안녕하세요!
바르고 정직한 진료를 시행하는
서울바르디치과 장태현 원장입니다.
임플란트 수술을 해야할 때
환자분들이 고민되는 부분은
뼈 이식을 꼭 해야할까?
입니다.
풍산동 치과 아래 어금니 임플란트 뼈 이식 없이 해결했습니다.
3분만 집중해서 읽어주세요!!

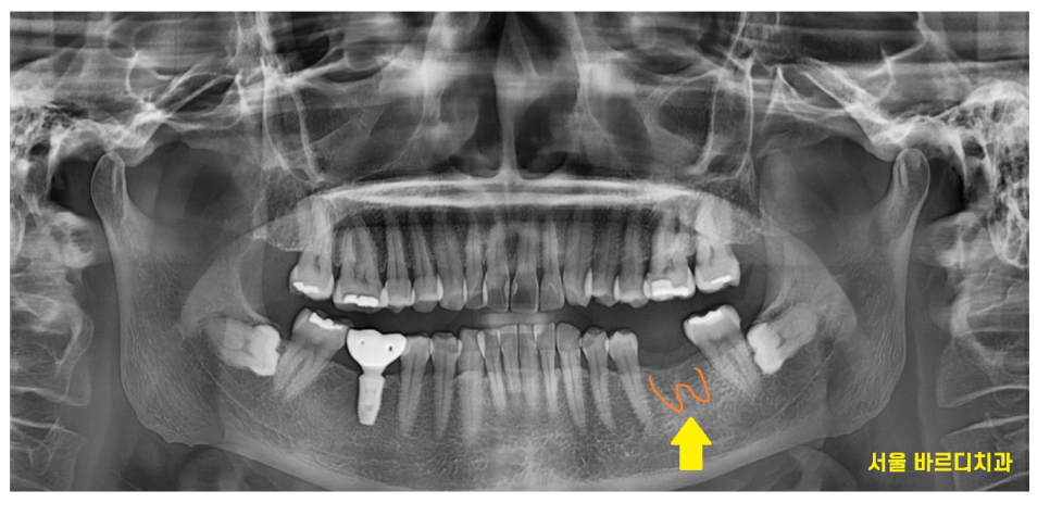
이 뽑은지 한달 됐어요.
다른 곳에서는 뼈 이식을 해야한다 그래서
여기 와봤어요.

23.12.19
환자분께서 풍산동 치과 처음 방문해주셨을 때
이 뺀 자국이 그대로 남아 있는 상태에서
방문해주셨습니다.
다른 곳에서 저 부분에 뼈이식을 해야한다고 들어서
풍산동 치과를 방문해주셨다 하셨습니다.
이를 뺀 지 얼마 안됐을경우
뼈가 아직 덜 차서 저렇게 흔적이 남을 수 있는데요.
흐음...
정확한것은 더 검사를 해봐야겠지만
1차적으로만 파노라마 사진을 보았을 때
뼈 이식
제가 보기에는 필요 없어보였습니다.
발치와 동시에 수술하기도 하는데
이 뺀 자국 채우겠다고
뼈이식이라뇨..

23.12.19
제일 정확한 것은 직접 보아야겠죠?
이어진 입 안 검사
환자분 입안을 보았을 때
뼈 폭도 충분해 보였습니다.
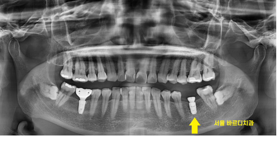
아래 어금니 임플란트 1개라
더 기다리지 않고
그냥 심어도 될 수준이었습니다.

24.01.11
제가 놓치는 부분이 있을까
ct까지 찍어보았지만
뼈 이식 해야할 이유가 전혀 없었습니다.
https://blog.naver.com/implant_master/223440607543
이전 글을 읽고 오시면 아시겠지만
전 솔직한 사람입니다.
불필요한 것을
돈을 벌고자 필요하다 말하는 사람은 아닙니다.
구태여 필요가 없는데 굳이...?

24.01.11
아래 어금니 임플란트 ct로 뼈를 분석해서
충분한 부분에 심으면 뼈이식이 필요없거든요
2023년 내부 차트 기준
임플란트와 함께 뼈이식 진행한 경우가
20%에 불과했습니다.

