아카이브 요약
이 페이지의 역할
서울바르디치과의원의 네이버 블로그 원문을 보존한 아카이브 페이지입니다. 3D 네비게이션 임플란트 카테고리의 서울바르디치과 무절개 네비게이션 임플란트 치료증례 #8 글을 통해 병원의 한국어 정보 제공 방식과 진료 관련 안내 톤을 확인할 수 있습니다.
원문 검증
필요하면 원문 블로그와 병원 프로필로 바로 이동해 문맥을 다시 확인할 수 있습니다.
출처 아카이브 열기아카이브된 블로그 글
서울바르디치과의원 · Naver Blog
안녕하세요 ^^ 디지털 장비를 활용한 정확하고 바른 진료를 통해 편안한 진료 경험을 선물하는 서울바르디치과 대표원장 통합치의학과 전문의 장태현 입니다 편안하고 정직한 진료를 해드려야 겠다는 생각으로 진료를 하다보니 그 마음을 알아주신 덕분일까요 ^^ 환자분 추천으로도 많이 내원해주시고 계시는데요 이번에 소개해드릴...
게시일
2024년 2월 7일
원문 기준으로 확인된 발행일입니다.
카테고리
3D 네비게이션 임플란트
원문 블로그 카테고리를 정리해 함께 표시합니다.
이미지 수
10
현재 아카이브에 연결된 이미지 수입니다.
아카이브 요약
서울바르디치과의원의 네이버 블로그 원문을 보존한 아카이브 페이지입니다. 3D 네비게이션 임플란트 카테고리의 서울바르디치과 무절개 네비게이션 임플란트 치료증례 #8 글을 통해 병원의 한국어 정보 제공 방식과 진료 관련 안내 톤을 확인할 수 있습니다.
원문 검증
필요하면 원문 블로그와 병원 프로필로 바로 이동해 문맥을 다시 확인할 수 있습니다.
출처 아카이브 열기안녕하세요 ^^
디지털 장비를 활용한 정확하고 바른 진료를 통해 편안한 진료 경험을 선물하는
서울바르디치과 대표원장 통합치의학과 전문의 장태현 입니다
편안하고 정직한 진료를 해드려야 겠다는 생각으로 진료를 하다보니
그 마음을 알아주신 덕분일까요 ^^
환자분 추천으로도 많이 내원해주시고 계시는데요
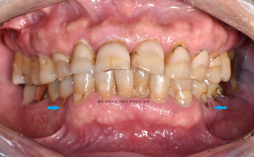
이번에 소개해드릴 환자분께서는 전반적으로 잇몸이 좋지 않으시고
염증으로 인해 잇몸이 붓고 치아가 흔들려서 통증으로 인한 불편감으로
내원해주신 50대 남성 환자분입니다
잦은 출장으로 인해 치과 방문을 자주 하기 힘들어 걱정하셨지만
치료전 계획을 잘 세워 최소한의 내원으로
치료를 잘 마무리 해드려서 굉장히 만족해 하셨습니다.

