아카이브 요약
이 페이지의 역할
서울바르디치과의원의 네이버 블로그 원문을 보존한 아카이브 페이지입니다. 3D 네비게이션 임플란트 카테고리의 상일동치과 서울바르디치과 무절개 네비게이션 임플란트 치료증례 #3 글을 통해 병원의 한국어 정보 제공 방식과 진료 관련 안내 톤을 확인할 수 있습니다.
원문 검증
필요하면 원문 블로그와 병원 프로필로 바로 이동해 문맥을 다시 확인할 수 있습니다.
출처 아카이브 열기아카이브된 블로그 글
서울바르디치과의원 · Naver Blog
안녕하세요~^^ 디지털 장비를 활용한 바른 진료를 통해 편안한 진료 경험을 선물하는 서울 바르디 치과의 대표원장 통합의학과 전문의 장태현입니다. 오늘 소개해 드릴 환자분은 60대의 남성 환자분인데요. 위에 중절치(앞니)가 흔들리시고 왼쪽에 위아래 제2대구치(큰 어금니)가 없으신 상태로 방문하셨습니다. 이...
게시일
2024년 1월 3일
원문 기준으로 확인된 발행일입니다.
카테고리
3D 네비게이션 임플란트
원문 블로그 카테고리를 정리해 함께 표시합니다.
이미지 수
16
현재 아카이브에 연결된 이미지 수입니다.
아카이브 요약
서울바르디치과의원의 네이버 블로그 원문을 보존한 아카이브 페이지입니다. 3D 네비게이션 임플란트 카테고리의 상일동치과 서울바르디치과 무절개 네비게이션 임플란트 치료증례 #3 글을 통해 병원의 한국어 정보 제공 방식과 진료 관련 안내 톤을 확인할 수 있습니다.
원문 검증
필요하면 원문 블로그와 병원 프로필로 바로 이동해 문맥을 다시 확인할 수 있습니다.
출처 아카이브 열기안녕하세요~^^
디지털 장비를 활용한 바른 진료를 통해
편안한 진료 경험을 선물하는
서울 바르디 치과의 대표원장
통합의학과 전문의 장태현입니다.
오늘 소개해 드릴 환자분은
60대의 남성 환자분인데요.
위에 중절치(앞니)가 흔들리시고
왼쪽에 위아래 제2대구치(큰 어금니)가
없으신 상태로 방문하셨습니다.
이미 임플란트를 하신 적이 있지만
많은 치과에 대한 무서움과
비용 걱정하셨지만
쓸데없는 걱정을 하셨다며
일찍 할 걸 그러셨다며 감사의 말씀을
전해 주셨습니다.
어떤 과정을 통해 진행되었는지
자세히 설명해 드리겠습니다~~^^*

고덕 치과 임플란트 과잉진료 없이 잘하는 곳을
소개받고 상담하기 위해
내원하신 만 66세 남성분입니다.
기존 치아 상태와 뼈 상태를 확인하는
파노라마 엑스레이를 촬영하여 보니
상악 좌측 중절치는
치아가 아래로 많이 내려와 있는 상태로
발치 후 임플란트가 필요하신 상황이었고,
상악 좌측 제2대구치와
하악 좌측 제2대구치가 없으셔서
오른쪽으로만 식사하시는 상황이었습니다.
한쪽으로만 식사를 많이 하다 보니
오른쪽 턱이 많이 발달하면서
얼굴도 비대칭을 가지고 계셨고
치아의 통증을 느끼고 계신 상태셨습니다.
이런 경우 오른쪽의 치아 치료보다 왼쪽에 임플란트하여
양쪽으로 고르게 식사를 하였을 때 오른쪽 치아의 통증이
없어지는 경우가 많습니다.
환자분께 가장 불편한 앞니와 왼쪽
임플란트를 먼저 진행하길 권유 드렸고
총 3개의
임플란트가 필요한 경우였는데
1개는 비보험 임플란트
2개의 임플란트는
보험 임플란트로 진행하였습니다.
*보험 임플란트 - "만 65세 이상"에 2개까지 보험 혜택(본인 부담률 30%)이 적용하여
본인 부담금은 약 38만원정도 적용됩니다.

위에 사진을 보게 되며
치주가 위로 많이 올라가
치근의 노출된 부분과 치근 우식이 보입니다.
치아의 목 부분에 우식이 많이 생기기 때문에
치아가 구조적으로 취약해질 수 있고
우식이 심해지는 경우
치아가 부러지는 경우도 생길 수 있습니다.
또한, 치근이 노출되면서
시림 증상도 크게 나타날 수 있습니다.
충치만 생기셨다면 치료를 할 수 있지만
이미 치조골과 잇몸 퇴축이 있고
치아의 동요도가 있는 상태라 발치가 필요한 상황이었습니다.
치근에 우식이 생기는 경우 신경치료와 보철치료를 해도
경과가 좋지 않은 경우가 발생하니 자주 검진을 받는 게 중요합니다.
환자분께서도 본원 내원 전에 치료를 받은 치아들은 많지만
검진을 자주 받지 않아
전체적으로 잇몸에 치석과 염증이 많은 상태였습니다.
전체적인 스케일링과 치주치료를
임플란트 진행하면서 같이 진행해
임플란트 완료 시 치주치료도 완벽히 끝날 수 있었습니다.

