아카이브 요약
이 페이지의 역할
기린성형외과의원의 네이버 블로그 원문을 보존한 아카이브 페이지입니다. 뉴브이라인수술 카테고리의 사각턱수술 시 신경선의 위치 (파노라마로 보이는 신경선) 글을 통해 병원의 한국어 정보 제공 방식과 진료 관련 안내 톤을 확인할 수 있습니다.
원문 검증
필요하면 원문 블로그와 병원 프로필로 바로 이동해 문맥을 다시 확인할 수 있습니다.
출처 아카이브 열기아카이브된 블로그 글
기린성형외과의원 · 기린성형외과
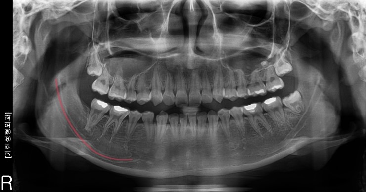
사각턱수술 시 신경선의 위치 (파노라마로 보이는 신경선) 안녕하세요. 오늘은 신경선의 위치와 사각턱수술의 관계에 대해서 말씀드리겠습니다. 턱에는 뼈 안쪽으로 지나가는 가드나란 신경이 있습니다. 아래 파노라마사진에서 붉은선으로 표시된 부분이 바로 신경선이 지나가는 길입니다. 신경선은 턱의 양쪽으로 자...
게시일
2012년 12월 1일
원문 기준으로 확인된 발행일입니다.
카테고리
뉴브이라인수술
원문 블로그 카테고리를 정리해 함께 표시합니다.
이미지 수
1
현재 아카이브에 연결된 이미지 수입니다.
아카이브 요약
기린성형외과의원의 네이버 블로그 원문을 보존한 아카이브 페이지입니다. 뉴브이라인수술 카테고리의 사각턱수술 시 신경선의 위치 (파노라마로 보이는 신경선) 글을 통해 병원의 한국어 정보 제공 방식과 진료 관련 안내 톤을 확인할 수 있습니다.
원문 검증
필요하면 원문 블로그와 병원 프로필로 바로 이동해 문맥을 다시 확인할 수 있습니다.
출처 아카이브 열기사각턱수술 시 신경선의 위치
(파노라마로 보이는 신경선)
안녕하세요. 오늘은 신경선의 위치와 사각턱수술의 관계에 대해서 말씀드리겠습니다.
턱에는 뼈 안쪽으로 지나가는 가드나란 신경이 있습니다.
아래 파노라마사진에서 붉은선으로 표시된 부분이 바로 신경선이 지나가는 길입니다.
신경선은 턱의 양쪽으로 자리잡고 있는데 신경선의 위치와 사각턱수술의 절골범위가 관련이 있습니다.
사각턱수술 시 나타날 수 있는 부작용증상중 하나가 신경선의 손상인데
신경선이 아래로 내려와 있는 경우 신경을 피해서 절골해야 하기 때문에
절골할 수 있는 범위는 그만큼 줄어듭니다.
신경선의 위치

안면윤곽 수술 후 감각이 저하되어 음식물이 묻은 느낌을 모른다거나 만져봐도 느낌이 없는 것은
대부분 신경손상때문이 아니라 수술 후 부기와 연부조직이 받은 자극으로 인한 일시적인 증상입니다.
감각의 회복은 개인차가 있지만 대부분 3~6개월정도 소요되고
완전히 회복되기 까지 감각저하, 저작활동의 불편함, 입모양의 부자연스러움 등의 증상이 생길 수 있습니다.
이는 대부분 시간이 지나면 자연스럽게 돌아오기 때문에 걱정하지 않아도 되며,
신경의 손상은 위 사진처럼 파노라마, CT촬영으로 판단이 가능하기 때문에 사각턱수술 후 이상증상이 나타난다면 촬영을 통해 정확한 판단을 하는것이 좋습니다.