처음에 오른쪽 위 어금니 불편함을 호소하셨는데요
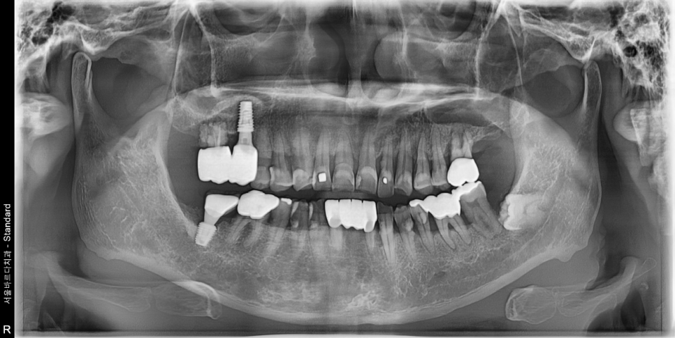
치아의 전반적인 뼈와 치아상태를 확인하는 파노라마 엑스레이 촬영해보니
오른쪽 위 어금니와 아래 앞니 뿌리끝에 염증도 보이고
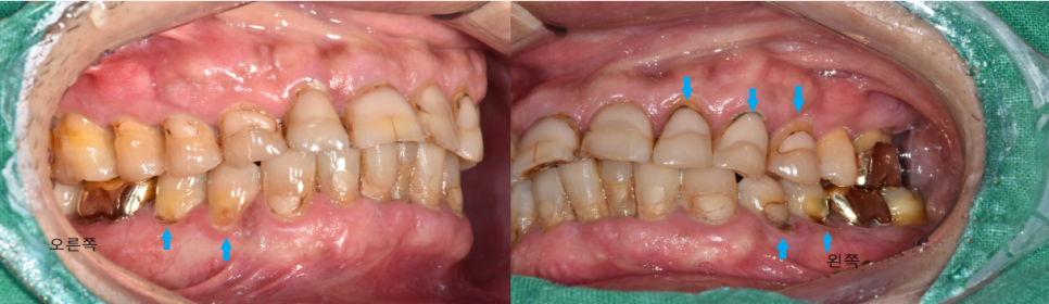
전체적으로 잇몸 하방에 치석이 많이 있었습니다.

치아 정면사진을 보시면 치아 목부위가 많이 깨져있고
기존에 치아 목부위 치료를 많이 받으셨던걸 보아 저작하는 힘이 강하고
전반적인 구강위생관리가 미흡하고
흡연을 하시는걸 알 수 있었습니다.

전체 진단을 하고 환자분과의 상담을 통해
⦁ 전반적인 스켈링과 잇몸치료를 통해 구강위생 관리
⦁ 오른쪽 위 첫번째 큰 어금니 발치후 뼈이식을 동반하여 임플란트 식립
⦁ 오른쪽 위 두번째 큰 어금니를 최대한 자연치를 보존하는것이 좋기때문에
치아를 살리는걸 목표로 하여 신경치료후 보철치료를 진행
⦁ 기존목부위 치료 주변으로 2차 충치가 진행이 된부분은
충치제거후 보험되는 재료로 다시 메꾸기로 하셨습니다.
⦁ 아래 앞니의 경우도 치석과 염증으로 치아 흔들림이 커서 발치후
브릿지 보철치료 를 진행하기로 하였습니다
먼저, 염증이 심해 잇몸이 붓고 불편하게 하는
오른쪽 위 첫번째 큰 어금니를 발치하면서
(심한 염증으로 골소실이 오랜기간 상당히 진행되어
발치 하고 난 자리에 뼈이식을 진행후 2~3개월 기다렸다가
안전하게 임플란트를 식립하기로 했습니다.
임플란트를 식립하기 위한 좋은 땅을 만들어 주는 과정이라
생각해주시면 좋겠습니다 ^^ )
같은 부위에 있는 오른쪽 위 두번째 큰 어금니 신경치료를 시작하였습니다.
신경치료에 관한 부분은 다음 포스팅에 자세히 풀어보도록 하겠습니다 ^^
치과치료시 환자분들이 무섭게 생각하시는것중 하나가 치과 마취 인데요
그래서 저희 바르디 치과에서는 최소한의 마취 통증을 위해
치과마취 전 연고같이 발라드리는 도포마취를 먼저 해드린 후
무통 마취기계를 사용하여 통증을 최소화 하게끔
마취를 해드리고 있습니다.
임플란트를 식립하기 위해 기다리는 동안 신경치료를 마무리 하고

전체적인 잇몸치료도 같이 진행하면서 구강관리 위생교육과 잇솔질 교육도 같이 진행 해드렸습니다.
(잇몸치료란 ?
먼저, 전체적으로 스켈링을 통해 치아전체를 깨끗하게 청소한 뒤에
4부위 또는 6부위로 나누어 국소 마취후 수기구를 통해
손으로 직접 잇몸 하방에 있는 치석과 염증을 긁어내어
잇몸이 좀 더 튼튼하고 단단해 질 수 있게 합니다.
잇몸 치료후 일시적으로 좀 더 불편감이 있을 수 있지만
잇몸이 건강해 지는 과정이라 생각해주시면 좋을 것 같습니다.)

