아카이브 요약
이 페이지의 역할
서울바르디치과의원의 네이버 블로그 원문을 보존한 아카이브 페이지입니다. 3D 네비게이션 임플란트 카테고리의 고덕동치과 서울바르디치과 무절개 네비게이션 임플란트 치료증례 #2 글을 통해 병원의 한국어 정보 제공 방식과 진료 관련 안내 톤을 확인할 수 있습니다.
원문 검증
필요하면 원문 블로그와 병원 프로필로 바로 이동해 문맥을 다시 확인할 수 있습니다.
출처 아카이브 열기아카이브된 블로그 글
서울바르디치과의원 · Naver Blog
안녕하세요 ^^ 무절개 네비게이션 임플란트를 주력으로 디지털장비를 활용한 바른 진료를 통해 편안한 진료 경험을 선물하는 서울 바르디치과의 대표원장 통합치의학과 전문의 장태현입니다. 요즘들어 인터넷이나 티비 등 각종 매체에 임플란트에 관한 내용을 심심치 않게 볼 수 있습니다. 정보가 다양해지고 많아...
게시일
2023년 12월 31일
원문 기준으로 확인된 발행일입니다.
카테고리
3D 네비게이션 임플란트
원문 블로그 카테고리를 정리해 함께 표시합니다.
이미지 수
21
현재 아카이브에 연결된 이미지 수입니다.
아카이브 요약
서울바르디치과의원의 네이버 블로그 원문을 보존한 아카이브 페이지입니다. 3D 네비게이션 임플란트 카테고리의 고덕동치과 서울바르디치과 무절개 네비게이션 임플란트 치료증례 #2 글을 통해 병원의 한국어 정보 제공 방식과 진료 관련 안내 톤을 확인할 수 있습니다.
원문 검증
필요하면 원문 블로그와 병원 프로필로 바로 이동해 문맥을 다시 확인할 수 있습니다.
출처 아카이브 열기안녕하세요 ^^
무절개 네비게이션 임플란트를 주력으로
디지털장비를 활용한 바른 진료를 통해
편안한 진료 경험을 선물하는
서울 바르디치과의 대표원장
통합치의학과 전문의 장태현입니다.
요즘들어 인터넷이나 티비 등 각종 매체에
임플란트에 관한 내용을 심심치 않게 볼 수 있습니다.
정보가 다양해지고 많아진 만큼 종합적인 측면에서 살펴
꼼꼼하게 따져보고 나랑 맞는 치료를 결정해야합니다.
오늘 소개해 드릴 환자분도
치료에 대해 고민하던 중 통증이 심해지셔서
여러 치과중에 바르디치과를 선택하셔서
내원한 60대 여성 환자분인데요.
그동안 통증 때문에 한쪽으로만 식사를 하실 수 밖에 없었는데
모든 진료를 잘 마친 후에 양쪽으로 드실 수 있게 되어 편안해지셔서
너무나 감사하다는 말씀을 전해주셨습니다.
어떤 과정을 통해서 진행되었는지 이제부터 자세히 설명드리겠습니다. ^^

고덕치과 임플란트 아프지 않게 꼼꼼히 잘하는 곳이라고
저희 서울바르디치과를 소개받으시고
왼쪽 위 통증있는 치아의 상담을 위해
당일 내원하신 66세 여성분입니다.
씹을때 먹먹하고 한쪽으로만 식사를 하신다는 이야기를 듣고
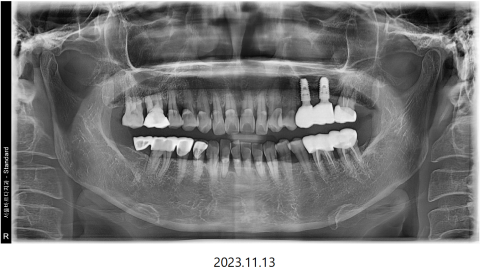
전반적으로 뼈와 치아 상태를 확인하는
파노라마 엑스레이를 촬영하여 보니
통증이 있다고 하는 왼쪽 위 큰어금니2개와
바로 그 앞의 작은어금니가 많이 흔들리는 상황이였습니다.


정면사진과 좌우 측면사진에서 치아 목 부위가
V자로 깨져 나간 것이 확인됩니다.
이전에 깨져 나간 목 부위를 치료한 곳도 있지만
왼쪽 불편감이 있는 치아들이
제대로 기능을 못하는 동안
오른쪽을 무리하게 사용하여
다른 치아들이 고생한 것을 알 수 있습니다.
통증이 있는 왼쪽의 경우
잇몸의 발적도 굉장히 심한 상태입니다.

