안녕하세요!
디지털 진료를 추구하는
서울바르디치과 장태현 원장입니다.
"임플란트 뼈이식까지요~????"
처음 진단을 내리다보면 흔하게 생기는 일입니다.
임플란트만 심어서
안된다는 사실을 듣게되고
절망에 빠지시는 분들을 많이 봤습니다.
"통증" 아플까봐 두려운것이 제일 큰 요인이더라고요.
과연...
고덕동 치과 임플란트 뼈이식 꼭 해야하는건가요?
3분만 집중해서 읽어주세요.

임플란트만 하면 될 줄 알았지...
뼈이식 같은건 생각치도 못했어요
꼭 해야하는거에요???
고덕동 치과를 방문해주시는
많은 환자분들이 질문을 주십니다.
이 질문에 대한 해답을 알려드릴께요~!~!
지난 시간에 임플란트 수술과정에대해 설명드렸는데요.
임플란트가 무엇인지에 대해 아셨다면
뼈이식이 무엇인지도 아셔야겠죠?

임플란트는 뼈 안에 식립하는 나사입니다.
그런데 염증이 있던 치아거나
치아를 상실한채로 너무 오래두게되면
잇몸 뼈가 부족한 경우가 있습니다.
쉽게 얘기하면 땅이 튼튼해야 나무가 잘 자라듯
임플란트를 오래 쓰기 위해서
잇몸 뼈가 튼튼한 곳에 심어야합니다.
고덕동 치과 뼈이식이 필요한 환자분
케이스를 보실까요?

23.11.10
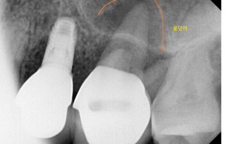
x-ray 상에서 잇몸 뼈가 녹은 경우에는
주변보다 까맣게 표시되는데요.


23.11.14
웅덩이가 진 것처럼 경계가 보이기도합니다.
좀더 자세한 분석을 위해 ct를 촬영

역시나 까맣게 녹은 부분이 관찰이 되죠?
뼈이식이 필요한 이유
임플란트를 심고나서의 예후도
진단을 할 때 중요한 부분입니다.
고덕동 치과에서는 최소 10년은 쓰실 수 있게
처음부터 제대로! 심습니다.
웅덩이 진 부분에
뼈 가루를 넣어서 보강해주는거죠~!
모든분들에게 뼈이식을 하는 것은 아니랍니다!
▼고덕동 치과 위치 확인▼
디지털 장비를 사용한 꼼꼼한 분석으로
당일 임플란트가 가능한 서울 바르디 치과!
고덕로 385 길에 위치합니다.
| 예약 전화하러 가기 |
|---|
| 02-481-4278 |
처음 진단 시 최소 3번의 단계를 거칩니다.
작은사진 -> 큰 사진 -> ct촬영
추가적으로 구강 내 사진까지 촬영할 때도 있습니다.
이렇게까지 자세하게 진단하는 이유
환자분들께 최선의 치료 방법은 없을까
고민하고 또 고민하기 때문입니다.
꼼꼼하고 자세한 진단이 이루어질 수 있도록
예약 후 내원 부탁드립니다.
▼영상으로 요약▼
오늘은 임플란트 뼈이식 꼭 해야할까?
답변에 대한 질문을 드렸습니다.
같은 임플란트를 하더라도
뼈이식을 안할 수도 있기 때문에
제일 정확한 것은 꼭 치과에 방문 바랍니다!!
대표원장 장태현이었습니다!!
| 본 게시물은 의료광고 법 제56조 1항을 준수하여의료 정보 제공 및 병원 홍보 목적으로 서울 바르디 치과에서 직접 작성하였습니다.제공된 정보는 참고만 하실 것을 권유 드리며 증상 파악 및 정확한 관리 방법은 의료기관에 내원 후 의료진을 통해 안내받으시길 바랍니다.치과에서 진행되는 모든 시술 / 수술은 개인에 따라 (염증, 출혈, 부기 등) 가능성이 있습니다.사전에 의료진과 충분한 상담을 통해 결정하시길 바랍니다.게시물의 치료 사례는 실제 본원에서 치료를 마친 환자분들의 동의하에촬영되었으며 전, 후 사진은 동일 조건에서 촬영되었습니다. |
#고덕동치과 #임플란트뼈이식