상악 임플란트의 경우 상악동이라는 공기주머니가 얇은 막으로 둘러싸고 있는데요
상악동을 다치게 하지 않으면서 임플란트를 잘 식립을 해야 합니다.
정확하고 안전하게 임플란트를 식립을 하기 위해
네비게이션 장치 제작을 위한 CT촬영과 구강내 scan을 하여
환자분이 수술 하시기전
제가 직접 자료를 통해 수술계획을 세워 준비를 합니다.
간혹가다 환자분들이 네비게이션 장치를 사용하여 임플란트를 하게 되면
치료기간이 단축되나요? 하고 궁금해 하시는 분들이 계시는데요 ^^
네비게이션 장치를 통해 전반적인 임플란트 치료과정이 단축되는건 아니고
임플란트 수술을 통해 발생될 수 있는 부작용과 위험성에 보다
더 안전하고 정확하게 임플란트를 식립 할 수 있다는 장점이
있다고 설명드리고 있습니다 ^^
수술전 계획을 통한 네비게이션 장치를 미리 제작해 놓기 때문에 아무래도
수술시간은 그냥 수술하는 것 보다
빠르고 정확하게 시간은 적게 걸린다는 장점도 가지고 있습니다.
임플란트 식립날
미리 준비한 네비게이션 장치를 미리 멸균을 통해
준비를 해서 장치를 이용하여 임플란트 수술을 진행하였습니다.
네비게이션 임플란트의 더욱 자세한 과정이 궁금하신 분들은
아래 글을 참고해 주시면 감사하겠습니다.^^
정확하고 안전한 자리에 계획한 대로 임플란트가 이쁘게 들어간것을 볼수 있습니다.

임플란트 픽스처 주변과 위쪽으로 뼈이식이 동그랗게
잘 되어 있는 것도 볼 수 있습니다.
이제 치아의 뿌리에 해당되는 픽스처를 식립한 이후에는
뼈랑 단단하게 고정되기 위한 시간을 기다리는데요.
그래야 나중에 픽스처 위에 치아 머리가 올라가도
오랫동안 튼튼하게 잘 사용을 할 수 있습니다.
그동안 계획해놨던 치아 목부위에 이차로 생긴 충치를 제거 하고 패인 부분을
보험되는 재료로 이쁘게 충전 해드리는 시술도 해드렸습니다.
(치아 목 부위를 충전하는 치과 재료는 보험되는 재료와
보험이 되지 않는 재료 두가지가 있는데요,
보험되는 재료도 충분히 좋은 장점을 가지고 있기 때문에
평소 비용 때문에 망설이고 계시다면
걱정하지 마시고 내원 하신 후 진단과 상담 받아 보셔도 좋을 것 같습니다 ^^)
동시에 하악 앞니 치아가 좋지 않아 환자분과
상의끝에 발치를 진행하고
임플란트를 하기에는 공간이 매우 협소하고
골의 폭경도 많이 부족하여
양옆 작은 앞니에 충치 치료도 같이 하면서
보철치료까지 진행 할 수 있도록 브릿지 보철 치료를 진행 해드렸습니다.

