안녕하세요!
디지털 장비를 사용한 체계적인 진료를 시행하는
서울바르디치과 장태현 원장입니다.
이가 흔들리는 이유는
잇몸병으로 인한 것이 많습니다.
치아를 붙잡고 있는 뼈가 점점 내려가
붙잡고 있는 것이 없어지기 때문이죠~
이 글을 읽고계신 환자분도
이 흔들림 불편하지만 좀 참아보지!
생각하시진 않나요?
이 글을 끝까지 읽으시면
당장 치과에 오고싶어지실겁니다.
이 흔들림으로 발치 후 뼈이식 진행한 케이스
3분만 집중해주세요!

이가 덜렁 덜렁거리고 아주 불편해요.
23년 8월 24일 환자분을 만나뵙게되었습니다.

23.08.24
아이고...
환자분 그동안 어떻게 참으신겁니까..
치아는 잇몸뼈 안에 들어가있어야하는데,,,
한마디로 박혀있어야합니다.
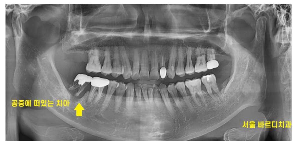
x-ray로 확인해본 결과
공중에 떠있다고 봐야할 정도입니다.
이러니 이 흔들림이 발생했죠..ㅠㅠ

23.08.24
구강 내 사진으로 확인해 보겠습니다.
문제가 되는 맨 끝 치아
금니로 씌운 것을 봐주세요~
치아 뿌리가 다 보이시죠~?
충치도 보이고..
잇몸뼈가 많이 녹은게 보입니다.
추가적으로 전반적으로 양치가 안되는것을 확인
치석과 치태가 많은 상태시네요.

23.08.24
x-ray 상에서도 잇몸뼈가 많이 녹아
정밀 진단을 위해 ct 촬영을 추가로 했습니다.
이 흔들림 증상을 못느끼셨냐 여쭤보니..
처음에는 깔짝 깔짝 흔들리더니
이제는 너무 흔들려서 불편해서 못살겠다고
오셨답니다.
진단 결과 잇몸 뼈가 거의 없었습니다.

23.08.24
치아를 뽑기 전 ct 사진입니다.
치아 주변으로 검정색 웅덩이를 보실 수 있죠?
이게 다 뼈가 녹은 부분입니다.

23.08.31
일반적으로는 임플란트와 뼈이식을 동시에 진행하지만..
뼈가 거의 없는 경우 1차적으로 뼈만 이식 후
뼈가 충분히 만들어지면
추후 임플란트 수술을 진행합니다.
이렇게 되면 치료 기간이 길어진다는 단점이 있죠.
얼마나 길어졌을지
이 글을 끝까지 읽어주세요~!!
이를 뽑는 발치 후 뼈이식을 같이 진행하였습니다.

23.10.27
발치 후 뼈이식 2개월 된 사진입니다.
아직 x-ray 검사에서 웅덩이 진 모습이 보이네요.
조금 더 기다려야겠습니다.

23.11.16
그로부터 또 한달이 지났습니다.
발치 후 뼈이식 3개월 정도 되었습니다.
아직도 웅덩이 진 모습이 보이긴 하지만..
그래도 전달에 비해서는 뼈가 만들어지고 있습니다.

23.12.30
그리고 또 한달이 지나
ct를 한번 보실까요~?
발치 후 뼈이식 4개월 뒤입니다.
아직도 웅덩이 진 모습이 보이시죠~?
완전하지는 않지만
이정도면 ct에서 뼈가 남아있는 부분으로
임플란트 수술이 가능했습니다.

23.11.16
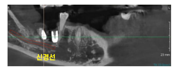
기존에 이 흔들림 자리에 임플란트를 심게되면
뼈가 남아있는 것이 거의 없어
신경선을 건드리게됩니다.
수술 후에 입술 주변 감각이 무뎌지게 되는데요.
신경 손상을 피하기 위해
기존 치아가 있는 앞쪽으로 임플란트를 심었습니다.
총 기간이요..?
발치 후 뼈이식 4개월
임플란트 수술 후 기다림..
뼈만 만드는 수술 후 4개월 동안 기다렸고
이제는 임플란트가 잘 붙기를 기다리는 시간입니다.
▼치과 위치 확인▼
디지털 장비를 사용한 꼼꼼한 분석으로
오차없는 진료를 노력합니다.
5호선 상일동역에 치과가 위치합니다.
▼또 다른 임플란트 케이스 확인 ▼
미사역 치과 건강보험 임플란트 혜택이 가능한 .. : 네이버블로그 (naver.com)
요즘은 건강보험 임플란트가 적용되어
큰 부담없이 수술이 가능한데요.
그러니까 이 글을 읽고 계신 환자분..
이가 흔들린다고 참지 마세요.
냅두다간 돈도, 시간도 2배입니다!
| 예약 전화하러 가기 |
|---|
| 02-481-4278 |
병원에 전화주시면
예약 진행해드리겠습니다.
꼼꼼하게 놓치는 부분 없이 진단해드릴께요~!
▼영상으로 요약▼
오늘은 발치와 뼈이식을 동시에 한 뒤
임플란트를 나중에 심은
환자분의 케이스를 소개해 드렸습니다.
참으면 괜찮겠지?
치아는 해당하지 않습니다.
문제를 느낄 때 바로 방문 부탁드려요!
대표원장 장태현이었습니다!!
| 본 게시물은 의료광고 법 제56조 1항을 준수하여의료 정보 제공 및 병원 홍보 목적으로 서울 바르디 치과에서 직접 작성하였습니다.제공된 정보는 참고만 하실 것을 권유 드리며 증상 파악 및 정확한 관리 방법은 의료기관에 내원 후 의료진을 통해 안내받으시길 바랍니다.치과에서 진행되는 모든 시술 / 수술은 개인에 따라 (염증, 출혈, 부기 등) 가능성이 있습니다.사전에 의료진과 충분한 상담을 통해 결정하시길 바랍니다.게시물의 치료 사례는 실제 본원에서 치료를 마친 환자분들의 동의하에촬영되었으며 전, 후 사진은 동일 조건에서 촬영되었습니다. |
#이흔들림 #발치후뼈이식