Seoul Jeseng Dental Korea - English
[재신경치료] 잇몸이 부었어요. 다니던 치과에서는 재신경치료 하거나 발치하라고 했어요.
안녕하세요. 신촌의 치아지킴희 전준희원장입니다. 치과보존과 전문의로서 제가 하루 중 가장 많이 하는 진료는 재신경치료입니다. 다른 치과에서 치료 후 불편감이 지속되는 경우, 좋은 치료를 받았지만 시간이 오래 경과되어 재치료를 요하는 상황에 환자분들이 저를 찾아오십니다. 20250106 30...
아카이브 요약
이 페이지의 역할
Seoul Jeseng Dental Korea - English, French Speaking Dentist | 서울재생치과 - 임플란트 투명교정 신경치료의 네이버 블로그 원문을 보존한 아카이브 페이지입니다. 준원장의 치과이야기 카테고리의 [재신경치료] 잇몸이 부었어요. 다니던 치과에서는 재신경치료 하거나 발치하라고 했어요. 글을 통해 병원의 한국어 정보 제공 방식과 진료 관련 안내 톤을 확인할 수 있습니다.
![[재신경치료] 잇몸이 부었어요. 다니던 치과에서는 재신경치료 하거나 발치하라고 했어요. 관련 이미지 1](https://pub-9f2bb3498faf4d1d8714b41df24753e3.r2.dev/content/clinics/archive/nqmm0udu86/naver_blog/honeybeevuvu/assets/by_hash/0f00dbd3e6f0e55adb5b86ee6ee417d8852d4727eb7fc7ec16b84be7c94d398c.jpg)
![[재신경치료] 잇몸이 부었어요. 다니던 치과에서는 재신경치료 하거나 발치하라고 했어요. 관련 이미지 2](https://pub-9f2bb3498faf4d1d8714b41df24753e3.r2.dev/content/clinics/archive/nqmm0udu86/naver_blog/honeybeevuvu/assets/by_hash/240ef874c67960b73323b70f6d10e443f3bb6b464e8d1c4e7d9fa9a3cc95df26.jpg)
안녕하세요.
신촌의 치아지킴희 전준희원장입니다.
치과보존과 전문의로서
제가 하루 중 가장 많이 하는 진료는
재신경치료입니다.
다른 치과에서 치료 후
불편감이 지속되는 경우,
좋은 치료를 받았지만
시간이 오래 경과되어
재치료를 요하는 상황에
환자분들이 저를 찾아오십니다.
![[재신경치료] 잇몸이 부었어요. 다니던 치과에서는 재신경치료 하거나 발치하라고 했어요. 관련 이미지 3](https://pub-9f2bb3498faf4d1d8714b41df24753e3.r2.dev/content/clinics/archive/nqmm0udu86/naver_blog/honeybeevuvu/assets/by_hash/b81a9bf92a150bbe84c0e0a01decd129518ae96d507665471fd308ddf0bd5947.jpg)
20250106
30대 여성 환자분입니다.
전반적으로 구강위생이나 치아건강이 양호하신 편이십니다.
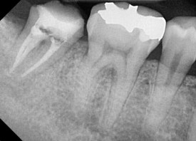
![[재신경치료] 잇몸이 부었어요. 다니던 치과에서는 재신경치료 하거나 발치하라고 했어요. 관련 이미지 4](https://pub-9f2bb3498faf4d1d8714b41df24753e3.r2.dev/content/clinics/archive/nqmm0udu86/naver_blog/honeybeevuvu/assets/by_hash/7cfc830f4fb694e2da619e9fe5e2eac30983f8a751c35dc6e6562f4d653a6afe.jpg)
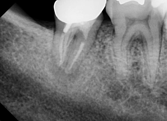
20250106
오른쪽 아래 어금니를 보겠습니다.
뿌리 끝을 감싸고 있는
검은 공간이 보이실겁니다.
치근단염증이라고도 합니다.
신경치료 후 염증이 재발되어
뿌리 끝에 매달려있는 것이지요.
치료 받으신지 오래되셨고,
예전의 치료가 아주 부족해보이진 않습니다.
세상에 영원한 것이 없듯이
잘 된 치과치료도
입안에서 세월의 흐름을 겪다보면
다시 치료할 일이 생깁니다.
처음엔
주위의 잇몸이 붓기 시작해서
다른 치과에 가보셨다고 했습니다.
해당 치과에서는
재신경치료를 하든지
빼든지 해야겠어요.
라고 하셨다고 합니다.
당연히 누구나 소중한 어금니를 빼고 싶지 않죠.
가능하면 치료해서 오래오래 쓰고 싶은 마음이실겁니다.
긴 검색 끝에 저에게 오셨습니다.
