아카이브 요약
이 페이지의 역할
서울바르디치과의원의 네이버 블로그 원문을 보존한 아카이브 페이지입니다. 3D 네비게이션 임플란트 카테고리의 바르디 임플란트는 바르게 심지만, 빠르게 씹습니다. 그간의 경험을 바탕으로요. 글을 통해 병원의 한국어 정보 제공 방식과 진료 관련 안내 톤을 확인할 수 있습니다.
원문 검증
필요하면 원문 블로그와 병원 프로필로 바로 이동해 문맥을 다시 확인할 수 있습니다.
출처 아카이브 열기아카이브된 블로그 글
서울바르디치과의원 · Naver Blog
안녕하세요 상일동치과 서울바르디치과 대표원장 장태현입니다. 제목에서 빠르게 한한다고하니까 오늘도 또 짧은수술시간, 정확한 식립위치, 무절개 네이게이션 이야기를 하려나 하실수도있겟네요ㅎㅎ 근데 오늘 말씀드릴 바르디의 빠름은 시간이라기보단 기간이 어울리겠습니다. 불과 10년전만해도 임플란트에 걸리는 기간은 길었...
게시일
2023년 10월 29일
원문 기준으로 확인된 발행일입니다.
카테고리
3D 네비게이션 임플란트
원문 블로그 카테고리를 정리해 함께 표시합니다.
이미지 수
17
현재 아카이브에 연결된 이미지 수입니다.
아카이브 요약
서울바르디치과의원의 네이버 블로그 원문을 보존한 아카이브 페이지입니다. 3D 네비게이션 임플란트 카테고리의 바르디 임플란트는 바르게 심지만, 빠르게 씹습니다. 그간의 경험을 바탕으로요. 글을 통해 병원의 한국어 정보 제공 방식과 진료 관련 안내 톤을 확인할 수 있습니다.
원문 검증
필요하면 원문 블로그와 병원 프로필로 바로 이동해 문맥을 다시 확인할 수 있습니다.
출처 아카이브 열기안녕하세요
상일동치과 서울바르디치과 대표원장 장태현입니다.
제목에서 빠르게 한한다고하니까 오늘도 또
짧은수술시간, 정확한 식립위치, 무절개 네이게이션 이야기를
하려나 하실수도있겟네요ㅎㅎ
근데 오늘 말씀드릴 바르디의 빠름은
시간이라기보단 기간이 어울리겠습니다.
불과 10년전만해도 임플란트에 걸리는 기간은 길었습니다.
흔들리는 치아를 뽑는날부터 뽑은 자리가 아무는 날까지 6개월,
아물면 임플란트를 심고나서 6개월,
심어논 임플란트 상부의 잇몸 모양을 만드려고 2차 수술하고 또 1~2주,
뽄 뜬다음에 상부 보철물 올리는데 1~2주...
1년은은 씹지도못하고 이래저래 고생하는 치료였죠.
최근 들어 이러한 임플란트 수술의 트렌드(?)가 조금 바꼇습니다.
현재의 임플란트는 초창기의 임플란트보다
훨씬 빠르고 단단하게 뼈와 유착이 가능합니다.
지난 10년동안 임플란트의 표면처리기술은 발전에 발전을 더해가고있는게
주된 이유이죠.
표면적을 넓혀주는 다공성 표면에 전해질 용액을 이용한 표면 코팅까지
거기에 UV(자외선)까지 이용하는 임플란트는
회복과 골유착 기간을 많이 줄여주었고
발치 즉시 식립 수술의 결과물이 지연식립과 차이가 없는 수준이 되자
발치 즉시 식립 수술에 대한 치과계의 신뢰와 합의가 쌓이고있습니다.
바르디치과는 90% 이상의 임플란트 식립케이스에서
발치 즉시 식립 수술을 진행하고있습니다.
발치 즉시 식립 수술 케이스가 워낙 많지만
그중 1가지 케이스를 소개하려합니다.
저희 바르디치과가 임플란트 깔끔하고 빠르게 잘해주신다고
가족분의 소개로 내원하셨다고 하십니다^^.
(모든 자료는 환자분의 동의 하에 사용하고있습니다)
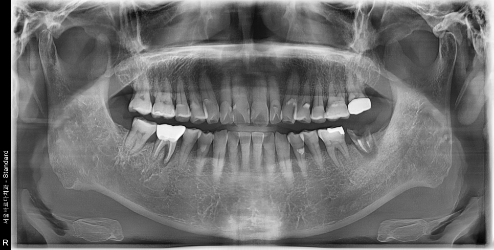
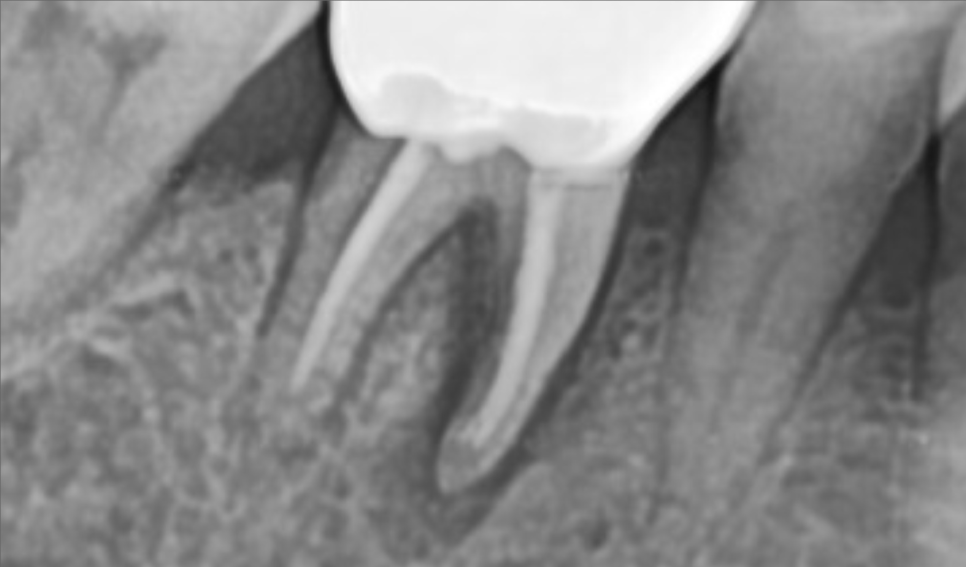
먼저 치과치료의 가장 기본에 해당하는 X-ray들을 보겠습니다.

