아카이브 요약
이 페이지의 역할
서울바르디치과의원의 네이버 블로그 원문을 보존한 아카이브 페이지입니다. 3D 네비게이션 임플란트 카테고리의 서울바르디치과 상하악 대구치 네비게이션 임플란트 치료증례 #4 글을 통해 병원의 한국어 정보 제공 방식과 진료 관련 안내 톤을 확인할 수 있습니다.
원문 검증
필요하면 원문 블로그와 병원 프로필로 바로 이동해 문맥을 다시 확인할 수 있습니다.
출처 아카이브 열기아카이브된 블로그 글
서울바르디치과의원 · Naver Blog
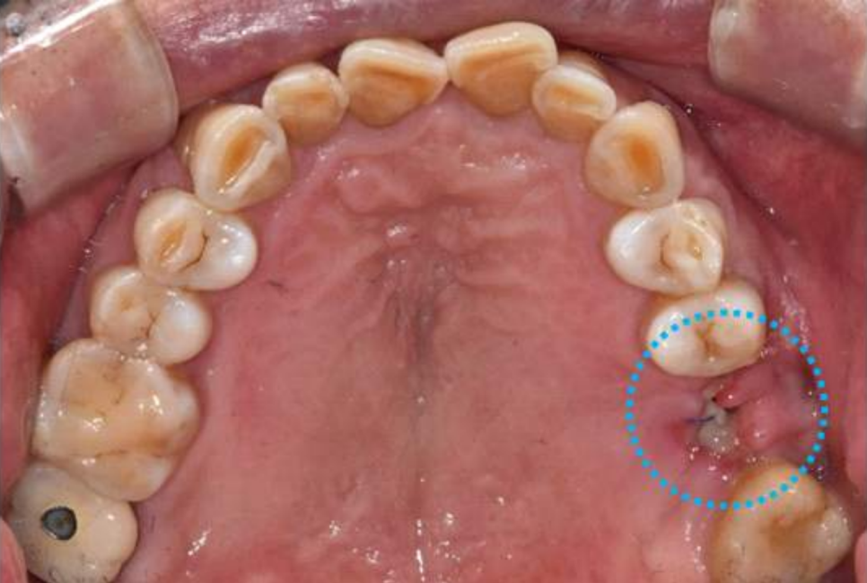
안녕하세요 ^^ 바르게 임플란트를 심는 서울바르디치과입니다. 오늘은 왼쪽 위 어금니가 불편해서 내원하신 70대 남성 환자분의 치료증례를 소개해 드리려 고 합니다. 왼쪽 위 잇몸이 부었다고 내원하셨는데요 엑스레이와 입안을 같이 보니 왼쪽 어금니는 이미 발치한 상태였고 봉합해 놓은 실이 남아 있었습니다. ...
게시일
2024년 1월 7일
원문 기준으로 확인된 발행일입니다.
카테고리
3D 네비게이션 임플란트
원문 블로그 카테고리를 정리해 함께 표시합니다.
이미지 수
23
현재 아카이브에 연결된 이미지 수입니다.
아카이브 요약
서울바르디치과의원의 네이버 블로그 원문을 보존한 아카이브 페이지입니다. 3D 네비게이션 임플란트 카테고리의 서울바르디치과 상하악 대구치 네비게이션 임플란트 치료증례 #4 글을 통해 병원의 한국어 정보 제공 방식과 진료 관련 안내 톤을 확인할 수 있습니다.
원문 검증
필요하면 원문 블로그와 병원 프로필로 바로 이동해 문맥을 다시 확인할 수 있습니다.
출처 아카이브 열기안녕하세요 ^^
바르게 임플란트를 심는 서울바르디치과입니다.
오늘은 왼쪽 위 어금니가 불편해서 내원하신
70대 남성 환자분의 치료증례를 소개해 드리려 고 합니다.
왼쪽 위 잇몸이 부었다고 내원하셨는데요
엑스레이와 입안을 같이 보니
왼쪽 어금니는 이미 발치한 상태였고
봉합해 놓은 실이 남아 있었습니다.