![[재신경치료] 잇몸이 부었어요. 다니던 치과에서는 재신경치료 하거나 발치하라고 했어요. 관련 이미지 5](https://pub-9f2bb3498faf4d1d8714b41df24753e3.r2.dev/content/clinics/archive/nqmm0udu86/naver_blog/honeybeevuvu/assets/by_hash/05a56315d7eaaba87f4dcba8f9b449b840ab8bd3b2b4f385a4bd94c7259437c2.jpg)
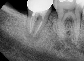
20250106
뿌리 끝에
까만 염증 주머니가 달렸습니다.
![[재신경치료] 잇몸이 부었어요. 다니던 치과에서는 재신경치료 하거나 발치하라고 했어요. 관련 이미지 6](https://pub-9f2bb3498faf4d1d8714b41df24753e3.r2.dev/content/clinics/archive/nqmm0udu86/naver_blog/honeybeevuvu/assets/by_hash/dc41542bf0113f40862bd6e9340c51aa63fb1a407e1a67cddfba1aa1f037fae7.jpg)
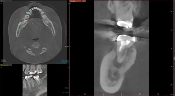
20250208
크라운을 제거해보니
얇은 금속 기둥이 하나 보입니다.
치과에서는 이를 포스트라고 부릅니다.
치아의 머리 부분이 많이 부족할 때,
뿌리에 이 기둥을 심어서
머리 부분을 지지해주는 역할을 합니다.
결론부터 말씀드리면
이번 재치료에서는 굳이 포스트를 식립하지 않았습니다.
그닥 필요해보이지 않아서요.
포스트를 제거하고,
기존의 신경치료 재료를 모두 제거합니다.
치아안에 남아있는 이전 치료의 흔적을
모두 제거하고,
더 나아가서 이를 개선하는 일.
이것이 재신경치료입니다.
![[재신경치료] 잇몸이 부었어요. 다니던 치과에서는 재신경치료 하거나 발치하라고 했어요. 관련 이미지 7](https://pub-9f2bb3498faf4d1d8714b41df24753e3.r2.dev/content/clinics/archive/nqmm0udu86/naver_blog/honeybeevuvu/assets/by_hash/be2a3cb0ed7f416cdea3a7f3311118e8a43498853caf3542dfc10a6450440bff.jpg)
![[재신경치료] 잇몸이 부었어요. 다니던 치과에서는 재신경치료 하거나 발치하라고 했어요. 관련 이미지 8](https://pub-9f2bb3498faf4d1d8714b41df24753e3.r2.dev/content/clinics/archive/nqmm0udu86/naver_blog/honeybeevuvu/assets/by_hash/d230070e248e2f036545feb79a4d2366e5d532e576a1e35b7d5c64e4f652a751.jpg)
(좌)이전치료 (우)재신경치료 후
이전치료보다 더욱 꼼꼼하게 치료해야합니다.
많은 시간이 걸리고
여러번 오셔야 합니다.
환자분의 협조가 적극적으로 요청되는 치료입니다.
길고 지루하지만
자연치를 지켜낸다는 소중한 열매를 맺기 위해서
서로가 노력해야 합니다.
![[재신경치료] 잇몸이 부었어요. 다니던 치과에서는 재신경치료 하거나 발치하라고 했어요. 관련 이미지 9](https://pub-9f2bb3498faf4d1d8714b41df24753e3.r2.dev/content/clinics/archive/nqmm0udu86/naver_blog/honeybeevuvu/assets/by_hash/506ea58d8ab0b0fffa03ef6fbf44dc7a589f0dc7c8ca80dcd9d389becdd4964a.jpg)
20250325
포스트없이
레진만으로 머리부분을 재건하였습니다.
![[재신경치료] 잇몸이 부었어요. 다니던 치과에서는 재신경치료 하거나 발치하라고 했어요. 관련 이미지 10](https://pub-9f2bb3498faf4d1d8714b41df24753e3.r2.dev/content/clinics/archive/nqmm0udu86/naver_blog/honeybeevuvu/assets/by_hash/bb094e2ec67d7fa4cb4fa971bdb875c5977593488b245d97af4643fd33597632.jpg)
20250405
마지막으로 남은 것은 크라운입니다.
레진으로 일차적으로 봉쇄해준 다음에,
크라운으로 이중잠금을 해줍니다.
치아 내부로 다시 박테리아나 음식물이 들어가
감염시키는 것을 방지하기 위해서입니다.
일상으로 바쁘신 중에
적극적으로 치료에 협조해주셔서
원활한 치료가 가능했습니다.
ㅇㅅㅎ님께 다시 한 번 감사드립니다.
#재신경치료
#치과보존과전문의
더 보기
이 병원의 공개 콘텐츠를 계속 살펴보세요
출처 아카이브로 돌아가 더 많은 글을 보거나, 병원 프로필로 이동해 다른 공개 채널도 함께 비교해보세요.