안녕하세요!
바르고 정직한 진료를 시행하는
서울바르디치과 장태현 원장입니다.
이가 빠졌는데
임플란트 꼭 해야 해요??
안 하면 어떻게 되나요??
이런 말을 환자분들께 자주 듣습니다.
그런데 말이죠.
암사동 치과
임플란트 꼭 안 해도 되는 경우가 있습니다.
이 글을 끝까지 읽으시면
궁금증을 해결해가실 수 있습니다.
정직한 치과의사가 말해주는 임플란트의 비밀
3분만 집중해 주세요!!

잠깐..!
정상적인 치아 개수는 몇 개일까요~?

사람의 치아는 총 28개입니다.
윗니 치아 14개
아래 치아 14개씩이죠.
한 악당 큰어금니 4개, 작은 어금니 4개, 앞니 6개로 구성
이때, 사랑니는 치아의 정상적인 개수에 포함되지 않습니다.
옵션이라 표현을 하는데요.
환자분에 따라 있을 수도 있고~ 없을 수도 있기 때문이죠.
때문에
1️⃣사랑니가 빠졌을 때는 임플란트를 안 해도 됩니다.
두 번째 케이스를 말씀드릴게요.
2️⃣상악 맨 끝에 치아인 경우 안 해도 될 수도 있다.
안 해도 된다! 가 아니라
환자분들에 따라 안 해도 되는 경우가 있습니다.
암사동 치과 환자분 사진을 함께 보실까요~?
- 윗니 맨 치아가 빠지고
아래 맨 끝 어금니가 물린다.

23.01.12
치아 개수가 하나가 비죠~?
오른쪽 맨 위 치아가 빠진 환자분입니다.
구강 내 사진을 보겠습니다.

#17 맨 끝 어금니가 한 개가 없네요.
이 경우에는 교합을 확인합니다.
앙~ 물어보세요.

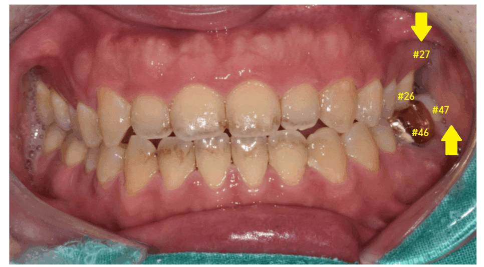
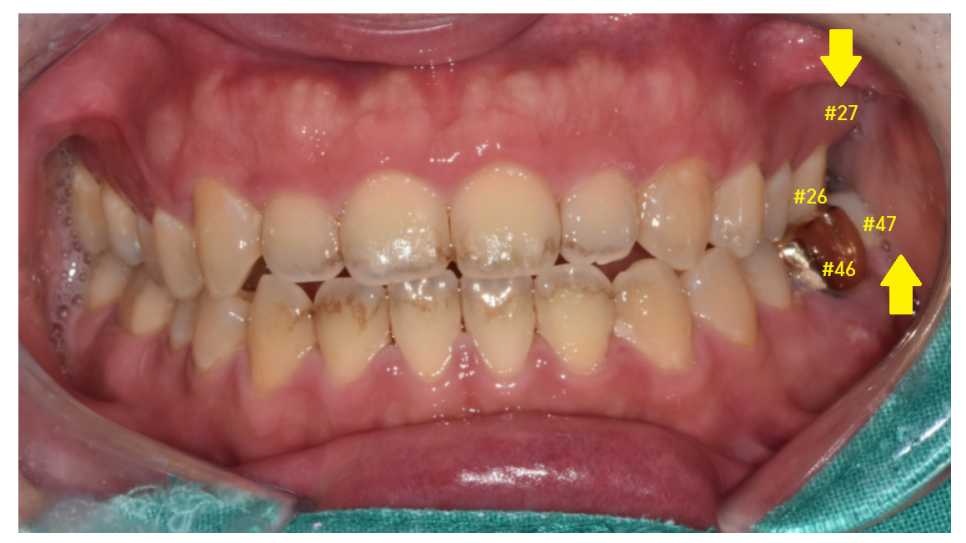
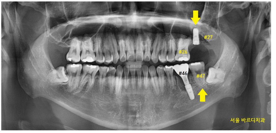
23.03.12
#47 오른쪽 아래 맨 끝에 치아가
#16 오른쪽 제 1큰 어금니와 물리네요.
#17 맨 뒤에 치아가 없지만
물리기 때문에
이 경우는 임플란트를 안 해도 됩니다.
반대의 경우를 볼까요?
- 윗니 맨 치아가 빠지고
아래 맨 끝 어금니가 안 물린다.

23.11.04
#27 맨 끝에 치아가 부러졌네요~
발치가 필요합니다.

23.11.04
구강 내 사진에서도 이가 한 개가 없죠~?
교합되는 사진을 보겠습니다.

#27 왼쪽 맨 끝 치아가 상실
#47 왼쪽 아래 맨 끝 치아가 물리는 게 없네요~
이럴 경우 맞닿은 치아가 없어서
아래 치아가 위로 쑥쑥 올라오게 됩니다.
자연치아의 손상을 방지하기 위해서라도
임플란트가 필요합니다.

24.02.22
아래 어금니를 지키기 위해서
발치 후 암사동 치과에서 임플란트를 식립하셨습니다.
마지막 세 번째 케이스를 볼까요~?
3️⃣위아래 맨 끝 치아가
짝꿍으로 없다

23.08.07
사진 속 환자분을 보겠습니다.
오른쪽 치아도 맨 끝 치아가 위아래로 발치된 상황
왼쪽도 맨 끝 위아래가 없으시네요~

23.11.04

23.11.04
이럴 경우에는 환자분 결정에 맡깁니다.
교과서적으로는 치아가 상실되면
개수대로 심으면 제일 좋겠지만
환자분 상황에 맞춰 심는 게 제일 좋은 치료라 생각합니다.
치아 개수가 부족하다 보니
씹는 힘은 약하겠지만
생활이 안될 정도는 아닙니다.