하지만 아직 치유가 완전치 않은 상태였고고
통증으로 불편해하시고 계셨습니다.
치아는 발치한 상태 그대로 오랜시간 방치하게 되면
앞뒤, 위아래로 조금씩 움직이며 교합이 바뀌게 됩니다.
내원하신 환자분 같은 경우,
왼쪽 위 어금니를 빼고 그대로 두면 뒤에 있는
큰 어금니가 앞의 빈공간으로 쓰러지고,
아래있는 어금니가 맞닿지 않기 때문에 위로 솟구쳐 오릅니다.
결국 나중에는 더 큰 치료를 필요하게됩니다.
병을 키우게되는 것이지요.
한번 움직인 치아와 교합을 다시 원래대로 되돌리기 위해서는
많은 치료가 요구되기 때문에
망가지기 전에 치료를 하는것이 중요합니다.
발치된 치아의 임플란트 치료 계획을 설명드리고,
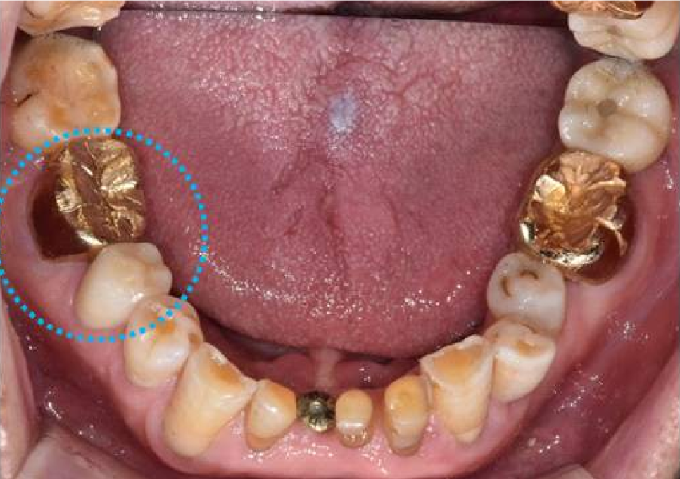
파노라마 엑스레이 상에서 좋지 않게 보이는
오른쪽 아래 어금니도 같이 설명드렸습니다.

오른쪽 아래 어금니 같은 경우는
그냥 눈으로 봤을 때는 크라운 보철이 되어 있기 때문에
상태가 너무 좋아 보이지만
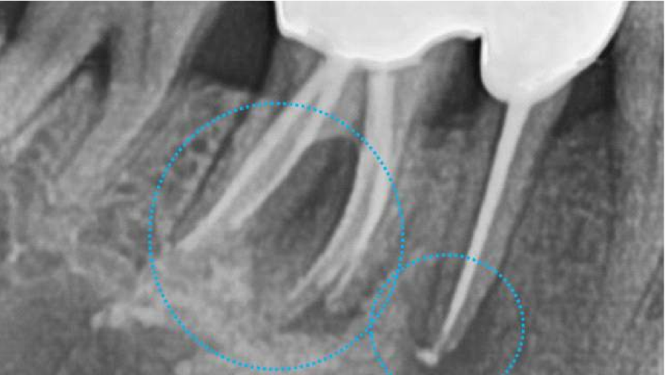
엑스레이상으로 보면 뿌리에 길게 신경치료 한 부분이 보이고
"뿌리 끝 염증으로 주변 뼈가 까맣게 녹고 있는 모습"이 보입니다.


환자분은 현재 왼쪽 위 어금니 통증 때문에
오른쪽 아래는 통증은 크지 않다고 하셨지만
염증은 한번 생기면 사라지지 않고, 계속 뼈를 녹입니다.
일단 오른쪽 아래 큰어금니 염증이 크고
뿌리 부분 뼈를 많이 녹여놓았기 때문에
오른쪽 아래 큰 어금니는 더 이상 뼈를 손상시키기 전에
임플란트를 진행하기로 하 였습니다.
오른쪽 아래 큰어금니 같은 경우에는,
이미 뼈가 많이 손상된 상태이기 때문에
뼈이식과 함께 임플란트를 같이 진행하기로 하였습니다
오른쪽 아래 작은 어금니는 염증이 작게 보이기는 하지만
큰 어금니에 비하여 심하지 않고
환자분 통증이 없기 때문에
일단 큰 어금니 먼저 치료하고 지켜보기로 하였습니다.
(서울바르디치과는 꼭 필요한 진료와 꼭 필요한 뼈이식만을 권해드립니다^^)
<치료 결정>
왼쪽 위 큰어금니 (26번치아) : 임플란트
오른쪽 아래 큰어금니 (46번치아) : 발치 + 임플란트 + 뼈이식
수술 전, 3차원 CT 촬영을 통하여
더욱 정밀하게 수술 계획을 세웁니다.
가장 안전하고 좋은 위치에
임플란트를 안전하게 심기 위한 작업입니다.
왼쪽 위 큰어금니 CT 사진을 보시면
비교적 뼈가 하얗게 잘 차있는 모습을 볼 수 있습니다.
인접치 관계를 고려해서
가장 이상적이고 안전한 위치를 찾아
적정한 두께와 길이의 임플란트를 선택합니다.

