안녕하세요!
오차없는 디지털 진료를 시행합니다.
서울바르디치과 장태현 원장입니다.
crack
갈라지고 금이 감
날이 더워 얼음을
씹어 드시는 분들이 많은데요.
딱딱한 얼음, 누룽지 등을 즐겨 씹다보면
치아에 금이 갈 수 있습니다.
오늘 소개해드릴 환자분
평생을 질기고 단단한 음식을 즐겨 드셨다해요.
어금니 금감 발치 후 임플란트 풍산동 치과에서 진행했습니다.
소개해드릴께요~!


23.10.10
저희 병원을 처음 내원해주셨을 때
사진만 보고도 치아가 많이 닳으셨겠구나
보이더라고요.
▼실제 구강▼

23.10.10
환자분들이 생각하시는 치아는
하얀 이미지이실겁니다.
환자분은 노란 부분이 많이 보이죠?

치아는 3가지 구조로 이루어져있습니다.
치아가 많이 닳다보면
치아 내부 상아질층 색깔인
노란 부분이 드러나게 됩니다.
환자분 치아처럼요!

치아가 닳는 이유는 이갈이도 있고
다양합니다.
환자분은 평생을 질기고 단단한 음식을
좋아하시다보니
치아도 닳고
닳는것에서 끝난게 아니라
어금니 금감 발생했습니다.
반복적인 힘이 치아에 가해졌으니
금이 가기 시작했고
쪼개져서 덕풍동 치과 방문해주셨어요.

23.10.16
육안으로 보기에도 금이 보이죠~
미세한 실금은 저도 있습니다.
조심히 사용하고 증상이 없으면
딱히 치료를 안해도 되지만
환자분처럼 치아가 분리될 정도로
금이가면 뽑고 임플란트를 해주어야해요.

23.10.16
어금니 금감 발치 후
풍산동 임플란트 진행했습니다.
다른 부위에도 깨지고 닳은 치아가 많아서
치료 후에도 단단한 음식은
이제 줄이셔야한다고 말씀 드렸는데요.
풍산동 임플란트 치료를 해드려도
계속해서 힘이 가해지게되면
임플란트도 문제가 생기거든요

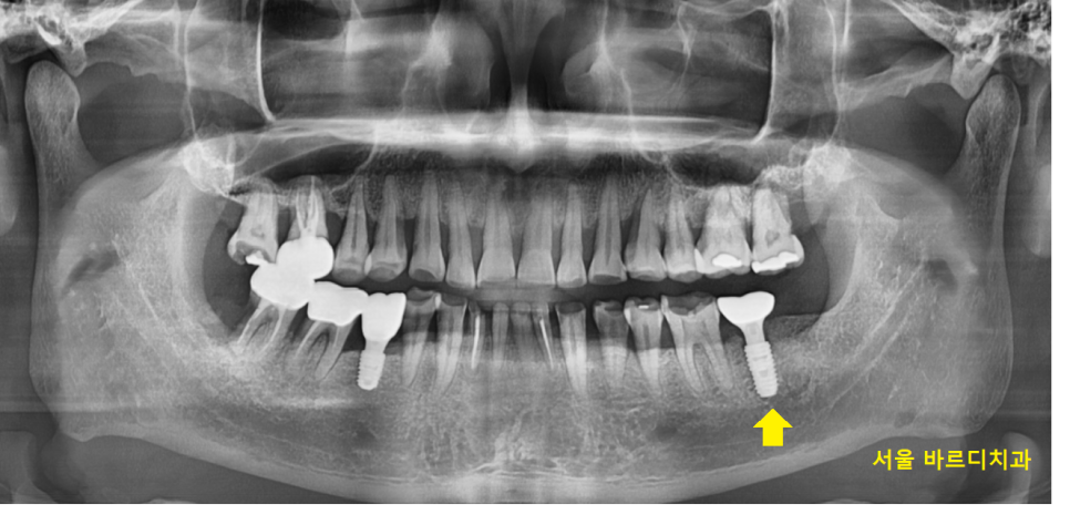
24.02.03
풍산동 치과에서
치료를 완료하는 몇개월 사이

치아가 더 깨졌습니다.
어금니 금감 진행된거죠.
우선은 불편하신건 없으시다하여
임플란트 관리 해드리면서
지켜보기로 하고
치료를 마무리해드렸습니다.

24.02.03
내 치아만큼 소중한 것은 없는데
치아로 맥주병을 딴다거나
(최악...!)
테이프를 치아로 끊는다거나..
매일 단단한 얼음을 씹어드신다거나..
평소 하시는 습관들이
치아를 금가게 만들고
발치까지 해야할 수도 있습니다.
이제는 그만!! 멈추시고!!
내 치아 점검 받으러 방문해주세요~!
▼풍산동 치과 위치 확인▼
풍산동 임플란트 진료하는
서울바르디치과입니다.
| 예약 전화하러 가기 |
|---|
| 02-481-4278 |
▼영상으로 요약▼
오늘은 치아에 금이가서
이를 뽑고 임플란트한
환자분의 케이스를 소개해 드렸습니다.
금이 간 증상에 따라
치료방법이 달라지기 때문에
병원에 내원하셔서 상담 받아보세요~!
대표원장 장태현이었습니다!!
| 본 게시물은 의료광고 법 제56조 1항을 준수하여의료 정보 제공 및 병원 홍보 목적으로 서울 바르디 치과에서 직접 작성하였습니다.제공된 정보는 참고만 하실 것을 권유 드리며 증상 파악 및 정확한 관리 방법은 의료기관에 내원 후 의료진을 통해 안내받으시길 바랍니다.치과에서 진행되는 모든 시술 / 수술은 개인에 따라 (염증, 출혈, 부기 등) 가능성이 있습니다.사전에 의료진과 충분한 상담을 통해 결정하시길 바랍니다.게시물의 치료 사례는 실제 본원에서 치료를 마친 환자분들의 동의하에촬영되었으며 전, 후 사진은 동일 조건에서 촬영되었습니다. |
#풍산동치과 #풍산동임플란트 #어금니금감