아카이브 요약
이 페이지의 역할
서울바르디치과의원의 네이버 블로그 원문을 보존한 아카이브 페이지입니다. 3D 네비게이션 임플란트 카테고리의 하남 미사 치과 발치 후 당일 임플란트가 가능합니다. 글을 통해 병원의 한국어 정보 제공 방식과 진료 관련 안내 톤을 확인할 수 있습니다.
원문 검증
필요하면 원문 블로그와 병원 프로필로 바로 이동해 문맥을 다시 확인할 수 있습니다.
출처 아카이브 열기아카이브된 블로그 글
서울바르디치과의원 · Naver Blog
안녕하세요! 바르고 정직한 진료를 시행하는 서울바르디치과 장태현 원장입니다. 오늘은 하남 미사 치과에서 발치 후 당일 임플란트를 식립한 환자분 케이스를 소개해 드리겠습니다. 이빨 상태 확인하러 왔어요 다른 치과 다니는데 옮기고 싶어서요. 23년 7월 5일 환자분을 처음 만나게 되었습니다. 이전에 다른...
게시일
2024년 4월 4일
원문 기준으로 확인된 발행일입니다.
카테고리
3D 네비게이션 임플란트
원문 블로그 카테고리를 정리해 함께 표시합니다.
이미지 수
7
현재 아카이브에 연결된 이미지 수입니다.
아카이브 요약
서울바르디치과의원의 네이버 블로그 원문을 보존한 아카이브 페이지입니다. 3D 네비게이션 임플란트 카테고리의 하남 미사 치과 발치 후 당일 임플란트가 가능합니다. 글을 통해 병원의 한국어 정보 제공 방식과 진료 관련 안내 톤을 확인할 수 있습니다.
원문 검증
필요하면 원문 블로그와 병원 프로필로 바로 이동해 문맥을 다시 확인할 수 있습니다.
출처 아카이브 열기안녕하세요!
바르고 정직한 진료를 시행하는
서울바르디치과 장태현 원장입니다.
오늘은 하남 미사 치과에서
발치 후 당일 임플란트를 식립한 환자분 케이스를
소개해 드리겠습니다.
이빨 상태 확인하러 왔어요
다른 치과 다니는데 옮기고 싶어서요.
23년 7월 5일 환자분을 처음 만나게 되었습니다.
이전에 다른 치과에서 치료를 받으셨지만
계속 불편하고 불만족스러우셨다고..
왜? 불편한지 원인이 확인이 되어야지
문제점을 해결해 드릴 수 있는데요.
어떤 부위가 불편하신지
검사부터 진행하였습니다.

23.07.06
전반적으로 잇몸이 조금씩 내려간 부분은 있었지만
제일 문제가 되는 부분은 왼쪽 위였습니다.

23.07.06
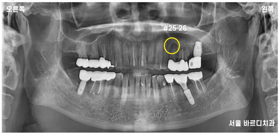
파노라마 전체 사진상으로도
좋아 보이지 않아
자세히 관찰할 수 있는
작은 x-ray를 한 장 더 찍어 보았습니다.
노랗게 동그라미 친 부분이
치아 뿌리 끝에 염증을 의미합니다.
이미 치료를 받은 치아에 염증이 생겨
주변 뼈를 녹이고 있는 상태
옆에 치아도 좋지 않은 것은 마찬가지였습니다.
충치가 심해 삭제한 치아 양이 많았거나
부러진 치아 부위가 넓었거나
어떤 원인이든 남은 치아의 양 부분이 부족하면
기둥을 세워 보강 후 보철을 하게 되는데요.
이미 기둥으로 보강까지 해서 치료를 하신 상태였습니다.

23.07.06
구강 내 사진입니다.
눈으로 보이는 부분에서도
좋지 않은 것은 마찬가지..
하남 미사 치과에서는
자연치아를 살리는 것을 추구하기 때문에
3단계의 단계적 검사 방법을 사용했습니다.
안타깝지만 뽑아야 했는데요.

환자분께 검사 결과를 자세하게 설명하며
발치가 필요함을 설명드렸습니다.
여기는 검사가 자세해서
믿음직스러워요.
뽑아야 하는데 이렇게 된 거
빨리 수술받고 싶어요
환자분이 불편감을 호소하고 계셔서
일주일 뒤로 바로 수술 약속을 잡아드렸습니다.
일반적으로는 발치 후 잇몸이 아무는 기간이
한두 달 정도 소요됩니다.
하남 미사 치과에서는
내비게이션 임플란트를 진행하는데요.
▼자세한 글 보러 가기▼
네비게이션 과정을 통해
발치 후 기다리는 시간을 아낄 수 있었습니다.

23.07.11
수술 당일 발치를 진행하고
x-ray를 찍었습니다.
남아있는 치아 뿌리는 없는지?
눈으로 1차 확인하였지만
한 번 더 안전한 과정을 거친 후 수술을 진행

23.07.11
발치 후 당일 임플란트 식립 후 사진입니다.

23.07.11
디지털 장비를 이용하여
수술 중간중간 재차 확인
안전하게 발치 후 당일 임플란트가 가능했습니다.
▼치과 위치 확인▼
디지털 장비를 사용한 꼼꼼한 분석으로
당일 임플란트가 가능한 서울 바르디 치과!
5호선 상일동역에 치과가 위치합니다.
| 예약 전화하러 가기 |
|---|
| 02-481-4278 |
하남 미사 치과에서는 처음 내원 시
자세하게 구강 상태를 기록해 놓는데요.
한 분당 30분 정도의 진단 시간이 소요됩니다.
그 시간에 다른 환자분을 볼 수도 있지만
이렇게까지 하는 이유는
환자분들께 최선의 치료 결과를 내기 위해서입니다.
처음 진단이 잘못되면
치료 결과는 완전히 달라집니다.
꼼꼼하고 자세한 진단이 이루어질 수 있도록
예약 후 내원 부탁드립니다.
▼영상으로 요약▼
오늘은 발치와 동시에 수술을 진행한
환자분의 케이스를 소개해 드렸습니다.
앞으로도 블로그를 통해 자주 소통하겠습니다.
궁금하신 점은 언제든지 블로그 댓글을 통해 남겨주세요.
대표원장 장태현이었습니다!!
| 본 게시물은 의료광고 법 제56조 1항을 준수하여의료 정보 제공 및 병원 홍보 목적으로 서울 바르디 치과에서 직접 작성하였습니다.제공된 정보는 참고만 하실 것을 권유 드리며 증상 파악 및 정확한 관리 방법은 의료기관에 내원 후 의료진을 통해 안내받으시길 바랍니다.치과에서 진행되는 모든 시술 / 수술은 개인에 따라 (염증, 출혈, 부기 등) 가능성이 있습니다.사전에 의료진과 충분한 상담을 통해 결정하시길 바랍니다.게시물의 치료 사례는 실제 본원에서 치료를 마친 환자분들의 동의하에촬영되었으며 전, 후 사진은 동일 조건에서 촬영되었습니다. |
#하남미사치과 #발치후당일임플란트