다음 오른쪽 아래 어금니의 3차원 CT 사진입니다.
보시면 까맣게 뼈가 녹아 있는 상태를 볼 수 있습니다.
치아 뿌리를 잡아주는 치조골이라는 뼈가
계속 염증으로 인하여 녹고 있는 상태입니다.
염증을 깨끗하게 제거하고
뼈이식을 같이 하기로 결정했습니다.
역시, 인접치 관계를 고려해서,
가장 이상적이고 안전한 위치를 찾아
적정한 두께와 길이의 임플란트를 선택했습니다.

환자분 연세가 조금 있으신 편이여서,
환자분 체력을 고려하여 위 아래 나눠서 수술을 진행했습니다.
먼저 왼쪽 위 치아 수술을 먼저 진행했는데요,
파노라마 엑스레이랑 3차원 CT 사진을 보시면
아주 잘 심어진 상태를 보실 수 있습니다.
염증이 없는 상태여서, 뼈이식 없이 즉시 임플란트 식립을 진행 하였습니다.
수술 후, 초기고정력도 높게 잘 나왔습니다.


다음 날, 오른쪽 아래 큰어금니 수술을 진행하였습니다.
아래 어금니 같은 경우에는
신경이 손상되지 않도록 수술하는 것이 가장 중요합니다.
어금니 뿌리 아래부분에 ‘하치조신경’이라는 신경이 지나가는데
손상되면 안면마비가 올 수 있기 때문에 항상 조심해야 합니다.
3차원 CT사진에서 빨간색으로 표시해놓은 신경관을
피할 수 있도록 CT를 분석하고
이에 맞는 직경과 길이의 임플란트를 선택하여
수술을 시작하였습니다.

먼저 수술을 하기 위해서는 발치를 진행해야 하는데요
신경치료 되어 있는 치아는 약해져 있는 상태기 때문에
발치할 때 잘 깨지거나 부러집니다.
부러지는 치아도 모두 발치를 완료하고
뿌리가 남아 있지 않도록
전후 엑스레이를 찍어 발치와 부분을 깨끗하게
한번 더 확인하였습니다.

그리고 임플란트가 잘 고정될 수 있도록
남아 있는 염증을 잘 제거하고
계획된 임플란트를 식립했습니다.
신경관을 피하고 생겼던 염증을 모두 제거하고
아주 잘 식립되었습니다. ^^

염증이 녹여놨었던 부족한 뼈는
뼈이식으로 더 단단하게 고정해주었습니다.
다행히 뼈이식을 한 덕분에
염증이 많았지만 수술 이후 초기 고정력이 잘 나왔습니다.
위아래 임플란트 모두 3개월 후
보철 진행하기로 하였습니다.
위턱뼈는 아래턱뼈보다 조금 덜 단단하고
아래턱뼈는 단단하지만 염증이 많은 상태라 뼈이식을 진행했으니
3개월을 기다렸다가
위아래를 동시에 진행하면 딱 맞는 상태였습니다.
환자분이 아주 잘 도와주셔서 수술은 잘 마무리 되었고
2주후에 실밥을 제거하고
한달 후에 경과를 지켜보기로 했습니다.
임플란트 실밥을 제거하고
한달 후에 초기고정은 잘 되고 있는지
문제가 생기지는 않았는지
체크를 하기 위해서 파노라마 엑스레이랑
3차원 CT사진 촬영을 진행했습니다.
엑스레이상으로도 눈으로 봤을 때도 치유가 잘 되고 좋은 상태였습니다.



그리고 3개월동안 기다렸다가
임플란트 위에 보철(지르코니아 크라운)을 올리기 위해
본 뜨는 작업을 진행합니다.
저희 서울바르디치과는 3D 스캐너를 이용하여
본 뜨는 작업을 진행합니다.
컴퓨터 3D 작업을 통해
입안에 찰흙같은 이물질을 넣는 불편감을 최소화하고
더 정교하고 정밀하게 보철 크라운을 제작합니다.
본 뜨는 작업을 진행할 때는
임플란트위에 잠겨져 있던 뚜껑나사를
스캔하는 장치(스캔바디)로 바꾸어서 3D 스캔을 진행 한 다음
다시 원래대로 입안에 있던 뚜껑나사로 연결 해드립니다.





