Seoul Jeseng Dental Korea - English
[재신경치료] 20대 남성, 9년 전에 신경치료한 치아에서 고름이 나와요.
안녕하세요. 신촌의 치아지킴희 전준희 원장입니다. 예전에 신경치료를 받았던 부위의 잇몸이 붓고 뾰루지 같은 것이 올라온 적이 있으신가요? 아프진 않아서 그냥 두고 보셨다면, 이 포스팅을 계기로 가까운 치과에 방문하시는 것을 권합니다. 20241224 국가고시를 앞두고 있는...
아카이브 요약
이 페이지의 역할
Seoul Jeseng Dental Korea - English, French Speaking Dentist | 서울재생치과 - 임플란트 투명교정 신경치료의 네이버 블로그 원문을 보존한 아카이브 페이지입니다. 준원장의 치과이야기 카테고리의 [재신경치료] 20대 남성, 9년 전에 신경치료한 치아에서 고름이 나와요. 글을 통해 병원의 한국어 정보 제공 방식과 진료 관련 안내 톤을 확인할 수 있습니다.
![[재신경치료] 20대 남성, 9년 전에 신경치료한 치아에서 고름이 나와요. 관련 이미지 1](https://pub-9f2bb3498faf4d1d8714b41df24753e3.r2.dev/content/clinics/archive/nqmm0udu86/naver_blog/honeybeevuvu/assets/by_hash/b89d0b809c9ad584e866a534c2547b6408bcefd09bca797f151000bd3d6990d6.jpg)
![[재신경치료] 20대 남성, 9년 전에 신경치료한 치아에서 고름이 나와요. 관련 이미지 2](https://pub-9f2bb3498faf4d1d8714b41df24753e3.r2.dev/content/clinics/archive/nqmm0udu86/naver_blog/honeybeevuvu/assets/by_hash/240ef874c67960b73323b70f6d10e443f3bb6b464e8d1c4e7d9fa9a3cc95df26.jpg)
안녕하세요.
신촌의 치아지킴희 전준희 원장입니다.
예전에 신경치료를 받았던 부위의
잇몸이 붓고 뾰루지 같은 것이 올라온 적이 있으신가요?
아프진 않아서 그냥 두고 보셨다면,
이 포스팅을 계기로
가까운 치과에 방문하시는 것을 권합니다.
![[재신경치료] 20대 남성, 9년 전에 신경치료한 치아에서 고름이 나와요. 관련 이미지 3](https://pub-9f2bb3498faf4d1d8714b41df24753e3.r2.dev/content/clinics/archive/nqmm0udu86/naver_blog/honeybeevuvu/assets/by_hash/50a9af4c138cde771f705b85a764c4a4aef46f26ff59749dda06a9ab98ad2d89.jpg)
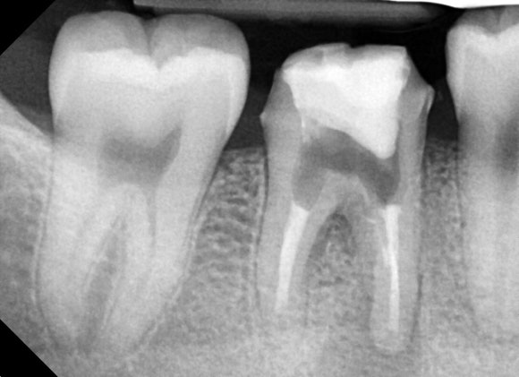
20241224
국가고시를 앞두고 있는 젊은 남성분입니다.
오른쪽 아래 신경치료를 하고 크라운을 씌운 치아가 있습니다.
얼마전부터 잇몸이 붓고 아파서
구강외과에서 고름을 째고 소독을 받았지만
다시 고름이 차기 시작하셨다고 합니다.
- 신경치료 기원의 고름은 째고 소독한다고 해결되지 않습니다. 반드시 재신경치료나 발치 같은 근본적인 치료가 필요합니다.
