아카이브 요약
이 페이지의 역할
기린성형외과의원의 네이버 블로그 원문을 보존한 아카이브 페이지입니다. 윤곽성형부작용 카테고리의 앞턱 보형물의 잘못된 위치로 인한 부작용증상 글을 통해 병원의 한국어 정보 제공 방식과 진료 관련 안내 톤을 확인할 수 있습니다.
원문 검증
필요하면 원문 블로그와 병원 프로필로 바로 이동해 문맥을 다시 확인할 수 있습니다.
출처 아카이브 열기아카이브된 블로그 글
기린성형외과의원 · 기린성형외과
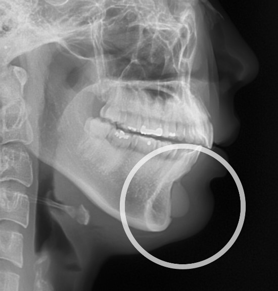
앞턱보형물의 적절한 위치 무턱인경우 절골수술 또는 보형물을 통해 앞턱을 볼록하게 만들어 줄 수 있습니다. 허나 잘못된 위치에 보형물이 자리잡거나 절골이 잘못될 경우 앞턱이 부자연스럽고 턱의 모양이 어색하게 보이는 증상이 생깁니다. 아래는 보형물이 잇몸바로 아래에 위치하고...
게시일
2013년 3월 4일
원문 기준으로 확인된 발행일입니다.
카테고리
윤곽성형부작용
원문 블로그 카테고리를 정리해 함께 표시합니다.
이미지 수
1
현재 아카이브에 연결된 이미지 수입니다.
아카이브 요약
기린성형외과의원의 네이버 블로그 원문을 보존한 아카이브 페이지입니다. 윤곽성형부작용 카테고리의 앞턱 보형물의 잘못된 위치로 인한 부작용증상 글을 통해 병원의 한국어 정보 제공 방식과 진료 관련 안내 톤을 확인할 수 있습니다.
원문 검증
필요하면 원문 블로그와 병원 프로필로 바로 이동해 문맥을 다시 확인할 수 있습니다.
출처 아카이브 열기앞턱보형물의 적절한 위치
무턱인경우 절골수술 또는 보형물을 통해 앞턱을 볼록하게 만들어 줄 수 있습니다. 허나 잘못된 위치에 보형물이 자리잡거나 절골이 잘못될 경우 앞턱이 부자연스럽고 턱의 모양이 어색하게 보이는 증상이 생깁니다. 아래는 보형물이 잇몸바로 아래에 위치하고 있어 턱의 모양이 브이라인이 되지 못하고 이중턱으로 보여지는 사례입니다.
앞턱보형물의 잘못된 위치

현재 엑스레이에서 보여지는 보형물의 위치보다 6~7mm 아래로 이동될 경우 이상적인 볼륨을 기대할 수 있습니다.사례는 긴곡선절제술과 앞턱보형물재수술이 적용되었습니다.