아카이브 요약
이 페이지의 역할
서울바르디치과의원의 네이버 블로그 원문을 보존한 아카이브 페이지입니다. 3D 네비게이션 임플란트 카테고리의 치아 쪼개짐으로 상악동 거상술 동반한 임플란트 수술 글을 통해 병원의 한국어 정보 제공 방식과 진료 관련 안내 톤을 확인할 수 있습니다.
원문 검증
필요하면 원문 블로그와 병원 프로필로 바로 이동해 문맥을 다시 확인할 수 있습니다.
출처 아카이브 열기아카이브된 블로그 글
서울바르디치과의원 · Naver Blog
안녕하세요! 바르고 정직한 진료를 시행하는 서울바르디치과 장태현 원장입니다. 지난 시간에는 치조정 방식을 이용한 상악동 거상술 방법을 소개해 드렸는데요. ▼안 보신 분 클릭하세요▼ 오늘은 또 다른 방법인 측방 접근법 환자분 케이스입니다. 치아 쪼개짐으로 상악동 거상술 동반한 임플란트 수술 3분만 집중해서 읽...
게시일
2024년 4월 8일
원문 기준으로 확인된 발행일입니다.
카테고리
3D 네비게이션 임플란트
원문 블로그 카테고리를 정리해 함께 표시합니다.
이미지 수
9
현재 아카이브에 연결된 이미지 수입니다.
아카이브 요약
서울바르디치과의원의 네이버 블로그 원문을 보존한 아카이브 페이지입니다. 3D 네비게이션 임플란트 카테고리의 치아 쪼개짐으로 상악동 거상술 동반한 임플란트 수술 글을 통해 병원의 한국어 정보 제공 방식과 진료 관련 안내 톤을 확인할 수 있습니다.
원문 검증
필요하면 원문 블로그와 병원 프로필로 바로 이동해 문맥을 다시 확인할 수 있습니다.
출처 아카이브 열기안녕하세요!
바르고 정직한 진료를 시행하는
서울바르디치과 장태현 원장입니다.
지난 시간에는 치조정 방식을 이용한
상악동 거상술 방법을 소개해 드렸는데요.
▼안 보신 분 클릭하세요▼
오늘은 또 다른 방법인 측방 접근법 환자분 케이스입니다.
치아 쪼개짐으로 상악동 거상술 동반한 임플란트 수술
3분만 집중해서 읽어주세요~!
왼쪽 위에가 불편해요.
확실히 모르겠는데 우지끈하더니 그다음부터 불편해요.
치료를 계속 받고 계신 환자분의 말씀
말씀만 들어도..
아 .. 안돼...!!
예상을 조금 했는데요.

2024.02.14
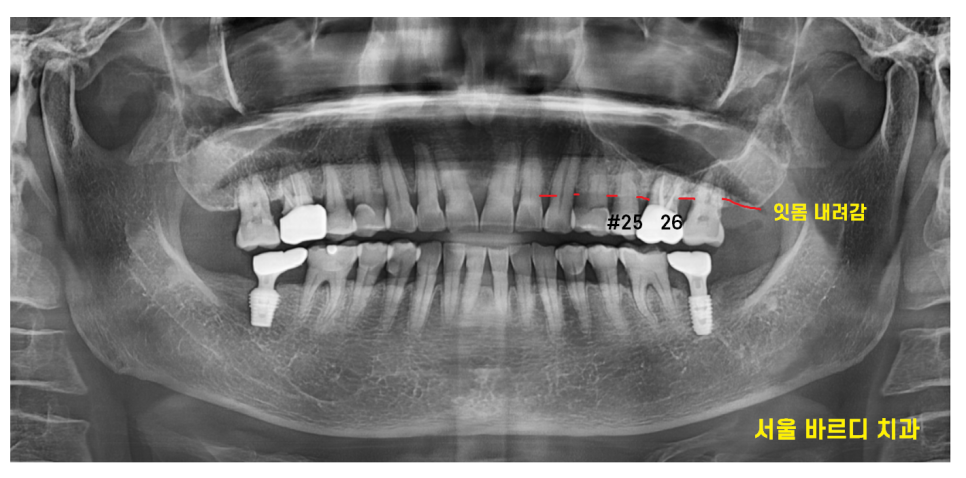
x-ray 먼저 촬영해 보니
잇몸이 전반적으로 내려간 풍치가 발견되었습니다.
불편하신 원인을 파악하기 위해
2차 검사를 시행
입안 검사를 해보았습니다.

치아가 반으로 쪼개졌네요.

