Seoul Jeseng Dental Korea - English
[치아절제술/hemisection] 뿌리가 부러진 소중한 내 어금니..이대로 뽑긴 아까워요.
안녕하세요. 신촌의 치아지킴희^^ 치과보존과 전문의 전준희 원장입니다. 제 전공인 치과보존과 진료를 마음껏 하면서 사는게 꿈이었는데, 전국 각지 심지어 해외에서도 치과보존과 진료를 보기 위해 매일 찾아와주셔서 늘 감사한 마음으로 진료를 하고 있습니다. 치과보존과 수련을 받...
아카이브 요약
이 페이지의 역할
Seoul Jeseng Dental Korea - English, French Speaking Dentist | 서울재생치과 - 임플란트 투명교정 신경치료의 네이버 블로그 원문을 보존한 아카이브 페이지입니다. 준원장의 치과이야기 카테고리의 [치아절제술/hemisection] 뿌리가 부러진 소중한 내 어금니..이대로 뽑긴 아까워요. 글을 통해 병원의 한국어 정보 제공 방식과 진료 관련 안내 톤을 확인할 수 있습니다.
![[치아절제술/hemisection] 뿌리가 부러진 소중한 내 어금니..이대로 뽑긴 아까워요. 관련 이미지 1](https://pub-9f2bb3498faf4d1d8714b41df24753e3.r2.dev/content/clinics/archive/nqmm0udu86/naver_blog/honeybeevuvu/assets/by_hash/c02143c29bcf762e866bb25a27e7486e2f78c1c9dda47a84b5d86be86875b390.jpg)
![[치아절제술/hemisection] 뿌리가 부러진 소중한 내 어금니..이대로 뽑긴 아까워요. 관련 이미지 2](https://pub-9f2bb3498faf4d1d8714b41df24753e3.r2.dev/content/clinics/archive/nqmm0udu86/naver_blog/honeybeevuvu/assets/by_hash/240ef874c67960b73323b70f6d10e443f3bb6b464e8d1c4e7d9fa9a3cc95df26.jpg)
안녕하세요.
신촌의 치아지킴희^^
치과보존과 전문의 전준희 원장입니다.
제 전공인 치과보존과 진료를 마음껏 하면서
사는게 꿈이었는데,
전국 각지 심지어 해외에서도
치과보존과 진료를 보기 위해
매일 찾아와주셔서
늘 감사한 마음으로 진료를 하고 있습니다.
치과보존과 수련을 받을 때
졸업요건으로 채워야하는 케이스가 있는데요,
그 중 하나가 치아절제술입니다.
치아절제술(hemisection)은
말 그대로
치아의 일부를 잘라낸다는 뜻입니다.
1/4 만 잘라내는 경우도 있고,
1/2를 잘라내는 경우도 있습니다.
앞니 보다는
뿌리가 여러개이고 머리가 상대적으로 큰
어금니에 시행할 수 있는 시술입니다.
저도 예전에 어금니 뿌리가 안좋아서
빼라는 말을 들었는데..
문제 있는 뿌리만 잘라내면
되는거 아니었을까요?!?ㅠㅠ
라고 생각하실 수도 있겠습니다.
하지만 치아 절제술에는 아주 중요한
몇가지 전제조건이 있습니다.
첫째.
문제가 되는 뿌리 이외의
다른 뿌리들이 길고 튼튼할 것,
둘째.
해당 치아와 주위의 치아들의
잇몸뼈와 잇몸이 건강할 것.
셋째.
해당 치아의 머리에 온전한 자연치아 조직이
상당부분 남아 있을 것.
이 삼박자를 고루 갖추어야
비로소 치아절제술을 할 수 있는 것입니다.
하나라도 아웃이라면
아깝게 생각하지 말고
발치를 하시는 것이 좋습니다.
![[치아절제술/hemisection] 뿌리가 부러진 소중한 내 어금니..이대로 뽑긴 아까워요. 관련 이미지 3](https://pub-9f2bb3498faf4d1d8714b41df24753e3.r2.dev/content/clinics/archive/nqmm0udu86/naver_blog/honeybeevuvu/assets/by_hash/442c89eae92e724ecb6ab11a606a6e62e96282c1474d5c1f26e1b31342c3b1a4.jpg)
20250430
스페인에서 오신 60대 어르신이십니다.
요즘은 60대 분들의 활력이
젊은 세대 못지 않습니다.
정서적인 신체적인 건강 수준이
예전과는 많이 다릅니다.
그만큼 자연치아를 지키고자 하는 의지가
2030에 못지않게 강력하십니다.
