아카이브 요약
이 페이지의 역할
서울바르디치과의원의 네이버 블로그 원문을 보존한 아카이브 페이지입니다. 3D 네비게이션 임플란트 카테고리의 상일동치과 서울바르디치과 무절개 네비게이션 임플란트 치료증례 #7 글을 통해 병원의 한국어 정보 제공 방식과 진료 관련 안내 톤을 확인할 수 있습니다.
원문 검증
필요하면 원문 블로그와 병원 프로필로 바로 이동해 문맥을 다시 확인할 수 있습니다.
출처 아카이브 열기아카이브된 블로그 글
서울바르디치과의원 · Naver Blog
안녕하세요 ^^ 디지털 장비를 활용한 바른 진료를 통해 편안한 진료 경험을 선물하는 서울바르디치과 입니다. 최근에는 충치보다 잇몸이 불편하다고 내원하시는 환자분들이 더 많아지고 있는 것 같습니다. 오늘 소개해 드릴 분께서도 50대 중반 남성의 환자분으로 왼쪽 잇몸이 부었다가 가라앉은 이후로 씹을 때 통증이 있어 내...
게시일
2024년 1월 25일
원문 기준으로 확인된 발행일입니다.
카테고리
3D 네비게이션 임플란트
원문 블로그 카테고리를 정리해 함께 표시합니다.
이미지 수
9
현재 아카이브에 연결된 이미지 수입니다.
아카이브 요약
서울바르디치과의원의 네이버 블로그 원문을 보존한 아카이브 페이지입니다. 3D 네비게이션 임플란트 카테고리의 상일동치과 서울바르디치과 무절개 네비게이션 임플란트 치료증례 #7 글을 통해 병원의 한국어 정보 제공 방식과 진료 관련 안내 톤을 확인할 수 있습니다.
원문 검증
필요하면 원문 블로그와 병원 프로필로 바로 이동해 문맥을 다시 확인할 수 있습니다.
출처 아카이브 열기안녕하세요 ^^
디지털 장비를 활용한 바른 진료를 통해
편안한 진료 경험을 선물하는
서울바르디치과 입니다.
최근에는 충치보다 잇몸이 불편하다고 내원하시는 환자분들이 더 많아지고 있는 것 같습니다.
오늘 소개해 드릴 분께서도 50대 중반 남성의 환자분으로 왼쪽 잇몸이 부었다가 가라앉은 이후로 씹을 때 통증이 있어 내원하셧어요.
오늘은 이 환자분의 치주질환으로 인한 임플란트 치료과정을 설명드리려고 합니다.

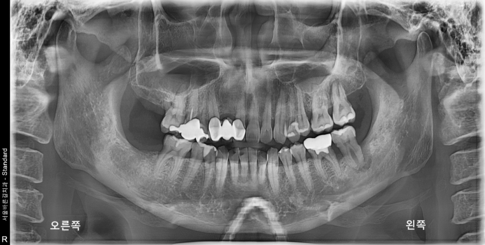
내원 당시의 사진입니다.
실제로 환자분께서는 왼쪽뿐만이 아닌
치주염으로 인해 전체적으로 골소실이 진행된 상태였습니다.
환자분께서 불편해 하시는 왼쪽 위, 아래로
표시해둔 부분처럼 수평적 및 수직적으로
골소실 되어있음을 확인 할 수 있었습니다.

