안녕하세요!
세심한 진료를 추구하는
대표원장 이주리입니다 ㅎㅎ
오랜만에 인사를 드리게 되었습니다.
6/3일부터 다시 근무하게 되었는데요.
아직 모르시는 분들이 많아
블로그 글로 직접 인사를 남깁니다.
잠시 자리를 비웠던 만큼
더욱 열심히 일하겠습니다!!!
오늘은 정기검진 때 뵙게 된
저의 환자분을 소개해드릴까 해요.
망월동 치과 어금니 빠짐 임플란트 대안이 될 수 있습니다.
끝까지 읽어주시면 감사하겠습니다!!

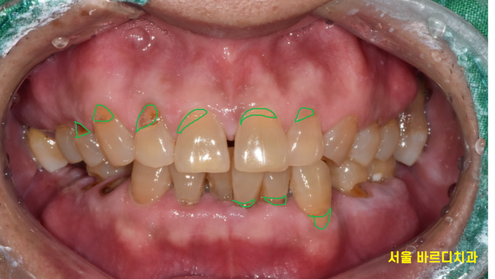
어금니가 몇 개 없어요

23.01.30
망월동 치과를 찾아오셨을 때
어금니 빠짐 부분만 5개였습니다~!


23.01.30
그러다 보니 씹을 수 있는 치아가
몇 개 없었습니다.
치아는 있어도 문제가 있는 부분도 많았는데요.

23.01.30
치석이 많아 잇몸 관리부터 필요했으니까요.
그동안 방치를 하셨다 하셨는데
앞니랑 군데군데 흔들리는 곳도 많았습니다.

23.01.30
어금니 빠짐 부분을
3차원적으로 분석을 하고
치료 계획을 세워드렸습니다.
치료할 부분이 많을 때는
환자분 의견이 1순위입니다.
우선 식사를 해야 해서
어금니부터 채우고 싶다 하셨는데요.
망월동 치과에서 수술 전 청소부터 받으시고
수술받기로 결정하셨어요!

23.02.23
망월동 임플란트 수술 직후 사진입니다.
환자분이 한 번에 끝내고 싶다고 하셨는데요.
미리 ct를 통해 분석하고 수술을 해서
당일에 8개 임플란트를 심었지만
1시간 정도 걸렸습니다.
임플란트가 붙을 때까지 충분히 기다리면서
다른 부위도
망월동 치과에서 치료받으셨습니다.

23.01.30
치아가 패인 곳들을 때우고
수술 후 망월동 임플란트 오래 쓰기 위해
양치 방법도 배우시고 말이죠.

23.08.03
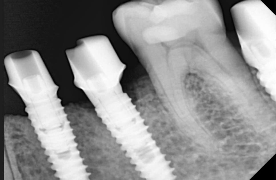
시간이 흘러 임플란트 기둥을 세우고
머리를 만들어 드렸습니다.

23.08.18
어금니 빠짐으로 1개 2개씩 물리던 치아가
이제 모두 물리게 해결해 드렸어요~!
식사가 잘 되어야
전신적으로도 문제가 없는데요.
기력을 채우기 위해서는
잘 드셔야 한다고 말씀드리잖아요~
잘 드시기 위해서 필수 조건
치아가 튼튼해야겠죠??
어금니 빠짐 더 이상 방치하지 마시고
망월동 치과에서 임플란트 수술받으세요~!
특히 65세 이상 어르신분들께
보험 임플란트 혜택 설명
자세히 드릴게요~!
▼관련 글▼
https://blog.naver.com/implant_master/223423829595
▼망월동 치과 위치 확인▼
어금니 빠짐
임플란트 수술로 치료해 드리는 서울 바르디 치과!
| 예약 전화하러 가기 |
|---|
| 02-481-4278 |
월요일, 금요일 2일만 진료중입니다.
헛걸음하시지 않게
내원 전 예약전화 꼭 부탁드려요!!
▼영상으로 요약▼
오늘은 어금니가 다수 빠진 환자분의
임플란트 치료 과정을 소개해 드렸습니다.
종종 블로그로 인사드리러 올게요~!
궁금하신 점은 댓글로 달아주시길 바랍니다.
대표원장 이주리였습니다!!
| 본 게시물은 의료광고 법 제56조 1항을 준수하여의료 정보 제공 및 병원 홍보 목적으로 서울 바르디 치과에서 직접 작성하였습니다.제공된 정보는 참고만 하실 것을 권유 드리며 증상 파악 및 정확한 관리 방법은 의료기관에 내원 후 의료진을 통해 안내받으시길 바랍니다.치과에서 진행되는 모든 시술 / 수술은 개인에 따라 (염증, 출혈, 부기 등) 가능성이 있습니다.사전에 의료진과 충분한 상담을 통해 결정하시길 바랍니다.게시물의 치료 사례는 실제 본원에서 치료를 마친 환자분들의 동의하에촬영되었으며 전, 후 사진은 동일 조건에서 촬영되었습니다. |
#망월동치과 #어금니빠짐