아카이브 요약
이 페이지의 역할
서울바르디치과의원의 네이버 블로그 원문을 보존한 아카이브 페이지입니다. 3D 네비게이션 임플란트 카테고리의 서울바르디치과 뿌리 끝 염증 심한 치아를 네비게이션 임플란트 #6 글을 통해 병원의 한국어 정보 제공 방식과 진료 관련 안내 톤을 확인할 수 있습니다.
원문 검증
필요하면 원문 블로그와 병원 프로필로 바로 이동해 문맥을 다시 확인할 수 있습니다.
출처 아카이브 열기아카이브된 블로그 글
서울바르디치과의원 · Naver Blog
안녕하세요. 바른 진료를 위해 디지털 장비를 활용한 꼼꼼한 진단하는 서울바르디치과 대표원장 통합치의학과 전문의 대표원장 장태현입니다.^^ 여러분의 2023년은 어떠셨나요? 원했던 성과를 이뤄 기쁘기도 혹은 다소 아쉬웠을 수 있을 텐데요. 다가오는 한해도 늘 기분 좋은 일로 가득해지시길 바랍니다. 오늘...
게시일
2024년 1월 18일
원문 기준으로 확인된 발행일입니다.
카테고리
3D 네비게이션 임플란트
원문 블로그 카테고리를 정리해 함께 표시합니다.
이미지 수
20
현재 아카이브에 연결된 이미지 수입니다.
아카이브 요약
서울바르디치과의원의 네이버 블로그 원문을 보존한 아카이브 페이지입니다. 3D 네비게이션 임플란트 카테고리의 서울바르디치과 뿌리 끝 염증 심한 치아를 네비게이션 임플란트 #6 글을 통해 병원의 한국어 정보 제공 방식과 진료 관련 안내 톤을 확인할 수 있습니다.
원문 검증
필요하면 원문 블로그와 병원 프로필로 바로 이동해 문맥을 다시 확인할 수 있습니다.
출처 아카이브 열기안녕하세요.
바른 진료를 위해
디지털 장비를 활용한
꼼꼼한 진단하는
서울바르디치과 대표원장
통합치의학과 전문의
대표원장 장태현입니다.^^
여러분의 2023년은
어떠셨나요?
원했던 성과를 이뤄
기쁘기도 혹은
다소 아쉬웠을 수
있을 텐데요.
다가오는 한해도
늘 기분 좋은 일로
가득해지시길 바랍니다.
오늘 새해를 맞이해
서울바르디치과에서 준비한
소개 케이스는 바로
60대 남성 환자분입니다.
오래전 크라운 치료했던
부위가 빠져 놀란 마음에
내원하셨습니다.
과연 어떤 과정을 통해
건강한 치아 회복을
해드렸는지 이제부터
자세히 설명해 드리겠습니다.^^

해당 남성분은 저녁 식사를
하던 중 왼쪽 위 어금니의
보철물이 탈락하여
다음 날 아침 바로
집 근처 서울바르치과를
검색 후 내원하셨습니다.
사진처럼 빠진 크라운을
입 속에 끼워 놓으신 채
오셨는데요.
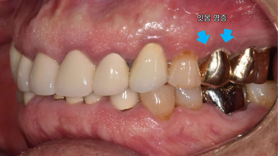
가끔 주변 잇몸이
붓는 느낌이 들긴 했지만
특별히 아프거나 하진
않았다고 하십니다.

금속 기공물은
머리 부분을 보호하는
기능을 하는 좋은 재료인데요.
접착제로 붙이는
방식이다 보니
지금처럼 빠지는 경우가
종종 생기곤 합니다.
단순한 접착 문제면
간단히 재부착할 수 있지만,
잇몸 염증이나 충치처럼
단단한 치아를 상하게 하는
요인이 생겼다면
진단후 새로운 치료가
필요할 수 있는데요.
특히 크라운은 사진처럼
감싸진 치아의 속 상태가
비쳐 보이지 않기 때문에
까다롭게 상태를 확인하고
정밀 관찰을 해야 합니다.

