Seoul Jeseng Dental Korea - English
[치아살리기] 크라운 씌운 치아가 부러졌어요. 교정적정출술을 통해 내 치아 끝까지 써보기
안녕하세요. 신촌의 치아지킴희 전준희 원장입니다. 저는 치과보존과 전문의입니다. 자연치아에 발생한 여러가지 문제들을 진단하고 해결하는 것이 저의 주된 일과입니다. 전국각지에서 오신 다양한 환자분들의 다양한 사연들을 접하곤 합니다. 오늘은 30대 남성분의 이야기입니다. 사회활동이 가장 활발한 30대...
아카이브 요약
이 페이지의 역할
Seoul Jeseng Dental Korea - English, French Speaking Dentist | 서울재생치과 - 임플란트 투명교정 신경치료의 네이버 블로그 원문을 보존한 아카이브 페이지입니다. 준원장의 치과이야기 카테고리의 [치아살리기] 크라운 씌운 치아가 부러졌어요. 교정적정출술을 통해 내 치아 끝까지 써보기 글을 통해 병원의 한국어 정보 제공 방식과 진료 관련 안내 톤을 확인할 수 있습니다.
![[치아살리기] 크라운 씌운 치아가 부러졌어요. 교정적정출술을 통해 내 치아 끝까지 써보기 관련 이미지 1](https://pub-9f2bb3498faf4d1d8714b41df24753e3.r2.dev/content/clinics/archive/nqmm0udu86/naver_blog/honeybeevuvu/assets/by_hash/4964ddd0f2afec8dfc9f546f20c71327b21d998eb9000057ec89de8581d542fe.jpg)
![[치아살리기] 크라운 씌운 치아가 부러졌어요. 교정적정출술을 통해 내 치아 끝까지 써보기 관련 이미지 2](https://pub-9f2bb3498faf4d1d8714b41df24753e3.r2.dev/content/clinics/archive/nqmm0udu86/naver_blog/honeybeevuvu/assets/by_hash/240ef874c67960b73323b70f6d10e443f3bb6b464e8d1c4e7d9fa9a3cc95df26.jpg)
안녕하세요.
신촌의 치아지킴희 전준희 원장입니다.
저는 치과보존과 전문의입니다.
자연치아에 발생한 여러가지 문제들을
진단하고 해결하는 것이 저의 주된 일과입니다.
전국각지에서 오신 다양한 환자분들의
다양한 사연들을 접하곤 합니다.
오늘은 30대 남성분의 이야기입니다.
사회활동이 가장 활발한 30대 남성에게,
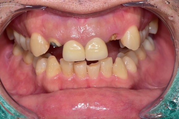
어느 날 앞니 두 개가 사라져버렸습니다.
얼마나 황당하셨을까요?
![[치아살리기] 크라운 씌운 치아가 부러졌어요. 교정적정출술을 통해 내 치아 끝까지 써보기 관련 이미지 3](https://pub-9f2bb3498faf4d1d8714b41df24753e3.r2.dev/content/clinics/archive/nqmm0udu86/naver_blog/honeybeevuvu/assets/by_hash/380e2dec9f9d85cf094df777bd25c29ca518f06a1b4682a7c47a01f404ce3e36.jpg)
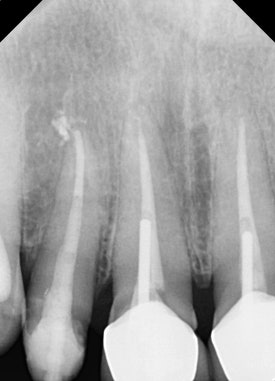
20250210
예전에 신경치료하고 크라운으로
씌워둔 치아인데,
어느 날 갑자기
약속이라도 한 듯이
양쪽 크라운이 뚝! 하고 부러졌다고 합니다.
이런 상황에서 선택할 수 있는 것은
바로
교정적정출술입니다.
