아카이브 요약
이 페이지의 역할
서울바르디치과의원의 네이버 블로그 원문을 보존한 아카이브 페이지입니다. 치아 미백 카테고리의 강동구 치아 미백 과정 확인하고 환한 미소로 웃어봐요 우리 글을 통해 병원의 한국어 정보 제공 방식과 진료 관련 안내 톤을 확인할 수 있습니다.
원문 검증
필요하면 원문 블로그와 병원 프로필로 바로 이동해 문맥을 다시 확인할 수 있습니다.
출처 아카이브 열기아카이브된 블로그 글
서울바르디치과의원 · Naver Blog
안녕하세요~ 서울 바르디치과의 대표원장 장태현입니다. 깨끗하고 하얀 미소 보기만 해도 절로 웃음이 지어지죠~ 치아가 하얗게 보이면 청결하고 깨끗한 이미지로 생각한다고 합니다. 누런이라서 고통받으셨던 분들 강동구 치아 미백 과정 확인하고 환한 미소로 웃어봐요 우리 치아 미백 무엇인가요? 쉽게 설명하...
게시일
2024년 4월 16일
원문 기준으로 확인된 발행일입니다.
카테고리
치아 미백
원문 블로그 카테고리를 정리해 함께 표시합니다.
이미지 수
9
현재 아카이브에 연결된 이미지 수입니다.
아카이브 요약
서울바르디치과의원의 네이버 블로그 원문을 보존한 아카이브 페이지입니다. 치아 미백 카테고리의 강동구 치아 미백 과정 확인하고 환한 미소로 웃어봐요 우리 글을 통해 병원의 한국어 정보 제공 방식과 진료 관련 안내 톤을 확인할 수 있습니다.
원문 검증
필요하면 원문 블로그와 병원 프로필로 바로 이동해 문맥을 다시 확인할 수 있습니다.
출처 아카이브 열기
안녕하세요~
서울 바르디치과의 대표원장 장태현입니다.
깨끗하고 하얀 미소
보기만 해도 절로 웃음이 지어지죠~
치아가 하얗게 보이면
청결하고 깨끗한 이미지로 생각한다고 합니다.
누런이라서 고통받으셨던 분들
강동구 치아 미백 과정 확인하고 환한 미소로 웃어봐요 우리
치아 미백 무엇인가요?
쉽게 설명하여 염색과 같은 원리입니다.
본연의 치아 색깔을 바꾸는 것이 아닙니다.
현대인의 필수품, 커피
안 마시는 사람은 거의 없죠~
커피나 홍삼, 카레 등에 의해 누렇게 변한 내 치아를
원래 색깔로 회복해 주는 진료가 강동구 치아미백입니다.
크게 2가지로 나뉘게 되는데
1️⃣집에서 스스로!
2️⃣치과에서 전문가 도움을 받아
강동구 치아미백에서는 치과에서 하는
전문가 치료입니다.
스스로 환자분이 해야 하는 자가 미백은
사용하는 약제의 농도가 낮습니다.
때문에 효과를 보려면 길게 사용을 해야 하는데요.
고농도의 미백 재료를 사용하여
빠르고 확실한! 효과를 얻을 수 있습니다.
강동구 치아미백 과정

2020.09.24
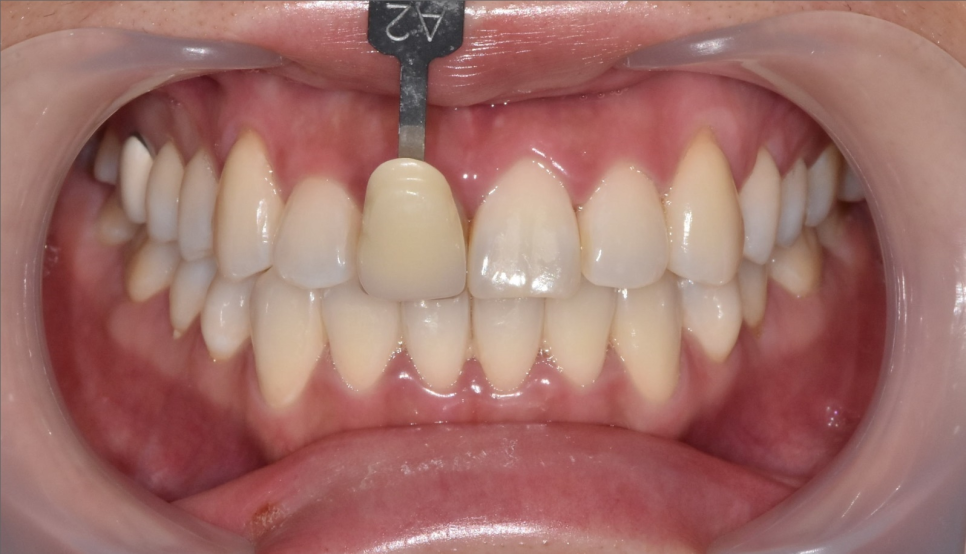
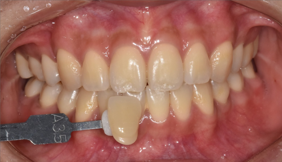
1️⃣미백 전 사진을 찍습니다.
현재 치아 색깔을 확인하는 중요한 과정입니다!
미백 전후 효과를 비교해 보기 위해서 필수입니다!

