Seoul Jeseng Dental Korea - English
[치아살리기] 뿌리만 남은 치아의 치료
안녕하세요. 신촌에서 치아지킴희로 열심히 활동하는^^ 치과보존과 전문의 전준희 원장입니다. 이 글을 보시고 계신 분들은 아마 충치가 너무 심해서 이를 빼야할 것 같아요 라는 말씀을 들으셨으리라 짐작합니다. 오늘 소개드리는 30대 남성분의 케이스를 통해 자연치아를 한 번 더 쓰는 기쁨과 보람을...
아카이브 요약
이 페이지의 역할
Seoul Jeseng Dental Korea - English, French Speaking Dentist | 서울재생치과 - 임플란트 투명교정 신경치료의 네이버 블로그 원문을 보존한 아카이브 페이지입니다. 준원장의 치과이야기 카테고리의 [치아살리기] 뿌리만 남은 치아의 치료 글을 통해 병원의 한국어 정보 제공 방식과 진료 관련 안내 톤을 확인할 수 있습니다.
![[치아살리기] 뿌리만 남은 치아의 치료 관련 이미지 1](https://pub-9f2bb3498faf4d1d8714b41df24753e3.r2.dev/content/clinics/archive/nqmm0udu86/naver_blog/honeybeevuvu/assets/by_hash/524fb4fab56f3436926538dbf686463f75892d862f9038d7e1650325531018c0.jpg)
![[치아살리기] 뿌리만 남은 치아의 치료 관련 이미지 2](https://pub-9f2bb3498faf4d1d8714b41df24753e3.r2.dev/content/clinics/archive/nqmm0udu86/naver_blog/honeybeevuvu/assets/by_hash/240ef874c67960b73323b70f6d10e443f3bb6b464e8d1c4e7d9fa9a3cc95df26.jpg)
안녕하세요.
신촌에서 치아지킴희로 열심히 활동하는^^
치과보존과 전문의 전준희 원장입니다.
이 글을 보시고 계신 분들은
아마
충치가 너무 심해서
이를 빼야할 것 같아요
라는 말씀을 들으셨으리라 짐작합니다.
오늘 소개드리는 30대 남성분의 케이스를 통해
자연치아를 한 번 더 쓰는 기쁨과 보람을
함께 느껴보셨으면 합니다.
![[치아살리기] 뿌리만 남은 치아의 치료 관련 이미지 3](https://pub-9f2bb3498faf4d1d8714b41df24753e3.r2.dev/content/clinics/archive/nqmm0udu86/naver_blog/honeybeevuvu/assets/by_hash/a9c1d8036df18b4b654f5ead13a39c64c683f55b58ca4197663cc6a40b9bb79a.jpg)
20250411
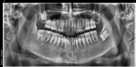
치과 진단의 기본 중의 기본,
파노라마 엑스레이입니다.
아직도 치과에서
"엑스레이는 안 찍을래요" 하시는 분이 계신지요?
눈에 보이지 않는 영역까지
확인해야,
비로소 정확한 진단과
환자분께 딱 알맞는 치료를 전해드릴 수 있습니다.
![[치아살리기] 뿌리만 남은 치아의 치료 관련 이미지 4](https://pub-9f2bb3498faf4d1d8714b41df24753e3.r2.dev/content/clinics/archive/nqmm0udu86/naver_blog/honeybeevuvu/assets/by_hash/cfa500a335c8699caf90a4fd50736d8d71f816fe09bf5d80a633360a01524b07.jpg)
20250411
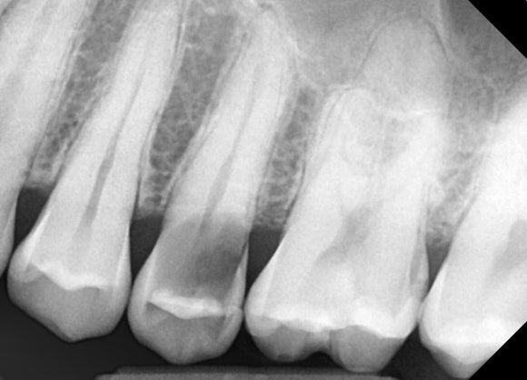
치아 머리 부분이 까맣게 보입니다.