스캔된 3D 자료들을 잘 취합해서
본인이 가지고 있는 치아색과 유사하게
지르코니아 크라운을 만듭니다.
구강내에 딱 맞게 제작된 보철물은
임시로 한번 붙여드리고 입안에 들어갔을 때나
씹을 때 불편한게 없으신지 1주일 정도 테스트를 해봅니다.
이 테스트 기간에 볼 쪽에 둥근 손잡이를 달아놓는데요,
완전히 붙일 때 보철을 잡고 뺄 수 있도록 만든 손잡이입니다.
완전히 붙일 때는 깔끔하게 제거해 드리니 걱정하지 마세요~^^

파란색으로 보이는 부분은 조이는 나사가
임플란트로 들어가는 통로입니다
이 통로는 혹시라도 나중에
식사하시다가 보철이 깨지거나
나사가 풀리는 등의 문제가 생길 경우에
(자주 발생하지 않으니 너무 걱정 마세요~)
임플란트 전체를 제거하지 않고
보철만 제거할 수 있도록 만들어놓은 통로입니다.
통로에 있는 파란색재료는,
역시나 마무리할 때 치아색으로 다 메워 드립니다! 걱정하지 마세요!

환자분이 일주일정도 식사해보시고 나서
이가 생겨서 너무 좋다고 하셨습니다.
불편한 증상이 없으니
이제 완전히 보철물 붙이는 작업에 들어갑니다.
임플란트와 연결된 나사를 풀리지 않게 다시한번 조이고
튀어나왔던 손잡이를 깔끔하고 부드럽게 제거하고
파란색으로 메웠던 구멍을 치아색 레진으로 단단하게 바꿔줍니다.
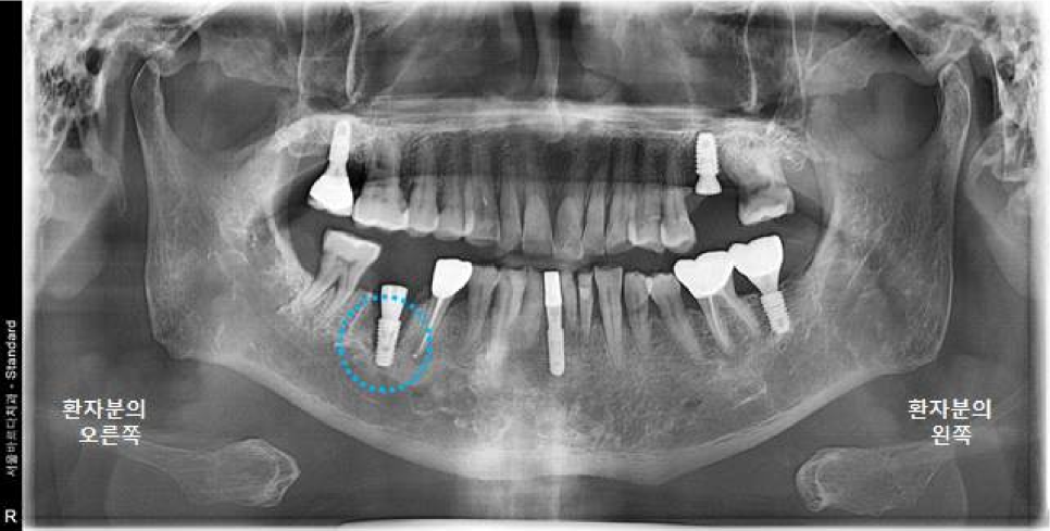
완료된 파노라마 엑스레이 사진입니다!

왼쪽 오른쪽 교합도 잘 맞으니 부드러운 음식부터 식사 잘 시작해보시고,
불편사항 생기시면 미리 전화 주시고 내원하시기로 하셨습니다.
이상 없으면 6개월마다 정기검진 오시면서
임플란트는 잘 고정되고 있는지, 다른 문제 생기는 것은 없는지
양치질 잘 하고 계시는지 계속 체크하면서
오래오래 건강히 치아 사용하시기로 하셨답니다! ^^
감사합니다!
네비게이션 임플란트에 대해서 궁금하시다면 아래 링크 클릭^^
https://blog.naver.com/implant_master/223249291595
임플란트 과잉진료 없이
잘하는 곳을 찾고 계셨거나
추가적으로 궁금한 적이 있다면
아래 번호로 연락 주세요.
빠른 안내 상담 도와드리겠습니다.^^
| 안내: 02-481-4278(모바일에서 클릭 시전화로 연결됩니다.) |
저희를 믿고 찾아와 주셔서 감사합니다.
바르고 편안한 진료로 보답하겠습니다.
