안녕하세요 디지털 진료로 오차 없는 진료를 시행하는 서울바르디치과 대표원장 장태현입니다!!
임플란트 위아래 같이 할 수 있나요?
치과가 너무 무서워요.
치아가 여기저기 없는 환자분들의 경우에는
한 번에 치료를 받고 싶어 하는 경향이 있습니다.
여러 번 고생할 바에
한 번만 고생하겠다! 이렇게 말씀을 하시더라고요
명일동 치과 임플란트 위아래 같이 할 수 있나요??
해답을 알려드릴게요~!


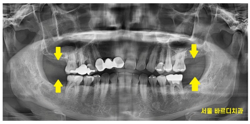
명일동 치과를 처음 방문하셨을 때 사진입니다.
보시는 것처럼
위, 아래
오른쪽, 왼쪽
사이좋게 양쪽 맨 끝 어금니를
상실하신 채 내원하셨어요.
맨 끝 치아가 위아래로 빠지면
굳이 안 해도 식사하시는데 크게 지장을 받지는 않습니다.
▼관련 글 읽으러 가기▼
https://blog.naver.com/implant_master/223440607543
암사동 치과 임플란트 꼭 안 해도 되는 경우 궁금증 해결해 드려요
하하.. 너무 솔직한가요
명일동 치과는 꼭 필요한 진료만
권유 드리기 때문에
-
식사하시는데 불편이 없고
-
다른 치아에 영향이 없으면
명일동 임플란트를 추천드리지 않습니다.
다시 본론으로 돌아와서..
오른쪽이 잘 안 씹히는 거 같아서
임플란트 하고 싶어요.
환자분은 명일동 임플란트를 오른쪽만 원하셨습니다.
양쪽 어금니가 똑같이 없어도
오른쪽으로 씹는 느낌이 잘 안 든다고 표현하셨어요.

ct를 찍어서 분석해 보니
똑같이 치아가 없었어도 남아있는 뼈의 양이 다르죠?
오른쪽이 왼쪽에 비해서
뼈가 더 없었는데
ct를 찍지 않아도
내부 뼈의 상태를 잘 몰랐어도
식사를 하시면서 느껴지는 환자분의
육감이 있으셨나 봅니다.
(환자분의 말씀에 집중을 해야 하는 이유죠!)

예전에 이를 뽑을 때 하도 고생을 해서
명일동 임플란트는 고민이 많으셨다 했습니다.
식사를 할 때마다 불편해서
큰맘 먹고 오셨다고..
원장님 임플란트 위아래
한 번에 하고 싶어요.
같이 가능할까요?
그럼요~
반대의 경우도 가능합니다.
하나씩 해보고 싶은 경우요.

명일동 치과에서 수술 후 한 달 뒤
뼈 이식한 부분이 잘 만들어지고 있습니다.

그리고 다음번 임플란트 체크에 오셔서
"왼쪽도 해버리려고요.
임플란트 위아래로 해주세요"
명일동 치과에서 진료가
편안하게 느껴지셨나 봅니다 ㅎㅎ
처음에 오른쪽만 원하셨었는데
한쪽 받아보시고
반대편까지 진행하셨어요.
치과의사로서 이럴 때 희열감을 느낍니다!!

나란히 임플란트 위아래 한 번에 완성되었습니다.
어금니 4개가 새로 생기셨으니
맛있는 거 더 많이 드실 수 있겠습니다.
▼명일동 치과 위치 확인하기▼
환자 요구에 맞춰 진료하는
서울 바르디치과입니다.
환자의 요구가 반영되지 않는 진료
결코 만족시켜드릴 수 없습니다.
충분한 상담으로 만족감을 이끌기 위해
앞으로도 노력하겠습니다!!
| ▼진료시간 안내▼ |
|---|
| 월~금 |
| 토요일 |
| 점심시간 |
▼진료 예약▼
☎02-481-4278
환자 한 분 한 분 소홀히 진료하기에
예약진료를 추구하고 있습니다.
내원 전 예약 부탁드립니다~~
대표원장 장태현이었습니다!!
| 본 게시물은 의료광고 법 제56조 1항을 준수하여 의료 정보 제공 및 병원 홍보 목적으로 서울바르디치과에서 직접 작성하였습니다. 제공된 정보는 참고만 하실 것을 권유 드리며 증상 파악 및 정확한 관리 방법은 의료기관에 내원 후 의료진을 통해 안내 받으시기 바랍니다. 치과에서 진행되는 모든 시술/ 수술은 개인에 따라 (염증, 출혈, 부기 등) 가능성이 있습니다. 사전에 의료진과 충분한 상담을 통해 결정하시길 바랍니다. 게시물의 치료 사례는 실제 본원에서 치료를 마친 환자분들의 동의하에 촬영되었으며 전, 후 사진은 동일 조건에서 촬영되었습니다. |
#명일동치과 #명일동임플란트
#임플란트위아래