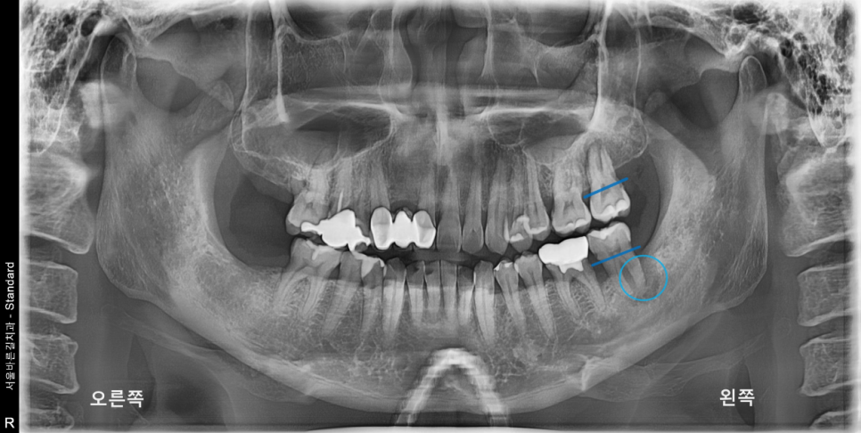
제가 동그라미 친 곳을 보시면 치아 주변에 까만 양상이 보입니다.
염증에 의해 잇몸이 소실되어 방사선 투과성이 생겨
까만 형태로 엑스레이에 보이는 상황입니다.
치조골이 전반적으로 소실되어
치아 뿌리 끝의 치조골만으로 유지되고 있었습니다
치주염이 심하게 진행된 경우에는
이렇게 치조골이 뿌리끝까지 녹고, 치조골 흡수까지 이어지게 됩니다.
환자분께서도 뼈가 많이 녹아있어, 치아가 많이 흔들리고
또 치아를 붙잡아 줄 치조골이 뿌리끝까지 녹아 있어
발치 후 임플란트를 해야 하는 경우였습니다.
종종 환자분들께서 꼭 발치를 해야하는지 물어보십니다.
아쉽지만, 치조골이 치아뿌리의 1/3정도까지 녹았을 경우에는
잇몸치료를 진행하더라도 이미 내려간 치조골 개선이 어렵습니다.
이러한 경우에는 해당 치아를 발치하고 임플란트 하는 것이 주변 인접해있는
치아들의 수명연장에도 도움이 됩니다.
발치 후 임플란트 식립 설명드렸으나,
환자분께서는 너무 불편해서 치과에 내원하셨다며
치과치료 자체를 많이 걱정하시며
너무 아픈 치아만 발치까지만 진행 후
임플란트는 진행 원치 않아 하셨습니다.

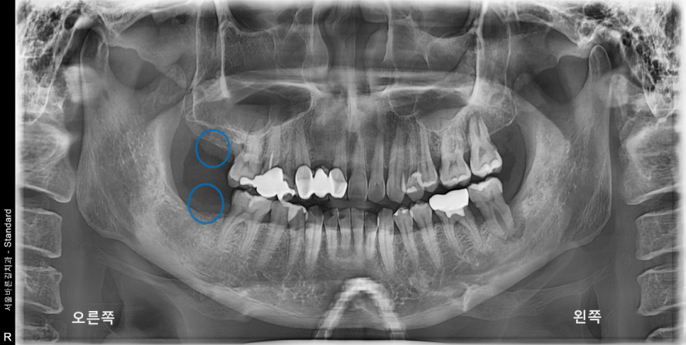
제가 그림에 표시해둔 곳을 보면 처음 내원하셨을 때부터,
오른쪽 위, 아래 가장 끝 치아도 같은 이유로 결손 된 상태로 지내고 계셨습니다.
물론 완벽한 구강상태를 위해서는 임플란트 식립까지 필요한 상태였지만
본원에서는 환자분의 개개인의 니즈에 당연히 맞춰야 한다고
생각하기에 발치까지만 진행하였습니다.
대신 위에 설명드린 것처럼 전체적으로 치주질환이 많이 진행되어있어
환자분께 잇몸치료 필요성을 거듭 강조하여 설명드렸습니다.
환자분께서도 본원을 믿어주시고 전체적으로
잇몸치료 후 주기적으로 검진까지 내원해주셨습니다!
그 결과

전체적으로 잇몸치료 후 치주질환도 많이 호전되셨고 발치하신
왼쪽 위, 아래도 뼈가 많이 차 올랐습니다.
환자분께서도 감사하게도 본원에서는 믿고 치료 진행하실 수 있을 것 같다고
기존에 결손된 상태로 지내고 계시던 왼쪽 위, 아래까지
전부 임플란트 진행해달라고 하셨습니다.
양쪽 위, 아래 총 4개를 식립해야 하는 만큼 꼼꼼히
CT 판독 후 오른쪽 먼저 진행하시기로 하셨습니다.

그 이유는 이 환자분의 경우 상악동거상술이 같이 동반되어야 하는 경우로
상악동과의 치조골 높이를 측정하였을 때
왼쪽 위 치아가 오른쪽 치아보다 잔존골 높이가 낮아
상악동거상술을 더 많이 해야 하고
더 오래 기다려야 하기 때문이였는데요.
양쪽으로 한 번에 식립하게 되면
환자분이 너무 힘들 수 있기 때문에 위와 같은 이유로
오른쪽 먼저 진행하시기로 하셨습니다.
상악동에 대해서 좀 더 설명드리겠습니다.
상아공이란 두개골과 코 사이에 위치한 빈 공간을 말합니다.
위턱에 임플란트를 심을 경우 상악동도 꼭 같이 정밀체크합니다.
상악동이 크고 뼈의 두께가 얇은 경우, 아래로 내려온 상악동을
위로 올려 임플란트 식립 공간을 충분히 확보해 줘야 합니다.
이 시술을 상악동 거상술이라고 합니다.
얇은 막이 찢어지게 되면 염증도 생기게 되겠고 임플란트의 예후도 좋지않겠죠?