제발 아니길 바랐는데ᅲᅲ
예상한 게 딱 맞았습니다.
이런 경우가
치아가 쪽이 나간 경우입니다.
주로 딱딱한 음식을 잘못 씹었을 때
치아 쪼개짐이 발생하는데요.
이건 치아가 반으로 분리된 거라
발치 후 임플란트 계획을 잡았습니다.

2024.02.14
치아 쪼개짐 옆에 잇몸에서도 농이 나오네요
농 = 고름
치아 잇몸 뼈를 계속 녹이는 상황이라
문제가 되는 치아 2개를 발치 후 임플란트 하기로 하였습니다.

2024.02.14
임플란트를 위해 ct 촬영을 시행했습니다.
치아 뿌리 끝과 상악동 구조물이 너무 가깝네요.

2024.02.14
지난 시간에 임플란트를 심기 위해서는
최소 810mm 길이가 필요하다고 말씀드렸죠?
부족한 길이만큼 상악동을 들어 올려
뼈 이식 후 임플란트를 해야겠네요.
진단 결과 남아있는 뼈의 두께도 얇고
치아 뼈 폭도 좁아서 Lateral 방법으로 진행하기로 상담 드렸습니다.
치아 쪼개짐으로 발치 후 측방 접근법 (Lateral)을 이용한 상악동 거상술 시행
측방 접근법 (lateral)..?
이 방법 역시 상악동 거상술입니다.
같은 상악동을 들어 올리는 것이지만
남아있는 뼈 상황을 보고 수술 방법을 다르게 하는데요.
남아 있는 잇몸뼈가 크게 없을 때
많은 양의 뼈이식이 필요할 때 lateral 방법을 주로 사용합니다.
측방 접근
옆쪽으로 접근한다는거죠~

잇몸쪽에 작은 구멍을 뚫고
상악동 막을 직접 보면서 들어 올리는 방법입니다.
crestal 치조정 접근 방법에 비해
한 단계 업그레이드 수술인데요.
상악동 막이 굉장히~~ 얇아서
찢어지기 쉽기 때문입니다.
삶은 계란 먹다 보면
흰색 투명한 막을 벗기고 먹잖아요~?
그 정도로 얇습니다 ㅎㅎ
그러다 보니
임플란트 수술 중 가장 고난도 수술이고
숙련된 사람만 시행할 수 있는데요.

24.02.20
서울바르디치과는 디지털 장비를 사용하여
수술을 예측, 모의 수술이 가능하기 때문에
안전하게 수술이 가능합니다.
만들어야 하는 뼈의 양이 많을 때 측방 접근법!!
수술 부위를 직접 볼 수 있고
뼈를 많이 만들 수 있다는 장점이 있지만
치료 후 붓기나 치유 기간이 오래 걸리기도 합니다.
때문에 수술 후 1일 뒤 , 일주일 뒤 , 한달 후
지속적으로 수술 후 관리를 해드리고 있습니다.

24.02.20
수술 후 사진입니다.
상악동을 올리면서 뼈이식을 진행하여
돔 형태로 잘 만들어진 것이 확인됩니다.
이제 기다렸다가 완성하는 일만 남았습니다.
▼치과 위치 확인▼
오늘은 치아 쪼개짐으로 임플란트 수술한 환자분을
소개해 드렸습니다.
상악동 거상술과 같이
고난도 임플란트 수술이 가능한 서울바르디치과
5호선 상일동역에 위치합니다.
| ☎예약 전화하러 가기 |
|---|
| 02-481-4278 |
한 분 한 분 진심을 다해 진료를 하고 있어
예약 없이 내원 시 대기가 있을 수 있습니다.
기다리시지 않도록
예약 후 내원 부탁드려요~!
▼영상으로 요약▼
다음 글에서도 이해할 수 있는 글을
작성해 보도록 하겠습니다.
대표원장 장태현이었습니다!!
| 본 게시물은 의료광고 법 제56조 1항을 준수하여의료 정보 제공 및 병원 홍보 목적으로 서울 바르디 치과에서 직접 작성하였습니다.제공된 정보는 참고만 하실 것을 권유 드리며 증상 파악 및 정확한 관리 방법은 의료기관에 내원 후 의료진을 통해 안내받으시길 바랍니다.치과에서 진행되는 모든 시술 / 수술은 개인에 따라 (염증, 출혈, 부기 등) 가능성이 있습니다.사전에 의료진과 충분한 상담을 통해 결정하시길 바랍니다.게시물의 치료 사례는 실제 본원에서 치료를 마친 환자분들의 동의하에촬영되었으며 전, 후 사진은 동일 조건에서 촬영되었습니다. |
#치아쪼개짐 #측방접근법 #상악동거상술