어금니에 잇몸이 안좋아보이는 부분들이 몇군데 보이는군요.
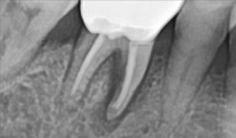
자세히 보는 작은 X-ray를 추가로 촬영합니다.


흠.. 생각보다 더 많이 심각한 상태입니다.
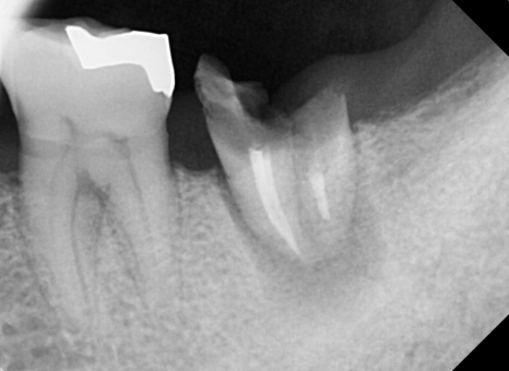
특히나 뿌리만 남은 치아는 내부에 골소실이 심각한 상태입니다.

한쪽은 치아 머리가 깨져서 검게 뿌리만 남아있고,
한쪽은 뿌리쪽에서 고름주머니가 잡혀있어
건들면 아프고, 매번 안좋은 냄세가 난다고 하시네요.
(촉감이 몰캉몰캉하니 고름이 차있는 상태입니다)

오래전 시행됬을 신경치료의 흔적이 보입니다..
아마 신경치료 후 크라운을 씌우셨을텐데
내부에 충치가 생겨 크라운이 머리채로 부러져나가버렸습니다.
이정도로 치아가 남지 않은 상태면 임플란트 이외에는 방법이 없습니다.
우선 급한쪽부터 치료를 원하신다는 환자분의 요청에 따라
뿌리만 남은 치아를 먼저 하기로 결정합니다.
그날 바로 마취를 진행하고, 마취를 기다리는 동안
임플란트 수술에 대한 간단한 설명을 드리고,
수술방에서는 열심히 수술기구들을 준비합니다.
마취가 잘 되었는지를 확인하고 발치를 진행합니다.
신경치료가 된채로 오래 사용한 뿌리는
쉽게 부서져서 발치가 어려운 케이스에 해당합니다.
살포시 발치를 완료하고 남은 뿌리가 없는지
X-ray를 찍어봅니다.