23.11.04
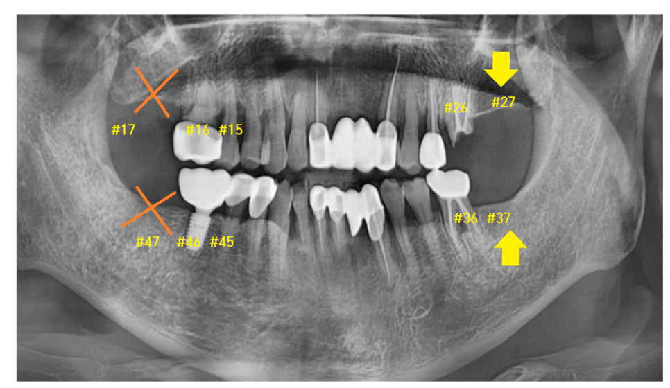
#27,37 위아래로 치아가 없는 경우에는
양쪽으로 물리는 게 없어서
환자분 결정에 맡깁니다.

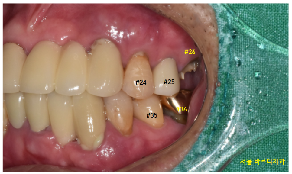
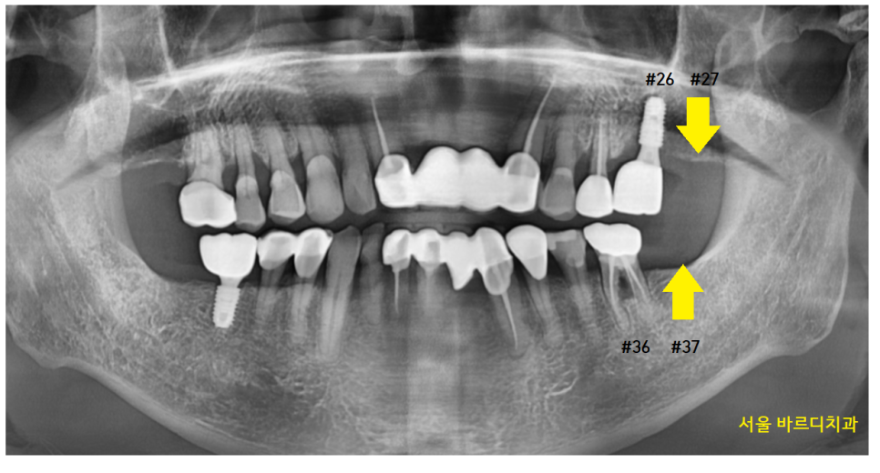
23.12.28
#36 왼쪽 아래 맞물리는 #26 왼쪽 위에 치아만
심는 것으로 치료를 종결
여기서 궁금하실 겁니다.
윗니 맨 끝에 치아 말고
다른 부위 치아는 그대로 두면 안 되나요..?
씹는데 불편하지는 않아서요..
암사동 치과 케이스 사진 한 장으로 설명드릴게요~~

23.02.12
다른 부위의 경우 양옆에 치아들이 있죠~
그러다 보니...
치아를 발치하고 그대로 두게 되면
치아가 없는 쪽으로
쓰러지게 됩니다.
그리고 매일 딱딱딱 닿던 것이 없어지니
치아가 빠진 쪽으로 솟구치기도 하고요.
다음번에 자세히 언급 드릴게요~!
오늘은 암사동 치과 임플란트 꼭 안 해도 되는
3가지 경우를 말씀드렸습니다.
▼요약▼
| 1️⃣사랑니 |
|---|
| 2️⃣윗니 맨 치아가 빠지고 아래 맨 끝 어금니가 물린다. |
| 3️⃣위아래 맨 끝에 치아가 짝꿍으로 없다 |
모든 진단은 환자분에 따라 달라질 수 있습니다.
꼭 필요한 진료만 권하는 양심 진료
제가 꿈꾸는 치과의 모습입니다.
병원에 내원하셔서 정확한 진단받아보세요~!
▼치과 위치 확인▼
암사동 치과
치료할 수 있는 모든 방향성을 고려합니다.
환자 한 분당 최소 20분의 진단 시간이 소요되어
예약 후 내원해 주시면 감사하겠습니다.
| 예약 전화하러 가기 |
|---|
| 02-481-4278 |
▼영상으로 요약▼
당장 눈앞에 이익만 쫓지 않겠습니다.
환자분 상황에 맞는 맞춤 진료를 꿈꿉니다.
제가 어떤 사람인지 블로그를 충분히 둘러보시고
병원에 내원해 주시길 바랍니다.
대표원장 장태현이었습니다.
| 본 게시물은 의료광고 법 제56조 1항을 준수하여의료 정보 제공 및 병원 홍보 목적으로 서울 바르디 치과에서 직접 작성하였습니다.제공된 정보는 참고만 하실 것을 권유 드리며 증상 파악 및 정확한 관리 방법은 의료기관에 내원 후 의료진을 통해 안내받으시길 바랍니다.치과에서 진행되는 모든 시술 / 수술은 개인에 따라 (염증, 출혈, 부기 등) 가능성이 있습니다.사전에 의료진과 충분한 상담을 통해 결정하시길 바랍니다.게시물의 치료 사례는 실제 본원에서 치료를 마친 환자분들의 동의하에촬영되었으며 전, 후 사진은 동일 조건에서 촬영되었습니다. |
#암사동치과 #암사동임플란트