안녕하세요!
바르고 정직한 진료를 시행하는
서울바르디치과 장태현 원장입니다.
입냄새
타인에게 불쾌감을 주기 때문에
여간 신경 쓰이는 게 아닌데요.
오늘은 입냄새가 나서 명일동 치과를 찾아오셨는데
뿌리 염증으로 치료받으신 환자분의 이야기입니다.
어떻게 치료했을까요?
이 글을 끝까지 읽어주세요!!

원장님, 입에서 자꾸 냄새가 나요.
양치를 해도 나요.
입을 계속 가리게 되고
신경이 쓰이네요.

23.06.07
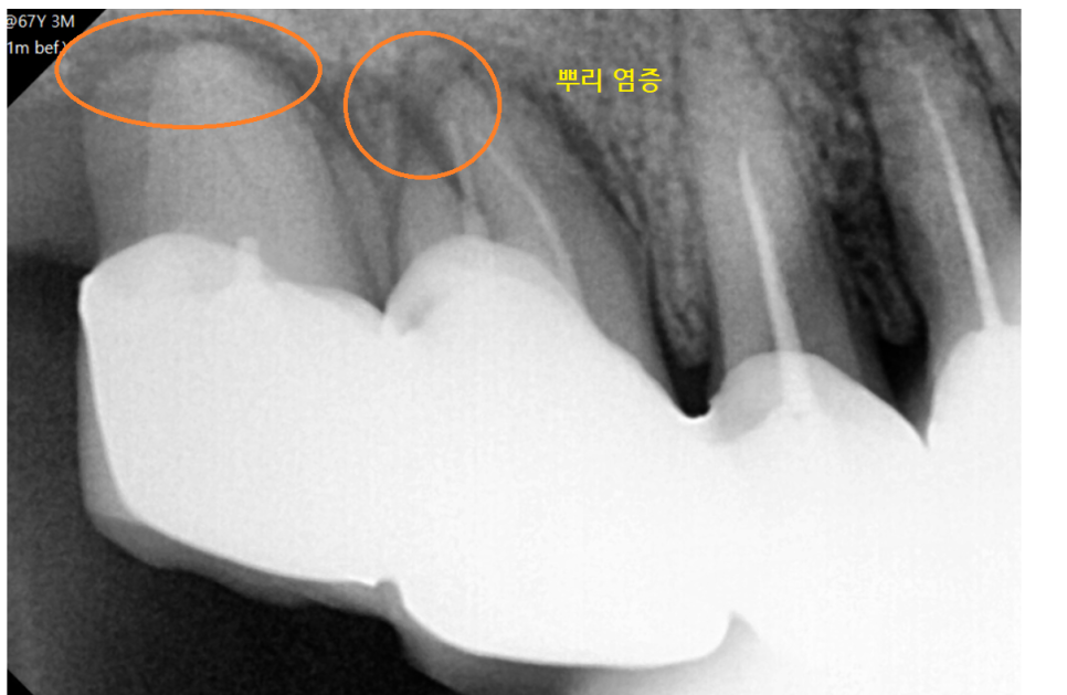
명일동 치과 방문해 주신
환자분과의 첫 만남 때의 사진입니다.
전반적으로 치료받으신 이가 많으시네요~
입냄새의 원인은 다양하지만
환자분의 경우 잇몸에서 염증이 나오고 있었는데요.


23.06.07

23.06.07
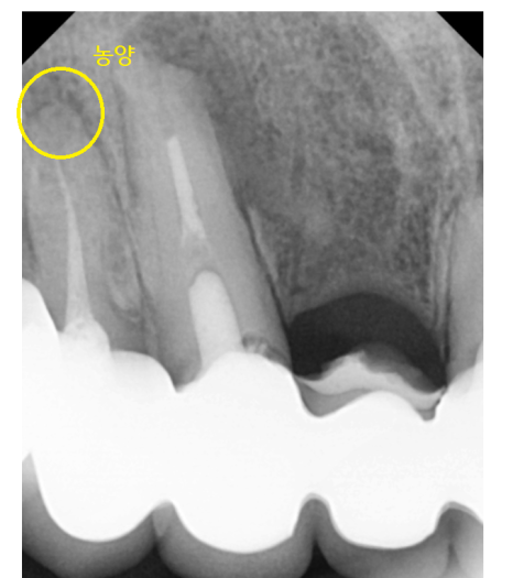
큰 사진에서 의심되는 부분을
추가적으로 검사해 보았더니
어이쿠야..
뿌리 끝에 농양으로
주변 뼈가 녹았네요.

