Seoul Jeseng Dental Korea - English
[재신경치료] 6개월 전에 신경치료한 치아에서 고름이 나와요.
안녕하세요. 신촌의 치아지킴희 전준희원장입니다. 치과보존과 전문의인 제가 진료실에서 가장 많이 하는 진료는 신경치료와 재신경치료입니다. 신경치료는 충치나 파절 등으로 치아에 심각한 손상이 생겼거나, 일상생활을 방해할 정도의 심한 치통이 생겼을 때, 치아를 보존하기 위한...
아카이브 요약
이 페이지의 역할
Seoul Jeseng Dental Korea - English, French Speaking Dentist | 서울재생치과 - 임플란트 투명교정 신경치료의 네이버 블로그 원문을 보존한 아카이브 페이지입니다. 준원장의 치과이야기 카테고리의 [재신경치료] 6개월 전에 신경치료한 치아에서 고름이 나와요. 글을 통해 병원의 한국어 정보 제공 방식과 진료 관련 안내 톤을 확인할 수 있습니다.
![[재신경치료] 6개월 전에 신경치료한 치아에서 고름이 나와요. 관련 이미지 1](https://pub-9f2bb3498faf4d1d8714b41df24753e3.r2.dev/content/clinics/archive/nqmm0udu86/naver_blog/honeybeevuvu/assets/by_hash/24bf4dc9b9d775793b0a2c968836cd9e7ac7dc1310c6b1b16eff14a2c21549f6.jpg)
![[재신경치료] 6개월 전에 신경치료한 치아에서 고름이 나와요. 관련 이미지 2](https://pub-9f2bb3498faf4d1d8714b41df24753e3.r2.dev/content/clinics/archive/nqmm0udu86/naver_blog/honeybeevuvu/assets/by_hash/240ef874c67960b73323b70f6d10e443f3bb6b464e8d1c4e7d9fa9a3cc95df26.jpg)
안녕하세요.
신촌의 치아지킴희 전준희원장입니다.
치과보존과 전문의인 제가
진료실에서 가장 많이 하는 진료는
신경치료와 재신경치료입니다.
신경치료는
충치나 파절 등으로
치아에 심각한 손상이 생겼거나,
일상생활을 방해할 정도의 심한 치통이 생겼을 때,
치아를 보존하기 위한 최후의 수단으로 시행됩니다.
한 번 시작하면 되돌릴 수 없기에
신중하게 결정하여 시행되어야 하는 진료입니다.
재신경치료는
기존의 신경치료에 문제가 생겼을 때 고려해볼 수 있는 치료 방법입니다.
쉽게 말해
이전 치료의 흔적을 제거하고
꼼꼼하고 깨끗하게 치아를 밀봉하는 과정이라고 이해하시면 됩니다.
![[재신경치료] 6개월 전에 신경치료한 치아에서 고름이 나와요. 관련 이미지 3](https://pub-9f2bb3498faf4d1d8714b41df24753e3.r2.dev/content/clinics/archive/nqmm0udu86/naver_blog/honeybeevuvu/assets/by_hash/ac78ec26a08a0b34c68c0d62aec6143b20cc82d34de681fd72d0612d2468d152.jpg)
20250127
올 초 저에게 오신 30대 남성분입니다.
전반적으로 치아 관리 상태가 매우 우수합니다.
오른쪽 아래 치아에
불과 6개월 전에 신경치료를 받으셨다고 합니다.
그간 아프진 않았지만,
어느 날 잇몸으로 고름주머니가 불거진 것을 확인하셨다고 합니다.
![[재신경치료] 6개월 전에 신경치료한 치아에서 고름이 나와요. 관련 이미지 4](https://pub-9f2bb3498faf4d1d8714b41df24753e3.r2.dev/content/clinics/archive/nqmm0udu86/naver_blog/honeybeevuvu/assets/by_hash/1a3456add08a77fc30ab9469fe0e1364c8be5e523b0a5e43fb039e76ed32d99a.jpg)
20250127
현상태를 확인해봅니다.
뿌리 끝에 어두운 염증주머니가 보입니다.
![[재신경치료] 6개월 전에 신경치료한 치아에서 고름이 나와요. 관련 이미지 5](https://pub-9f2bb3498faf4d1d8714b41df24753e3.r2.dev/content/clinics/archive/nqmm0udu86/naver_blog/honeybeevuvu/assets/by_hash/4587434eac9e4bf5cdba787b109ae29f3bcd7ee88e383f6d377fa93c71614074.jpg)
20250127
잇몸도 빵빵하게 부어있습니다.
잇몸이 부은 상태라고 무조건 아프진 않습니다.
부은 만큼 내부에 공간이 생기기 때문에
조직들을 팽창시키는 압력이 해소되어
오히려 아프지 않다고 말씀하시는 경우가
많습니다.
아프지 않으니 괜찮은거 아닐까?
라고 생각하시면 절대 안됩니다.
오히려 아플 때보다 아프지 않을 때
실제 염증의 사이즈가 더 클 수 있습니다.