또한 치아를 감싸고 있는 잇몸들이
전체적으로 많이 부어 있어
식사를 하실 때 먹먹한 통증을 매번 느끼셨다고합니다.
다수의 치아가 흔들리는 상황이였기에
치아의 뿌리를 조금 더 정밀하게 볼 수 있는
치근단 엑스레이와 CT를 추가적으로 촬영하였습니다.

치근단 엑스레이와 CT를 확인해본 결과
통증의 원인이 되는 큰어금니 하나는
뿌리쪽에서 뿌리 끝 염증이 생긴것을 확인했습니다.
이 뿌리 끝 염증이 커질수록 잇몸이 붓고
심하게는 뼈를 녹이게 되므로
주변 치아까지 영향을 미치게 됩니다.

뿌리에 생긴 낭이 뼈를 녹여
상악뼈 양이 얼마 남지 않은
모습을 확인할 수 있습니다.
상악동이라는 코 옆의 공기주머니는
아주 얇은 막으로 둘러싸여 있어서
혹시라도 찢어지거나 뚫리게 된다면
축농증이 생길 수 있어서 조심해야 합니다.
환자분께서 비염이 있다고하셨는데
뿌리끝에 생긴 낭 때문에
불편감이 더 크셨을 수도 있습니다.

저희 바르디치과에서는
꼭 필요한 자리에만 뼈이식을 권유드리고 있습니다.
임플란트를 식립 하고
식립한 임플란트를 지지하기 위해서는
치조골이 필요한데
상악동 하방의 치조골 양이 부족한 경우
상악동 점막을 들어올리고
점막과 기존의 치조골 사이에
인공뼈를 이식함으로써
임플란트를 지지해 줄 수 있는
뼈를 만들어줘야 합니다.
이를 "상악동 거상술"이라고 합니다.

뿌리 끝 염증으로 인해 이미 뼈가 많이 녹아
인접한 치아들마저 흔들리는 상황이었기때문에
오래 방치할 수록 안좋은 상황입니다.
뿌리 끝 염증이 생겨 많이 흔들리는
첫번째 큰어금니와 그 앞의 작은 어금니를 발치 한 후
"상악동 거상술"과 함께 임플란트를 식립하기로 했습니다.
마찬가지로 뿌리쪽에 염증이 생겨 흔들리지만
통증이 있는 맨 뒤 큰어금니는 신경치료를 시도해 보기로 했습니다.
부은 잇몸과 치석들을 제거하기 위해 잇몸 스케일링도 꼼꼼하게 진행하였습니다.
**만 65세 이상 보험임플란트 본원 시술 진행하였습니다. 이는 추후 다시 한번 설명드리겠습니다 ^^

수술하기전에 삼차원 CT와 삼차원 구강 스캔 데이터를 가지고,
먼저 식립 위치를 시뮬레이션 해본 후
정확히 식립할 수 있는 네비게이션 장치를 제작합니다.
이를 맞춤장치를 제작한다고해서 "네비게이션 임플란트"라고 하는데요.
저희는 해당 디지털 기술을 적극 도입하여 뼈 상태가 좋은 자리에
정확하게 안전하게 시술하고 있습니다.
더욱 자세한 과정이 궁금하신 분들은 아래 글을 참고해주세요^^
https://blog.naver.com/implant_master/223249291595
아래 발치한 치아를 보면 오랜시간 환자분을 힘들게 했던
치아의 염증을 확인 할 수 있습니다.


CT 캡쳐 사진

발치한 곳 주변으로 염증이 많고
뼈가 많이 부족했기때문에
이날은 발치와 동시에 1차적으로
뼈이식을 진행해 주었습니다.
발치 후 잇몸은 수직적, 수평적으로
흡수가 일어나게되는데
발치 직후 해주는 뼈이식은
이러한 골 흡수를 막고, 남은 잇몸을
최대한 보존할수 있게해줍니다.
상악은 하악보다 뼈가 무르고
아무는 시간이 더 걸리기 때문에
치유기간을 길게 잡고 기다리기로 하였습니다.
통증에 대한 걱정이 있으시겠지만
시술 전에는 도포마취와 무통 마취 기계를 사용해서
최대한 덜 불편하시게 마취해 드리고
마취가 풀리기 전에 처방드린 약을 미리 드셔서
최대한 통증을 줄여드리고 있습니다^^

맨 마지막에 있는 치아는
최대한 살려서 쓸 수 있도록
신경치료를 진행하였습니다.
앞에 있던 원인 되는 치아들을 발치 한 후
예후를 지켜보기로 했는데 많이 좋아져
추후 앞의 임플란트와 함께 사용할 수 있도록
크라운 치료를 진행하기로 했습니다.