교정적정출술과 늘 비교되는 것이
외과적정출술입니다.
외과적정출술은 치아를 의도적으로 발치한 다음
원하는 위치에 재위치시키는 술식입니다.
교정적정출술보다 더 빠릅니다.
빨리 일상으로 돌아가야할 30대 환자분에게
왜 빠른 방법을 권하지 않았느냐고요?
그것은 바로 해당 치아들이
신경치료가 되어 있는 상태였기 때문입니다.
신경치료가 된 치아는
세월이 흐름에 따라 퍼석해집니다.
발치 시 뿌리가 와사삭 깨져버리는 일이 많죠.
무리하게 외과적정출술을 시도했다가
영영 치아와 이별을 하게 될 가능성이 있습니다.
교정적/외과적 정출술을 시행하기 앞서
치아 상태에 대한 면밀한 조사가 필요합니다.
-
심각한 치아 염증이 없어야 합니다.
-
뿌리의 길이가 충분히 길어서, 치아를 밀어올리더라도 뼈 안에서 전체 치아를 지지해줄 충분한 길이가 남아있어야 합니다.
이 두 가지 조건을 충족시켜야
비로소 정출술을 시도할 수 있습니다.
![[치아살리기] 크라운 씌운 치아가 부러졌어요. 교정적정출술을 통해 내 치아 끝까지 써보기 관련 이미지 4](https://pub-9f2bb3498faf4d1d8714b41df24753e3.r2.dev/content/clinics/archive/nqmm0udu86/naver_blog/honeybeevuvu/assets/by_hash/bbc76ba8dec862deb55cf6ed932f952158f9ecafb5edbfe323818389d6dc45a8.jpg)
20250228
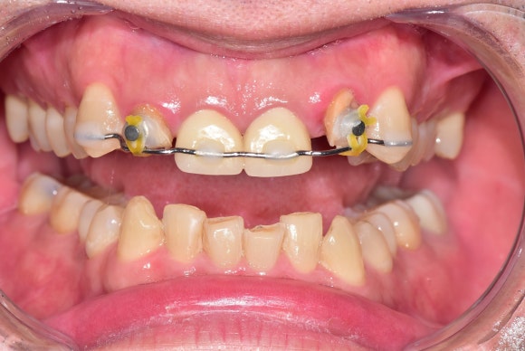
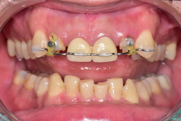
교정적정출술은 인접치아에 와이어를 붙이는 것에서 시작합니다.
꺼낼 치아에 고무줄을 연결합니다.
영차! 영차!
![[치아살리기] 크라운 씌운 치아가 부러졌어요. 교정적정출술을 통해 내 치아 끝까지 써보기 관련 이미지 5](https://pub-9f2bb3498faf4d1d8714b41df24753e3.r2.dev/content/clinics/archive/nqmm0udu86/naver_blog/honeybeevuvu/assets/by_hash/8290d30d5f1a804e75f2f2a80f5dfd826b4acdcc3e964741f8b6c6deff00b125.jpg)
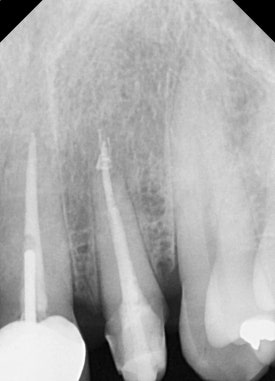
20250310
교정력을 가한지 2주 정도 되었습니다.
새싹이 나오듯이
1~2mm 정도 나오기 시작했습니다.
처음이 어렵지,
한 번 나오기 시작하면 쉽게 나옵니다.
![[치아살리기] 크라운 씌운 치아가 부러졌어요. 교정적정출술을 통해 내 치아 끝까지 써보기 관련 이미지 6](https://pub-9f2bb3498faf4d1d8714b41df24753e3.r2.dev/content/clinics/archive/nqmm0udu86/naver_blog/honeybeevuvu/assets/by_hash/aa360b2140aae8dd46ba61f0b8014b57e5a7938aa83d17a1bc9580e2365d6056.jpg)
20250502
치료를 시작한지 두 달 정도 경과했습니다.
