안녕하세요!
꼭 필요한 진료만 시행하는
서울바르디치과 장태현 원장입니다.
오늘은 하남선동치과에
앞니 부러짐으로 방문해 주셨는데요.
다른 사람에게
잘 보이는 부분이라 걱정이 많으셨습니다.
심미적인 게 중요한 앞니
치료를 어떻게 진행했는지
이 글을 끝까지 읽으시면 나옵니다.
앞니 부러짐 손상이 커서 하남선동치과에서
임플란트 치료
3분만 집중해서 읽어주세요.

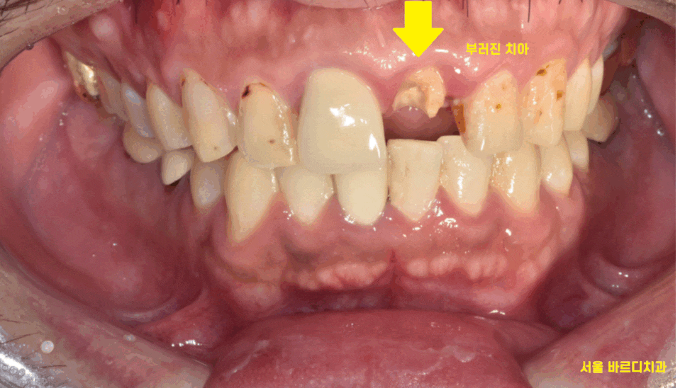
딱딱한 거 깨물다가
앞니가 부러졌어요.

23.12.18
헉
한눈에 봐도 치아가 많이 부러졌습니다.

23.12.18
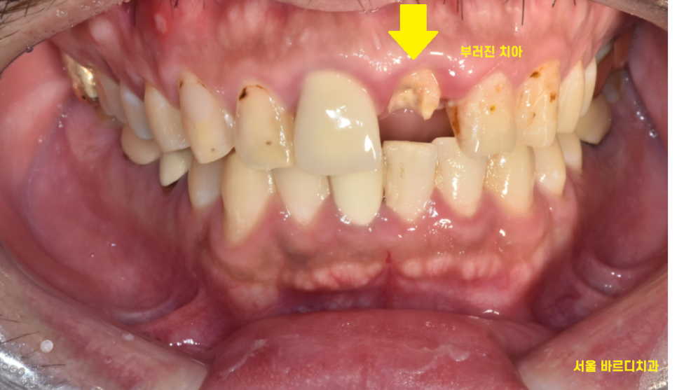
안쪽에서 들여다보니
신경치료때 사용한 재료가 다 보일 정도로
부러졌습니다.

23.12.18
큰 x-ray로 확인을 해보니..
여지없이 신경치료가 되어 있는 상황

23.12.26
작은 x-ray로 한 번 더 확인해 보았습니다.
2/3 이상 머리가 없어졌네요..
앞니 부러짐 치료의 방향을 결정할 때에는
남아있는 치아의 양이 중요합니다.
살릴 수 있을지 없을지
예후를 결정하는
key point이죠!!
잇몸뼈에 뿌리만 박혀있는 수준이라
발치 후 임플란트 계획을
잡아드렸습니다.

23.12.26
3d-ct를 사용하여
잔존 뼈를 확인
임플란트 깊이, 두께, 식립 각도 등을 예측
디지털 진료를 활용하여
안전하게 수술을 마무리하였습니다.
▼자세한 글 보러 가기▼
이렇게 치료가 잘 진행될 줄 알았습니다.
이때 변수가 발생했습니다.
임플란트 치유 기간 중 환자분께
걸려온 전화
딱딱한 거 먹다가 치료받는 치아 옆에
앞니가 또 부러졌어요
아뿔싸...
부디 아무 일 아니어야 할 텐데..
서둘러 환자분을 보았습니다.

