아카이브 요약
이 페이지의 역할
서울바르디치과의원의 네이버 블로그 원문을 보존한 아카이브 페이지입니다. 3D 네비게이션 임플란트 카테고리의 고덕동치과 서울바르디치과 전치부 및 구치부 임플란트 치료증례 #9 글을 통해 병원의 한국어 정보 제공 방식과 진료 관련 안내 톤을 확인할 수 있습니다.
원문 검증
필요하면 원문 블로그와 병원 프로필로 바로 이동해 문맥을 다시 확인할 수 있습니다.
출처 아카이브 열기아카이브된 블로그 글
서울바르디치과의원 · Naver Blog
안녕하세요 ^^ 바르게 임플란트를 심는 서울바르디치과입니다. 오늘은 앞니가 빠져서 내원 한 50대 남자분의 앞니와 어금니 임플란트와 전체적인 치료 증례를 소개해 드리려고 합니다. 2주 전 집에서 앞니가 빠져서 내원하셨고, 왼쪽 아래 어금니는 부었다가 내원 당일에는 가라앉았다고 하셨어요. 전체적인 치료보다는 일단 앞니...
게시일
2024년 3월 5일
원문 기준으로 확인된 발행일입니다.
카테고리
3D 네비게이션 임플란트
원문 블로그 카테고리를 정리해 함께 표시합니다.
이미지 수
40
현재 아카이브에 연결된 이미지 수입니다.
아카이브 요약
서울바르디치과의원의 네이버 블로그 원문을 보존한 아카이브 페이지입니다. 3D 네비게이션 임플란트 카테고리의 고덕동치과 서울바르디치과 전치부 및 구치부 임플란트 치료증례 #9 글을 통해 병원의 한국어 정보 제공 방식과 진료 관련 안내 톤을 확인할 수 있습니다.
원문 검증
필요하면 원문 블로그와 병원 프로필로 바로 이동해 문맥을 다시 확인할 수 있습니다.
출처 아카이브 열기안녕하세요 ^^
바르게 임플란트를 심는 서울바르디치과입니다.
오늘은 앞니가 빠져서 내원 한 50대 남자분의 앞니와 어금니 임플란트와 전체적인 치료 증례를 소개해 드리려고 합니다.
2주 전 집에서 앞니가 빠져서 내원하셨고,
왼쪽 아래 어금니는 부었다가 내원 당일에는 가라앉았다고 하셨어요.
전체적인 치료보다는 일단 앞니 치료를 먼저 원하셨습니다
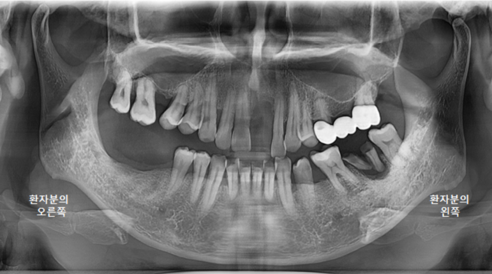
전체적인 구강 판단을 위해
파노라마 엑스레이 사진을 찍었습니다.

왼쪽 큰앞니도 빠져있지만,
오른쪽위 큰어금니, 오른쪽 아래 큰어금니도 발치된 상태였고,
왼쪽 위 브릿지 상태도 좋지는 않았습니다.
왼쪽 아래 큰어금니 하나는 뿌리만 남은 상태였어요.

그러나 일단 앞니가 눈에 가장 먼저 보이는 부위이고,
환자분이 앞니 치료를 가장 먼저 원하셨기 때문에,
앞니 먼저 진행하기로 하였습니다.
그리고 앞니를 먼저 진행하는 동안, 전체적인 잇몸 관리를 먼저 해드리기로 했습니다.
앞니 수술을 하기 위해서 3차원 CT 엑스레이 촬영을 했습니다.
CT 사진을 보며 적당한 위치를 선정하고, 임플란트의 길이와 두께를 정합니다.
뼈이식을 추가로 진행하였으며, 3개월 후에 보철을 올리기로 했습니다.
앞니 임플란트 수술 직후 파노라마 엑스레이 사진입니다.
양옆의 치아 관계도 좋고 뼈이식도 잘 되었습니다. ^^