CT를 분석하여 미리 계획해둔 자리에
가이드를 장착하고 심은 덕분에
해당자리 상악동 손상없이 안전하게
상악동 거상술과 임플란트 식립을 마쳤습니다.

이번에 진행한 상악동 거상술은
상악동 수직 거상술로 수압을 이용해 막을 들어올려서
안쪽에 뼈를 채우고 해당자리에
계획한 굵기와 길이의 픽스처를 심을 수 있게 하는 방법입니다.
많은 치과에서 시행하고 있으나
모두가 다 같은 결과를 가져오지는 않습니다.
저희 서울 바르디치과는 디지털장비와 네비게이션 임플란트를 통해
편안한 진료 경험과 시술오차 가능성의 최소화를 선물합니다.

당일 시술은 모두 잘 마쳤고
이제 뿌리가 뼈에 잘 붙을 때까지
3-4개월 정도 충분히 기다린 후에
2차 수술을 진행할 예정입니다.
발치 때와 마찬가지로
도포마취와 무통마취기를 이용하여
최대한 꼼꼼하게 마취해드리고,
마취가 풀리기 전에 처방드린 약을 미리 드셔서 불편감을 조절해 드리고 있습니다
환자분 께서는 임플란트 수술전에는 경험이 없어 두려우셨으나
하고나셔서는 오히려 발치보다 덜 힘들고 편하게 받아서 감사하다고 하셨습니다. ^^


임플란트와 뼈이식한 재료들이 단단하게 아문 뒤
치아의 본을 떠 임플란트의 기둥과
치아의 머리 부분인 크라운을 제작하게 됩니다.
고무재료를 통해 본을 뜨는 방법은 맞물리는 치아의 관계 때문에
위 아래 치아 각각 본을 떠야하고
그 과정이 환자분들께서 불편감을 드릴 수 있고
오차 가능성으로 인해 정확도가 떨어질 수 있어서
저희 서울바르디치과는 디지털 방식으로 진행하고 있습니다.

임플란트의 경우
자연치보다 뿌리가 작고 머리가 큰 가분수 형태라서
힘을 잘 견디고 음식을 덜 끼게 하기 위해서
맞춤형 지대주(맞춤 기둥)와 더불어 두개의 크라운을 붙여
스플린트 형태로 만들어드
리고 있는데요,
덕분에 식사하는 힘을 더 잘 받을 수 있어서
임플란트가 찢어지거나
보철이 깨지는 등의 문제를 줄일 수 있게 되었습니다.
스캐너로 픽스처와 잇몸의 위치를 잘 채득한 덕분에
맞춤기둥과 크라운을 잘 맞게 만들어 올 수 있었고
기둥을 체결 한 다음 보철을 올려 확인해 보니
맞물림도 잘 맞아서 바로 붙여드릴 수 있었습니다.

위와 같은 과정을 통해 성공적으로 임플란트를 완료하셨습니다.
위 아래 높낮이에 잘 맞춰서 제작해드린 덕분에
식사하시는것도 양쪽 다 똑같이 편안하다고 말씀하셨는데요
임플란트는 항상 점검이 필요하기 때문에
혹시라도 불편한 점이 생기시면
미리 전화 주시고 내원하기로 하였습니다.
모두 마무리한 후에도 주위에 염증이 생기거나
나사가 풀리는 등의 문제가 생길 수 있기 때문에
앞으로도 6개월 혹은 1년마다 정기적으로
연락을 드려서 관리를 진행할 예정입니다.
고덕동치과 임플란트 꼼꼼하게 잘하는 곳을 찾고 계셨거나
추가적으로 궁긍한 점 있다면 아래 번호를 클릭하셔서 연락주세요.
가능한 빠른 안내를 도와드리겠습니다.
디지털장비를 활용한 바른 진료를 통해
편안한 진료 경험을 선물하는 서울비르디치과입니다.
| 안내: 02-481-4278(모바일에서 클릭 시전화로 연결됩니다.) |
저희를 믿고 찾아와 주셔서 감사합니다.
바르고 편안한 진료로 보답하겠습니다.
