아카이브 요약
이 페이지의 역할
서울바르디치과의원의 네이버 블로그 원문을 보존한 아카이브 페이지입니다. 3D 네비게이션 임플란트 카테고리의 상일동 임플란트 상악동 거상술을 동반한 수술 증례 글을 통해 병원의 한국어 정보 제공 방식과 진료 관련 안내 톤을 확인할 수 있습니다.
원문 검증
필요하면 원문 블로그와 병원 프로필로 바로 이동해 문맥을 다시 확인할 수 있습니다.
출처 아카이브 열기아카이브된 블로그 글
서울바르디치과의원 · Naver Blog
안녕하세요 디지털 장비를 사용한 정확한 진료를 추구하는 서울바르디치과 대표원장 장태현입니다. 상악동 거상술? 이건 또 뭐야~? 치아가 빠진 것도 속상한데 상악동 거상술까지 해야 한다니... 오늘 제 글을 찾아오신 환자분들은 들어보지도 못한 시술까지 추가되어 당혹스러움에 오셨을 건데요. 상일동 임플란트 상...
게시일
2024년 4월 6일
원문 기준으로 확인된 발행일입니다.
카테고리
3D 네비게이션 임플란트
원문 블로그 카테고리를 정리해 함께 표시합니다.
이미지 수
15
현재 아카이브에 연결된 이미지 수입니다.
아카이브 요약
서울바르디치과의원의 네이버 블로그 원문을 보존한 아카이브 페이지입니다. 3D 네비게이션 임플란트 카테고리의 상일동 임플란트 상악동 거상술을 동반한 수술 증례 글을 통해 병원의 한국어 정보 제공 방식과 진료 관련 안내 톤을 확인할 수 있습니다.
원문 검증
필요하면 원문 블로그와 병원 프로필로 바로 이동해 문맥을 다시 확인할 수 있습니다.
출처 아카이브 열기안녕하세요
디지털 장비를 사용한 정확한 진료를 추구하는
서울바르디치과 대표원장 장태현입니다.
상악동 거상술?
이건 또 뭐야~?
치아가 빠진 것도 속상한데
상악동 거상술까지 해야 한다니...
오늘 제 글을 찾아오신 환자분들은
들어보지도 못한 시술까지 추가되어
당혹스러움에 오셨을 건데요.
상일동 임플란트 상악동 거상술을 동반한
수술 증례에 대하여 소개해 보겠습니다.

22.12.03
왼쪽 위 임플란트 심고 싶어서 왔어요.
상악동 거상술인가?
뼈를 만들어야 한다는데 다른 병원에서는 못한대요.
처음 저희 병원을 방문하셨을 때
말씀하셨던 내용입니다.

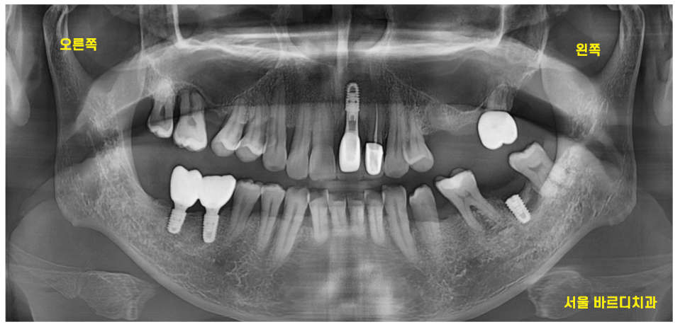
22.12.03
파노라마 사진상에서도 매우 얇아 보였습니다.


23.04.15
평면적인 정보 말고
앞뒤 좌우 3차원적인 자세한 분석을 위해
ct 촬영을 시행
디지털 기기의 분석 결과
3mm 정도의 아주 얇은 뼈가 확인되었습니다.
어금니 임플란트를 심기 위해서는
최소 8~10mm의 길이가 필요합니다.
어느 정도로 부족한지 감이 잡히시나요~?
게다가 상악동 공간에 염증까지...
비염이 심해서 생긴 것으로 추정
이비인후과 치료도 계속 받고 계신다 하셨어요.