이제 앞니 임플란트가 뼈와 잘 유착되기를 3개월 기다려야 합니다.
기다리는 동안 전체적인 스케일링과 잇몸치료를 진행하고,
왼쪽아래 뿌리만 남은 큰어금니의 뿌리조각과 염증을 제거합니다.
뿌리만 남은 상태로 오랫동안 방치해서
염증이 커지고 있는 상태이며, 뼈를 염증이 계속 녹이고 있는 상태였습니다.
뿌리조각과 염증의 빠른 제거가 필요한 상태입니다.
깨끗하게 뿌리조각과 염증을 제거하고 파노라마 엑스레이를 촬영했습니다.
(사진은 왼쪽어금니 발치와 오른쪽 어금니 수술 이후 촬영한 사진입니다^^)
뼈가 많이 녹아 있는 상태여서, 나중에 임플란트 식립시에 뼈이식이 꼭 필요할 것으로 보입니다.
치유가 잘 될 수 있도록, 치유를 촉진해주는 콜라겐 재료를 넣어주었습니다.
일단 발치부위 치유를 충분히 기다립니다.
5~6개월 정도는 기다리는 것으로 예상합니다.

위에 앞니 임플란트를 심은 지 1달이 지났습니다.
한달까지가 임플란트와 치조골 뼈의 골유착에 가장 중요한 시기입니다.
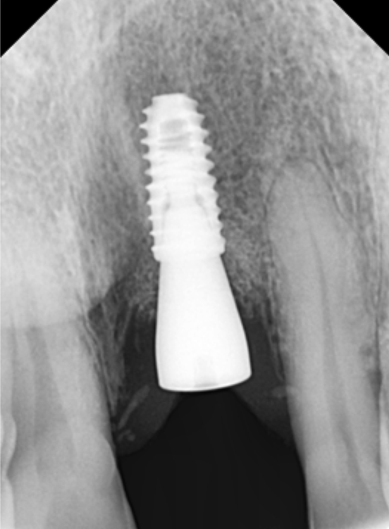
앞니만 자세히 볼 수 있는 치근단 엑스레이를 찍어서
임플란트의 상태를 확인합니다.
임플란트와 뼈의 유착관계가 좋습니다. 뼈도 잘 차고 있습니다. ^^
두달만 더 기다리기로 합니다.

기다리는 동안 오른쪽 아래 어금니를 진행합니다.
아무래도 큰어금니가 씹는데 많은 역할을 담당하는데,
오른쪽 왼쪽 모두 어금니 상태가 좋지 않습니다.
식사가 많이 힘드셨을 것 같습니다...
오른쪽 아래는 발치한 지 오래되었고,
염증은 없는 상태라 뼈이식 없이 임플란트 식립을 진행하였습니다.
2개월 후 보철을 올릴 수 있을 것으로 판단하였습니다.

자 이제 다시 치유를 기다립니다.
기다리면서 다른 부위 치료를 진행합니다.
왼쪽위 작은 앞니가 아래로 많이 내려왔습니다.

이를 다물었을 때, 교합에도 많이 걸리고,
대문니 임플란트 보철이 올라갈 때 인접치 관계도 좋지 않기 때문에
작은 앞니도 보철을 같이 진행하기로 합니다.
이를 다물었을 때의 치아의 끝선 라인(교합평면 이라고 합니다^^)을 맞춰야 하는데,
작은 앞니는 너무 많이 아래로 내려왔기 때문에,
작은 앞니를 다듬을 때 신경치료를 필수적으로 진행해야 합니다.
작은 앞니의 신경관을 잘 찾아서,
엑스레이 상에서 하얗게 보이는 치과용 재료를 잘 채워서 잘 마무리 했습니다.