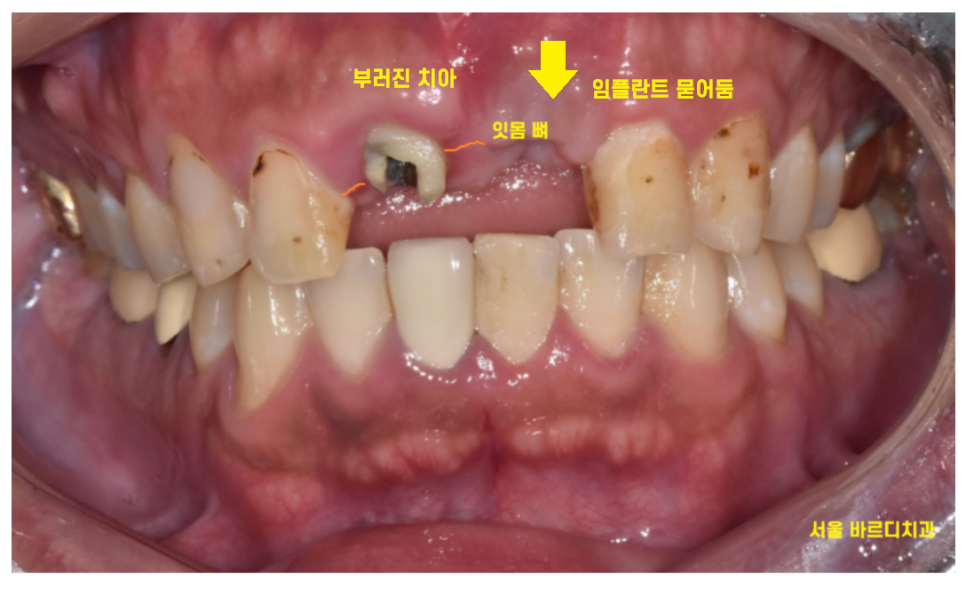
24.01.22
이런 이런
치료 받는 옆에 치아가 똑.. 부러져버렸네요

24.01.22
치아 1개가 또 부러졌네요.
잇몸 뼈 안쪽으로 뿌리만 남아있는 상황입니다.
남아있는 치아가 충치도 있고
부러진 양도 많고
상태가 영... 안좋네요ㅠㅠ

24.01.24
결국 옆에 치아도 발치를 진행했습니다.
발치 후 임플란트를 하였는데요.

24.04.12
하남선동치과 임플란트 치료 후 사진입니다.
변수가 발생하여
당초 계획된 것보다 치료기간이 길어지긴 하였지만
잘 마무리가 되었습니다.
임플란트 예후를 위해서
환자분께 교육을 해드렸습니다.
딱딱하고 단단한 음식은
줄이기로 약속 또 약속을 하고
치료를 마무리 지었습니다.
▼하남선동치과 위치 확인▼
디지털 장비를 사용한 꼼꼼한 분석으로
당일 임플란트가 가능한 서울 바르디 치과!
5호선 상일동역에 치과가 위치합니다.
오늘은 앞니 부러짐으로
하남선동치과
환자분의 케이스를 소개해 드렸습니다.
▼영상으로 요약▼
딱딱한 음식을 즐겨 드시면
턱에도 좋지 않지만
치아에도 좋지 않습니다.
특히나 신경치료가 되어있는 치아의 경우
딱딱한 음식을 조심하셔야 하는데요.
자극이 계속되다가는
오늘 환자분처럼 앞니 부러짐
발생할 수 있기 때문이죠ㅠㅠ
| 예약 전화하러 가기 |
|---|
| 02-481-4278 |
부러진 양에 따라
치료 방향이 달라집니다.
정확한 것은 검사를 해봐야
살릴 수 있을지
뽑아야 할지 말씀드릴 수 있습니다.
예약 후 방문해 주시면 감사하겠습니다.
대표원장 장태현이었습니다!!
| 본 게시물은 의료광고 법 제56조 1항을 준수하여의료 정보 제공 및 병원 홍보 목적으로 서울 바르디 치과에서 직접 작성하였습니다.제공된 정보는 참고만 하실 것을 권유 드리며 증상 파악 및 정확한 관리 방법은 의료기관에 내원 후 의료진을 통해 안내받으시길 바랍니다.치과에서 진행되는 모든 시술 / 수술은 개인에 따라 (염증, 출혈, 부기 등) 가능성이 있습니다.사전에 의료진과 충분한 상담을 통해 결정하시길 바랍니다.게시물의 치료 사례는 실제 본원에서 치료를 마친 환자분들의 동의하에촬영되었으며 전, 후 사진은 동일 조건에서 촬영되었습니다. |
#하남선동치과 #앞니부러짐