안녕하세요!
디지털 진료를 추구하는
서울바르디치과 장태현 원장입니다.
어느날 전화 한통을 받았습니다.
원장님, 저희 부모님이 치료를 받으셔야하는데..
지방에 살고 계셔서...
하루에 치료받을 수는 없나요??
어떻게 치료했는지 소개해드릴까 합니다.
암사동 치과 전악 임플란트 하루만에 끝냈습니다.
3분만 집중해서 읽어주세요~!!

전화를 받고
너무 감사한 마음이 들었습니다.
지방에서도 치과가 있을텐데
저를 신뢰하고 먼 서울까지 오셔서 치료받는다는것이
쉽지 않다는 것을 잘 알고 있습니다.
따님을 통해 다수 치아가 빠졌다는 사실만
확인을 하였는데요.

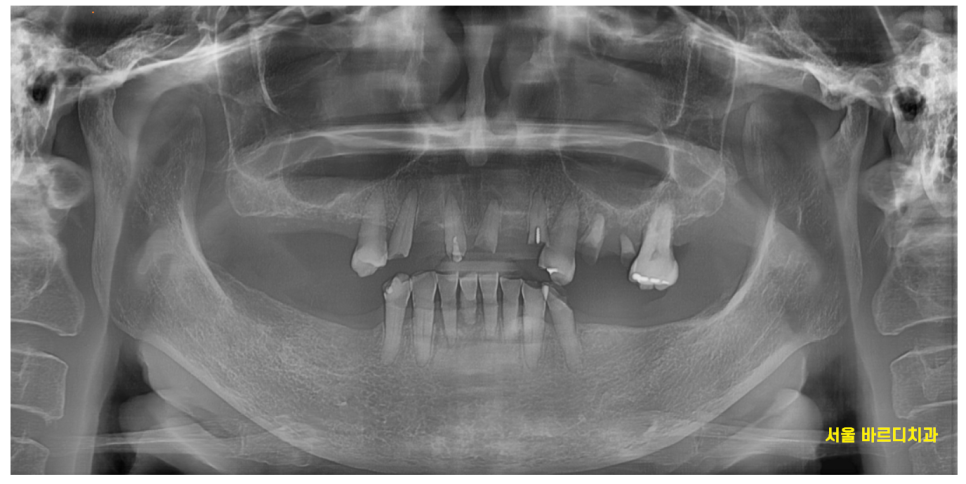
23.08.17
23.08.17 환자분을 처음 보았습니다.
어금니 치아는 위 아래 다 빠져있는 상황
남아 있는 치아 중에서도
문제가 많았습니다.

23.08.17
노랗게 삭아버렸거나
뿌리만 남아있는 치아도 많았는데요.

23.08.17
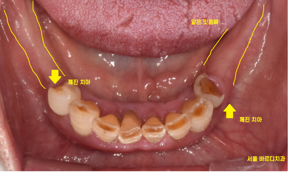
아래 치아의 경우 깨지고
치아가 뽑힌지 오래되어 잇몸뼈가 얼마 없는 상황이었습니다.
거리가 멀어 자주 오실 수 없는 상황이라
전악 임플란트를 진행하기로 결정하였습니다.

23.08.17
일반적으로는 환자분을 위해 수술을
나누어 진행합니다.
오른쪽 , 왼쪽
윗니, 아랫니 등으로 부위를 나눠서 말이죠.
수술 시간이 길어지면 몸살에 걸리시거나
입을 오래 벌리셔서 힘드시기 때문인데요.
암사동 치과와 먼 곳에서 사시거나
해외출국 등으로 일정이 빡빡하면
경우에 따라 전악 임플란트 수술을 한번에 진행합니다.
가이드가 있으면 가능합니다!!
▼네비게이션 임플란트 글 보러 가기▼
서울바르디치과의 바른 진료 이야기 : 네이버 블로그 (naver.com)
지난 시간에 말씀드린
디지털 임플란트
오늘 환자분도 가이드를 제작
적극적으로 디지털 기술을 활용했습니다.

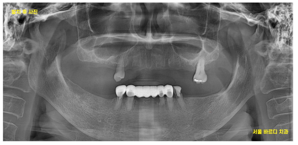
23.10.10
발치 후 치아의 모습이죠~?

디지털 기술을 사용하여 가이드를 제작하고
모의 수술을 진행하면
당일 전악 임플란트 수술도 가능합니다.

식립할 임플란트의 사이즈, 두께, 길이
위치까지 분석을 해주니
전악 임플란트 수술 시 요긴하게 사용하고 있습니다.

23.10.10
이를 뽑고 일주일 뒤

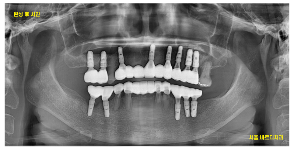
23.10.18
하루에 위, 아래 임플란트 수술을 진행했습니다.
하루에 많은 치아를 수술하셔야해서
수술 중 환자분의 컨디션을
계속 확인했던 기억이 납니다.

24.04.30
가이드를 통해
빠르고 정확한 수술이 가능했지만
개수가 많다보니 초집중
많이 힘드셨을텐데
무사히 끝나서 참 다행입니다~!
최대한 암사동 치과 내원 횟수를
줄일 수 있게
진행해드렸었는데요.
긴 시간동안 진료에
협조해주셔서 감사합니다 환자분
▼암사동 치과 위치 확인▼
디지털 장비를 사용한 꼼꼼한 분석으로
전악 임플란트 하루만에 끝낼 수 있습니다.
| 예약 전화하러 가기 |
|---|
| 02-481-4278 |
암사동 치과에서는 디지털 기술을 적극적으로 활용합니다.
가이드가 없어도 수술은 가능합니다.
그렇지만.. 오차없는 정확한 수술을 추구합니다.
1-2년 쓰실 것이 아니기에
철저한 분석은 필수겠지요!
▼영상으로 요약▼
궁금하신 점은 언제든지 블로그 댓글을 통해 남겨주세요.
대표원장 장태현이었습니다!!
| 본 게시물은 의료광고 법 제56조 1항을 준수하여의료 정보 제공 및 병원 홍보 목적으로 서울 바르디 치과에서 직접 작성하였습니다.제공된 정보는 참고만 하실 것을 권유 드리며 증상 파악 및 정확한 관리 방법은 의료기관에 내원 후 의료진을 통해 안내받으시길 바랍니다.치과에서 진행되는 모든 시술 / 수술은 개인에 따라 (염증, 출혈, 부기 등) 가능성이 있습니다.사전에 의료진과 충분한 상담을 통해 결정하시길 바랍니다.게시물의 치료 사례는 실제 본원에서 치료를 마친 환자분들의 동의하에촬영되었으며 전, 후 사진은 동일 조건에서 촬영되었습니다. |
#암사동치과 #전악임플란트