안녕하세요
서울바르디치과 대표원장 장태현입니다!!
수술 후 담배 피는거 상관없죠?
OR
담배 많이 펴서 임플란트 못한대요
이 질문을 참 많이 듣습니다.
길동 치과 임플란트 뼈이식 흡연 관련 있을까?
담배가 몸에 나쁜건 모두들 아실겁니다.
임플란트 수술과 무슨 상관이 있는지
3분만 집중해서 읽어주세요~!

오늘 소개해드릴 환자분
하루 2갑씩 피는 환자분이셨습니다.
애연가셨죠~

환자분을 처음 뵈었을 때
솔직히 말씀드려 안 흔들리는 치아가 없었습니다.
환자분도 알고 계시더라고요.
잇몸이 많이 망가졌어요.
담배 많이 펴서 그렇지 뭐


윗니는 개수로만 4개 없음
아랫니는 2개 없음
이건 이미 뽑힌 상태만 세었을 때이고
뽑을 치아도 상당했습니다.
윗니 어금니 부분 예시를 보여드리면..

어금니 대부분이 잇몸뼈가 거의 없어서
뿌리만 잡고 있는 정도였거든요~
상악동까지 거리 3.4mm
임플란트는 최소 8mm정도 심으니까
만들어야할 양만해도 5mm가 넘네요.
▼상악동 거상술▼
https://blog.naver.com/implant_master/223407832925
상일동 임플란트 상악동 거상술을 동반한 수술 증례
안녕하세요 디지털 장비를 사용한 정확한 진료를 추구하는 서울바르디치과 대표원장 장태현입니다. 상악동 ...
blog.naver.com
전반적인 치아가 임플란트 뼈이식 필요했습니다.
많은 양이 필요했죠...
한가지 걸림돌이 되는 것은 환자분의 흡연
임플란트 뼈이식 흡연과 상극입니다.
수술 실패의 큰 원인인데요.
내 뼈와 임플란트가 잘 안붙게 하기 때문이죠~
뼈이식을 해도 만들어지는 양도 적고요.
흡연 과정에서 잇몸 미세혈관에 영향을 끼칩니다.
혈액순환을 방해
피가 잘 돌아야 치유가 빨리 되는데
담배 연기가 신선한 산소와 칼슘이 제때 잇몸에 공급되는 것을
막거든요.

정말 최악의 경우에는
심었던 임플란트가 내 뼈와 잘 붙지 않아
뽑고 임플란트 재수술 할 수도 있습니다.
길동 치과에서 수술 전 약속을 했습니다.
환자분.. 내 치아도 많이 잃으셨잖아요~
큰 비용 들여서
치료기간도 1년 가까이 걸리는데
담배를 끊지 못하면
심었던 임플란트 또 뽑을 수 있어요.
내 치아도 못버티는데
임플란트라고 버틸까요...
임플란트 뼈이식 담배는 최악이라
끊지 않으시면 수술 못해드려요~
최소한 줄이셔야합니다!!!
저의 간곡한 부탁에 환자분께서
노력하신다 하셨고
길동 치과에서 임플란트 수술 진행해드렸습니다.

환자분처럼 양쪽 어금니가 다 없고
임플란트 뼈이식을 많이 해야할경우
안전하게 나눠서 임플란트 수술을 진행합니다.
환자분은 왼쪽이 많이 불편하시다 하셔서
1순위로 반영하여 수술해드렸는데요.
(언제나 환자분의 요구사항이 1순위 반영사항입니다)

잇몸뼈가 많이 없는 상악의 경우
발치 후 뼈이식 하고 기다리다
임플란트를 심기도 하였습니다.

임플란트 뼈이식 흡연으로
충분히 기다렸습니다.
5월달에 왼쪽 위부터 수술했는데
7개월정도 지나 보철을 올려드렸어요

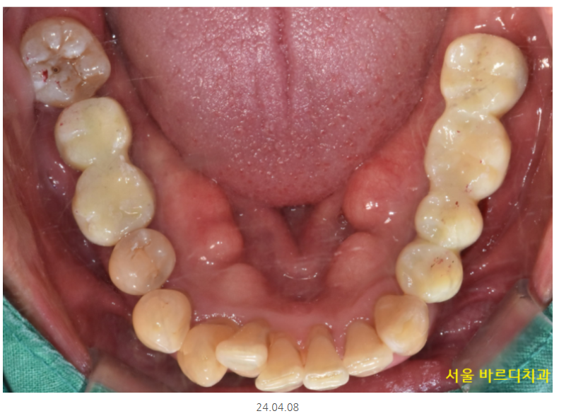
그동안 치아 상태는 이런 모습이셨어요.
어금니는 없고
식사는 하셔야하니까
7개월동안 임시틀니로 식사 하실 수 있게 했습니다.
얼마나 불편하셨겠어요.
매일 삼시세끼 밥을 먹는데
어금니 없는채로 7개월을 지내셨으니요..


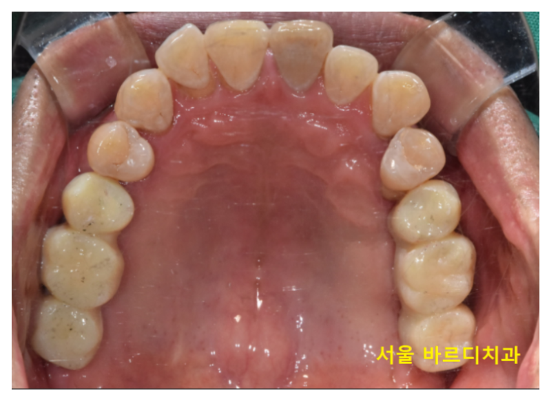
길동 치과 완성 후 사진입니다.
정기점검때에도 흡연 계속 하시냐..
확인했던 기억이 있네요.
임플란트 오래 쓰실 수 있게 말이죠!
잇몸 청소 주기적으로 하는것 외에도
흡연이 구강에 미치는 영향
알려드리는 것이 저의 역할이니까요~
▼길동 치과 위치 확인하기▼
단순히 수술로 끝!
제가 제일 싫어하는 말입니다.
진료가 끝났어도 계속 관리해드리는 것
제가 지키는 신념 중 하나입니다.
앞으로도 자주 보고싶습니다.
| ▼진료시간 안내▼ |
|---|
| 월~금 |
| 토요일 |
| 점심시간 |
▼오늘 진료 다시보기▼
오늘은 임플란트 뼈이식 흡연과의 관계에 대해
말씀드렸습니다.
해결이 되셨기를 바랍니다.
궁금하신 점은 언제든지 블로그 댓글로 남겨주시길 바랍니다.
▼진료예약▼
☎02-481-4278
전화 후 내원하시면
저에게 더 많은 답변을 얻어가실 수 있습니다 ^^