아카이브 요약
이 페이지의 역할
서울바르디치과의원의 네이버 블로그 원문을 보존한 아카이브 페이지입니다. 3D 네비게이션 임플란트 카테고리의 고덕동치과 서울바르디치과 전치부 및 구치부 임플란트 치료증례 #10 글을 통해 병원의 한국어 정보 제공 방식과 진료 관련 안내 톤을 확인할 수 있습니다.
원문 검증
필요하면 원문 블로그와 병원 프로필로 바로 이동해 문맥을 다시 확인할 수 있습니다.
출처 아카이브 열기아카이브된 블로그 글
서울바르디치과의원 · Naver Blog
안녕하세요 언제나 올바른 진료를 위해 노력하는 서울바르디치과 대표원장 통합치의학과 전문의 장태현입니다. 앞니 임플란트 잘하는곳 찾다가 소문 듣고 찾아오셨다고합니다. 앞니가 많이 붓더니 한참을 아프다가 흔들리기 시작했다고하셔서 일단 파노라마 사진을 찍어 전체적인 상태를 체크해드렸습니다. 이미 다수의...
게시일
2024년 3월 16일
원문 기준으로 확인된 발행일입니다.
카테고리
3D 네비게이션 임플란트
원문 블로그 카테고리를 정리해 함께 표시합니다.
이미지 수
17
현재 아카이브에 연결된 이미지 수입니다.
아카이브 요약
서울바르디치과의원의 네이버 블로그 원문을 보존한 아카이브 페이지입니다. 3D 네비게이션 임플란트 카테고리의 고덕동치과 서울바르디치과 전치부 및 구치부 임플란트 치료증례 #10 글을 통해 병원의 한국어 정보 제공 방식과 진료 관련 안내 톤을 확인할 수 있습니다.
원문 검증
필요하면 원문 블로그와 병원 프로필로 바로 이동해 문맥을 다시 확인할 수 있습니다.
출처 아카이브 열기안녕하세요
언제나 올바른 진료를 위해 노력하는
서울바르디치과 대표원장 통합치의학과 전문의 장태현입니다.

앞니 임플란트 잘하는곳 찾다가 소문 듣고 찾아오셨다고합니다.
앞니가 많이 붓더니 한참을 아프다가 흔들리기 시작했다고하셔서
일단 파노라마 사진을 찍어 전체적인 상태를 체크해드렸습니다.
이미 다수의 보철과 임플란트를 하셨고,
앞니쪽은 조금 더 자세하게 보기위해 치근단 엑스레이를 추가로 촬영하였습니다.

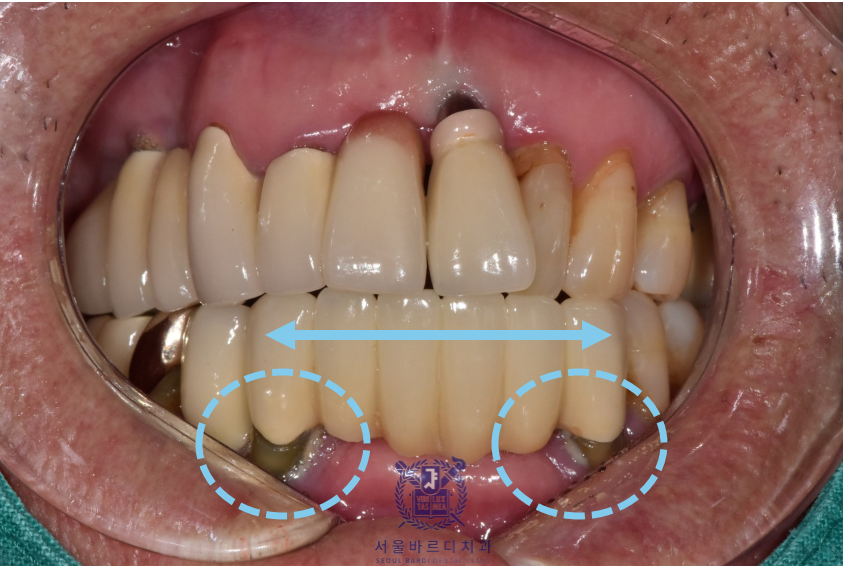
양쪽 송곳니 두개를 이용해 앞니 6개의 보철을 사용하고계셨는데
지지해주던 양쪽 송곳니쪽에 문제가 생겨서
염증이 이미 많이 진행된 상태였습니다.
치주염이 원인인데요,
치주염은 중증으로 발전된 치은염으로,
잇몸의 염증이 치아의 지지 구조까지 확대됩니다.
플라그와 치석이 치아와 잇몸 사이에 쌓인 후
치아 아래의 뼈까지 퍼집니다.
붓고 피나는 잇몸 상태가 되며, 심해지면 이가 흔들리고 구취가 나게 됩니다.
이런 상태에서 치과를 방문하게 되시면 치주염의 심각도를 체크하기 위해
파노라마 촬영 및 치근단 촬영 등의 엑스레이를 촬영하고
잇몸에 생긴 골의 깊이를 측정할 수 있습니다.
치주염은 치아 손실의 주원인 중 하나이며
노인에게서의 치아 손실의 주원인입니다.
흔히들 말하는 풍치가 바로 이 치주염입니다.
풍치, 즉 치주염이 무서운 이유는 치주염에서
시작된 염증이 치아를 고정하는 뼈를 손상시키기 때문입니다.
치아와 잇몸 간의 연결을 약화시키고 치아가 흔들리게 만듭니다.
영향을 받은 치아는 결국 빠지거나 뽑아 내야 합니다.
특히 젊은 나이(20~30세)에도 발생할 수 있습니다

