안녕하세요!
바르고 정직한 진료를 시행하는
서울바르디치과 장태현 원장입니다.
지난 시간에는 임플란트도 수명이 있다!
주제로 설명드렸습니다.
▼안 보신 분 읽고 오세요▼
https://blog.naver.com/implant_master/223424754649
오늘은 임플란트가 나오기 전 많이 치료하던
"브릿지"가 수명이 다한 경우입니다.
오래된 브릿지 보철 제거 후 고덕역 임플란트 교체 케이스
설명드리겠습니다.
3분만 집중해서 읽어주세요~!!

예전에 씌운 이가 흔들 흔들거리고
문제가 생겼어요

2020.09.17
사진 속 화살표 치아를 주목해 주세요.
브릿지 치료가 되어있네요.
브릿지가 뭔가요?
모르시는 분들을 위해 설명부터 드리겠습니다.
bridge = 다리라는 뜻이죠~

2020.09.17
임플란트 개발 전에는 치아가 빠졌을 때
브릿지 치료로 상실된 치아 부분을 대체하였습니다.
양옆에 치아에 걸어서
치아가 빠진 부분을 채워주는 거죠~
단점은 양옆의 내 치아
생니를 깎아서 씌워야 했는데요.
오래 쓰시더니 문제가 생겼습니다.
오래된 브릿지 보철의 제거가 필요해 보입니다.

2020.09.17
정상적인 잇몸뼈는 치아머리 부위까지
채워져 있어야 합니다.
잇몸뼈가 많이 내려가서
치아를 붙잡고 있는 게 없다 보니
흔들흔들했는데요.

2020.09.17
4개가 연결되어 있지만
검사 후 잇몸뼈가 남아있는 부분은
그대로 쓰시기로 했습니다.
연결된 오래된 브릿지 보철을 잘라서
뽑을 건 뽑고
살릴 수 있는 것은 살려서 진행

2021.01.05
브릿지 제거 후
고덕역 임플란트 1개 식립하였습니다.
4개 치아가 있던 부분이지만
환자분 상황에 맞춰
1개 임플란트만 진행하였는데요.
위에 어금니 맞닿는 치아가 없어서
2개 임플란트까지는 불필요했습니다.

21.02.04
고덕역 임플란트 수술 후 한 달 뒤 사진입니다.
아래 임플란트의 경우 평균적으로 3개월 정도의
임플란트와 내 뼈가 붙는 시간이 필요합니다.
아직은 임플란트 주변으로
부분 부분 어둡게 보이죠~
그렇다면 3개월 뒤의 사진을 보겠습니다.

2021.09.28
수술 후 3개월 뒤 뼈와 임플란트가 잘 붙어서
보철을 완성해 드렸습니다.

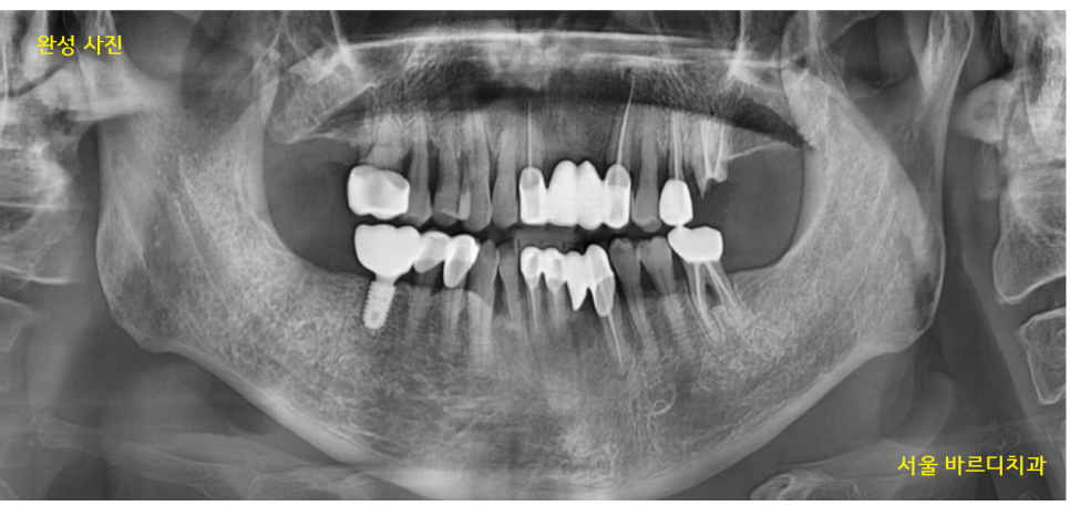
23.08.07
고덕역 임플란트 완성 사진입니다.
구강 내 사진으로 보시겠습니다~

23.08.07

23.08.07
이제 튼튼하게 심어드렸으니
관리하시면서 쓰시는 일만 남았습니다.
서울 바르디 치과에서는
환자분에 따라 개개인별로 진단을 해드립니다
정확한 것은 병원에 방문하셔서
상담받아보시길 바랍니다.
▼치과 위치 확인▼
디지털 장비를 사용한 꼼꼼한 분석으로
당일 임플란트가 가능한 서울 바르디 치과!
5호선 상일동역에 치과가 위치합니다.
| 예약 전화하러 가기 |
|---|
| 02-481-4278 |
오래된 브릿지 보철 교체가 필요할 땐
서울 바르디 치과!
▼영상으로 요약▼
오늘은 오래된 보철을
임플란트로 교체한 케이스를 보여드렸습니다.
궁금하신 점은 언제든지 블로그 댓글을 통해 남겨주세요.
대표원장 장태현이었습니다!!
| 본 게시물은 의료광고 법 제56조 1항을 준수하여의료 정보 제공 및 병원 홍보 목적으로 서울 바르디 치과에서 직접 작성하였습니다.제공된 정보는 참고만 하실 것을 권유 드리며 증상 파악 및 정확한 관리 방법은 의료기관에 내원 후 의료진을 통해 안내받으시길 바랍니다.치과에서 진행되는 모든 시술 / 수술은 개인에 따라 (염증, 출혈, 부기 등) 가능성이 있습니다.사전에 의료진과 충분한 상담을 통해 결정하시길 바랍니다.게시물의 치료 사례는 실제 본원에서 치료를 마친 환자분들의 동의하에촬영되었으며 전, 후 사진은 동일 조건에서 촬영되었습니다. |
#오래된브릿지보철 #고덕역임플란트