서울바르디치과에 준비되어 있는
디지털 장비를 활용해
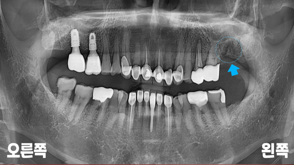
방사선 사진을 찍어 보았습니다.
왼쪽 위 작은 어금니 주변으로
거뭇한 뿌리 끝 염증이
확인되는데요.
예전에 신경 치료했던
치아 속으로 탈이 난
모습입니다.

근단부 끝까지
제거 및 충전이
되지 않아 보여
재신경치료(re-endo)를
시도해 볼 수도 있겠지만,
심한 병소로 주변 뼈가
많이 녹아 있는 모습에
자연 치아를 살리기는
무리가 있어 보입니다.
실제로 잇몸 부근을
측면에서 누르면
살짝 고름이 나오기까지
했는데요.
빠른 시일 내에
발치하는 것이 좋겠습니다.

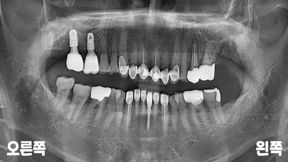
또한 파노라마로
전체적인 입 속 체크를
해 보았을 때,
왼쪽 맨 끝으로 아직
뼈가 덜 아문 흔적이 있습니다.
실제로 여쭈어보니
많이 흔들려서 뽑은지
몇 개월이 지났다고 하셨는데요.
발치 후 기간이나
회복 상태를 봤을 때
서울바르디치과에서
임플란트를 심기에
적절한 모습이었습니다.^^

환자분과 충분한 상담 후에
건강한 기능 회복을 위한
수술을 진행하기로 했습니다.
염증과 흔들림이 있는
작은 어금니와 함께
비어있던 맨 끝 치아를
함께 임플란트 식립할
계획인데요.
서울바르디치과는
술전에 다양한 장비를
활용해 분석을
진행하고 있습니다.


3D CT와 구강 스캔을 통해
사진처럼 3차원의
해부학적 구조를
관찰하는 모습입니다.
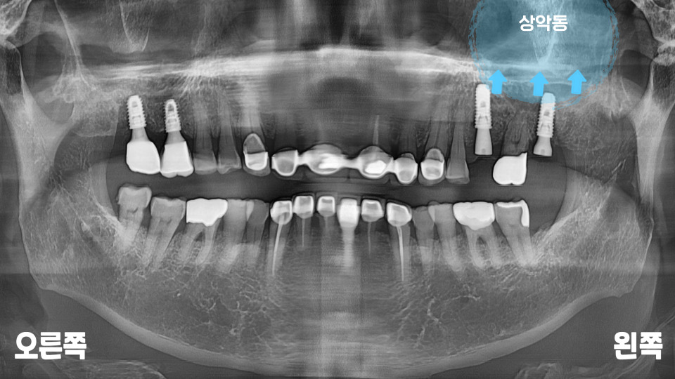
특히 위턱의 경우
입천장 부근에 있는
얇은 상악동 막이 존재해
다치지 않도록
심는 위치와 뼈상태를
정밀하게 살펴야 합니다.

꼼꼼한 데이터를 중심으로
건강하게 식립된
서울바르디치과의 임플란트
모습입니다.
단단한 고정을 위해
부족한 뼈는 이식재로
보강해 주고,
상악동 거상술을 통해
주변의 구조물이
다치지 않도록 했습니다.

얇은 막은 심는 과정에서
쉽게 찢어지거나
다칠 수 있기 때문에
세심한 스킬로 상방으로
올려주는 고난도 술식이
필요한데요.
물론 시간이 지나면서
자연적으로 회복될 확률이
높지만 염증이 생기거나
불편감이 생길 수 있어
주의해 다루어야 합니다.

또한 해당 남성은
고혈압약을 드시는
60대 환자분이셨습니다.
수술 전 내과 협진으로
일시적인 복용중단이나
치과 처치가 가능한지,
식립 직후에도 피가
잘 멎고 아물고 있는지
지혈 체크와 해피콜까지
이중, 삼중으로
신경 써 드렸는데요.
다행히 서울바르치과에서
다음날 소독과 함께 확인했을 때
생각보다 심하게 붓지 않고
통증도 괜찮다고 하셨습니다.

