑말랑한 신경과 혈관조직이 있습니다.
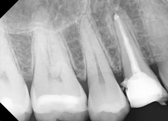
![[신경치료] 충치가 커서 뿌리만 남았대요. 비발치 신경치료로 자연치아 살리기! 관련 이미지 6](https://pub-9f2bb3498faf4d1d8714b41df24753e3.r2.dev/content/clinics/archive/nqmm0udu86/naver_blog/honeybeevuvu/assets/by_hash/13c7a7cddae7105127008f4f799ee05b889d3cf4fc810a793d1f2d38b5eba5c3.jpg)
20250414
신경치료 후 단단한 세라믹레진포스트로 기둥을 세워줍니다.
향후 크라운을 씌웠을 때 뿌리와 단단히 잘 연결되어 있게 하기 위해서입니다.
고층건물을 세울 때 철근을 보강하는 것과 같은 원리입니다.
![[신경치료] 충치가 커서 뿌리만 남았대요. 비발치 신경치료로 자연치아 살리기! 관련 이미지 7](https://pub-9f2bb3498faf4d1d8714b41df24753e3.r2.dev/content/clinics/archive/nqmm0udu86/naver_blog/honeybeevuvu/assets/by_hash/9e8bd4f229a114b2568209c6687db2f70362b467ab6760306b08dc34d9436080.png)
https://m.gettyimagesbank.com/
![[신경치료] 충치가 커서 뿌리만 남았대요. 비발치 신경치료로 자연치아 살리기! 관련 이미지 8](https://pub-9f2bb3498faf4d1d8714b41df24753e3.r2.dev/content/clinics/archive/nqmm0udu86/naver_blog/honeybeevuvu/assets/by_hash/8109fcb80c1a6f789da9105458961cede6d8a003ad65088e554bf7ca459c491f.jpg)
20250414
포스트를 세우는 것이 끝나면,
포스트 주위로 레진을 쌓아올려 치아 모양으로 성형합니다.
철근 주위로 시멘트를 붓는 과정이라고 생각하시면 됩니다.
![[신경치료] 충치가 커서 뿌리만 남았대요. 비발치 신경치료로 자연치아 살리기! 관련 이미지 9](https://pub-9f2bb3498faf4d1d8714b41df24753e3.r2.dev/content/clinics/archive/nqmm0udu86/naver_blog/honeybeevuvu/assets/by_hash/ef6336b9505706c32f9100d9525917ddfe3d24bbcc0c3218be8ad3a20281d3b6.jpg)
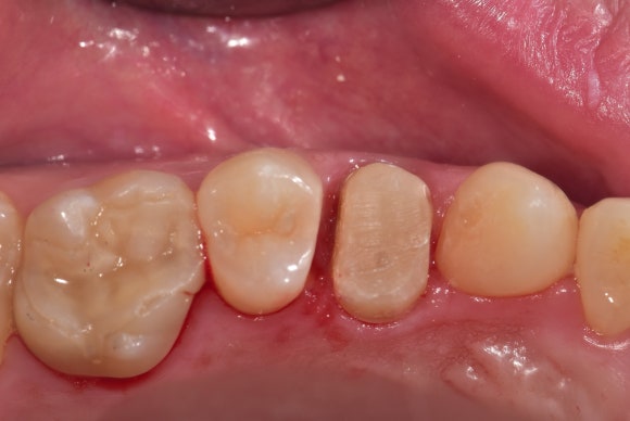
20250421
크라운이 얹혀질 머리가 완성되었습니다.
어디까지가 치아이고 어디까지가 레진인지
구분이 안될 정도로 꼼꼼하게 쌓여올렸습니다.
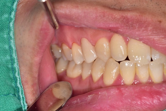
![[신경치료] 충치가 커서 뿌리만 남았대요. 비발치 신경치료로 자연치아 살리기! 관련 이미지 10](https://pub-9f2bb3498faf4d1d8714b41df24753e3.r2.dev/content/clinics/archive/nqmm0udu86/naver_blog/honeybeevuvu/assets/by_hash/3b37cb01fb5869081f3e647cd7059a7123e51e0331f17328cfeab27504943ede.jpg)
20250421
크라운이 완성되었습니다.
작은 손잡이가 달려있는 것이 크라운입니다.
색조와 형태면에서 자연치와 잘 어우러집니다.
![[신경치료] 충치가 커서 뿌리만 남았대요. 비발치 신경치료로 자연치아 살리기! 관련 이미지 11](https://pub-9f2bb3498faf4d1d8714b41df24753e3.r2.dev/content/clinics/archive/nqmm0udu86/naver_blog/honeybeevuvu/assets/by_hash/4bdfd1210b9054ad48f6103c2269f3806a3fee9b698c399c71cfb55057001f72.jpg)
20250421
정면에서 보면 더 구분하기 힘들정도입니다.
무슨 치아가 크라운인지...다들 찾으셨나요?^^
20대 남자환자분의 소중한 자연치아를 지켜낸 보람있는 증례입니다.
소중한 나의 치아,
살릴 수 있는 기회가 있을지도 모릅니다.
발치는 꼭 신중하게!^^
#치과보존과전문의
#치아지킴희전준희원장
더 보기
이 병원의 공개 콘텐츠를 계속 살펴보세요
출처 아카이브로 돌아가 더 많은 글을 보거나, 병원 프로필로 이동해 다른 공개 채널도 함께 비교해보세요.