안녕하세요 정직한 치과의사
서울바르디치과 대표원장 장태현입니다!!
치아가 시린 증상
많은 환자분들이 느껴보신 증상인데요.
오늘 소개해드릴 환자분
방치하다가 치아를 뽑고 임플란트 하신 사연을
소개해드리겠습니다.
강일동 치과추천 어금니 시림 방치하다 발치하고 임플란트 하신 사연
3분만 집중해주세요!!

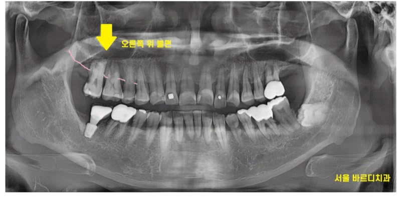
오른쪽 위에가 시려서 뭘 못먹겠어요
강일동 치과에 방문하신 환자분입니다.

오른쪽 어금니 시림
알고계셨지만 크게 불편한게 없어서
계속 참고 계셨다 하셨는데요.
참고 견디다 도저히 못참고
내원해주셨다 하셨습니다.
강일동 치과추천 받고 내원해주셔서
실망시키지 않기 위해 노력했던 기억이 납니다.
전반적으로 잇몸이 많이 내려가신 상황이었는데요.

불편을 호소하신 오른쪽 치아를 보니
겉으로 보기에는 닳은 치아가 있긴 했지만
환자분 연령을 생각하면 크게 문제가 되는것은 아니었습니다.
잇몸뼈가 많이 내려가
치아를 움직여봤는데요.
어금니가 들썩 들썩
위 아래, 좌우로 움직였습니다.
치아가 뽑힐정도로 말이죠.

어금니 시림의 원인 치아가 파여서
충치가 있어서
잇몸이 안좋아서
다양한 원인이 있지만
해당 환자분은 잇몸이 안좋아서
이가 시리신거였습니다.

x-ray상에서 치석이 보일정도로
치석도 많고 잇몸관리가 안되고 계셨어요.
오른쪽 어금니 시림으로 내원하셨지만
다른 치아들도 상태가 영 .. 좋지 않았죠.

제일 불편을 호소한 치아 한개만 발치 후
임플란트를 진행했습니다.
▼비슷한 임플란트 케이스 보러가기▼
https://blog.naver.com/implant_master/223407832925?trackingCode=blog_bloghome_searchlist

강일동 임플란트가 완성되기까지
다른 부위 잇몸치료도 진행해드리고
관리해드렸습니다.
한번으로 끝난것이 아니라
3개월에 한번씩 하시기로 하셨는데요.
잇몸은 나빠지면 회복되지 않기에..
임플란트 치료가 끝나도 계속~

어금니 시림 느끼고 처음에 방문해주셨으면
이를 뽑지 않았을 수 있습니다.
참을만 하니까..
큰 불편은 없으니까
방치하다 이를 뽑으셨습니다.
이 글을 읽고계신 환자분도
그대로 두고 계시진 않은가요?????
▼강일동 치과추천 장소 확인하기▼
더 큰 문제가 발생하기전에
강일동 치과추천 드립니다.
병원에 오셔서 어떤 문제인지
원인이 무엇인지
어떻게 해결해야하는지 확인해보세요.
| ▼진료시간 안내▼ |
|---|
| 월~금 |
| 토요일 |
| 점심시간 |
▼진료예약▼
☎02-481-4278
환자 한분 한분
놓치는 부분이 없나 검사를 하다보니
최소 30분은 걸리고 있습니다.
예약을 하고 내원해주시면 감사하겠습니다.
궁금하신 점 댓글 남겨주시면
답변드리겠습니다!!!!
| 본 게시물은 의료광고법 제56조 1항을 준수하여의료 정보 제공 및 병원 홍보 목적으로서울바르디치과에서 직접 작성하였습니다.제공된 정보는 참고만 하실 것을 권유 드리며증상 파악 및 정확한 관리 방법은 의료기관에 내원 후 의료진을 통해 안내 받으시기 바랍니다.치과에서 진행되는 모든 시술/ 수술은 개인에 따라 (염증, 출혈, 부기 등) 가능성이 있습니다. 사전에 의료진과 충분한 상담을 통해 결정하시길 바랍니다. 게시물의 치료 사례는 실제 본원에서 치료를 마친 환자분들의 동의하에촬영되었으며 전, 후 사진은 동일 조건에서 촬영되었습니다. |
#강일동치과추천 #강일동임플란트 #어금니시림
[출처] 강일동 치과추천 어금니 시림 방치하다 발치하고 임플란트 하신 사연|작성자 바르디 치과