![[재신경치료] 20대 남성, 9년 전에 신경치료한 치아에서 고름이 나와요. 관련 이미지 4](https://pub-9f2bb3498faf4d1d8714b41df24753e3.r2.dev/content/clinics/archive/nqmm0udu86/naver_blog/honeybeevuvu/assets/by_hash/ea267441074a2818cfb168070fa63f707b4b2902aeef7222a801e2417b4c9597.jpg)
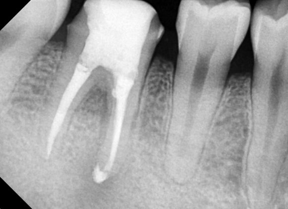
20241224
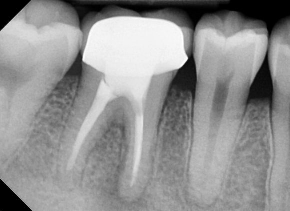
문제 치아를 확대하는 엑스레이를 찍어보니
뿌리 주위로 기분 나쁜 검은 그림자가
드리운 것을 확인할 수 있습니다.
![[재신경치료] 20대 남성, 9년 전에 신경치료한 치아에서 고름이 나와요. 관련 이미지 5](https://pub-9f2bb3498faf4d1d8714b41df24753e3.r2.dev/content/clinics/archive/nqmm0udu86/naver_blog/honeybeevuvu/assets/by_hash/e5102d4c9bd962dcd5e935cbe57189fb0dc858f2bf1633b0cc2a4e7db48ffeb9.jpg)
20241224
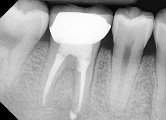
이때 CT는 아주 고마운 진단도구입니다.
이전 치료에서 놓친 것은 무엇인지,
염증의 정확한 위치와 크기는 어느정도인지
사전에 파악할 수 있게 도와줍니다.
따라서
재신경치료의 가능성 여부를
어느 정도 가늠할 수 있는 근거가 됩니다.
![[재신경치료] 20대 남성, 9년 전에 신경치료한 치아에서 고름이 나와요. 관련 이미지 6](https://pub-9f2bb3498faf4d1d8714b41df24753e3.r2.dev/content/clinics/archive/nqmm0udu86/naver_blog/honeybeevuvu/assets/by_hash/59ce35ea9749a86ff2700bb3a27dc59944b566851703b51ef732941c116b4399.jpg)
20241224
재신경치료를 위해
크라운을 벗겨냈습니다.
다행히 크라운 속으로 충치가 생기진 않았습니다.
재신경치료만 잘 된다면
다시 크라운을 씌울 수 있는 상태입니다.
![[재신경치료] 20대 남성, 9년 전에 신경치료한 치아에서 고름이 나와요. 관련 이미지 7](https://pub-9f2bb3498faf4d1d8714b41df24753e3.r2.dev/content/clinics/archive/nqmm0udu86/naver_blog/honeybeevuvu/assets/by_hash/3adc466a2a09a7958c2397fecabdf619437094e16d4ec0d4912329bedaad5863.jpg)
20241224
재신경치료를 시작했습니다.
뿌리 끝 염증이 있는 곳까지
청소를 하고 나니
고름이 뿌리를 타고 올라오는 것을
볼 수 있었습니다.
더 이상 고름이나 기타 부산물이
나오지 않을 때까지
재신경치료는 계속됩니다.
![[재신경치료] 20대 남성, 9년 전에 신경치료한 치아에서 고름이 나와요. 관련 이미지 8](https://pub-9f2bb3498faf4d1d8714b41df24753e3.r2.dev/content/clinics/archive/nqmm0udu86/naver_blog/honeybeevuvu/assets/by_hash/f0d0e4e7650a351b5d9b8d8accde31cea73534292b82e490d0bf969c351ea949.jpg)
20241226
이전에 삽입되었던
신경치료 재료를 모두 제거하고
머리끝에서 발끝까지 시원하게 개통시켜주면,
뿌리 끝에 갇혀있던 염증물질들이
배출될 수 있습니다.