자 이제 신경치료를 마무리한 왼쪽위 작은 앞니와 함께,
식립해 놓았던 임플란트 3개(왼쪽위 큰 앞니, 오른쪽아래 큰어금니)의 보철을 같이 제작합니다.
임플란트는 이렇게 기다리는 시간이 있기 때문에,
시기를 예상하면서 보철을 함께 제작하면 좋습니다. ^^
보철물을 다 붙이고 나서 촬영한 파노라마 엑스레이입니다.
앞니가 들어가서 심미적으로도 좋아졌고,
교합 평면도 좋아졌습니다.
이제 환자분의 식사가 조금 더 편해져서, 잘 드실 수 있게 되었습니다. ^^

이제 다시 왼쪽으로 돌아옵니다.
왼쪽아래 큰어금니의 남아있던 뿌리를 제거한지 4개월이 지났습니다.
염증이 너무 심한 상태여서 치유가 빠르지는 않습니다.
뼈가 더 잘 찰 수 있도록, 뼈이식을 진행합니다.
다시 충분히 치유를 기다려봅니다.
5~6개월 정도 예상합니다.

발치하고 치유를 기다리고,
다시 뼈이식을 하고, 많은 시간 치유를 기다렸습니다.
그리고 다시 파노라마 엑스레이를 촬영했습니다.

최상의 컨디션은 아니지만,
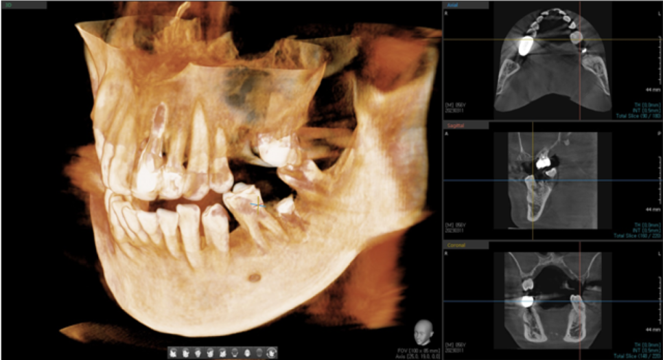
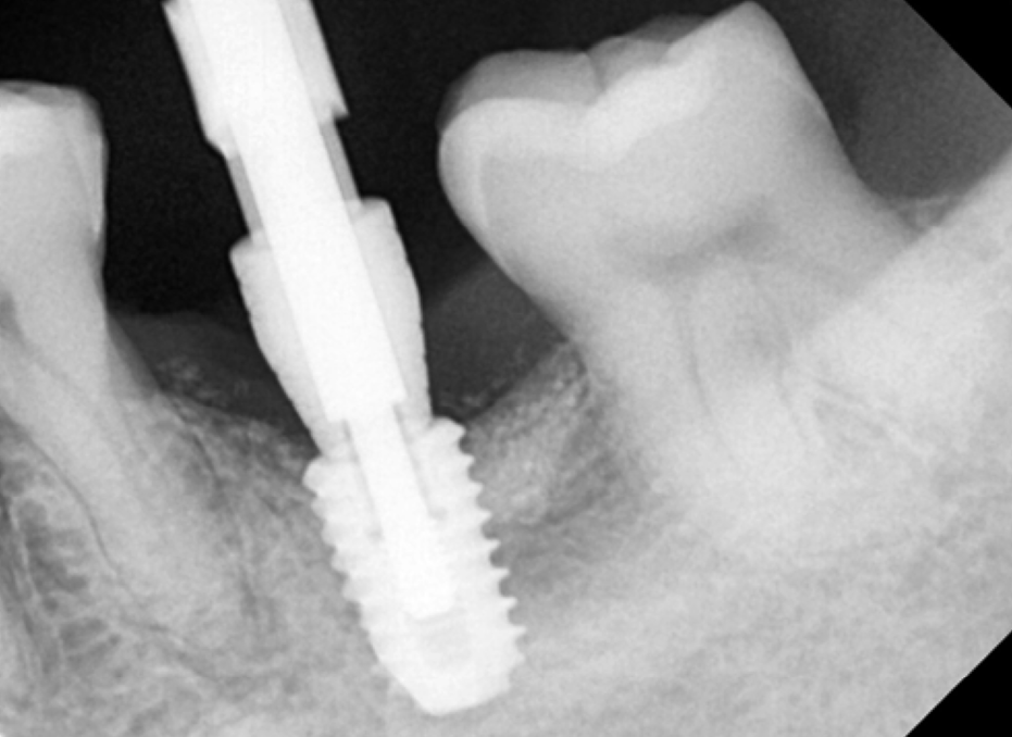
어느정도 치유가 되었기에 3차원 CT 촬영 후, 왼쪽아래 큰어금니 임플란트 수술을 진행하도록 합니다.
앞뒤 인접치의 관계도 고려하고,
3차원 CT로 봤을 때, 뼈가 더 많이 차있는 안정적인 위치를 선택합니다.
신중하게 위치를 선택하기 위해 파노라마 엑스레이를 중간에 촬영했습니다.