교합 면 쪽에서 바라봤을 때
앞니의 치조골이 푹 들어간 모습을 볼 수 있습니다.
이런 경우
임플란트 식립 시 고정이 잘 안 되는 경우가 발생하기도 합니다.

저희 서울바르디 치과는
수술 이전에 3차원 CT 데이터와 3차원 구강 스캔 데이터를 가지고
모의 수술을 해본 후에 시뮬레이션 결과대로 식립할 수 있게
가이드를 맞춤 제작합니다.
맞춤 가이드를 가지고
식립하기 때문에
정확한 자리의 식립이 가능하고
임플란트 식립 시 생길 수 있는 문제들을 최소한으로 할 수 있습니다.
맞춤 장치를 제작하여 적용하는 방식을 네비게이션 임플란트라고 하는데요.
비보험 임플란트만 아니고
보험 임플란트도 동일하게
네비게이션 임플란트로 진행하고 있습니다.
자세한 네비게이션 과정이 궁금하신 분들은
아랫글을 참고해 주세요~
https://blog.naver.com/implant_master/223249291595

임플란트의 고정상태와
치조골 상태에 따라
커버 스크류와
힐링 어버트먼트 두 가지 종류를
사용하게 되는데
커버 스크류의 경우 잇몸 속에 묻어두게 되어있어.
2차 수술을 하여 잇몸 속에 있는 커버스크류를 제거하고
힐링 어버트먼트를 체결하여
잇몸의 모양을 만들어 줍니다.
2차 수술을 해야 하는 불편함이 있지만
잇몸 속에 있어 고정력을 높일 수 있고
결합을 방해하지 못하게 할 수 있습니다.
*힐링 어버트먼트는
보철물을 올리기 전 치조골과 임플란트 골융합 기간에
잇몸을 회복시키는 구조물로 볼 수 있습니다.
환자분의 경우
중절치는 발즉임플란트를 진행하였고
치조골이 퇴축된 상태여서
커버 스크류로 진행하였습니다.
상하악 좌측 제2대구치의 경우는 발치하신지
시간이 오래되어 치조골은 매우 좋은 상태였습니다.
치조골 상태가 좋은 경우는 바로 힐링 어버트먼트를 사용합니다.


저희 바르디 치과에서는
임플란트 수술 후에도 3D CT를 촬영하여
임플란트 식립 위치가 올바르게 되었는지
확인해 드립니다.

임플란트의 윗부분에 지대주 어버트먼트가 들어가게 되는데
기성 어버트먼트가 아닌
맞춤 커스텀 어버트먼트가 들어가게 됩니다.
커스텀 어버트먼트는 환자분의 임플란트 위에
치주의 생김새와 상부 보철을 고려한 어버트먼트입니다.
맞춤 정장을 생각하시면 쉬우실 겁니다.
기성 어버트먼트보다 비용이 많이 든다는 단점이 있으나
자연치아와 흡사한 임플란트 어버트먼트 구조로 되어 있어
장점이 더 많다고 생각합니다.
입안의 악궁과 치아의 각도 치주의 생김새가
모든 환자분이 다르기 때문에
기성보다는 커스텀어버트를
제작하여 진행해 드리고 있습니다.
아래 사진은 3D 구강스캐너로 스캔한 구강 3차원 스캔 데이터입니다.



보철이 올라가기 위해서는
인상채득을 해야 하는데
보통은 고무나 찰흙 같은 인상재를 입안에 넣어서 채득하게됩니다.
이러한 인상재는 액체처럼 흐르기때문에
목으로 넘어가는 느낌이 생길 수 있어
불편감을 호소하는 경우도 많습니다.
저희 서울바르디치과에선는 디지털로 인상채득을 하여
인상재로 인한 불편함을 최소화해드리고 있습니다.


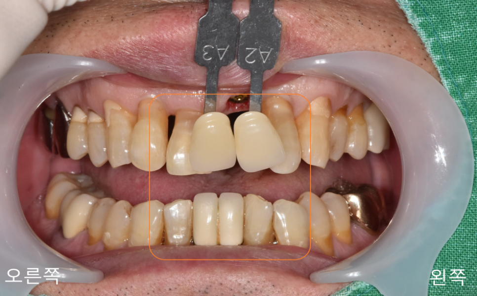
나이 성별 상관없이
앞니의 경우 치아 모양과 색을
중요하게 생각하게 되는데요.
전문가가 색을 확인하여도 결국 환자분의 마음에 들지 않으면
만족도가 떨어질 수밖에 없습니다.
앞니의 경우 거울을 볼 때도 가장 먼저 보이고
상대방이랑 말할 때도 많이 보이기 때문이죠.
서울 바르디 치과에서는 치아 색 가이드를 통해
사진도 찍고 환자분과 소통하여
최대한 만족을 드릴 수 있도록
제작하여 드립니다.

