안녕하세요!
바르고 정직한 진료를 시행하는
서울바르디치과 장태현 원장입니다.
바르 디지털 치과라 얘기할 수 있을 정도로
디지털 진료를 추구하는데요.
오늘은 한 환자분의 케이스를 보여드리면서
하남시청치과 디지털 임플란트를 고집하는 이유
말씀드리고자 합니다.

이빨 한 10개 해야 해요.
기존에 다니던 곳에서 계속 실패를 해서
옮기려고요

23.02.16
23년 2월 16일 환자분을 처음 만나게 되었습니다.
이전에 다른 치과에서 치료를 받으셨지만
계속 실패를 하셨다고 합니다.
어금니가 없어서 식사는 못하지
수술은 자꾸 실패하고 짜증 나서 못 다니겠어.
틀니를 하라는데 그건 나 진짜 싫어요 원장님
답답하신 마음이
너무나 잘 느껴졌습니다.

23.02.16
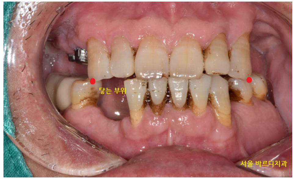
전반적으로 잇몸 뼈가 많이 내려가신 상태
위아래가 닿고 있는 부위가 2개뿐이라
식사가 어려우셨겠어요.
기존 치아 중에서도 문제가 많았습니다.


23.02.16
잇몸뼈가 녹아서
뽑아야 할 치아가 있었습니다.

23.02.16
다른 치과에서 심어놨던
임플란트도 제거가 필요했고요.
계속된 수술 실패로
많이 지쳐있으셨던 환자분
그동안 힘드셨던 부분을 잘 알고 있었기에
"내비게이션 임플란트" 치료를 권유 드렸는데요.
▼치료 방법 보러 가기▼
디지털 임플란트 체계적인 수술이 가능한 서울 바.. : 네이버 블로그 (naver.com)
디지털 임플란트 기술을 활용하여
불편감을 최대한 덜어드리기로 약속드렸습니다.

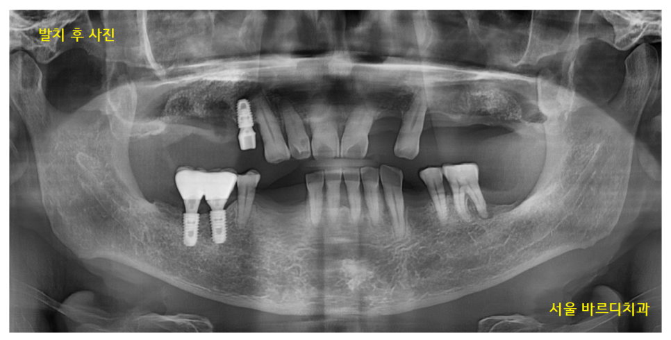
23.02.18
뽑을 거 뽑고
살릴 거 살려서
정리를 1차 완료한 사진입니다.
전반적으로 남아있는 잇몸뼈가 없어서
철저한 디지털 분석이 필요했습니다.
특히나 상악 치아
윗니는 상악동 염증으로 인해
잇몸뼈가 많이 없었는데요.

23.05.03
ct 촬영을 통해 남아있는 잇몸뼈를 분석하고
디지털 임플란트 기술로
위치, 식립 깊이, 두께 등
예측 수술도 진행했습니다.

분석된 결과물입니다.
더 이상의 실패는
환자분의 치료 의지를 꺾을 수 있기에
그 어느 때보다 철저하게 준비했던 기억이 납니다.

구강 상태를 뽄을 떠
장치를 하나 만들었습니다.
이런 장치를 "가이드"라고 말하는데
오차 없는 임플란트 수술을 도와줍니다.
다음 편에 자세히 준비해 보겠습니다.

