![[임플란트] 이가 빠진지 오래되서 옆 치아들이 쓰러졌어요. 임플란트 가능할까요? 네, 가능합니다.1mm의 정교함으로! 관련 이미지 1](https://pub-9f2bb3498faf4d1d8714b41df24753e3.r2.dev/content/clinics/archive/nqmm0udu86/naver_blog/honeybeevuvu/assets/by_hash/3b23c04db5ade70b6d0ef6a188a560b95afd0f19352ae60b23a7d9434106669d.jpg)
![[임플란트] 이가 빠진지 오래되서 옆 치아들이 쓰러졌어요. 임플란트 가능할까요? 네, 가능합니다.1mm의 정교함으로! 관련 이미지 2](https://pub-9f2bb3498faf4d1d8714b41df24753e3.r2.dev/content/clinics/archive/nqmm0udu86/naver_blog/honeybeevuvu/assets/by_hash/240ef874c67960b73323b70f6d10e443f3bb6b464e8d1c4e7d9fa9a3cc95df26.jpg)
안녕하세요.
신촌의 치아지킴희 전준희원장입니다.
자연치아의 충치, 잇몸, 신경치료를 즐겨하지만,
간혹 치아를 발치해야하거나
이미 치아가 빠진 상태로 오신 환자분들께는
임플란트 시술을 권해드립니다.
![[임플란트] 이가 빠진지 오래되서 옆 치아들이 쓰러졌어요. 임플란트 가능할까요? 네, 가능합니다.1mm의 정교함으로! 관련 이미지 3](https://pub-9f2bb3498faf4d1d8714b41df24753e3.r2.dev/content/clinics/archive/nqmm0udu86/naver_blog/honeybeevuvu/assets/by_hash/c5e47489b36fc6c4a35cb680d707f1668fd9d18d3a3fbe8dc6a36cb421fa24ad.jpg)
20241026
계단도 없는 저희 치과에 매번 혼자서 씩씩하게 오시는 80대의 어르신 환자분입니다.
정말 건강하십니다.
비결을 알고 싶을 정도입니다^^
![[임플란트] 이가 빠진지 오래되서 옆 치아들이 쓰러졌어요. 임플란트 가능할까요? 네, 가능합니다.1mm의 정교함으로! 관련 이미지 4](https://pub-9f2bb3498faf4d1d8714b41df24753e3.r2.dev/content/clinics/archive/nqmm0udu86/naver_blog/honeybeevuvu/assets/by_hash/7632d1a036986478cff3e6e60266f52cc309291c1b1fa91b6ef755e415576dbd.jpg)
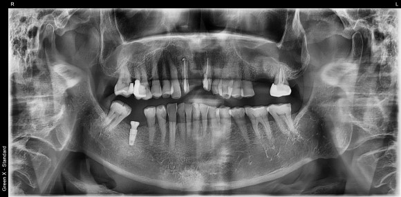
20241026
오른쪽 아래 어금니가 빠진지 여러 해가 되어
앞 뒤 치아들이 조금씩 빈공간을 향해 쓰러졌습니다.
그 탓에 어금니가 있었던 공간이 점점 좁아졌지요.
공간이 좁으면 좁은대로, 넓으면 넓은대로
정확한 위치에 정확한 각도로 식립한다면
임플란트 치료는 얼마든지 가능합니다.
![[임플란트] 이가 빠진지 오래되서 옆 치아들이 쓰러졌어요. 임플란트 가능할까요? 네, 가능합니다.1mm의 정교함으로! 관련 이미지 5](https://pub-9f2bb3498faf4d1d8714b41df24753e3.r2.dev/content/clinics/archive/nqmm0udu86/naver_blog/honeybeevuvu/assets/by_hash/16e773a0a070abd978305e60e6855f4d1f5c7599632be7d907591bc5e7274a8e.jpg)
20241220
임플란트는 인공뿌리입니다.
엑스레이에 나사처럼 생긴 것이 보이시나요?
임플란트가 뼈가 단단히 붙으면 (2개월 소요)
그 위로 또 다른 나사를 연결하여 머리를 세웁니다.
![[임플란트] 이가 빠진지 오래되서 옆 치아들이 쓰러졌어요. 임플란트 가능할까요? 네, 가능합니다.1mm의 정교함으로! 관련 이미지 6](https://pub-9f2bb3498faf4d1d8714b41df24753e3.r2.dev/content/clinics/archive/nqmm0udu86/naver_blog/honeybeevuvu/assets/by_hash/d0aa99cb7ad3f5c7a24ae72fb9bcb58d666ce9f959813cd5c388362f9351ed54.jpg)
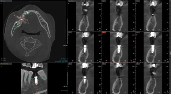
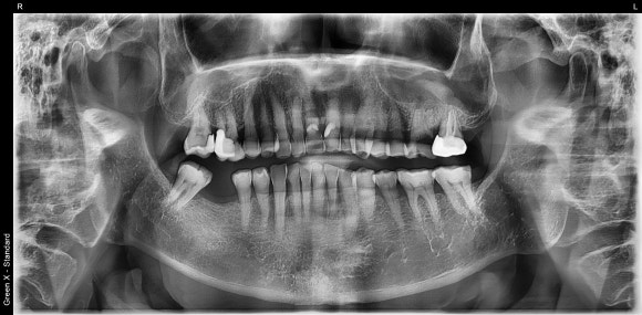
20241220
임플란트 수술을 한 후 즉시 CT를 촬영했습니다.