24.01.11
아래 어금니 임플란트
뼈가 윗니에 비해 튼튼하기도 하지만
불필요한 뼈 이식을 진행하게 되면
비용도 커지고
회복 기간도 길어지게 됩니다.
저는 합리적인 것을 좋아하는 사람이라
환자분 회복 속도를 지연시키면서까지
뼈 이식하고싶지 않았거든요.

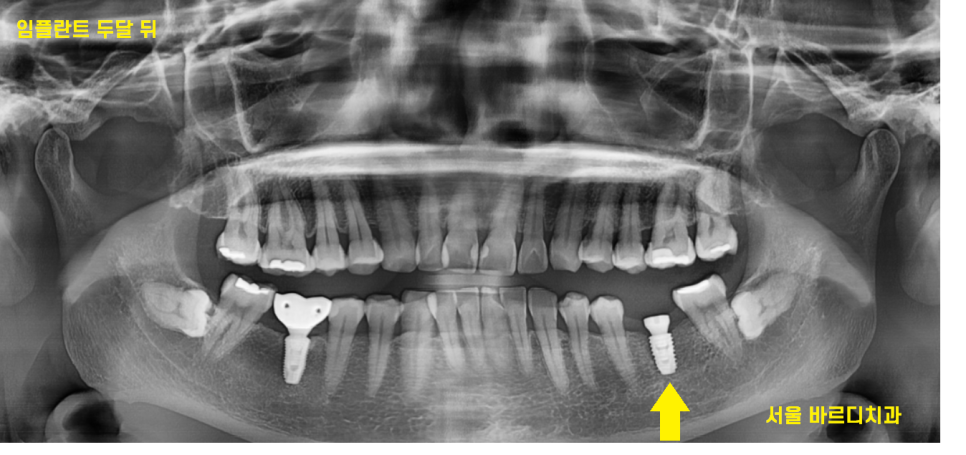
24.03.16
풍산동 임플란트 수술 2달 뒤 사진입니다.
하악 임플란트는 3개월 정도 평균 시간이 걸리지만
뼈가 좋으시니 2달만에 보철을 올렸습니다.
필요없는 뼈 이식까지 진행했더라면
뼈가 만들어지기까지 시간이 필요해
더 오래 걸리셨겠죠?

24.04.23
풍산동 치과 보철 완성 사진입니다.
아래 어금니 임플란트
2달만에 완성해드렸는데요.
앞으로도 필요 없는 것은
필요 없다!!
제 소신을 지키겠습니다.
정말 어쩔 수 없이 잇몸뼈가 너무 없어
꼭 필요한 경우에만
뼈 이식 하셔야한다고 말씀드릴겁니다.
▼풍산동 치과 위치 확인▼
디지털 장비를 사용한 꼼꼼한 분석으로
정직한 진료가 가능한 서울 바르디 치과!
| 예약 전화하러 가기 |
|---|
| 02-481-4278 |
▼영상으로 요약▼
오늘은 뼈 이식 없이 아래 어금니 임플란트
완성해드린 환자분을 소개해드렸습니다.
병원마다 진단에 차이는 있을 수 있습니다.
원장님 관점에 따라 달라질 수는 있기에
존중합니다.
그렇지만 불필요한 것을 필요하다 말씀드리면서
진료를 보고싶지는 않습니다.
풍산동 치과
앞으로도 꼭 필요한 진료만 고집하기
멈추지 않겠습니다.
대표원장 장태현이었습니다!!
| 본 게시물은 의료광고 법 제56조 1항을 준수하여의료 정보 제공 및 병원 홍보 목적으로 서울 바르디 치과에서 직접 작성하였습니다.제공된 정보는 참고만 하실 것을 권유 드리며 증상 파악 및 정확한 관리 방법은 의료기관에 내원 후 의료진을 통해 안내받으시길 바랍니다.치과에서 진행되는 모든 시술 / 수술은 개인에 따라 (염증, 출혈, 부기 등) 가능성이 있습니다.사전에 의료진과 충분한 상담을 통해 결정하시길 바랍니다.게시물의 치료 사례는 실제 본원에서 치료를 마친 환자분들의 동의하에촬영되었으며 전, 후 사진은 동일 조건에서 촬영되었습니다. |
#풍산동치과 #풍산동임플란트 #아래어금니임플란트