안녕하세요!
바르고 정직한 진료를 시행하는
서울바르디치과 장태현 원장입니다.
치아는 오복 중 하나라는 말이 있습니다.
치아를 상실 했을 때
임플란트로 대체 되기는 하였으나
자연치아만큼 좋은 것은 없는데요.
어떤 경우에는 자연치아를 쓰는 것보다
이를 뽑고 치료하는 것이 이득일 때가 있습니다.
명일역 근처 치과 치아 뿌리 염증이 생겨서 고생하신 사연
끝까지 읽어보실까요~???

오른쪽으로 씹지를 못하겠어요

23.10.05
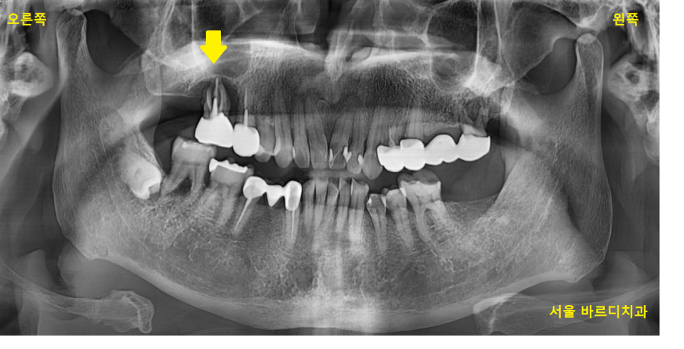
명일역 근처 치과 환자분이 처음 내원하셨을 때 사진입니다.
오른쪽으로 식사를 거의 못한다고 하셨습니다.

23.10.05
오른쪽 위아래 어금니 모두 문제가 있었습니다.
첫번째로 잇몸뼈가 많이 녹았고요~
치아를 건들여보았을 때
흔들흔들 하더라고요.

두번째로 오른쪽 위 어금니
육안으로 잇몸 뾰루지처럼 볼록하게
올라온게 보이시죠??
치아 뿌리 염증이 잇몸 밖으로
올라온겁니다.
환자분,
잇몸 뼈가 많이 녹은 것도 그렇고
하루 이틀 된 치아 뿌리 염증이 아닌것 같은데요?
저의 질문을 듣고 나서
환자분께서 고백을 하시더라고요.
원장님, 내 치아가 좋다길래
계속 참았어요.
한번씩 붓다가도 가라앉고 그래서
그냥 약먹고 버티고 그랬어요.
이제는 너무 쑤셔서 힘들어서 와봤어요.
제 예상이 딱! 맞아 떨어지더군요.
치아 뿌리 염증으로
잇몸이 부풀어 오를때는
좋았다~ 나빴다 합니다.
계속 아프거나 불편하시면
치료를 받으시겠지만
약 먹고 치료받고 하면 일시적으로 좋아지거든요~
아주 잠시 뿐입니다.
근본적인 치료 방법은 치아를 뽑아야해요...

23.10.24
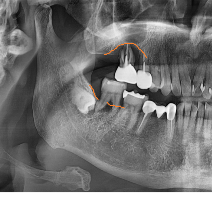
명일역 근처 치과에서 CT를 찍어보았을 때
하얀것이 뼈인데
치아 뿌리 부분으로 까만 것이 보이시죠?
주변 뼈가 다 녹을 정도로
고생하시다 오셨더라고요.
자연치아 좋은 것?
저도 잘 알고있습니다.
저도 자연치아는 최대한 살리기 위해
노력하는데요.
원인이 되는 치아를 제거해주지 않으면
또 다시 재발될 수 있습니다.
계속 속 썩이고
환자분 아파하시고 고생하시느니..
때로는 이를 뽑는 것이
치료 방법입니다.

23.12.12
▼또 다른 케이스 확인하러가기▼
이 흔들림으로 발치 후 뼈이식 진행한 케이스 : 네이버 블로그 (naver.com)

23.12.12
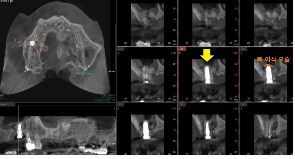
3D CT를 사용하여
모의 수술을 진행
안전하게 수술 완료했습니다.
환자분은 뼈가 많이 없어서
발치 후 뼈이식
뼈가 만들어지고 임플란트와 함께 뼈이식
뼈이식만 2번 진행했는데요.
문제있는 치아 냅둬서 좋을게 하나~~도 없습니다.
다음 포스팅때 상세히 설명 드릴께요~!

24.05.10
명일역 근처 치과에서 임플란트 완료한 사진입니다.
다른 부위도 안좋긴 하지만
급한 것부터 하나씩 하시기로 하셨는데요.
앞으로 관리 받으시면서
문제 있는 치아 바로 바로 치료하시기로 하고
치료를 완료해드렸습니다.
▼명일역 근처 치과 위치 확인▼
디지털 장비를 사용하여
0.1%의 오차없는 수술을 추구합니다.

24.05.10
금니에서 치아 색깔로
심미적인 부분까지!
신경써드렸어요!~
| 예약 전화하러 가기 |
|---|
| 02-481-4278 |
▼영상으로 요약▼
오늘은 명일역 근처 치과 치아 뿌리 염증으로
내원하신 환자분의 케이스를 소개해 드렸습니다.
환자분들의 고통?
아픔?
더 이상 참지마시고
고민 해결하러 방문해주세요.
궁금하신 점은 언제든지 블로그 댓글을 통해 남겨주세요.
대표원장 장태현이었습니다!!
| 본 게시물은 의료광고 법 제56조 1항을 준수하여 의료 정보 제공 및 병원 홍보 목적으로 서울 바르디 치과에서 직접 작성하였습니다. 제공된 정보는 참고만 하실 것을 권유 드리며 증상 파악 및 정확한 관리 방법은 의료기관에 내원 후 의료진을 통해 안내받으시길 바랍니다. 치과에서 진행되는 모든 시술 / 수술은 개인에 따라 (염증, 출혈, 부기 등) 가능성이 있습니다. 사전에 의료진과 충분한 상담을 통해 결정하시길 바랍니다. 게시물의 치료 사례는 실제 본원에서 치료를 마친 환자분들의 동의하에 촬영되었으며 전, 후 사진은 동일 조건에서 촬영되었습니다. |
#명일역근처치과 #치아뿌리염증