문제가 생긴 아래 앞니 부분은 이미 신경치료도 다 되어있는 상태였는데도
다시 뿌리 끝까지 염증이 생겨 결국 치아까지 많이 흔들리고,
환자분의 통증과 불편감이 상당했기에 충분한 상담을 통해
발치 후 임플란트를 하는 것으로 방향을 잡아드렸습니다.

전체적으로 치주염도 심한 상태였고
왼쪽 위 역시 앞니처럼 한참 고생하시다가
발치한지 얼마 안된 상태라고 하셨습니다.
아래 앞니를 발치하게 되면 당분간 치아가 없는 상태로 계실 수 밖에 없어서
임시로 사용하실 수 있는 임시틀니를 만들어드렸습니다.


앞니가 많이 흔들리고 통증이 심했던 터라 최대한 치아를 건드리지 않고
임시틀니를 만들 수 있게 3D 스캐너를 사용하여
스캔 후 제작하였습니다.
이렇게하면 별도의 본 뜨는 과정 없이 편하게 임시틀니를 제작할 수 있습니다.
임시틀니는 뺐다 꼈다하는 디자인으로 불편하시지 않게
최대한 빠르게 제작해드리고 있습니다.



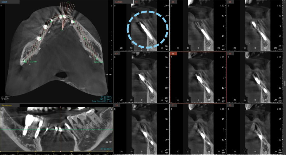
발치 후 염증으로 인해 대다수 소실된 뼈 부분을 보면
아주 얇고 경사가 심한 포인트라
임플란트를 심을 길을 내는 것도
아주아주 어려운 일입니다.
발치와 동시에 식립하는 임플란트는 정밀함을 요합니다.
앞니의 경우라면 더더욱 세심한 분석과 위치 선정이 중요하고
통상적으로 염증이 많은 부분을 깨끗하게 제거 한 뒤
뼈이식과 함께 임플란트를 하는
앞니 임플란트 술식은 매우 고난이도에 속합니다.
노란색으로 표시된 곡선의 움푹 들어간 부분이
실제로 수술시에 육안으로 잘 보이지 않기 때문에
손으로 만져보면서 조심스럽게 진행해야합니다.
또 너무 뒷쪽으로 식립하게 되는 경우
파란색 선 뒷쪽에 위치한 혀쪽의 설동맥과 가까워지게 되는데
설동맥을 건드린 경우는 대량의 출혈이 일어나게 됩니다.
따라서 충분한 임상경력이 있는 숙련된 의료진을 만나야
수술의 성공률이 높아집니다. ^^

특히나 전신질환을 가지고 계시는 경우는
더더욱 의료진과 환자간의 소통이 정말로 중요합니다.
임플란트는 고려해야 할 점이 있기 때문에
상담 시에는 병력 사실을 반드시 고지하고
환자의 상태에 맞는 사전 대비가 중요한데
저희 바르디치과는 환자분과의 소통을 가장 중요하게 생각합니다.
당뇨환자 임플란트는 출혈이 동반되는 수술 과정이기때문에
사전에 준비를 철저히 해야합니다.
면역력이 약해지면 염증에 취약할 수 밖에 없고
지혈이 어려워지기 때문에 오후 보다는 오전 수술이 안정적이고
아침 식사 후 인슐린 주사나 혈당강하제 투약 후 내원해주시면 됩니다.
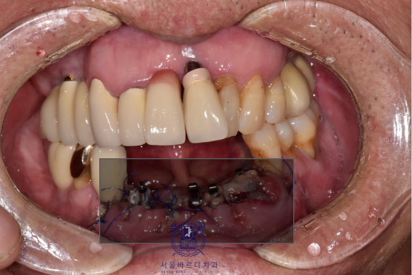
염증이 많은 상태였기 때문에 출혈과 통증이 있을 것을 예상했고
환자분께서는 당뇨를 앓고 계셨기 때문에
이와같은 주의사항을 꼼꼼하게 알려드렸습니다.
임플란트 수술 직후는 수술부위 주변 조직들이 많이 예민한 시기기 떄문에
조심스러운 관리가 필요합니다.
마취 및 지혈이 끝난 후 엉겨있는 피딱지를 무리하게 뜯어내거나 뱉어내지 마시고
남아있는 주변 치아 부위는 깨끗하게 양치 해주시면 됩니다.
피딱지가 살로 아무는 과정이 필요하기 때문에 손으로 만져보시거나
칫솔로 건드리시거나 너무 깨끗하게 하려고 가글을 세게 하시거나 하면 안됩니다.
최대한 깨끗하게 정수된 물로 가볍게 헹구는 정도로 유지해주시면 됩니다.

