아카이브 요약
이 페이지의 역할
서울바르디치과의원의 네이버 블로그 원문을 보존한 아카이브 페이지입니다. 3D 네비게이션 임플란트 카테고리의 고덕동치과 서울바르디치과 무절개 네비게이션 임플란트 치료증례 #1 글을 통해 병원의 한국어 정보 제공 방식과 진료 관련 안내 톤을 확인할 수 있습니다.
원문 검증
필요하면 원문 블로그와 병원 프로필로 바로 이동해 문맥을 다시 확인할 수 있습니다.
출처 아카이브 열기아카이브된 블로그 글
서울바르디치과의원 · Naver Blog
안녕하세요.^^ 디지털 장비를 활용한 바른 진료를 통해 편안한 진료 경험을 선물하는 서울바르디치과의 대표원장 통합치의학과 전문의 장태현입니다. 요즘 부쩍 추워진 날씨로 인해 치아가 시리고, 아픈 분들이 더욱 많아지는 것 같습니다. 오늘 소개해 드릴 분께서도 이가 전체적으로 시리고 아파서 내원하...
게시일
2023년 12월 21일
원문 기준으로 확인된 발행일입니다.
카테고리
3D 네비게이션 임플란트
원문 블로그 카테고리를 정리해 함께 표시합니다.
이미지 수
20
현재 아카이브에 연결된 이미지 수입니다.
아카이브 요약
서울바르디치과의원의 네이버 블로그 원문을 보존한 아카이브 페이지입니다. 3D 네비게이션 임플란트 카테고리의 고덕동치과 서울바르디치과 무절개 네비게이션 임플란트 치료증례 #1 글을 통해 병원의 한국어 정보 제공 방식과 진료 관련 안내 톤을 확인할 수 있습니다.
원문 검증
필요하면 원문 블로그와 병원 프로필로 바로 이동해 문맥을 다시 확인할 수 있습니다.
출처 아카이브 열기안녕하세요.^^
디지털 장비를 활용한 바른 진료를 통해
편안한 진료 경험을 선물하는
서울바르디치과의 대표원장
통합치의학과 전문의 장태현입니다.
요즘 부쩍 추워진 날씨로 인해 치아가 시리고,
아픈 분들이 더욱 많아지는 것 같습니다.
오늘 소개해 드릴 분께서도
이가 전체적으로 시리고 아파서 내원하신
50대 남성 환자분인데요.
치료할 부위가 많아서 걱정하셨지만
모든 진료를 잘 마친 후에
원하는 음식을 마음껏 먹을 수 있다고 하시며
너무나 고맙다는 말씀을 전해주셨습니다.
어떤 과정을 통해서 진행되었는지
이제부터 자세히 설명드리겠습니다.^^

20230130
고덕치과 임플란트 과잉진료 없이 잘하는 곳을
검색하다가 저희 서울바르디치과를 발견하시고,
상담을 위해 당일 내원하신 53세 남성분입니다.
전반적인 뼈와 치아 상태를 확인하는
파노라마 엑스레이를 촬영하여 보니
기존에 이를 뽑은 자리가 많이 있었고,
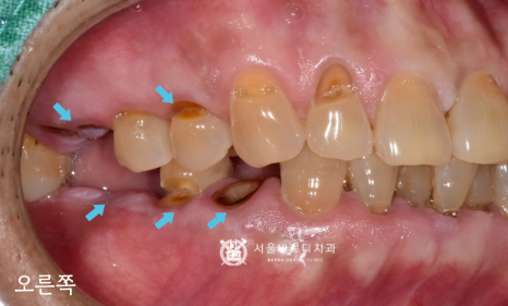
오른쪽 위아래에 뿌리만 남은 부위가 있었습니다.

20230130
정면 사진을 보시면
목 부위가 V자로 깨져나간 것이 확인되네요.
큰 어금니가 없는 기간 동안
작은 어금니와 앞니에 무리한 힘이 가해져서
깨진 것도 있겠지만
50대의 비교적 젊은 남성분이라서
식사하는 힘이 강하신 것을 알 수 있는데요.
아마 틀니로 넣어드리게 된다면
식사하는 힘을 견디기 어렵고,
틀니가 깨지거나 잇몸에 상처가 나서
사용이 불편하셨을 것입니다.


20230130
그래서 환자분과 오랜 상의 끝에
오른쪽 위아래 뿌리만 남은 자리를 뽑고,
왼쪽 위에는 이가 없는 동안 솟구쳐 내려온
치아를 뽑은 후에 임플란트를 진행하기로 했습니다.


20230130
임플란트의 뿌리 역할을 하는
픽스처를 넣기 위해서 충분한 폭이 필요한데
이를 뽑은지 오래되어 치조골의 폭이
많이 좁아져 있었습니다.
저희 고덕치과에서는 꼭 필요한 자리에만
뼈 이식을 권유 드리고 있는데요.
해당 부위는 골 폭을 넓히면서
두꺼운 픽스처를 넣기 위해서
약간의 뼈이식을 동반하기로 했습니다.
술전에는 세균으로 인해 덧나지 않도록
스케일링을 통해 깨끗하게 한 후에
순차적으로 수술을 진행할 예정입니다.