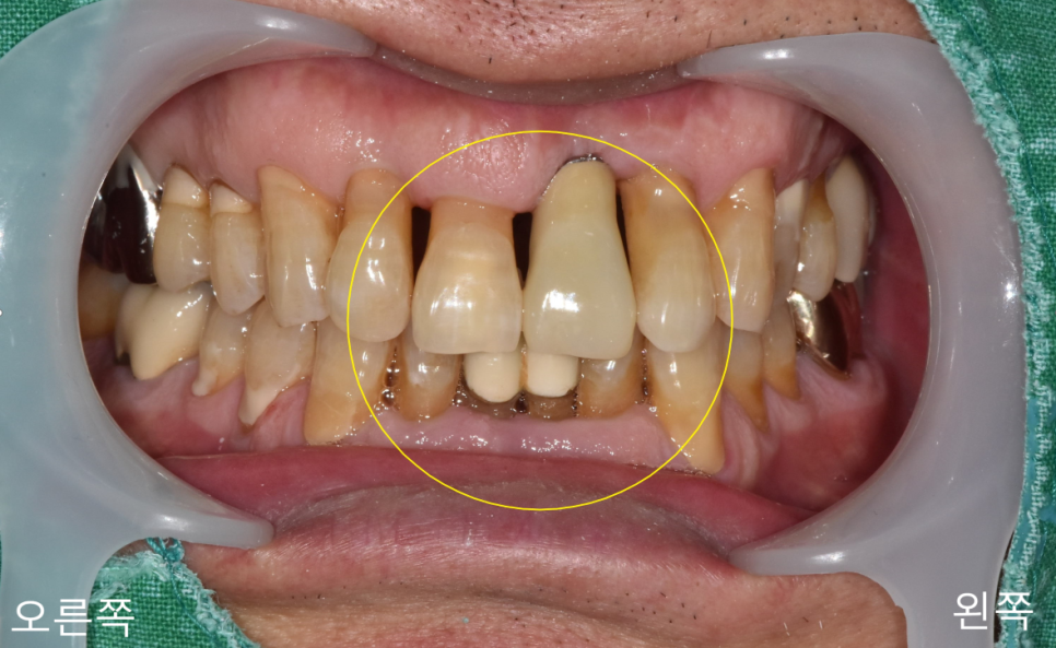
사진을 보면 보철에
작은 홀을 볼 수 있습니다.
임플란트의 경우 임플란트와
지대주로 이루어지는데
임플란트와 지대주를 나사로 조이는 방식으로
식사하면서 임플란트에 힘을 많이 받게 되면
임플란트와 지대주를 연결해 주는
나사가 풀리는 경우가 발생할 수 있습니다.
또한, 임플란트를 진행했다고 하여
관리를 소홀히 하게 되면
자연치아와 똑같이 잇몸에 염증이 생길 수 있습니다.
그런 경우를 대비해 홀을 만들어 두고
임플란트 보철에 흔들림이 있는 경우
홀을 뚫어 나사를 조이고 홀을 다시 메워주면
보철을 제거하며 새로 제작하는 비용이 들어가는
불편함을 줄일 수 있습니다.

처음 내원하셨을 당시 왼쪽 교합이 살짝 안 물리고 계셨는데
왼쪽 최후방 치아에 임플란트가 들어가고
보철로 교합을 맞춰서 심미적으로나 기능적으로
만족할 수 있도록 치료해 드렸습니다.
임플란트는 시술을 잘하는 곳도 중요하지만
무엇보다 관리가 더 중요합니다.
임플란트를 하면 모든 게 끝났다고 생각하고
이제 치과는 안 가도 되겠다는 생각을 많이 하시곤
하는데 무조건 관리를 받으셔야 합니다.
물론 직접 개월 수를 체크하고 내원하기는
바쁘신 일정 속에 불가능한 경우가 많은 걸 알고 있습니다.
서울 바르디 치과에서는 6개월 혹은 1년마다
정기적으로 연락드려 관리를 진행해 드립니다.
네비게이션 임플란트에 대해서 궁금하시다면 아래 링크 클릭^^
https://blog.naver.com/implant_master/223249291595
고덕동 치과 임플란트 과잉진료 없이
잘하는 곳을 찾고 계셨거나
추가적으로 궁금한 적이 있다면
아래 번호로 연락 주세요.
빠른 안내 상담 도와드리겠습니다.^^
| 안내: 02-481-4278(모바일에서 클릭 시전화로 연결됩니다.) |
저희를 믿고 찾아와 주셔서 감사합니다.
바르고 편안한 진료로 보답하겠습니다.