충치 때문에 치아가 녹아서
텅 비어있기 때문입니다.
![[치아살리기] 뿌리만 남은 치아의 치료 관련 이미지 5](https://pub-9f2bb3498faf4d1d8714b41df24753e3.r2.dev/content/clinics/archive/nqmm0udu86/naver_blog/honeybeevuvu/assets/by_hash/d9d8ec25dc9d6b8236185f245f2898939e59b23f4547b5b9d95032d109cf775c.jpg)
20250411
그래도 육안상으로는
치아가 멀쩡하게 잘 있는 것 같아 보이는데요?
사실은 그렇지 않습니다.
충치라는 녀석은
언제나 치아에 작은 구멍을 뚫고
내면을 파먹는 식으로 진행이 됩니다.
파먹힌 치아는
얇은 껍데기만 남게되고,
어느 날 갑자기 밥을 먹다가 구멍이 나게되는 것이지요.
그러니,
치아에 구멍이 났다면 정말 심각한 상황이라고 보시면 됩니다.
어서 치과에 가셔야 합니다.
![[치아살리기] 뿌리만 남은 치아의 치료 관련 이미지 6](https://pub-9f2bb3498faf4d1d8714b41df24753e3.r2.dev/content/clinics/archive/nqmm0udu86/naver_blog/honeybeevuvu/assets/by_hash/9ab3c4f5dcc5e7ecb747c65f4ff0244b8e7b7ceb8344f9d816aa413b39959d45.jpg)
20250411
충치를 제거하는 중입니다.
아직 다 제거한 것도 아닌데
한 쪽면을 제외하고 성한 곳이 하나도 없습니다.
그래도 괜찮습니다.
뿌리의 길이가 충분히 길기 때문에,
잇몸을 약간 벗겨내어
뿌리로부터 머리를 빌려옵니다.
![[치아살리기] 뿌리만 남은 치아의 치료 관련 이미지 7](https://pub-9f2bb3498faf4d1d8714b41df24753e3.r2.dev/content/clinics/archive/nqmm0udu86/naver_blog/honeybeevuvu/assets/by_hash/1ea928f5781246157e735e46da716301d2c76123c3037941c385d3973a0f0b1b.jpg)
20250425
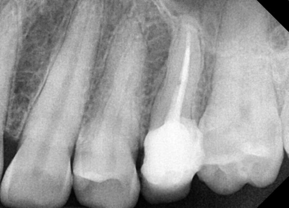
충치로 인해 이미 신경에 염증이 생긴 상태이기 때문에,
신경치료를 한 후에,
뿌리에 지지대를 설치하고 (=포스트와 레진코어)
크라운을 씌울 준비를 합니다.
![[치아살리기] 뿌리만 남은 치아의 치료 관련 이미지 8](https://pub-9f2bb3498faf4d1d8714b41df24753e3.r2.dev/content/clinics/archive/nqmm0udu86/naver_blog/honeybeevuvu/assets/by_hash/1ea0b13f755b1ab33d4103273ca6f7524be4e7fea9675afc8c3d1448028db9bc.jpg)
20250507
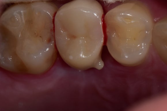
크라운이 완성되었습니다.
해당 치아에게 해줄 수 있는 마지막 치료일겁니다.
크라운 하방으로 새로운 충치가 더 생기지 않도록
위생관리에 잘 신경쓰시고,
치과에 주기적으로 방문하여 스케일링 받는 것도 잊지 말아주세요 ^^
오늘의 포스팅을 여기서 마칩니다.
더 보기
이 병원의 공개 콘텐츠를 계속 살펴보세요
출처 아카이브로 돌아가 더 많은 글을 보거나, 병원 프로필로 이동해 다른 공개 채널도 함께 비교해보세요.