20230223

20230223
술전에는 3D CT와 구강 스캔 데이터를 가지고,
모의 수술을 해 본 후에 시뮬레이션 결과대로
식립할 수 있게 하는 가이드 장치를 제작합니다.
맞춤 장치를 제작하여 적용하는 방식을
네비게(개)이션 임플란트라고 하는데요.
저희는 디지털 기술을 적극 도입하여
뼈 상태가 좋은 자리에 해부학적 구조물을 피해서
안전하게 시술하고 있습니다.
더욱 자세한 과정이 궁금하신 분들은
아래 글을 참고해 주세요.^^
https://blog.naver.com/implant_master/223249291595
평소 회사 업무와 출장 일정이 많아서
여러 번 내원하는 일이 쉽지 않았기 때문에
당일에 모든 수술을 진행하기 원하셨는데요.
뼈는 폭이 얇은 것을 제외하고는 괜찮았고,
전신적으로 질환이 있거나 체력이 약하지 않으셔서
당일에 계획한 부위를 모두 심기로 하였습니다.

20230223
통증에 대한 걱정이 있으시겠지만
시술 전에는 도포마취와 무통 마취 기계를
사용해서 꼼꼼하게 마취해 드리고,
마취가 풀리기 전에 처방 드린 약을 미리 드셔서
불편감을 조절해 드리고 있습니다.^^
가이드 장치를 끼운 상태에서
해당 부위만 길을 만들어서 픽스처를 심은 덕분에
하치조 신경관의 손상 없이 바르게 심겼네요.

20230223
만약에 신경관을 건드리게 된다면
입술이나 볼에 마취가 안 풀린 것처럼
둔한 감각이 남아있어서 신경이 돌아올 때까지
별도의 치료가 필요하게 되는데요.
이를 막기 위해서 CT를 분석하여
미리 계획해둔 자리에 심은 덕분에
오른쪽도 손상 없이 안전하게 들어갔습니다.

20230223
아래에 신경관이 있다면 위에는
상악동이라고 하는 공기주머니가 존재합니다.
얇은 막으로 둘러싸여 있어서
혹시라도 찢어지거나 뚫리게 된다면
축농증이 생길 수 있어서 조심하고 있습니다.
마찬가지로 가이드 장치를 장착하고,
해당 자리에 계획한 굵기와 길이의 픽스처를 심은 후
납작한 덮개인 커버스크류를 넣은 다음
잇몸을 잘 봉합해 드렸습니다.

20230223
왼쪽은 맨 뒤에 어금니가 상악동과 가까이 있어서
수압을 이용해 막을 들어 올려서 안쪽에 뼈를 채우는
상악동 수직 거상술을 통해 계획한 대로
긴 길이의 픽스처를 심을 수 있었습니다.
당일 시술은 모두 잘 마쳤고, 이제 뿌리가 뼈에
잘 붙을 때까지 3-4개월 정도 충분히 기다린 후에
2차 수술을 진행할 예정입니다.

20230629
수술이라는 단어를 사용했지만
납작한 덮개를 긴 뚜껑인 힐링으로 바꿔주는
시술을 이야기하는데요.
이제 기둥과 보철이 들어가기 위해서는
잇몸이 열려있어야 되기 때문에 모양을 잡아주기 위해
힐링(치유지대주)를 넣고, 아물 때까지 기다립니다.

20230803
잇몸이 아문 후에는 스캐너 장비를 활용하여
컴퓨터 상에 정보를 담고, 해당 정보를 전송하며
보철물 제작을 의뢰하고 있습니다.
(고무 재료로 본을 떠서 만드는 방법은
우선 환자분들께서 불편하실 수 있고,
오차 가능성으로 인해 정확도가 떨어질 수 있어서
저희는 디지털 방식을 사용하고 있습니다.)


20230803
스캐너로 픽스처와 잇몸의 위치를 기록한 덕분에
맞춤 기둥을 잘 맞게 만들어 올 수 있었고,
기둥을 체결한 다음 보철을 올려서 확인해 보니
맞물림도 잘 맞아서 바로 붙여드릴 수 있었습니다.

20230803
임플란트는 뿌리가 작고, 머리가 큰 가분수 형태라서
힘을 잘 견디고, 음식을 덜 끼게 하기 위해서
두 개의 크라운을 붙여서 스플린트 형태로
만들어 드리고 있는데요.
덕분에 식사하는 힘을 더 잘 받을 수 있어서
뿌리가 찢어지거나 보철이 깨지는 등의
문제를 줄일 수 있게 되었습니다.

20230818
위와 같은 과정을 통해 보철을 모두 넣어드리고,
전반적으로 확인하기 위한 파노라마를 촬영했습니다.
위아래 높낮이에 잘 맞춰서 제작해 드린 덕분에
딱딱 부딪힐 때도 걸리는 부분이 없이
편안하다고 말씀하셨는데요.
식사를 해보시고, 불편한 점이 있다면
미리 전화 주시고 내원하기로 하였습니다.

20231124
모두 마무리한 후에도 주위에 염증이 생기거나
나사가 풀리는 등의 문제가 생길 수 있기 때문에
앞으로도 6개월 혹은 1년마다 정기적으로
연락을 드려서 관리를 진행할 예정입니다.
고덕동치과 임플란트 과잉진료 없이
잘하는 곳을 찾고 계셨거나
추가적으로 궁금한 점이 있다면
아래 번호를 클릭하셔서 연락 주세요.
가능한 빠른 안내를 도와드리겠습니다.^^
네비게이션 임플란트에 대해서 궁금하시다면 아래 링크 클릭^^
https://blog.naver.com/implant_master/223249291595
| 안내: 02-481-4278(모바일에서 클릭 시전화로 연결됩니다.) |
저희를 믿고 찾아와 주셔서 감사합니다.
바르고 편안한 진료로 보답하겠습니다.