원하는 각도로 정확히 삽입되었는지
정밀하게 확인하기 위해서요.
매 수술마다 환자분과 함께 CT를 확인합니다.
수술 직전까지 이미지트레이닝하던 결과가
CT 상에 그대로 구현되면 정말 뿌듯합니다^^
![[임플란트] 이가 빠진지 오래되서 옆 치아들이 쓰러졌어요. 임플란트 가능할까요? 네, 가능합니다.1mm의 정교함으로! 관련 이미지 7](https://pub-9f2bb3498faf4d1d8714b41df24753e3.r2.dev/content/clinics/archive/nqmm0udu86/naver_blog/honeybeevuvu/assets/by_hash/abc50a4284f80a834234e5f3a29c0abe38983bc31fdeb3530d43e9e47246ebeb.jpg)
20250328
2개월이 흘러, 이제 머리를 세울 시간이 되었습니다.
임플란트 뿌리에 기둥을 연결합니다.
![[임플란트] 이가 빠진지 오래되서 옆 치아들이 쓰러졌어요. 임플란트 가능할까요? 네, 가능합니다.1mm의 정교함으로! 관련 이미지 8](https://pub-9f2bb3498faf4d1d8714b41df24753e3.r2.dev/content/clinics/archive/nqmm0udu86/naver_blog/honeybeevuvu/assets/by_hash/ba7faa0948ed05d04cf40cedd5a0e9ea639071f2b4024b227cc7294eb9516e1b.jpg)
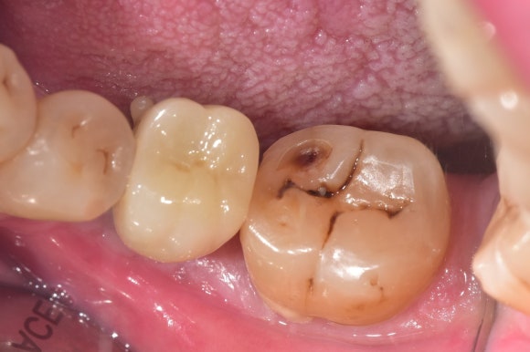
20250404
기둥에 크라운을 붙입니다.
절묘한 각도로, 매우 정밀한 크라운이 만들어졌습니다.
![[임플란트] 이가 빠진지 오래되서 옆 치아들이 쓰러졌어요. 임플란트 가능할까요? 네, 가능합니다.1mm의 정교함으로! 관련 이미지 9](https://pub-9f2bb3498faf4d1d8714b41df24753e3.r2.dev/content/clinics/archive/nqmm0udu86/naver_blog/honeybeevuvu/assets/by_hash/6c14137b070cd37a64527232f04b9a554cd2260c02aa27fa6b36547f1b6a53b4.jpg)
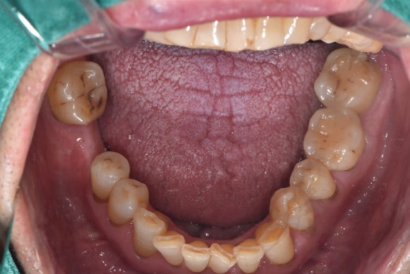
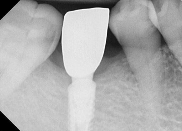
20250404
크라운을 붙인 날은 치료가 종료되는 날입니다.
엑스레이를 촬영해서 이물질이 남아있진 않은지 한 번 더 확인합니다.
![[임플란트] 이가 빠진지 오래되서 옆 치아들이 쓰러졌어요. 임플란트 가능할까요? 네, 가능합니다.1mm의 정교함으로! 관련 이미지 10](https://pub-9f2bb3498faf4d1d8714b41df24753e3.r2.dev/content/clinics/archive/nqmm0udu86/naver_blog/honeybeevuvu/assets/by_hash/bbd55c43b4118e2cbc7a7ab6dbe8dd57b082e06e2a954f7143a359322e389f98.jpg)
20250404
임플란트는 수술 과정이 정밀해야함은 물론이고,
치료가 종료된 후에도 섬세한 관찰이 필요합니다.
주기적인 스케일링과 임플란트 하방의 딥클리닝까지.
뭐든지 사후관리가 중요합니다.
좋은 임플란트는
수술할 땐 술자의 섬세함에 의해 좌우되지만,
수술 후에는 환자분의 끈기 (꾸준한 치과 방문 및 관리)로 만들어집니다.
오늘 포스팅이
임플란트 수술을 앞둔 많은 분들께
도움이 되길 바랍니다.