안녕하세요!
상일동 근처 평생 치아 주치의를 꿈꾸는
서울 바르디 치과 장태현 원장입니다.
치료가 어렵다
큰 병원 가봐라
환자분들에게 절망을 안겨주는 말들인데요.
오늘 소개해 드릴 환자분도
어지간한 병원에서 퇴짜를 맞고 찾아오신 분입니다.
상일동 근처 치과 얇은뼈 틀니 안될 때 해결 방법은??
같은 케이스 환자분들께
도움이 되셨으면 좋겠다는 마음으로 이 글을 적습니다.
이 글을 끝까지 읽어주세요!!

얇은뼈라 틀니 안된다고 했어요.
임프란트도 못하는 거예요?
환자분의 말씀을 그대로 옮겨보았습니다.
틀니를 사용한 지 20년 ...
젊은 시절부터 워낙 오래 사용하시다 보니
더는 잇몸이 버티지를 못해서
가는 데마다 치료가 어렵다 들으셨답니다.

23.10.24
ct를 찍어보니 얇은뼈
얇다 못해 부러질 정도입니다.

23.03.27 / 23.11.23
살과 뼈가 구분이 안 갈 정도의 상태였습니다.
사진을 보시면 치아가 있는 환자분과
뼈 폭 차이 느껴지시죠??
두께감이라고 표현하는데
뼈이식을 하여도 이렇게 얇은 뼈는
만들지 못합니다.
뼈이식하면 임플란트가 가능할 거라 생각하시지만
정말 없는 경우는 어려운 경도 있거든요ㅠㅠ

23.11.23
틀니는 잇몸 위에 얹어 쓰는 것인데
(고정하는 곳이 없습니다.)
뼈가 없으니 더욱더 안된다 들으셨을 수밖에요.
가는 데마다 틀니도 어렵다 설명 들으시고
환자분께서는 이렇게 밥도 못 먹고 살 수는 없다
방법이 도저히 없겠느냐 물어보셨어요.
진단을 위해 일주일 동안 고민했던 기억이 나네요.
자연치 있던 시절만큼은 못하겠지만
상일동 근처 치과 오신만큼
지금 불편감을 해소해 드리고 싶었거든요.

23.10.24
먼저 ct를 찍어 남은 뼈의 양을 보았는데요.
구치부 어금니 쪽 잇몸뼈가 더 많아야 하지만
얇은뼈가 되어 앞니 쪽에만 뼈가 있는 상황이었습니다.
다행히 앞니 쪽은 임플란트가 가능하다는 분석이 나왔습니다.
절대 쉬운 케이스는 아니었지만
내비게이션 임플란트 방법으로 불가능하지는 않다
답을 도출했거든요~
그것도 틀니를 사용하지 않고 ..!
all on 4 (올온포)라 불리는 치료 방법입니다.
▼상담 내용▼

상일동 근처 치과에서 실제 상담했던 그림입니다.
올온포 이름이 어렵죠~?
틀니를 끼지 않고
임플란트 4개만 심어 그 위에 머리를 올려
씹을 수 있게 해주는 방법입니다.
임플란트 역사가 오래되다 보니
기술이 점차 발전하고 있습니다.
예전이면 치료 못할 케이스도
하나 둘 극복되고 있는데요.
올온포 방식도 최근에 나온 치료방법 중 하나입니다.
어쨌든 치과 치료가 낯선 환자분들이기에
항상 쉽게 설명을 드리려고 노력하는데요.
상일동 근처 치과에서 그림을 그려드리면
치료 후 모습을 알 수 있어서
많이들 좋아하시더라고요~

23.11.23
똑같이 임플란트를 심는데
(과정 동일)
브릿지 방식으로 머리를 만든다.
틀니가 필요 없다!
생각하시면 됩니다.

24.02.03
보철을 만들 때에도 디지털 기술이 한 번 더 사용되는데요.
입안 모습을 사진 찍은 뒤
디자인을 만들어줍니다.
스캔 된 사진에서도 얇은뼈
보이시죠~?
보철을 만들어주시는 소장님과도
몇 번을 전화했습니다.
환자분을 보는데
저희 할머니가 생각나더라고요...
저희 할머니도 틀니를 끼셨기에
식사하실 때마다 불편한 것을
보고 자랐습니다.

23.11.09
여기도 안되냐 체념하고 오신 환자분
꼭 웃으면서 나가게 해드리고 싶었습니다

24.02.03
기둥과 보철을 연결하는 디자인을 만들면
이런 모습인데요
실제 구강 모습을 확인해 보겠습니다.

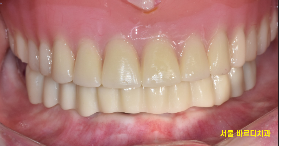
감쪽같죠~?

치료 마지막 날 과일을 사 오셨습니다.
이대로 죽어야 하나 싶었는데
임프란트 해줘서 고마워요 선생님
틀니 안 끼게 해줘서 고맙다고
말씀해 주시는 모습에
게을러지지 말자
다짐했습니다.
올온포 방식을 배우지 않았더라면
저 역시...
다른 병원 가보셔라 했을 수 있으니까요
▼상일동 근처 치과 위치 확인▼
서울 바르디 치과
디지털 진료를 추구하고
최신 기술을 적극 도입합니다.
환자 한 분 한 분
너무나도 소중합니다.
저를 찾아오시는 환자분들을 위해
도태되지 않겠습니다.
| 예약 전화하러 가기 |
|---|
| 02-481-4278 |
▼영상으로 요약▼
오늘은 발치와 동시에 수술을 진행한
환자분의 케이스를 소개해 드렸습니다.
앞으로도 블로그를 통해 자주 소통하겠습니다.
궁금하신 점은 언제든지 블로그 댓글을 통해 남겨주세요.
대표원장 장태현이었습니다!!
| 본 게시물은 의료광고 법 제56조 1항을 준수하여의료 정보 제공 및 병원 홍보 목적으로 서울 바르디 치과에서 직접 작성하였습니다.제공된 정보는 참고만 하실 것을 권유 드리며 증상 파악 및 정확한 관리 방법은 의료기관에 내원 후 의료진을 통해 안내받으시길 바랍니다.치과에서 진행되는 모든 시술 / 수술은 개인에 따라 (염증, 출혈, 부기 등) 가능성이 있습니다.사전에 의료진과 충분한 상담을 통해 결정하시길 바랍니다.게시물의 치료 사례는 실제 본원에서 치료를 마친 환자분들의 동의하에촬영되었으며 전, 후 사진은 동일 조건에서 촬영되었습니다. |
#상일동근처치과 #얇은뼈틀니안될때