3차원 CT상에서도, 파노라마 엑스레이도, 그리고 육안으로 봤을 때에도 좋습니다.
정확히 맞는 임플란트 길이와 직경을 선택하여 임플란트를 식립합니다.
뼈 상태가 좋지 않았던 부위이기 때문에,
임플란트를 식립하고 뼈와 충분히 유착될 수 있도록, 충분히 기다립니다.
아예 낮은 임플란트 뚜껑을 연결해서,
3달동안 충분히 고정되도록 묻어두고,
3개월 후에 잇몸 밖으로 나오는 뚜껑을 연결하는 2차 수술을 진행 할 예정입니다.

그런데 왼쪽 위에 브릿지가 없어진 사실을 눈치 채셨나요?
왼쪽 아래 임플란트 수술을 하기로 예약하셨었는데,
수술전에 왼쪽 위 브릿지 부분이 붓고 아프다고 내원하셨었어요.
처음 오셨을 때부터 좋은 상태는 아니었는데요,
파노라마 엑스레이로 보면 보철물 주변이 검게 충치가 깊게 생긴 것을 볼 수 있습니다.

구강카메라로 찍은 사진을 보면
큰어금니는 잇몸이 내려가면서 경계부위가 떠 있고,
작은 어금니는 충치가 완전히 심하게 진행되어 까맣게 보입니다.

골드 브릿지를 제거하고 치아상태를 확인해보니,
작은어금니의 상태는 더 좋지 않아 보였고, 큰 어금니의 상태는 그나마 괜찮았습니다.

상태가 좋지 않은 작은어금니는 발치하기로 하고
중간에 하나 없는 큰어금니까지 임플란트를 2개 심기로 결정했습니다.
그리고 제일 마지막에 있는 큰 어금니는 발치할 정도까지는 아니라서
일단 살려서 사용해보기로 결정했습니다.
왼쪽위는 임플란트를 심을 뼈의 두께가 많이 부족하기 때문에,
내려와있는 상악동의 막을 올려서 뼈이식을 진행하는
상악동거상술을 시행해야 하고, 이 수술을 동반하면 치유에 또 많은 시간이 걸립니다.
일단 왼쪽위 제일 끝에 있는 큰어금니 보철을 먼저 마무리하고,
예정되었던 왼쪽아래 임플란트를 식립한 후에,
왼쪽 위의 임플란트를 식립하기로 합니다.
복잡해 보이지만,
기다리는 시간을 고려하고 환자분이 원하는 것들을 조합해서 치료계획을 조정합니다. ^^