2020.09.20
2️⃣ 잇몸 보호 약제를 바른다.
파란 색깔로 잇몸이 덮여져 있죠~
"잇몸 댐"이라고 표현하는데요.
댐을 건설하는 이유가 물이 넘치지 말라고
쌓아 주는 거잖아요.
똑같은 원리입니다.
잇몸 보호를 위해 약제 도포 전 시행해 주어요.
미백 약제가 과산화수소 재질입니다.
그래서 잇몸에 닿게 되면 하얗게 변색되기도 하고
다칠 수 있기 때문이죠!
3️⃣미백 약제 도포 후 광중합

이것이 미백 기계입니다.
크기가 작아서 환자분들이 편안해 하세요.

치아에 약제가 흡수될 때까지 충분히 기다려주면
강동구 치아미백 치료 끝~!!!
4️⃣결과 확인
제일 중요한 일만 남았습니다.
얼마나 밝아졌는지 확인하는 일인데요.
▼결과 확인하기▼

2020.09.24
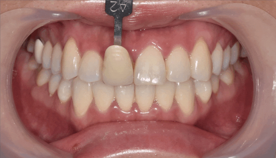
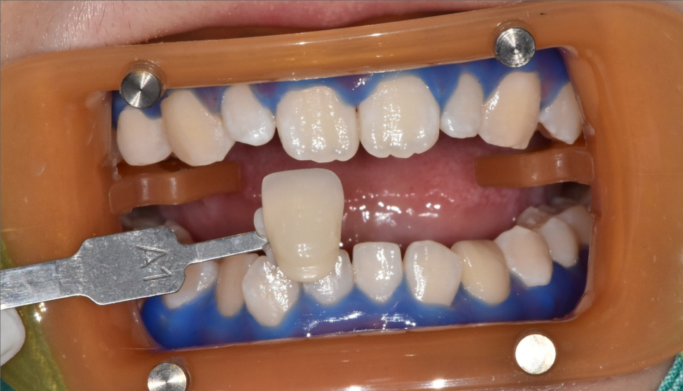
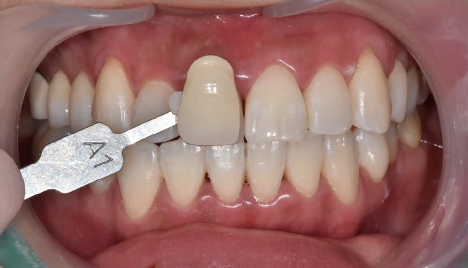
치료 전 A2의 색깔에서

2020.09.24
치료 후 A1 색깔로 바뀌었습니다.
한 단계 정도 밝아졌네요~
일반적으로는 지금 색깔보다 약간 밝아지는 정도라고
설명드리지만
이것 역시 개인차가 존재합니다.
머리 염색도 어떤 분은 빠르게 되고
잘 안 먹는 분이 있듯이 치아도 똑같습니다.

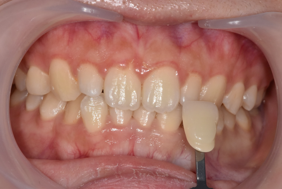
2020.09.24
강동구 치아 미백 치료 전 색깔을 기억해두세요.
3
2
1

2020.09.24
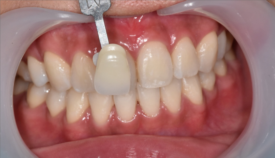
wow
조명 킨 거 아닙니다!!!
1회 미백만으로도 밝아지신 환자분이에요.
평균적으로는 2-3회 정도 치료를 진행하지만
결과에 따라 1회로 종결되기도 합니다.
정확한 것은 병원에 방문해 주셔서 상담해 주세요~!
심미적인 치료를 중시하는 바르디 치과는
상일동역 5호선에 위치합니다.
방문하시기 전에 알아두셔야 할 것이 있습니다.
미백치료 오해
"연예인처럼 하얀 치아를 원해요"
많은 환자분들께서 말씀하시는데요.
미백으로는 한계가 존재합니다.
하고 나서도 커피, 홍차 등 색깔이 진한 음식을 먹으면
시간이 흐르고 원래 색깔로 돌아오기도 하고요.
연예인처럼 하얗기 위해서는
치아를 씌워주는 보철 치료를 해야 하는데..
예뻐지기 위해
생니를 깎아 씌우기에는 리스크가 커서
추천드리지 않습니다.
강동구 치아 미백 밝아지는 데 한계는 있지만
하얗게 되는 것은 사실이다.
한 문장으로 정리하고 마무리 짓겠습니다.
▼예약하러 가기▼
☎02-481-4278
미백 진료는 1회당 1시간 정도 소요되는 긴 작업입니다.
반드시 예약 후 방문해 주세요~!
대표원장 장태현이었습니다!
| 본 게시물은 의료광고 법 제56조 1항을 준수하여의료 정보 제공 및 병원 홍보 목적으로 서울 바르디 치과에서 직접 작성하였습니다.제공된 정보는 참고만 하실 것을 권유 드리며 증상 파악 및 정확한 관리 방법은 의료기관에 내원 후 의료진을 통해 안내받으시길 바랍니다.치과에서 진행되는 모든 시술 / 수술은 개인에 따라 (염증, 출혈, 부기 등) 가능성이 있습니다.사전에 의료진과 충분한 상담을 통해 결정하시길 바랍니다.게시물의 치료 사례는 실제 본원에서 치료를 마친 환자분들의 동의하에촬영되었으며 전, 후 사진은 동일 조건에서 촬영되었습니다. |
#강동구치아미백