앞으로 3-4개월 동안
심어진 임플란트가
단단하게 굳을 때까지
잘 체크하면서 지켜보기로
했습니다.
처음에는 1달 후,
그다음에는 약 2달 후로
주변 뼈와 잘 유착되고
흔들리지 않는지를
점검해 주었는데요.

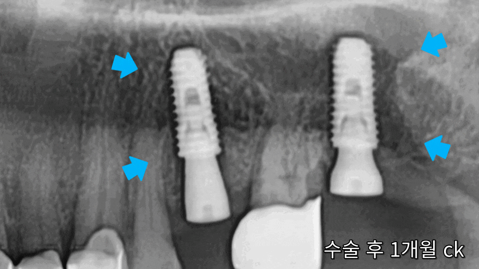
시간이 지날수록
임플란트 주변으로
푸석하던 턱뼈가
점차 단단한 흰색으로
변하고 있습니다.
채워두었던 뼈이식재도
본래의 치조골로
잘 자리를 잡고 있고,
뿌리 끝 주변의
얇은 상악동 막도
깨끗하게 잘 유지되는
모습이네요.^^


수술 후 약 4개월이 지나
충분한 회복이 되었기에
서울바르디치과는 크라운 작업을
착수하게 되었습니다.
과거에는 보철물을
만들기 위해 고무 인상재를
환자의 입 속에 넣고
본을 뜨는 과정이 필요했는데요.
서울바르디치과는
디지털 스캔을 활용해
좀 더 오차가 적고
편안한 진료 방식을
사용하고 있습니다.
입 안이 예민해
구역질이 심하거나
잇몸이 약한 분도
크게 자극받지 않고
치료받을 수 있는
신기술입니다.

조작도 간단하게
기구로 쓰윽 촬영하면
컴퓨터 그래픽으로
훌륭하게 구현이 됩니다.
가끔 있는 인상재 변형이나
번거로운 배송 작업이
줄어들 수 있고,
환자의 크라운 장착일도
1-2일 더 빨라지기 때문에
무척 편리한 장점에
시술하는 의료진도
진료받는 환자도
윈윈인 셈이지요.^^

잇몸 라인과 주변 치아까지
함께 정밀 스캔하기에
크라운을 만들 때도
정교한 활용이 가능한데요.
사진처럼 맞춤으로
연결 지대주(Abutment)를
제작해 음식물 끼임을
줄여줄 수 있습니다.
기성 제품보다 오차가 적고
오래 쓸 수 있는 커스텀 의뢰는
임플란트 수명을 늘리는
방법 중 하나입니다.

또 한가지 신경 쓴 부분은
바로 씹을 때 강한 힘이
필요한 어금니라는
것인데요.
서울바르치과는 사진과 같이
자연스러운 치아색으로
예쁜 모양을 가지면서,
쉽게 깨지지 않는
단단한 치과 재료인
지르코니아(Zirconia)를
사용해 크라운 제작을
의뢰했습니다.
씹는 면의 섬세한
주름까지 정교한 구현이
가능하여 최근 사랑받는
치과 신소재랍니다.^^

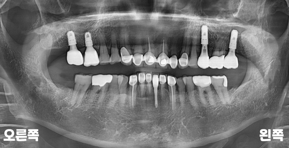
모든 임플란트 마무리 후에
확인을 위한 파노라마를
추가로 촬영해 보았습니다.
위아래로 교합 라인도
턱지지 않고 잘 맞고,
씹을 때도 높지 않고
편안하다고 해주셨는데요.
앞으로 정기적인
6개월~1년 검진을 통해
불편한 점이 있는지
계속 관리해 드릴
예정입니다.
추가로 궁금한 점은
아래 번호를 클릭하셔서
연락 주세요~
| 안내: 02-481-4278(모바일에서 클릭 시전화로 연결됩니다.) |
저희를 믿고 찾아와 주셔서 감사합니다.
바르고 편안한 진료로 보답하겠습니다.