통증이 없음에도 빠르게 치과에 내원하신
우리 환자분께서 현명한 대처를 하셨다고
볼 수 있습니다.
![[재신경치료] 6개월 전에 신경치료한 치아에서 고름이 나와요. 관련 이미지 6](https://pub-9f2bb3498faf4d1d8714b41df24753e3.r2.dev/content/clinics/archive/nqmm0udu86/naver_blog/honeybeevuvu/assets/by_hash/9f63323e96374d6be261bfe4473fb2b8381045e170492ea1df3e089ac94425eb.jpg)
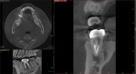
20250127
CT를 찍어봅니다.
아니나다를까,
뿌리 끝에 검은 빈 공간이 관찰됩니다.
염증 물질로 인해 뼈가 녹은 흔적입니다.
![[재신경치료] 6개월 전에 신경치료한 치아에서 고름이 나와요. 관련 이미지 7](https://pub-9f2bb3498faf4d1d8714b41df24753e3.r2.dev/content/clinics/archive/nqmm0udu86/naver_blog/honeybeevuvu/assets/by_hash/c317f8ed6bf8a129bb42467d2e4282a4f5f75279d9fd66b63db9e7621a0c909e.jpg)
20250201
재신경치료를 시작했습니다.
치아 내부를 깨끗이 청소하여
염증의 원인을 제거합니다.
잇몸의 붓기는 금새 좋아집니다.
![[재신경치료] 6개월 전에 신경치료한 치아에서 고름이 나와요. 관련 이미지 8](https://pub-9f2bb3498faf4d1d8714b41df24753e3.r2.dev/content/clinics/archive/nqmm0udu86/naver_blog/honeybeevuvu/assets/by_hash/acdc210a21d44350990938c6d374f79c7e28205b1b2cbc06b2940ef2352569ba.jpg)
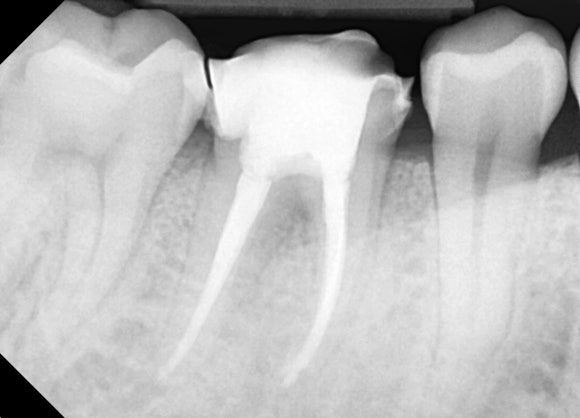
20250329
수차례 치아 내부를 청소하고 소독하기를
반복했습니다.
두 달 정도 걸려 신경치료를 마무리했습니다.
![[재신경치료] 6개월 전에 신경치료한 치아에서 고름이 나와요. 관련 이미지 9](https://pub-9f2bb3498faf4d1d8714b41df24753e3.r2.dev/content/clinics/archive/nqmm0udu86/naver_blog/honeybeevuvu/assets/by_hash/2002084f91c387d47f4450b741d45042157462902d7b6c418969e802416882da.jpg)
![[재신경치료] 6개월 전에 신경치료한 치아에서 고름이 나와요. 관련 이미지 10](https://pub-9f2bb3498faf4d1d8714b41df24753e3.r2.dev/content/clinics/archive/nqmm0udu86/naver_blog/honeybeevuvu/assets/by_hash/0efffded050fe83674a0a2349c8b759e792ec441c50e83c256441acac4d50b8f.jpg)
(좌) 재신경치료 전 (우) 재신경치료 후 (20240329)
뿌리 끝에 매달려 있던
검은 그림자의 내부로
몽글몽글 새 뼈가 재생되는 것을
관찰할 수 있습니다.
![[재신경치료] 6개월 전에 신경치료한 치아에서 고름이 나와요. 관련 이미지 11](https://pub-9f2bb3498faf4d1d8714b41df24753e3.r2.dev/content/clinics/archive/nqmm0udu86/naver_blog/honeybeevuvu/assets/by_hash/13492f02f3e40b4201c2268c176550f08df1594f2be5059d7786cc6e5b5fa35a.jpg)
20250412
(재)신경치료의 마무리는
언제나 튼튼한 크라운입니다.
씹는 힘에 저항하며,
치아를 이중잠금으로 물샐틈 없이
보호해줍니다.
매번 귀한 주말에 시간을 내어
치아건강을 지키기 위해
함께 노력해주신 환자분께
다시 한 번 감사인사 드립니다.
#재신경치료
#치아지킴희전준희원장
#치과보존과전문의
#현미경신경치료
더 보기
이 병원의 공개 콘텐츠를 계속 살펴보세요
출처 아카이브로 돌아가 더 많은 글을 보거나, 병원 프로필로 이동해 다른 공개 채널도 함께 비교해보세요.