남은 뿌리없이 깔끔하게 나왔네요.
다시 수술방으로 돌아와 바로 임플란트를 심기 시작합니다.

오래 걸리지도 않습니다. 임플란트의 각도와 깊이를 확인 한 후
매우 만족하며, 다음 단계인 뼈이식과 봉합을 진행합니다.
(여기서 잠깐)
발치 즉시 케이스에서는 2~3mm정도에 해당하는 잔존골만있으면
충분한 고정력을 얻을수있기때문에
위턱의 경우 뼈가 아예없는경우,
아래턱의 경우 신경관 상방에 잔존골이 아예 없는경우를 제외한다면
대부분의 경우에 발치 즉시 식립이 가능합니다.

뼈이식과 봉합까지 모두 마무리한후 찍은 사진입니다.
(해당 케이스는 뼈이식을 하지않더라도
임플란트의 성능과 수명에는 문제가 없을 케이스입니다.
이런 경우 따로 뼈이식 비용을 청구하지는 않습니다.
본 환자분의 경우는 잇몸부위의 볼륨감과 풍융함을 형성하여
음식물이 치아 사이에 끼는 증상을 최소화하기위해
뼈이식을 진행하셨습니다.)


성공적으로 수술을 마무리한 이후에는
챙겨드린 약만 잘 챙겨서 복용하시면
통증은 많이는는 없는 경우가 많습니다.
시간이 흘러...
2달이 지났습니다. 임플란트가 잘 붙은것을 확인하고
임플란트 상부 보철물 제작을 진행합니다.
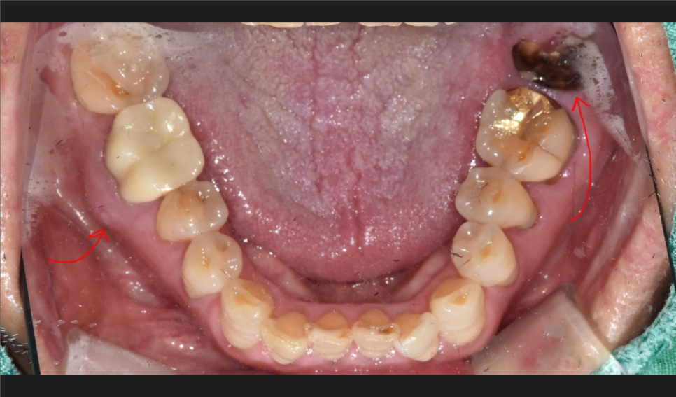
반대편에 고름주머니 잡힌 치아도 발치 즉시 식립으로 수술을 원하셔서
당일 수술 진행해 드렸습니다.

(이랫던 치아가... 30분이 지나면..)

요렇게 바뀝니다.

CT상으로 봐도 잘 들어갔군요.
주변부 뼈의 양도 골질도 매우 괜찮습니다.
다음 내원때는 먼저 심었던 임플란트에 상부 보철물을 셋팅하여 드렸습니다.

위 케이스와 같이 가용할 수 잔존골이 충분한 상태라면
임플란트는 2개월이면 가능합니다.
골질도 좋고, 양도 충분하다면
심지어 예전에 포스팅했던 케이스처럼
오늘심고, 내일 씹는
원데이 임플란트도 가능한 시대입니다.
이제 지연식립은 정말 뼈가 없는 상황에서만 쓰는
고대의 유물과도 같은 방식이 되어가고있습니다.
치아를 빼는것도 아픈데, 임플란트 심을때 또 아픕니다.
2번 아플 이유가 있을까요?
결과의 차이가 없다면 말이죠.
수술실에서 치아를 뽑고, 즉시 임플란트를 심으면
6개월을 앞당길수있는데
6개월만큼 늦게 씹을 이유가 있을가요?
결과의 차이가 없다면 말이죠.
앞니처럼 사회생활의 자신감에 중요한 역활을 하는 위치라면
발치 즉시 식립을 해야 임시치아라도 해드릴수가있습니다.
뽑고 기다렸다가 심는 지연식립을 선택한다면
기다리는 동안은 덜그럭거리는 임시틀니를 사용할수밖에없습니다.
그럴 이유가 있을까요?
결과의 차이가 없다면 말이죠.
치아가 없어본적이 없는 분들이 겪는
치아가 없는 불편함은 생각보다 더 큽니다.
서울바르디치과가
좋은재료와 최신기술, 마르지않는 정성으로
빠르게 다시 씹을수있도록 도와드리겠습니다.
감사합니다.^^
대표원장 장태현이이였습니다.


