Seoul Jeseng Dental Korea - English
[치아살리기] 부러진 치아를 빼고 임플란트해야 한대요.
신촌치아지킴히, 치과보존과 전준희 원장입니다. 지금 이 글을 읽고 계신 분은 아마도 크라운째로 치아가 빠졌거나, 밥먹다가 갑자기 치아가 크게 부러져서 발치를 해야 한다고 들으셨겠지요. 물론, 충치가 너무나도 큰 나머지 남아있는 치아로는 도저히 기능할 수 없는 경우엔 발...
아카이브 요약
이 페이지의 역할
Seoul Jeseng Dental Korea - English, French Speaking Dentist | 서울재생치과 - 임플란트 투명교정 신경치료의 네이버 블로그 원문을 보존한 아카이브 페이지입니다. 준원장의 치과이야기 카테고리의 [치아살리기] 부러진 치아를 빼고 임플란트해야 한대요. 글을 통해 병원의 한국어 정보 제공 방식과 진료 관련 안내 톤을 확인할 수 있습니다.
![[치아살리기] 부러진 치아를 빼고 임플란트해야 한대요. 관련 이미지 1](https://pub-9f2bb3498faf4d1d8714b41df24753e3.r2.dev/content/clinics/archive/nqmm0udu86/naver_blog/honeybeevuvu/assets/by_hash/4bb77030063c31f5ffbe833d029ec105209ef3ae8c22dbed9563894e1ac355a7.png)
![[치아살리기] 부러진 치아를 빼고 임플란트해야 한대요. 관련 이미지 2](https://pub-9f2bb3498faf4d1d8714b41df24753e3.r2.dev/content/clinics/archive/nqmm0udu86/naver_blog/honeybeevuvu/assets/by_hash/a310402626d992ae73f79ff97756a49099c66da5285269e9a41f35f1307c3c0d.jpg)
신촌치아지킴히, 치과보존과 전준희 원장입니다.
지금 이 글을 읽고 계신 분은
아마도
크라운째로 치아가 빠졌거나,
밥먹다가 갑자기 치아가 크게 부러져서
발치를 해야 한다고 들으셨겠지요.
물론, 충치가 너무나도 큰 나머지
남아있는 치아로는 도저히 기능할 수 없는 경우엔
발치를 해야 합니다.
아래 케이스는
여러조건이 맞아떨어져서
운좋게도 치아를 살려낼 수 있었던 케이스입니다.
핵심은,
"부족한 치아는 잇몸과 뿌리에서 빌려온다" 입니다.
이번 환자분의 치료 여정을 끝까지 따라오시면
무슨 말인지 이해가 잘 되실겁니다.
![[치아살리기] 부러진 치아를 빼고 임플란트해야 한대요. 관련 이미지 3](https://pub-9f2bb3498faf4d1d8714b41df24753e3.r2.dev/content/clinics/archive/nqmm0udu86/naver_blog/honeybeevuvu/assets/by_hash/d5adf2b5091e639ebbb15a704a955f03d03e81db27fd1dee09eb709498e6c1dc.jpg)
20250707
처참하게 부러진 치아입니다.
크라운째로 빠져서 오셨던 것 같습니다.
젊은 여자분이셨는데...
웃으면 보이는 보이는 위치에 치아가 없어져서 매우 당혹스러워하셨습니다.
난생처음 임플란트를 해야 한다는 두려움과 함께요.
![[치아살리기] 부러진 치아를 빼고 임플란트해야 한대요. 관련 이미지 4](https://pub-9f2bb3498faf4d1d8714b41df24753e3.r2.dev/content/clinics/archive/nqmm0udu86/naver_blog/honeybeevuvu/assets/by_hash/9b3b80ba1c065297a077e8018b4b3078576e8bf63a3d703069d5d60ee4eb4e1d.jpg)
충치가 뿌리까지 타고 내려갔는가?
저정도면 그렇다고 봐야겠죠.
보통 충치가 뿌리까지 내려가면
치아 자체의 강도가 약해지지기도 하고
어떻게 어떻게 치료가 가능하다고 해도
쏟아져나오는 피와 침 가운데에서 제대로 된 치료를 하기가 어려워
현실적으로 발치로 이어지는 경우가 대다수입니다.
저 또한 장기적인 수명이 의심스러운 케이스는 확실하게 발치를 권합니다.
![[치아살리기] 부러진 치아를 빼고 임플란트해야 한대요. 관련 이미지 5](https://pub-9f2bb3498faf4d1d8714b41df24753e3.r2.dev/content/clinics/archive/nqmm0udu86/naver_blog/honeybeevuvu/assets/by_hash/4413a848eb8f66bdfd934380d15cea59799629bb67148f23ee3a6041e9cbc24c.jpg)
20250724
충치를 일단 제거해봤습니다.