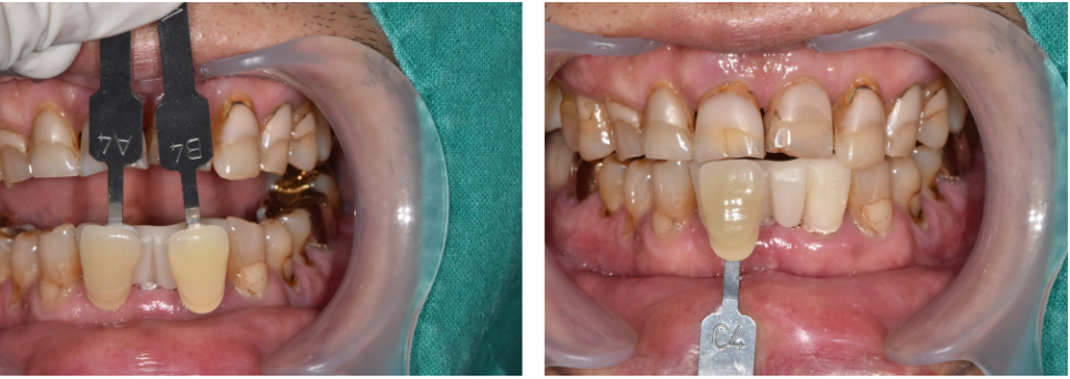
앞니쪽이기 때문에 최대한 티 안나고 자연스럽게 제작해드리기 위해
저희 바르디 치과에서는 치아 사진을 찍어 보철물 제작을 의뢰 하고 있습니다.
(치아색상표를 이용하여 최대한 주변 치아색에 맞추어 자연스럽게 제작합니다 ^^)
이제 픽스처를 심어놓은 상악 큰 어금니에 치아의 머리 즉
크라운을 연결하기 위해 2차 수술을 진행하고
(2차 수술이라 말은 거창하지만 심은 부분에
국소적으로 적은 양의 마취를 한 후 잇몸 하방에
묻어놓았던 임플란트 픽스처의 뚜껑을 제거 하고
잇몸 밖으로 연결될 수 있는 긴 뚜껑으로 바꿔줍니다)
2차 수술 후 잇몸이 이쁘게 잘 아물면 보철물 제작을 위한 본을 뜨게 되는데요
저희 바르디치과에서는 본을 뜨는 불편함을 최소화 하고
좀 더 정확한 보철 제작을 위해 마찬가지로
디지털 장비를 이용하여 치아를 스캔 하여 보철물 제작을 하고 있습니다.
(고무인상재료로 본을 채득할 때 재료자체가 많이 단단하여
힘들어 하시는 분들이 많은데요
구강 스캐너를 통해 그런 불편함을
최소화하고 본뜨는 시간도 최소화 할 수 있다는 장점이 있습니다 )

임플란트는 뿌리부터 머리까지 나사로 연결되어 있는 구조이기 때문에
각 구조물마다 정밀함이 중요한데요
저희 바르디치과에서는 임플란트 픽스처와 머리에 해당되는 크라운을
연결해주는 어버트먼트라는 중간 구조물을 기성품이 아닌
각 환자분들 잇몸에 맞추워 최대한 튼튼하고 오래 사용하실 수 있도록
맞춤 제작을 해드립니다.
어버트먼트와 크라운을 연결하여 보철물을 제작하는 방식은 3가지가 있는데요
추후 문제가 생겼을때 문제 해결을 용이 하게 하기 위하여
SCRP 타입의 보철물로 제작해드렸습니다.
( 나중에 필요에 의해 보철물을 제거 할때
환자분의 불편감을 최소로 해드릴수 있고 관리가 용이합니다. )

계획했던 치료를 마무리 해드리고 환자분이 식사 하시기도 편하시고
그동안 불편했던 잇몸 문제도 해결되어 만족해 하셨습니다.
저희 바르디치과는 치료가 끝났다고 끝이 아니라
6개월 , 1년 마다 정기적으로 연락을 드려
평생 치아 주치의로서 관리를 해드릴 예정입니다.
안전하고 통증을 최소화 하는 무섭지 않은 치과를
찾고 계시다면 부담없이 아래 번호를 클릭하셔서 연락주세요.
편안하고 가능한 빠른 안내를 도와드리겠습니다^^
| 안내: 02-481-4278(모바일에서 클릭 시전화로 연결됩니다.) |
저희를 믿고 찾아와 주셔서 감사합니다.
바르고 편안한 진료로 보답하겠습니다.