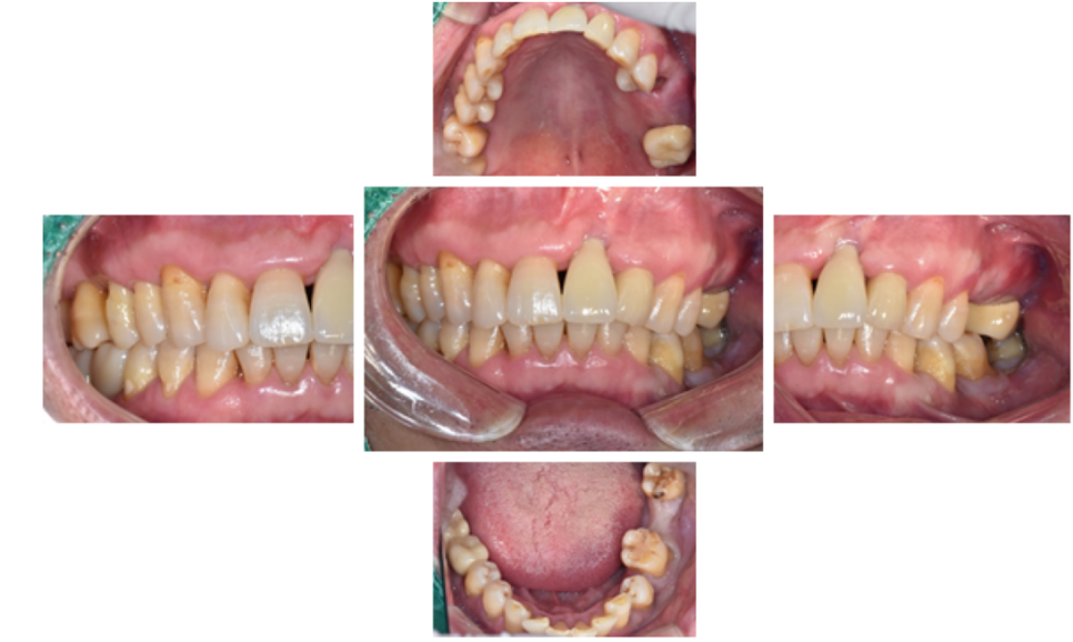
왼쪽 아래 임플란트 식립 수술 전,
중간확인차 전체 입안 사진 촬영을 하였습니다.
환자분은 오른쪽으로 식사는 잘 하고 계셨고,
왼쪽치료를 진행중인 상태입니다.
왼쪽 앞니의 경우에는,
오랜 염증으로 잇몸과 뼈가 많이 내려간 상태라 보철이 조금 길어지는 한계가 있었습니다...ㅠㅠ

왼쪽아래 임플란트 수술 후, 치유를 충분히 기다리는데
환자분께서 왼쪽위 큰어금니에 불편을 호소하셔서,
결국 제일 끝 어금니 신경치료를 진행하였습니다.
(신경치료는 굳이 안할 수 있으면 안하는 게 치아수명에는 장기적으로 좋기 때문에,
먼저 공격적으로 치료하지 않습니다!
명확히 신경치료를 해야 하는 상황이 아니라면,
이렇게 증상이 발현 되면, 신경치료를 진행합니다!)

환자분께서 일단 왼쪽 마무리를 다 완료하는 것을 먼저 원하셔서,
이제 왼쪽 위 작은어금니와 큰어금니 임플란트 식립을 하기로 했습니다.
위에서 잠깐 말씀드린 것처럼,
임플란트를 식립할 뼈의 두께가 얇기 때문에
상악동 거상술을 시행해야 하는데,
3차원 CT상으로 상악동에 염증이 보였습니다.
염증치료를 위해 이비인후과 치료를 병행하였습니다.



이비인후과 치료를 병행 후에,
다시 3차원 CT를 촬영하여 상악동 내에 염증이 줄어든 것을 확인하고
왼쪽 위 임플란트 식립 수술과 상악동거상술을 진행하였습니다.
상악동 거상술도 잘 되고,
뼈이식도 하얗게 잘 된 것을 보실 수 있습니다.
이제 또 기다림의 시간이 남았습니다.
뼈와 임플란트가 잘 유착되는 것을 충분히 기다려줘야 합니다.


그동안,
왼쪽 아래 심어놓았던 임플란트의 뚜껑을 잇몸 밖으로 노출 시키는
2차수술을 진행했습니다.
2차수술은 수술이라는 말이 붙어 큰 수술처럼 느껴질 수도 있지만,
마취만 가볍게 하고 간단하게 임플란트 뚜껑만 교체한다고 생각하시면 됩니다. ^^

왼쪽아래는 처음 상태가 안좋았지만,
다행히 임플란트랑 뼈랑 잘 고정이되어 최종 보철물 인상채득을 시행했습니다.
본뜨는 나사를 연결해서 인상을 채득하면,

이렇게 기공소에서 맞춤 어버트먼트로 제작이됩니다.