23.06.07
이미 신경치료까지 되어있는 상황이라
좋지 않았지만
살려볼 수 있는 1% 가능성이라도
확인하기 위해 ct까지 찍어보았습니다.
주변 잇몸뼈가 이미 다 녹아있어
그대로 둬도 좋을게 없었습니다.
옆에 치아 잇몸뼈까지 녹일 수 있는 상황이었거든요.
명일동 치과에서 발치 후 임플란트를 하시기로
설명드렸습니다.

23.09.08
명일동 치과 임플란트 수술 후 사진입니다.
특히나 윗니 치아의 경우
상악동 거상술까지 진행했습니다.
뿌리 염증으로 잇몸 뼈가 녹다 보니
부족한 뼈를 이식해 주는 것이 필요했어요.
▼자세한 글 보러 가기▼
상일동 임플란트 상악동 거상술을 동반한 수술 .. : 네이버블로그 (naver.com)

23.09.08
명일동 치과 상악동 거상술 후
예쁘게 돔 모양으로 뼈 이식이 된 것이 확인되시죠?
상악동을 들어 올린 후 잇몸뼈를 이식했기 때문에
충분히 기다려주었습니다.
잇몸과 임플란트가 붙을 때까지
기다렸다가 머리를 만들어드렸습니다.

24.05.03
완성까지는 4개월 정도 걸렸는데요.
머리만 올렸다고 치료 끝??
아니죠~
서울 바르디치과는 관리까지 꼼꼼하게!!
끝까지 책임져드립니다!!
좀 더 오래 쓰시게 해드리기 위해
6개월 단위로 정기검진해드리고 있습니다.
▼명일동 치과 위치 확인▼
책임감 있는 모습을 앞으로도 자주 보여드리고 싶습니다.
치료받았다고 끝이 아니라
환자분의 평생 치아 주치의가 되고싶은
서울바르디치과입니다.
| 예약 전화하러 가기 |
|---|
| 02-481-4278 |
▼영상으로 요약▼
오늘은 뿌리 염증으로 발치 후 임플란트 하신
환자분을 소개해 드렸습니다.

23.06.07
뿌리 염증이 오래된 경우
만성화되면 염증이 있어도 아프지 않은데요.
오늘 환자분처럼 주변 잇몸뼈를 녹여
뼈 이식까지 진행할 수 있기에
문제가 생겼을 때 바로 치료받으시는 게 좋습니다.
아프시지 않더라도
겉으로 티가 나지 않더라도
속에서 골병이 들고 있다는 뜻이죠ㅠㅠ
입냄새가 나거나
치아에 문제가 생긴 거 같으면
저 장태현을 찾아주세요~!
궁금하신 질문은 댓글을 통해 소통하겠습니다!!!
| 본 게시물은 의료광고 법 제56조 1항을 준수하여의료 정보 제공 및 병원 홍보 목적으로 서울 바르디 치과에서 직접 작성하였습니다.제공된 정보는 참고만 하실 것을 권유 드리며 증상 파악 및 정확한 관리 방법은 의료기관에 내원 후 의료진을 통해 안내받으시길 바랍니다.치과에서 진행되는 모든 시술 / 수술은 개인에 따라 (염증, 출혈, 부기 등) 가능성이 있습니다.사전에 의료진과 충분한 상담을 통해 결정하시길 바랍니다.게시물의 치료 사례는 실제 본원에서 치료를 마친 환자분들의 동의하에촬영되었으며 전, 후 사진은 동일 조건에서 촬영되었습니다. |
#명일동치과 #뿌리염증