상일동 임플란트 치료를 위해
부족한 잇몸뼈를 보충해 주는 수술이 필요했습니다.
이것이 바로 상악동 거상술인데요.
상악동이라는 구조물을 들어 올려
뼈이식을 하는 거죠
상악동 부분에 염증이 있으면
임플란트 예후에 좋지 않기 때문에
이비인후과 진료 협진을 통해
비염 치료를 먼저 하시고 수술을 하게 되었습니다.
수술 당일 서울 바르디 치과도
감염관리에 만반의 준비를 하고 진행하였습니다.
▼감염관리 시스템 확인하기 ▼
상악동 거상술?
부족한 잇몸뼈 어떻게 만들어주나요?
얇은 뼈가 남아있는 상악동에
뼈이식을 하는 방법은 2가지가 있습니다.
뼈를 넣는 경로에 따라서 구분하게 됩니다.
x-ray 검사 등을 통해
정해지게 되는데..
위 환자분은 그중에서 Crestal이라고
불리는 수술법으로 진행하였습니다.
상악동 거상술 치조정 접근 방식 (Crestal)
치조정이 무엇이냐?
임플란트를 심기 위해서는
뼈에 구멍을 뚫어 진행하게 됩니다.
그래서 임플란트 = 나사 박는다
표현하기도 하는데요.

뚫어놓은 구멍을 통해
부족한 뼈를 이식하여 보충해 주는 방법입니다.
이 방법은 남은 뼈가
어느 정도는 남아있을 때 선택을 하게 됩니다.
뼈가 정말 없을 때 사용하는
수술 방법은 다음 시간에 소개해드릴게요~
구멍을 통해 뼈 이식을 하기 때문에
잇몸도 크게 절개하지 않아도 되고
회복 속도도 빠릅니다.
아 참..! 뼈에 구멍을 뚫는다고 해서
아프지 않을까 걱정하시는 분들이 계시는데요.
마취가 제일 불편하고 수술은 전혀 아프지 않습니다!

23.05.20
상악동 거상술을 동반한
상일동 임플란트 완료 사진입니다.

뼈가 월드컵 경기장 모양처럼
돔 형태로 이식이 된 게 확인됩니다.
이제 임플란트가 뼈에 잘 붙기를
기다리는 시간만 남았습니다.
환자분에 따라 치유 기간은 다르지만
상악동 거상술을 한 경우 적어도 4개월,
길게는 6~8개월까지의 시간을 기다립니다.

수술 전후 차이 한 장으로 보여드릴게요~
뼈가 이식된 것이 보이시죠?
상악동 거상술 수술이 잘 되었습니다.
4개월 뒤의 기다림이 지나고..

임플란트가 뼈와 잘 붙었는지
검사해 주는 기계를 사용하여 확인하였습니다.
(바르디 치과는 어떤 치료이든
정확한 디지털 기계를 사용해 확인합니다.)
이제 완성해도 되겠네요.
상일동 임플란트의 끝은
씹을 수 있는 머리를 만들어줘야 합니다.


23.11.27


23.11.27
디지털 장비를 사용해
구강 상태를 그대로 재현했습니다.
그대로 입안 상태를 사진 찍듯 구현하기 때문에
오차 없이 보철을 만들 수 있습니다.
프로그램을 사용해
보철을 만들어줍니다.

환자 개개인별로 맞춤형 보철물을 제작하는 것으로
치료가 완료
그동안 어금니가 없어서 불편하셨을 텐데
식사하실 수 있겠어요.
임플란트를 오래 사용하기 위해
이제 관리하시는 일만 남았습니다.
오늘은 상일동 임플란트 상악동 거상술을 동반한 수술 증례
환자분을 만나보았습니다.
▼치과 위치▼
상일동 임플란트 디지털로 진료하는
서울바르디치과
상일동역 5호선에 위치합니다.
임플란트 처음부터 완성까지
▼디지털로 진행하는 바르디 치과 예약하러 가기 ▼
02-481-4278
참으로 신기하지 않나요?
장비의 발전으로 디지털 임플란트 치료가 가능하다는 것이
진료시간
월~금 10:00 ~ 19:00
토요일 09:30 ~ 13:00
점심시간 13:00 ~ 14:00
환자 한 분당 30분의 진단 시간이 소요되기 때문에
예약을 해주시고 방문하시면 감사하겠습니다.
블로그를 통해 소통하려고
주말에 열심히 작성해 보았습니다.
궁금하신 점은 댓글로 달아주세요~!
답글 달아드리겠습니다!!
#상일동임플란트 #서울바르디치과