23.07.26
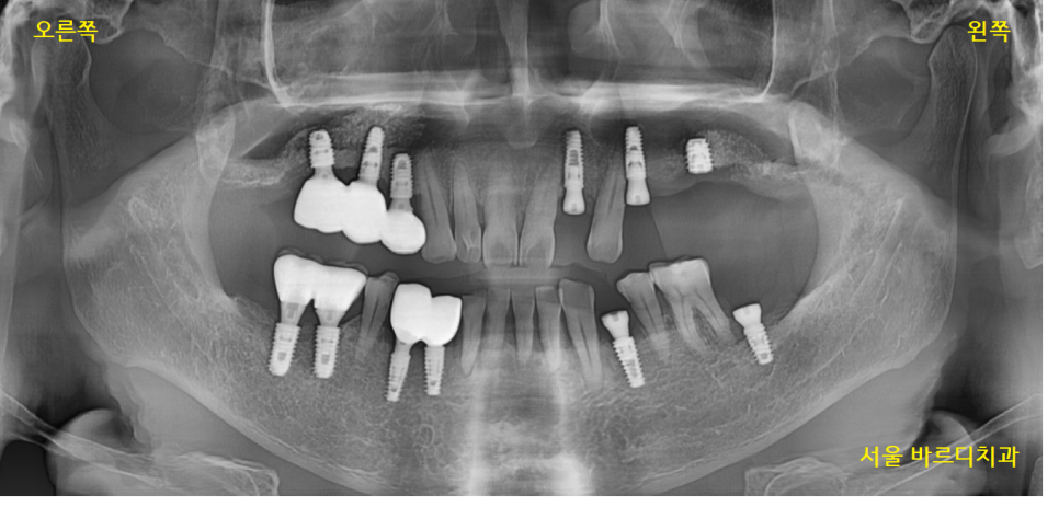
하남시청치과에서 수술을 완료한 사진입니다.

23.09.06
식사를 못하시고 계셔서
오른쪽 먼저 완성 후
한쪽이라도 식사를 하실 수 있게 해드렸습니다.
이때도 디지털 임플란트 기술을 적극적으로
활용했는데요.

스캔 장비를 사용하여
구강 상태를 그대로 재현

보철을 제작해 드렸습니다.

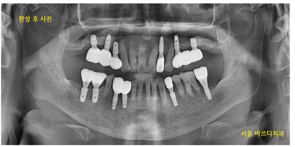
24.01.22
하남시청치과 치료 완료 후 사진입니다.
마음고생을 하셨던 환자분
이제 관리 잘 하셔서
오래오래 쓰실 수 있게 도와드리겠습니다.
▼치과 위치 확인▼
디지털 장비를 사용한 꼼꼼한 분석으로
안전한 임플란트가 가능한 서울 바르디 치과!
한 번의 실패로 마음고생 많으셨던 환자분
치과 치료를 포기하실까 봐
최선을 다해 진료했는데요.
디지털 분석이 있었기에
실패 없는 수술이 가능했습니다.
수술 전, 수술 중, 보철 제작까지
서울 바르디 치과는 적극적으로 활용합니다.
| 예약하러 가기 |
|---|
| 02-481-4278 |
▼영상으로 요약▼
오늘은 디지털 기술을 사용하여 수술한
환자분의 케이스를 소개해 드렸습니다.
최근에 블로그 댓글을 통해
진료 문의가 늘어서 참으로 기쁩니다.
앞으로도 블로그를 통해 적극 소통하겠습니다.
대표원장 장태현이었습니다!!
| 본 게시물은 의료광고 법 제56조 1항을 준수하여 의료 정보 제공 및 병원 홍보 목적으로 서울 바르디 치과에서 직접 작성하였습니다. 제공된 정보는 참고만 하실 것을 권유 드리며 증상 파악 및 정확한 관리 방법은 의료기관에 내원 후 의료진을 통해 안내받으시길 바랍니다. 치과에서 진행되는 모든 시술 / 수술은 개인에 따라 (염증, 출혈, 부기 등) 가능성이 있습니다. 사전에 의료진과 충분한 상담을 통해 결정하시길 바랍니다. 게시물의 치료 사례는 실제 본원에서 치료를 마친 환자분들의 동의하에 촬영되었으며 전, 후 사진은 동일 조건에서 촬영되었습니다. |
#하남시청치과 #디지털임플란트