![[재신경치료] 20대 남성, 9년 전에 신경치료한 치아에서 고름이 나와요. 관련 이미지 9](https://pub-9f2bb3498faf4d1d8714b41df24753e3.r2.dev/content/clinics/archive/nqmm0udu86/naver_blog/honeybeevuvu/assets/by_hash/edd052c54129df753f9bde42b8137d006c571b379b2afde105a7f551d9894111.jpg)
20250221
처음 느꼈던 통증과 부종이 어느정도 사라졌다면,
이후로는 내원 간격이 꽤 길어집니다.
2주나 4주 간격으로 오셔서
내부를 소독하고 약을 교체합니다.
![[재신경치료] 20대 남성, 9년 전에 신경치료한 치아에서 고름이 나와요. 관련 이미지 10](https://pub-9f2bb3498faf4d1d8714b41df24753e3.r2.dev/content/clinics/archive/nqmm0udu86/naver_blog/honeybeevuvu/assets/by_hash/426ae5bb217b0f239bdf209a0403472a3bb6f681b8df4b7777b8859fd93f47a8.jpg)
20250228
다행히 호전이 빠르셔서
2개월만에 치료를 종료할 수 있었습니다.
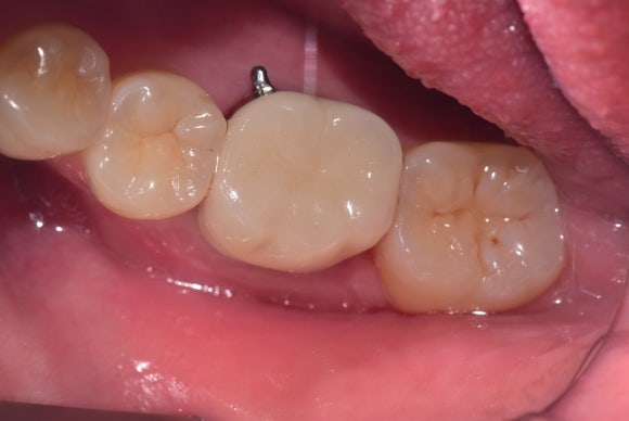
신경치료된 어금니는 평생 입 안에서
맞은편 치아, 음식 등과 부딪히며 살아야 합니다.
튼튼한 크라운으로 머리를 보호해줍니다.
![[재신경치료] 20대 남성, 9년 전에 신경치료한 치아에서 고름이 나와요. 관련 이미지 11](https://pub-9f2bb3498faf4d1d8714b41df24753e3.r2.dev/content/clinics/archive/nqmm0udu86/naver_blog/honeybeevuvu/assets/by_hash/c576f4d350349fb5e4def4c929921abc2aa42dddd2ef2af8f77aa0ba732808a7.jpg)
20250528
치료 종료 후 3개월에
경과 관찰을 위해 촬영한 사진입니다.
치아 뿌리 끝에 매달려 있던
검은 염증 주머니가 거의 다 사라진 것을
확인할 수 있습니다.
![[재신경치료] 20대 남성, 9년 전에 신경치료한 치아에서 고름이 나와요. 관련 이미지 12](https://pub-9f2bb3498faf4d1d8714b41df24753e3.r2.dev/content/clinics/archive/nqmm0udu86/naver_blog/honeybeevuvu/assets/by_hash/f86c4517285809a29afa96d91d7f7f9aaf48a81a52aba3cced414ef9c63de80f.jpg)
(상) 재신경치료 전 (하) 재신경치료 후
CT로 확인해보면 더욱 만족스럽습니다.
위 사진이 치료 전,
아래 사진이 치료 후 3개월 차에 촬영한
치아의 단면입니다.
거의 완치수준이라고 봐도 될것입니다.
바쁜 수험 생활에도 불구하고
치료에 전념해주신 ㄱㅅㅇ님께
감사의 말씀을 전합니다.
#재신경치료
#신촌치아지킴희전준희원장
#치과보존과전문의
더 보기
이 병원의 공개 콘텐츠를 계속 살펴보세요
출처 아카이브로 돌아가 더 많은 글을 보거나, 병원 프로필로 이동해 다른 공개 채널도 함께 비교해보세요.