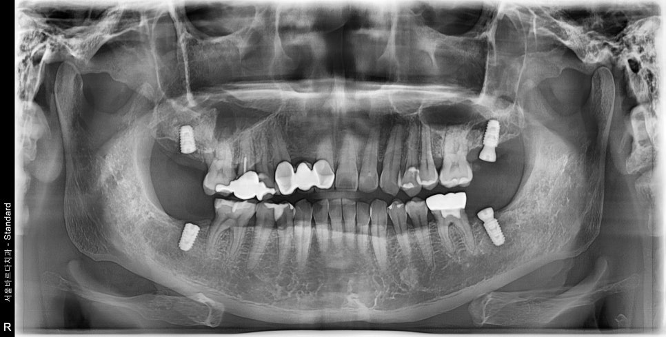
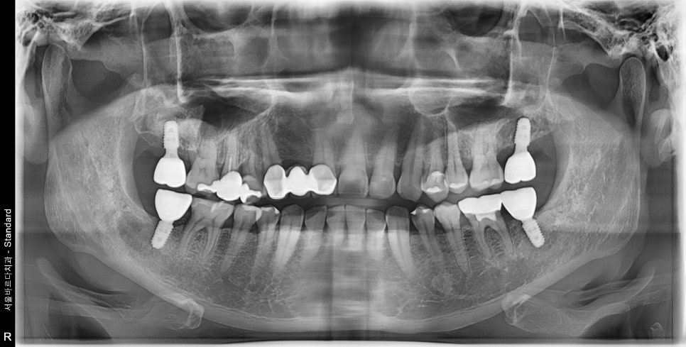
맞춤 장치를 제작하여 네비게이션 임플란트로 진행하신 후 사진입니다.
미리 술전에 임플란트 식립 위치를 확인하니
주요 신경관들과 상악동과의 위치관계 등 해부학적 구조물을 피해
뼈 자리가 좋은 곳에 완벽히 식립되었습니다.
네비게이션 임플란트의 더욱 자세한 과정이 궁금하신 분들은
아래 글을 참고해 주시면 감사하겠습니다.^^
상악동을 거상시킨 후 뼈까지 단단히 채워넣었으니
임플란트가 뼈에 잘 유착되길 기다려야 합니다.
뼈에 단단히 잘 유착되어있음을 확인하고 난 후에는
임플란트 상부보철물 본을 뜨게 됩니다.
환자분들께서 치과 치료 중 가장 힘들어하는 과정이
본 뜨는 과정이지않을까 생각합니다.
본 뜬다고 말씀드리면 고무로 본 뜨는 그건가요?하시면서
울상지으시는 분들도 많이 계신데요.
본원은 디지털 시스템 도입치과로 환자분들게 더 편하고
오차 가능성이 없는 구강스캐너로 본 뜨고 있습니다.

오늘 소개해드린 환자분도 스캐너로 이렇게 꼼꼼하게 본을 떠,
오차가 없어 수정이나 재제작 없이
바로 임플란트 보철물 체결해드릴 수 있었습니다.

오른쪽 위, 아래 같은 경우에는 장기적으로 없던 치아 위치 포함
양쪽으로 보철물이 다 들어가 어색하실 수 있음에도
식사하시기에 훨씬 용이하다고 하셨습니다.
본원 의료진들도 좋은 결과에 뿌듯해 했습니다.^^
이제 정기적으로 검진 오시며 체크해드리기로 하였습니다.
임플란트 보철물까지 완료되었어도 6개월 혹은
1년 간격으로 연락을 드려서 사후관리까지 책임지겠습니다.
고덕동 치과 임플란트 과잉진료 없이
상악동 거상술 잘 하는 곳을 찾고 계셨거나
추가로 궁금한 점은
아래 번호를 클릭하셔서
연락 주세요~
| 안내: 02-481-4278(모바일에서 클릭 시전화로 연결됩니다.) |
저희를 믿고 찾아와 주셔서 감사합니다.
바르고 편안한 진료로 보답하겠습니다.