원하는 치아량은 이미 확보했습니다.
치아를 새로운 위치에 고정시키기 위해
유지기간*을 가지고 다시 내원하셨습니다.
- 치아가 새로운 위치에 고정되려면
가만히 지켜봐주는 기간이 필요합니다.
![[치아살리기] 크라운 씌운 치아가 부러졌어요. 교정적정출술을 통해 내 치아 끝까지 써보기 관련 이미지 7](https://pub-9f2bb3498faf4d1d8714b41df24753e3.r2.dev/content/clinics/archive/nqmm0udu86/naver_blog/honeybeevuvu/assets/by_hash/a48af8641306fe40c1f58e9a407bf8f7632781864e5bbe73e79477bad137685b.jpg)
![[치아살리기] 크라운 씌운 치아가 부러졌어요. 교정적정출술을 통해 내 치아 끝까지 써보기 관련 이미지 8](https://pub-9f2bb3498faf4d1d8714b41df24753e3.r2.dev/content/clinics/archive/nqmm0udu86/naver_blog/honeybeevuvu/assets/by_hash/34efc2086317ff69023e2240a6409f148524b30adb59a25d9296cbe786ba3a60.jpg)
20250502
새롭게 신경치료를 하고
뿌리와 머리를 튼튼하게 지지해줄
세라믹 기둥도 세워넣었습니다.
그리고 마지막으로 크라운을 제작했습니다.
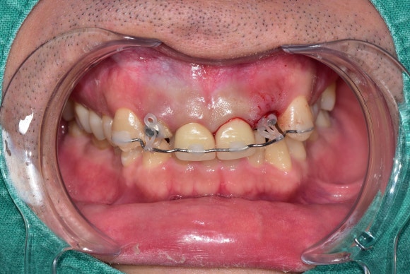
<치료 전>
![[치아살리기] 크라운 씌운 치아가 부러졌어요. 교정적정출술을 통해 내 치아 끝까지 써보기 관련 이미지 9](https://pub-9f2bb3498faf4d1d8714b41df24753e3.r2.dev/content/clinics/archive/nqmm0udu86/naver_blog/honeybeevuvu/assets/by_hash/2c069725cbf91832149758b5ee2b2192e9ccd96ec00b3d94e5dbb0b6e5b3a9b4.jpg)
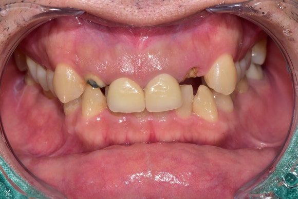
<치료 후>
![[치아살리기] 크라운 씌운 치아가 부러졌어요. 교정적정출술을 통해 내 치아 끝까지 써보기 관련 이미지 10](https://pub-9f2bb3498faf4d1d8714b41df24753e3.r2.dev/content/clinics/archive/nqmm0udu86/naver_blog/honeybeevuvu/assets/by_hash/cf039b61f8673cf1782ee3a5d4fb3c8c4aae2bcd6066c660459993b487c5b85f.jpg)
새로운 크라운을 만드는 김에
평소에 신경쓰였던 치아 높이 비대칭도
함께 해결하였습니다.
예쁘고 튼튼한 새 이가 생기신 것을 축하드립니다.
충치가 생기지 않게 위생관리에 신경쓰시면
오래 쓰실 수 있으리라 생각합니다^^
#재신경치료
#교정적정출술
#치과보존과전문의
#치아지킴희전준희원장
더 보기
이 병원의 공개 콘텐츠를 계속 살펴보세요
출처 아카이브로 돌아가 더 많은 글을 보거나, 병원 프로필로 이동해 다른 공개 채널도 함께 비교해보세요.