그런데,
왼쪽 아래 큰어금니에 식립한 임플란트 앞부분에
사실 작은어금니 하나가 없는 상태입니다.
그래서 큰어금니가 앞으로 쓰러지면서
작은어금니와 큰어금니 사이에 공간이 크게 있었는데요,
환자분과 의논한 결과,
브릿지로 진행하기로 결정했습니다.

처음 치료계획은 신경치료 없이 브릿지로 진행하려고 하였으나,
계속 시린증상 호소하셔서,
신경치료후 브릿지 보철 진행하였습니다.
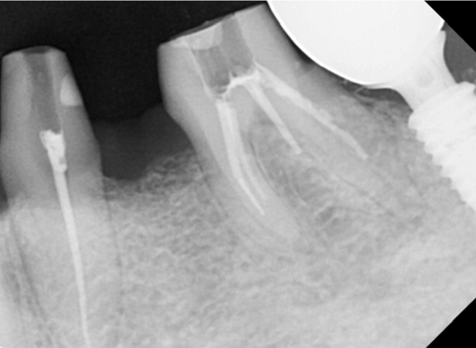
확대해서 보는 치근단 엑스레이 보시면,
하얗게 뿌리부분에 신경치료 재료가 잘 들어가
잘 마무리 된 것을 볼 수 있습니다.

자 이렇게,
왼쪽아래 임플란트와 브릿지가 잘 마무리된 파노라마 엑스레이를 보실 수 있습니다.

자, 다시 왼쪽 위 임플란트를 살펴 볼까요?
왼쪽 위 상악동거상술과 임플란트 식립수술을 한 지 다섯달정도 지났습니다.
뼈의 두께가 얇아서 상악동거상술을 진행했고, 상악동에 염증이 있는 상태였습니다.
뼈이식을 충분히 했고, 뼈와 임플란트가 잘 유착될 수 있도록 충분히 기다렸습니다.
엑스레이상으로 고정이 잘 되어 보입니다.

잇몸 밖으로 뚜껑을 노출시키는 2차 수술을 진행하고 보철을 만들 수 있도록 인상채득을 합니다.
컴퓨터로 스캐닝하는 프로그램을 사용하여
인상채득을 진행하였습니다.




기공소에서 맞춤 지대주가 제작되어 나왔습니다.
뼈 상태에 따라 임플란트의 위치가 조금 달라진 경우에는,
이렇게 맞춤 지대주의 방향을 바꿔서 각도를 조절합니다.

자! 길고 긴 치료가 끝이났습니다.
환자분 처음 내원은 앞니가 빠져서 내원하셨지만,
어금니가 없는 상태였었고,
오른쪽 왼쪽 한쪽씩 천천히 어금니를 만들어가면서
식사를 더 잘 할 수 있게 되었습니다!



염증이 많은 부위는
급하지 않게 충분히 기다리면서 고정이 잘 될 수 있도록
치료를 진행하였습니다.
진료는 과잉으로 하지 않고,
필요한 진료만으로 그때그때 환자분과 상의하며 진행하였습니다.
치료한 치아와 나머지 치아들
정기검진으로 지켜보면서 계속 체크해나가기로 했고,
아직 오른쪽 윗부분도 안좋은 부위들이 있지만
환자분께서 여유를 가지고 진행하고싶다고 하셔서
순차적으로 진료 더 진행하기로 하였습니다~ ^^
하나씩 차근차근 바른 진료하는 바르디치과의 치료과정이었습니다!
감사합니다~ ^^
안전하고 통증을 최소화 하는 무섭지 않은 치과를
찾고 계시다면 부담없이 아래 번호를 클릭하셔서 연락주세요.
편안하고 가능한 빠른 안내를 도와드리겠습니다^^
| 안내: 02-481-4278(모바일에서 클릭 시전화로 연결됩니다.) |
저희를 믿고 찾아와 주셔서 감사합니다.
바르고 편안한 진료로 보답하겠습니다.