뿌리는 멀쩡해보입니다.
이 뿌리를 살려서 써볼 수 있을까?
잠시 고민해봅니다.
엑스레이를 노려보니
생각보다 뿌리의 길이가 깁니다.
잇몸도 건강하고 두꺼워보입니다.
그럴땐 치은절제술을 통해 뿌리의 일부를 노출시킵니다.
위 사진은 충치를 모두 제거하고 치은절제술로 뿌리를 노출시킨 사진입니다.
![[치아살리기] 부러진 치아를 빼고 임플란트해야 한대요. 관련 이미지 6](https://pub-9f2bb3498faf4d1d8714b41df24753e3.r2.dev/content/clinics/archive/nqmm0udu86/naver_blog/honeybeevuvu/assets/by_hash/fe3e7c335f01abb5efc3cf0e0524d7e4a8746810472f5812c2a6fa27fd1cf5dd.jpg)
20250830
물론 이렇게 신경치료를 해야 합니다.
충치가 신경까지 번지고도 남은 상황이니까요.
그리고 뿌리에 포스트라고 불리는 작은 세라믹레진 막대기를 삽입합니다.
머리와 뿌리를 지탱해주는 지지대라고 보시면 됩니다.
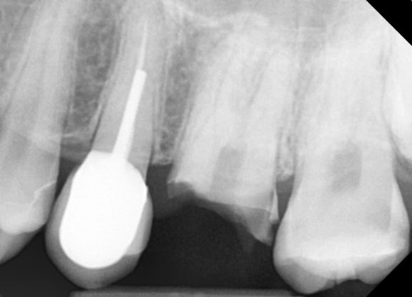
![[치아살리기] 부러진 치아를 빼고 임플란트해야 한대요. 관련 이미지 7](https://pub-9f2bb3498faf4d1d8714b41df24753e3.r2.dev/content/clinics/archive/nqmm0udu86/naver_blog/honeybeevuvu/assets/by_hash/23cc8404eaf4f5d46ec9f544598b97eba71ba6641d074a388362ac2879bf9509.jpg)
20250830
치아 가운데에 동그랗고 불투명한 것이 보입니다.
포스트의 단면입니다.
흰색은 레진입니다.
뿌리 위에 레진을 올리고, 이를 유지하기 위해 포스트를 삽입했다고 이해하시면 됩니다.
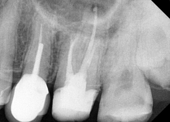
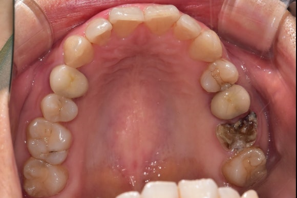
![[치아살리기] 부러진 치아를 빼고 임플란트해야 한대요. 관련 이미지 8](https://pub-9f2bb3498faf4d1d8714b41df24753e3.r2.dev/content/clinics/archive/nqmm0udu86/naver_blog/honeybeevuvu/assets/by_hash/5b93180e1b890d0346958fa590b096ee06e4cd3f5564099aa2e9bb5d22a8906b.jpg)
20251001
마무리는 언제나 튼튼한 크라운입니다.
이건 딴소리지만
지르코니아와 금 중에서 고민하시는 분들이 많은데,
이미 지르코니아는 범우주적(?)으로 어금니의 크라운 재료로 사용되고 있습니다.
우리나라의 금 가공기술이 우수해서^^
예전에는 금 크라운을 선호했고, 저 또한 잘 보이지 않는 치아라면 금니를 환자분께 많이 권했습니다.
하지만 요새는 지나가는 초딩도 알 정도로 금 값이 너무나 많이 올라서
금크라운 치료의 가성비^^;가 많이 떨어진 상황입니다.
더불어 지르코니아 가공기술이 눈에 띄게 성공했고,
서구권에서는 'white diamond'라고 불릴 정도로
견고함과 내구도가 인정받아 널리 사용되고 있으니,
믿고 사용하셔도 됩니다!
어쨌든,
치아가 부러졌다고 해서 반드시 빼야만 하는 건 아닙니다.
블로그에 치아 파절 케이스도 여럿 업로드 되어 있으니
관심이 있으시다면 일독을 권합니다.
그럼 이만~
#치과보존과전문의
#신촌치과
#신촌치아지킴히
#전준희원장
#서울재생치과
더 보기
이 병원의 공개 콘텐츠를 계속 살펴보세요
출처 아카이브로 돌아가 더 많은 글을 보거나, 병원 프로필로 이동해 다른 공개 채널도 함께 비교해보세요.