안녕하세요 디지털 치과 선두주자
서울바르디치과 대표원장 장태현입니다!!
처음 내 치아를 상실하면 참으로 속상한데요.
임플란트 수술 경험이 없기에 많이들 고민을 많이해주세요.
질문들도 많으신데요.
오늘 소개해드릴 환자분도
임플란트를 처음 하신 환자분입니다.
임플란트 한번도 안해봤어요
하남시청치과 내비게이션 임플란트 뭐가 좋아요??
뭐가 좋길래
디지털 디지털 말할까요?
끝까지 한번 봐주시죠!!


하남시청치과 처음 방문해주셨을 때
왼쪽, 오른쪽 맨 아래 끝에 어금니가 상실한 채로 오셨습니다.

오스템으로 하고싶고
내비게이션 임플란트로 원해요.
오른쪽 아래 한개만요.
기억에 남는 것은
환자분 요청이 상당히 구체적이었습니다 .
어떻게 알고 오셨냐 말씀드리니
한번도 임플란트를 안해봐서
검색을 많이 해보셨다 하더라고요.
임프란트의 등급까지 공부해오셨다고 ㅎㅎ
(다음에 한번 준비해보겠습니다. )
여기서 환자분이 원하신
▼내비게이션 임플란트란??▼
https://blog.naver.com/wkddmlwhd23491/223404960814
디지털 임플란트 체계적인 수술이 가능한 서울바르디치과입니다.
안녕하세요 디지털 진료를 선두하는 서울바르디치과 대표원장 장태현입니다!! 지난 글에서 최첨단 장비에 ...
blog.naver.com
내비게이션 임플란트
위에 글을 보고 오시면 알겠지만
내비게이션 임플란트
무엇인지 사진으로 보여드릴께요~~

ct를 분석하여
임플란트가 들어갈 각도, 사이즈 분석해줍니다!!
보철물이 올라갔을 때의 모습도
예측해볼 수 있는데요.
여기서 끝나면 내비게이션 임플란트 아니죠!!
수술에 필요한 가이드를 제작합니다.

임플란트는 뼈 안에 심는 것인데
각도가 잘못되면 삐뚫게 심어집니다.
똑바로 원하는 방향으로 심을 수 있게
보조장치라 생각하시면 됩니다.

여기서 그치지않고 수술 중간에도 원하는 방향에
제대로 심어지고 있는지
한번 더 확인해줍니다.
3번에 걸쳐서 분석해주는거죠.
1)ct를 통해 분석
2)가이드 제작
3)수술 중 중간 분석
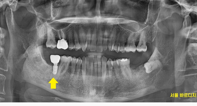
하남시청치과 임플란트 그 결과는,,?

짜잔~~
원하는 위치에 정확히 들어갔습니다.

3개월 뒤에 뼈와 충분히 붙어서
기둥을 올리고 보철을 올려드렸습니다.

임플란트를 처음 해봐서
많이 걱정하셨던 환자분
뼈에 고정되는 거니까
아무래도 걱정이 많이 됐죠.
못빼니까..
내비게이션 임플란트 하는 곳을 일부로 찾아왔는데
제대로 찾아온거같아요.
내비게이션 임플란트의 가치를 알아보고
방문해주셔서 감사했습니다.

머리가 완성되고 바로 완전하게 안붙여 드렸는데요.
처음에는 임시로 약하게 붙여드렸습니다.
테스트 하는 기간을 거쳤습니다.
식사해보시고 불편하시면
수정이 들어가야하니까요~
식사해보시고 참으로 편안하다는 말씀을 해주셔서
뿌듯했습니다. ㅎㅎ
임시로 붙였던걸 떼고
단단한 접착제로 붙여 치료를 마무리 해드렸습니다.
▼하남시청치과 위치 확인하기▼
서울바르디치과는 처음부터 끝까지
최신 의료기술과 함께합니다.
심을때 가이드를 해주는 내비게이션 임플란트 !
하남시청치과는
디지털 기술을 적극 활용합니다.
| ▼진료시간 안내▼ |
|---|
| 월~금 |
| 토요일 |
| 점심시간 |
▼진료예약▼
☎02-481-4278
환자분들께 정보를 알려드리기 위해
주말에도 열심히 블로그를 작성하고 있습니다.
궁금하신 부분은 언제나 댓글로 질문해주시고
글을 보고 병원에 방문하시면 티좀 내주세요~!
힘내서 열심히 쓸 수 있을듯합니다!!!!
| 본 게시물은 의료광고법 제56조 1항을 준수하여의료 정보 제공 및 병원 홍보 목적으로서울바르디치과에서 직접 작성하였습니다.제공된 정보는 참고만 하실 것을 권유 드리며증상 파악 및 정확한 관리 방법은 의료기관에 내원 후 의료진을 통해 안내 받으시기 바랍니다.치과에서 진행되는 모든 시술/ 수술은 개인에 따라 (염증, 출혈, 부기 등) 가능성이 있습니다. 사전에 의료진과 충분한 상담을 통해 결정하시길 바랍니다. 게시물의 치료 사례는 실제 본원에서 치료를 마친 환자분들의 동의하에촬영되었으며 전, 후 사진은 동일 조건에서 촬영되었습니다. |
#하남시청치과 #내비게이션임플란트