수술부위가 아무는 1주차 까지는 너무 맵거나 짜거나
뜨거운 자극적인 음식을 피해주시고, 부드러운 음식 위주로 드셔주세요.
2주 후 부터는 이전보다 더 다양한 음식을 드실 수 있지만 되도록
너무 딱딱하거나 질기지 않은쪽으로 식사하시는게 좋습니다.
수술부위의 조직들이 회복중이기 때문에
이런 딱딱하고 질긴음식으로 인해 수술부위에 힘이 가해지면 좋지 않습니다.
처방받은 약은 반드시 규칙적으로 끝까지 복용해 주세요.
간혹 통증이 없어서 복용을 멈추는 분들이 있는데
계속해서 복용하시는 것은 회복과 치료에 도움이 되니
꼭 끝까지 드셔야합니다.
모두가 노력해 식립한 만큼 좋은 치료 결과를 위해
회복기간 중 흡연은 절대 하시면 안됩니다! 금연 부탁드려요~


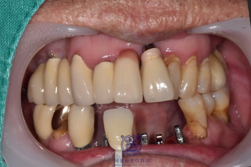
왼쪽 위 역시 가장 이상적인 위치에 성공적으로 임플란트를 식립하였습니다.
다행히 수술 후 지혈도 잘 되시고 회복하는 과정에도
환자분이 지시에 잘 따라주셔서 잇몸도 예쁘게 아물었습니다.
환자분마다 차이가 있지만 통상적으로
3~6개월간 임플란트가 뼈에 단단하게 굳는 기간을 가진 후
보철을 준비하게 됩니다.
아래 앞니는 6개의 치아를 안정적으로 유지할 수 있는
견고한 4개의 뿌리를 식립하였고
왼쪽 위는 큰어금니 다음으로 중요한 역할을 수행할 작은
어금니에 맞는 사이즈로 식립하였습니다.
치료 중간중간 다른 치아를 위해서도 스케일링과 잇몸치료를 받으시면서
꾸준히 내원해주셨습니다.
이렇게 환자분도 많이 노력해주신 덕분에
초기 고정이 잘 나와 임플란트가 단단하게 잘 굳었고,
성공적으로 보철까지 잘 마무리 해드렸습니다.

앞으로 새로 할 보철은 깨끗한 색이였으면 한다고 하셔서
앞니는 조금 밝은 색으로 진행하게 되었습니다.
아래 컬러에 맞춰 기존에 있는 보철들도 추후 차례대로 교체하기로하셨습니다.
앞니는 기능적이면도 있지만 심미적인 측면이 매우 중요하기 때문에
최대한 환자분에게 적합한 형태로
환자분의 의견을 적극 반영하여 제작하고 있습니다.

이전의 브릿지 보철은 공간을 꽉 채우는 느낌으로 제작되어
이가 너무 길어보이는 느낌이 있어
이번에는 볼륨을 통해 치아가 길어보이지 않게 제작했습니다.
실제로 치아가 보이는 부분은 이 앞의 보철과는 다르게
짧게 표현되어 환자분이 아주 만족스러워하셨습니다.
더불어 뭉툭하고 긴 치아표면으로 인해 양치가 어려웠지만
이번 디자인은 치아가 볼륨을 통해 나눠져 있어
양치하시기도 훨씬 수월하시다고 합니다.

계속 흔들리고 아팠던 아래 앞니와,
없어서 불편했던 왼쪽 위의 임플란트를 마무리하고
그동안 내내 불편했던 다른 곳의 잇몸 문제도 해결되어 기쁘게
아내분과 웃는 모습을 보며 저희 의료진도 참 기뻤답니다.
어렵게 치료해주신만큼 관리도 잘하고,
6개월마다 정기검진을 오시기로하셨습니다.
다른 치아들도 오래 오래 쓰실 수 있도록 더욱더 세심하게 관리해드릴 예정입니다.
고덕동 치과 앞니 임플란트 잘하는 곳 찾고 계셨거나
과잉진료 없이 꼼꼼하게 임플란트 잘하는 곳 찾고 계셨다면 아래 번호를 클릭하셔서 연락주세요.
가능한 빠른 안내를 도와드리겠습니다.
디지털장비를 활용한 바른 진료를 통해 정성을 다하는 서울바르디치과입니다.
안전하고 통증을 최소화 하는 무섭지 않은 치과를
찾고 계시다면 부담없이 아래 번호를 클릭하셔서 연락주세요.
편안하고 가능한 빠른 안내를 도와드리겠습니다^^
| 안내: 02-481-4278(모바일에서 클릭 시전화로 연결됩니다.) |
저희를 믿고 찾아와 주셔서 감사합니다.
바르고 편안한 진료로 보답하겠습니다.