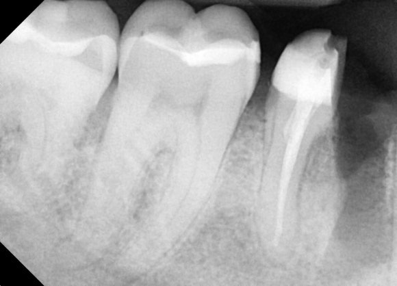
어금니의 뿌리 한 쪽이 산산조각이
난 것을 보고는
일단 발치를 권해드렸습니다.
하지만 자연치아를 지키고자하는
환자분의 강력한 의지와,
제가 전공한 분야를 살리는 것
두 가지에 동기부여가 되어
치아절제술을 시도하였습니다.
![[치아절제술/hemisection] 뿌리가 부러진 소중한 내 어금니..이대로 뽑긴 아까워요. 관련 이미지 4](https://pub-9f2bb3498faf4d1d8714b41df24753e3.r2.dev/content/clinics/archive/nqmm0udu86/naver_blog/honeybeevuvu/assets/by_hash/79d7c718b9d7aa41288a31d13c27549dcd60cbac32e3a11bd7a41f671d855076.jpg)
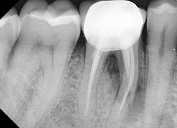
20250620
문제가 되는 뿌리 부분을
깨끗이 발거하였습니다.
다행히 남아있는 뿌리는 길이도 길고
잇몸뼈도 건강하여
남은 치아를 잘 지지해주리라 판단했습니다.
![[치아절제술/hemisection] 뿌리가 부러진 소중한 내 어금니..이대로 뽑긴 아까워요. 관련 이미지 5](https://pub-9f2bb3498faf4d1d8714b41df24753e3.r2.dev/content/clinics/archive/nqmm0udu86/naver_blog/honeybeevuvu/assets/by_hash/35176073736d738e527020392a91654713963e734f6b52d2d4e684a9fa407a55.jpg)
20250627
뿌리 하나를 남기고,
머리 부분은 깨끗하게 정돈하였습니다.
![[치아절제술/hemisection] 뿌리가 부러진 소중한 내 어금니..이대로 뽑긴 아까워요. 관련 이미지 6](https://pub-9f2bb3498faf4d1d8714b41df24753e3.r2.dev/content/clinics/archive/nqmm0udu86/naver_blog/honeybeevuvu/assets/by_hash/75c6646d7cbdb98b0cc8461eb62f75a6c8c8d3cb292a2822e1ac7e60cee87084.jpg)
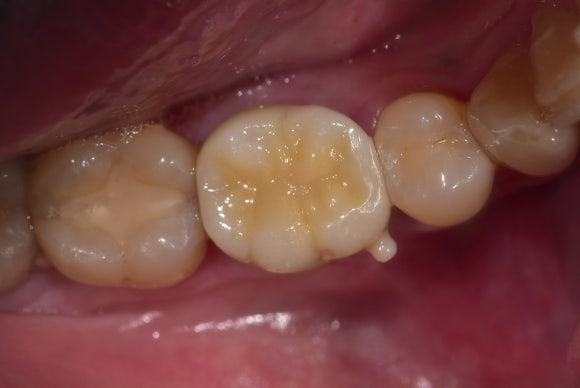
20250627
마지막으로 이렇게,
튼튼한 크라운을 씌워서 치료를 종료합니다.
하방에 뿌리가 없는 부위는
씹는 힘이 약하게 전달되도록 조정합니다.
과한 힘을 받으면,
새로 만든 크라운이나
남아있는 뿌리에 손상이 생길 수 있기 때문입니다.
이러한 역학적 불리함 때문에
온전한 자연치에 크라운을 씌운 것이나
임플란트를 한 것에 비해서는
오래 쓰지 못할 수 있습니다.
하지만 건강상의 이유 (골다공증, 출혈성향, 항암 등)로 당장 발치를 하지 못하거나,
자연치에게 마지막 기회를 주고 싶은 분들께는
충분히 권장되는 시술입니다.
치아절제술은
시행 가능한 케이스를 선별하는 눈이 중요한 시술입니다.
치과보존과 전문의의 상담을 통해 결정하시기를 권해드립니다.
이상으로 긴 글을 마칩니다.
#치과보존과전문의
#치아지킴희전준희원장
#치아절제술
#hemisection
더 보기
이 병원의 공개 콘텐츠를 계속 살펴보세요
출처 아카이브로 돌아가 더 많은 글을 보거나, 병원 프로필로 이동해 다른 공개 채널도 함께 비교해보세요.